血泡样动脉瘤(blood blister-like aneurysm,BBA)是指大部分位于颈内动脉床突上段未分叉部位的前壁或者上壁,体积微小、基底较宽的动脉瘤,且其瘤壁比较脆弱无明显的瘤颈,在术中极易引起破裂出血,通过影像学观察其瘤体呈半球状或水泡状凸起,故简称BBA。BBA的瘤壁仅由纤维蛋白组织层或仅由一层外膜覆盖,且因其瘤壁薄、易破裂的特点,极易发生急性弥漫性蛛网膜下腔出血,从而导致预后不良。另外,术后出血率及病死率较高。因此,该疾病的治疗是业界面临的极大挑战。
来看看一个病例,真是“坑”火连连,所幸医患携手,一路披荆斩棘!
病例简介
患者信息:
患者,女性,66岁。
主诉: 6小时前洗澡后突发剧烈头痛,眼前发黑,四肢乏力,伴呕吐数次,为胃内容物,家属急送至天等县人民医院就诊。
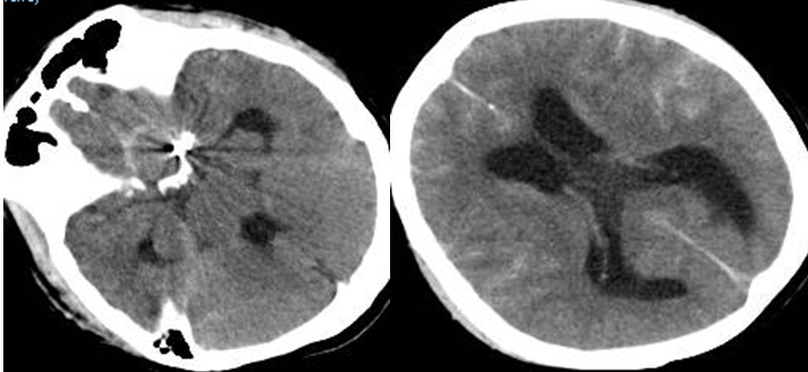
头颅CT检查提示:蛛网膜下腔出血、两肺炎症。
当地医生考虑颅内动脉瘤出血可能性大,但该院没有诊断及治疗的设备,是心存侥幸等待情况稳定呢?还是从“石头竖起来(天等的壮语)”的山区长途转运到有条件救治颅内动脉瘤医院?是转运到附近相对较弱的医院?还是转到较远的省级医院?这是摆在患者和家属面前的生死抉择!可能是我曾带队到该院开展中国志愿医生-广西站活动,指导该院脑卒中救治工作,家属作出了最艰难的选择,转到我院进一步诊疗。


当年走过的挂壁山路!
还是凌晨行车,可想家属决心之大!!到我院已经是凌晨3点半!
影像学资料
我院急诊的CT及DSA考虑:左侧颈内动脉床突段血泡样动脉瘤。



对医生而言,下这个诊断是艰难的,血泡样动脉瘤诊断的标准是开颅探查所见,单纯影像的诊断,考验医生的临床经验判断;诊断错误可能会导致患者失去治疗机会或者选择错误的治疗方案。而且治疗方案的选择更为纠结,血泡样动脉瘤目前没有很好的治疗方案,传统开颅包裹或孤立搭桥手术难度大、创伤大,疗效也不确切;介入治疗处于探索阶段,有多支架辅助治疗、胶支架辅助治疗、覆膜支架治疗、血流导向装置治疗等等,行业较为认可的是覆膜支架或血流导向装置治疗,这两种新材料的治疗各有优缺点,且多为个例报道,长期疗效不确定;加上这两种新材料全国只有北上广有货,需要时间调货,等待意味着动脉瘤随时破裂风险。现时能做的介入治疗是多支架辅助栓塞,效果差,反而增加后续治疗难度、影响疗效。
对家属而言,相信医生的判断?选择临时抱佛脚的介入治疗?等待新材料过程中的再破裂?而新材料费用大、长期疗效不确定,也许是人财两空!
这对医患来说都是非常艰难抉择!通过充分的沟通,家属选择等待血流导向装置治疗。
次日患者头痛加重,神清,言语对答切题,肢体肌张力4+级。

