2021年03月08日发布 | 6296阅读

儿童弥漫性内生性型脑桥胶质瘤(DIPG)一例(神经肿瘤系列十二)---浙二神脑干外周刊(第290期)

浙二神外周刊

徐佳鸣

浙江大学医学院附属第二医院

付再祥

浙江大学医学院附属第二医院

柳夫义

浙江大学医学院附属第二医院

祝向东

浙江大学医学院附属第二医院

达人收藏

“浙二神外周刊”每周病例回顾,提出最优化的临床治疗分析和随访指导意见。专业讨论意见仅代表浙二神经外科团队观点,如有不同见解,欢迎同道斧正!每期讨论病例资料及整理均为“浙二神外周刊”原创,“浙二神经外科”授权官方合作新媒体《神外资讯》发布,其他网络媒体转载,请务必注明出处!


提示

“浙二神外周刊”不定期接收外院投稿,审核后发表。欢迎各专业同道联系我们,分享精彩病例、研究热点或前沿资讯。投稿请联系:shishi74@163.com


前言


神经肿瘤是颅内常见病,主要包括神经上皮肿瘤、脑膜瘤、转移瘤及淋巴瘤等。自279期开始刊发神经肿瘤系列,与同道共享,欢迎大家批评指正和交流讨论。


病例介绍


患者,男,13岁,因“头晕伴左侧肢体肌力下降10天”入院。

患者10天前在学校上课时逐渐出现头晕,休息后无明显缓解,症状进行性加重;随后出现左侧肢体麻木乏力,行走不稳;近1周开始出现声音嘶哑,偶有饮水呛咳等不适。患者前往当地医院就诊,查头颅CT示“脑干低密度病灶”。为进一步检查,前往浙大二院就诊,门诊拟诊“脑干肿瘤”收住入院。

入院查体:神清,精神可,生命体征平稳,右眼外展麻痹,额纹对称,嘴角伸舌无歪斜,余颅神经也未见异常。四肢感觉对称,活动自主,右侧肢体肌力5级,左侧肢体肌力5-级,肌张力不高,病理征阴性。


诊治经过


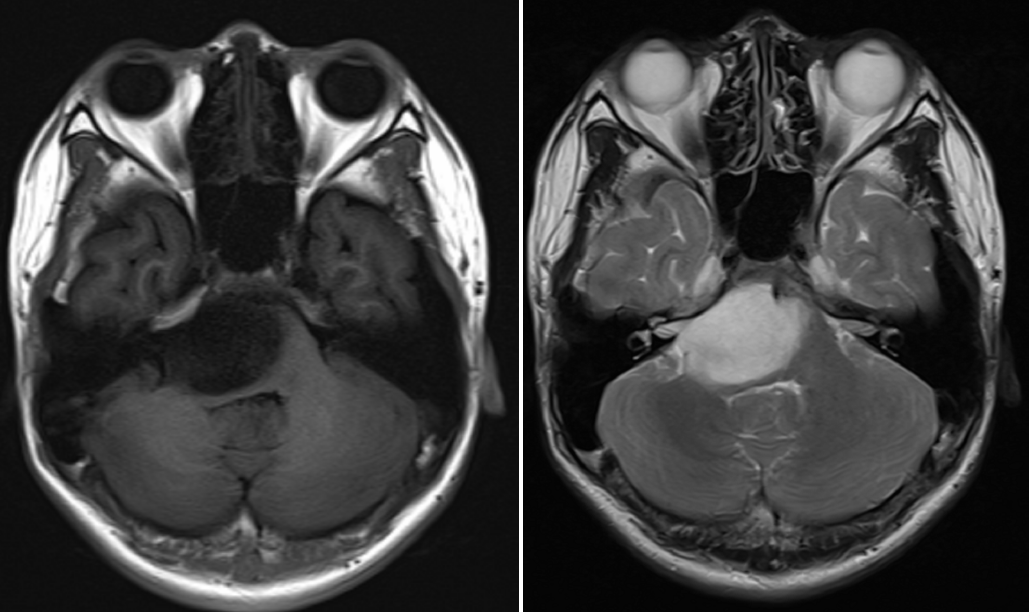
入院后进一步增强MRI检查,诊断脑干胶质瘤可能性大,右侧桥脑为主,考虑弥漫性内生性型脑桥胶质瘤可能性大。同时加做灌注成像,了解肿瘤灌注情况(图1)。考虑肿瘤偏侧生长,家属手术意愿强烈,科室讨论可以考虑手术治疗。手术目的:明确病理,并给予肿瘤减容,减缓肿瘤生长速度,提高后续综合治疗效果。




