
今天为大家分享的是《监测有道丨颅脑创伤-神经重症周刊》第211期,由登封市人民医院神经外科徐云峰副主任医师带来的:慢性硬膜下血肿钻孔引流术后癫痫发作一例,欢迎观看、阅读。
患者76岁男性,以“行走不稳6天”于2019年9月11日入院。6天来病人出现行走不稳,右侧上下肢无力,行走不稳。来院门诊行头颅CT后入院。
既往史:1月前有摔伤史。曾行心包炎开胸手术,患糖尿病5年。
神经系统查体:神清,言语正常,四肢肌力、肌张力正常。


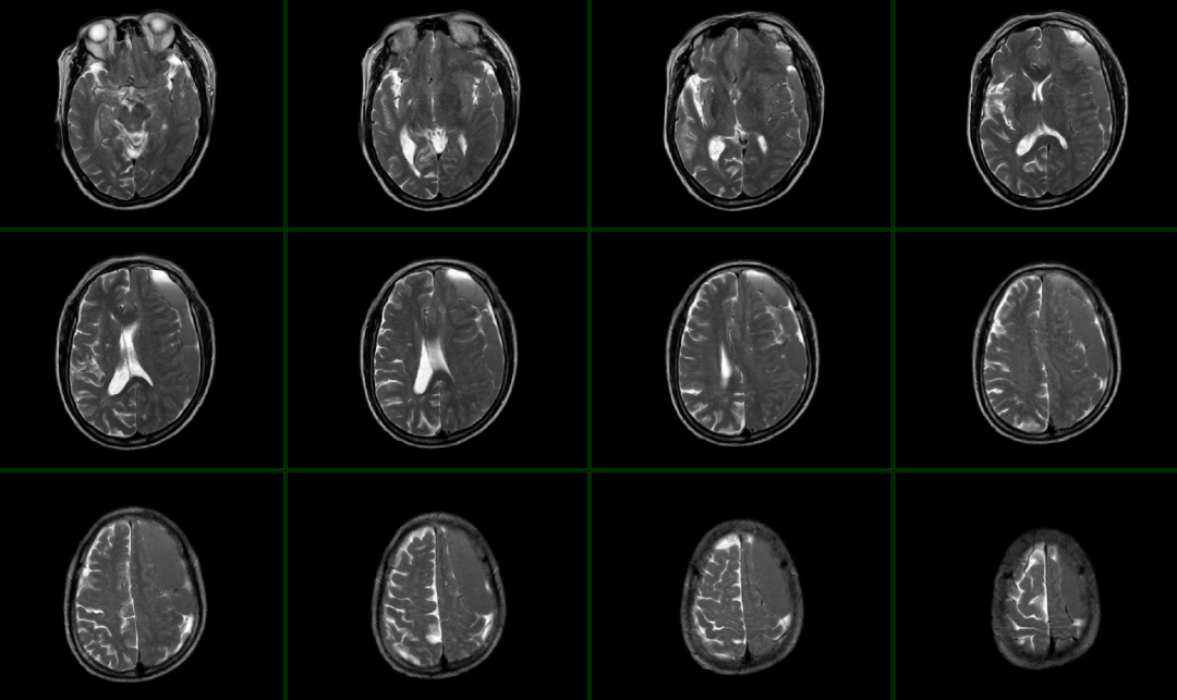
头颅MR:左侧额颞顶枕部硬膜下血肿,颅内多发陈旧性脑梗塞。


慢性左侧额颞顶枕部硬膜下血肿
2型糖尿病
陈旧性多发脑梗塞

术中(2019年9月12日)见硬膜下暗黑色血性液溢出。

术后第一天头颅CT(2019年9月13日):左侧额颞顶部血肿清除满意,颅内少量积气。术后第三天2019.9.15拔除术区引流管。

术后第9天复查头颅CT(2019年9月21日):颅内情况良好,颅内积气明显吸收减少。
2019年9月21日下午无明显诱因出现双眼向右凝视,嘴角向右歪伴抽搐,四肢无抽搐,症状持续约1分钟左右,上述症状停止,四肢自主活动,自觉言语迟钝。晚上再次发作两次,每次发作约1分钟左右。发作时血压高,给以吸氧,控制血压;口服丙戊酸钠0.25g, 一日三次;肌注苯巴比妥钠针。
2019年9月22日晚上再次出现抽搐两次,给予地西泮抗癫痫治疗;抗癫痫药物改口服丙戊酸钠(德巴金)0.5g,一日两次。
2019年9月23日下午再次抽搐一次,给予地西泮针。后症状未再发作。化验血糖、电解质正常。

2019年9月23日复查头颅CT:慢性硬膜下血肿术后改变,左额部少量积气。排除硬膜下血肿复发及脑组织肿胀、缺血等表现。

头颅MR(2019年9月26日):脑组织未见挫伤、缺血、急性脑梗死等表现。






于2019年9月27日出院,院外继续口服丙戊酸钠(德巴金),定期复查。
临床上对慢性硬膜下血肿(CSDH)手术后发生癫痫的认识尚不足。国内外文献指出慢性硬膜下血肿术后发生癫痫可能原因有以下几种可能:
1. 引流血肿速度过快,脑组织迅速减压出现脑皮层下充血水肿;
2. 引流管放置位置过深后刺激脑皮层和冲洗用生理盐水温度过低;
3. 血肿包膜对皮层的刺激,血肿引流后部分血肿腔闭合时外膜接触脑皮层,其所含的致癫痫物质刺激脑皮层,促使癫痫发作。
慢性硬膜下血肿围手术期癫痫预防尚无共识及指南提及,波多黎哥大学医学科学院神经外科的Gabriel Flores等研究CSDH患者钻孔清除血肿后的癫痫发生率以及相关因素,结果发表在2017年8月的《Acta Neurochir (Wien)》在线。研究220例患者中,术后癫痫发作5例(2.3%);癫痫发作平均时间为术后8.4天。最后作者指出,慢性硬膜下血肿经钻孔清除的患者术后癫痫发生率低。患者的人口学特征、临床症状和CT扫描表现并不影响癫痫发生率,因此不应常规服用预防性抗癫痫药。【Ref: Flores G, et al. Acta Neurochir (Wien). 2017 Nov;159(11):2033-2036. doi: 10.1007/s00701-017-3298-6. Epub 2017 Aug 15.】
该病人术前及术后未常规口服抗癫痫药物,术中、术后控制血肿引流速度,防止引流速度过快,术中冲洗用生理盐水温度37摄氏度,引流管放置硬膜下约2cm。术后第3天拔除术区引流管,病人第9天癫痫发作,术后复查CT及MRI,排除脑实质损伤及血肿复发。发生癫痫的原因可能与上述第三条原因有关。
为更好继续提高、规范中国神经外科医生颅脑创伤救治能力及水平,神外资讯《监测有道丨颅脑创伤-神经重症周刊》继续面向全国收集颅脑创伤病例并展开讨论,由国内医生提供真实病例,经专家审核通过及点评后刊登。投稿邮箱:shenwaizixun@163.com
声明:脑医汇旗下神外资讯、神介资讯、脑医咨询所发表内容之知识产权为脑医汇及主办方、原作者等相关权利人所有。未经许可,禁止进行转载、摘编、复制、裁切、录制等。经许可授权使用,亦须注明来源。欢迎转发、分享。