急查头颅CT提示:再出血,脑积水加重。
此时的选择同样两难:先做脑室外引流,颅压下降可能导致出血,失去治疗机会;先介入治疗后抗凝抗聚,将增加脑室外引流出血风险!我们考虑患者意识尚清,说明脑灌注尚可,条件允许先介入治疗,通过强镇静镇痛、脱水可以有效控制高颅压,当然这需要有强大的神经重症团队支撑,恰好我们有这样的一支团队。

手术过程
彼时新材料通过我国快速的高铁快运正好到货,我们再次启动急诊绿色通道全麻下行血泡样动脉瘤血流导向装置治疗。

微导管精准塑形(S形)到位,国产血流导向装置(Tubridge)微导管到位,因蛛网膜下腔出血致血管痉挛,血流减慢,此时置入血流导向装置容易血栓形成,甚至血管闭塞,继续原计划手术吗?而且将来血管痉挛恢复,动脉瘤复发几率是否明显增大?术者基于以往手术的经验,考虑血管减慢是多因素导致,术中抗凝、选择适应血管直径更大的国产血流导向装置以及快速稳妥的手术操作,可进一步降低并发症。

Tubridge3.5x20半释放,覆盖瘤颈;选择最为柔软的HyperSoft 弹簧圈三个:2d23、1.5x2、1.5x2,一方面减少弹簧圈顶破动脉瘤风险,同时在瘤颈附近过度填塞增加血管愈合速度和几率。

最后过弯推拉释放,微导丝内按摩增加Tubridge贴壁性,术中肝素20mg+20mg,替罗非班4ml/h;术后双抗阿司匹林100mgqd 氯吡格雷75mg qd。
术后查体
术后即刻造影:动脉瘤消失,效果满意。
一切行云流水,初战告捷!视乎已经风平浪静!
别忘了,还有高颅压、脑积水、蛛网膜下腔出血、脑血管痉挛……!
于是镇静镇痛、三联脱水、扩管、扩容……!

术后第二天:脑积水有所缓解!

术后第三天:意识转为昏睡,考虑脑积水、血管痉挛;给予腰池引流!


术后1周:清醒,头颅CTA显效果欠佳,未见动脉瘤明显增大。但拔腰池引流后再次意识障碍,给予换椎体穿刺引流,减少颅内感染发生。

根据文献血泡样动脉瘤介入治疗后建议1~2周复查脑血管造影;2周复查,果然DSA显示动脉瘤复发!怎么办?治疗再次回到原点:开颅包裹/闭塞载瘤动脉、覆膜支架治疗、血流导向装置治疗?只是手术难度、风险更高,同样效果不确切!医患几乎陷入崩溃状态!

此时我们发现患者皮下瘀斑,虽然文献提示无需调整双抗,但基于我们使用支架长期随访的经验,广西人对双抗过敏比率超过50%,不排除该患者是双抗过敏情况,建议调整双抗为单抗,那单抗是用阿司匹林?还是氯吡格雷?剂量多少?同样没有相应的指南和文献。同样基于我们使用国产血流导向装置单抗最低剂量的经验,决定采用:氯比格雷25mg qd。
达摩克利斯剑依然高高悬挂……
所幸血栓弹力图结果支持氯比格雷25mg qd用量。

术后1个半月:复查DSA,动脉瘤没有复发!终于大家可以稍微松一口气!可是脑积水…?


2个月:复查CT提示脑积水加重,结合患者头痛症状,诊断:交通性脑积水(蛛网膜下腔出血出血后常见的迟发并发症)。考虑患者服用氯吡格雷,为减少脑室穿刺出血风险,采用腰大池分流术,初始压选择90mmH2o(术前腰穿测压125 mmH2o)。



分流术后1周,头痛症状无明显好转,复查头颅CT脑室略有减小,腹部平片显示分流泵压力90mmH2o(没有漂移)。考虑头痛为蛛网膜下腔出血并发症,转康复治疗。
术后半年患者遵嘱返院复查。

脑血管造影显示动脉瘤愈合,载瘤动脉通畅。


脑室结构恢复正常,患者一般情况好,无后遗症!
作者简介