图1.头颅平扫+增强+灌注MR示:脑干见约32*36*34mm大小类圆形长T1长T2异常信号,右侧桥脑为主,边缘尚清,增强后未见明显强化,四脑室稍受压;余脑实质未见明显异常信号;中线结构居中。灌注成像未见灌注增高。


手术过程

取右侧乙状窦后直切口入路,骨窗,大小约3cm×3cm,显微镜下沿右侧CP角探查,见肿瘤位于桥脑右侧,色灰白,质地软,血供较丰富,先瘤内切除部分肿瘤减压,送少量组织冰冻病理检查,证实为“胶质瘤”。然后小心分离肿瘤与脑干边界,次全切除肿瘤,面听神经位于肿瘤背侧,予解剖保留。术区充分止血,缝合硬膜,回放骨瓣,常规关颅。手术经过顺利。术后安返病房。
 
患者术后一般情况良好,症状无加重,查体表现同术前,术后磁共振提示肿瘤次全切除(图2)。术后一周顺利出院,14天后采用替莫唑胺+放疗的标准化治疗方案。患者前期感觉良好,2月后病情加重,肢体无力及吞咽功能进一步恶化,共济失调,锥体束征阳性出现,加用安罗替尼治疗,症状好转。目前继续密切随访中。


图2. 术后磁共振复查提示肿瘤次全切除。


病理诊断


术后病理回报,诊断脑干胶质母细胞瘤,WHO IV级,IDH野生型(图3)。


图3.病理结果脑干胶质母细胞瘤。


肿瘤基因检测结果:无IDH突变、无H3F3A K27M突变、无HIST1H3B/CK27M突变。


讨论


脑干胶质瘤(brainstem gliomas,BSG)是脑胶质瘤的一种特殊类型,指起源于中脑、脑桥和延髓的胶质瘤总称。BSG的发病高峰年龄呈双峰式分布,BSG的发病高峰年龄呈双峰分布,儿童为5-10岁,成人为30-50岁,男女比例大体相等[1]。其与大脑半球胶质瘤具有不同的分子遗传学特性。同时根据患者不同起病年龄、不同发生部位,脑干胶质瘤具有不同的发病机制、生长特点以及预后,因此,脑干胶质瘤是一组高度异质性的疾病。

 
脑干胶质瘤根据不同的特点,有以下几种不同的分类方式:①病变部位:中脑、桥脑、延髓胶质瘤、累及多个部位。②病理性质:WHOⅠ-Ⅳ级。③生长方式:弥漫性胶质瘤、局灶性胶质瘤、外生性肿瘤(来源四脑室室管膜下的胶质组织,多数向背侧和外侧生长)、颈延髓胶质瘤。④MRI影像学特点:Ⅰ型外生型、Ⅱ型内生型(Ⅱ a型局灶内生型、Ⅱ b型弥散内生型 )、Ⅲ型特殊类型(Ⅲ a型顶盖胶质瘤、Ⅲ b型导水管胶质瘤、Ⅲ c型NF1相关的脑干胶肿瘤)。⑤DTI成像皮质脊髓束和肿瘤的位置:A型推挤型、B型推挤+破坏型、C型:穿过型。⑥组织病理:星形细胞瘤、毛细胞型星形细胞瘤、少突星形细胞瘤、间变性星形细胞瘤、间变性少突星形细胞瘤和胶质母细胞瘤。⑦分子病理:H3F3A K27M即编码组蛋白H3.3突变型(对放疗不敏感,易转移复发,预后较差)、HIST1H3B/CK27M即编码组蛋白H3.1突变型(较前一种预后好)、IDH1突变型(仅见于成人,预后较好)、其他类型如双阴型[2]
 
DIPG特点:根据此病例的影像学特点,可以归于弥漫性内生型桥脑胶质瘤(Diffuse intrinsic pontine glioma,DIPG)。“弥漫性内生型桥脑胶质瘤”是一种罕见的肿瘤,发病的平均年龄为5~9岁,和成人患者相比,更多见于儿童。该类疾病是一种致死率极高却又缺乏有效治疗手段的儿童恶性脑肿瘤。诊断标准相对具有特色,即根据典型的临床表现和特异性的影像学特点可以诊断为DIPG,影像学不典型的病例建议行活检手术明确诊断。活检病理常常提示为III-IV级胶质瘤,少部分也可能是II级。相关文献报道“组织病理学分级”与“弥漫性内生型桥脑胶质瘤”的预后并无关联,甚至是“低度弥漫性内生型桥脑胶质瘤”,仍然表现为高侵袭性,并具有和“高级别肿瘤”相似的差的预后。接近80%的受检的“弥漫性内生型桥脑胶质瘤”的一种组蛋白编码基因的“K27处”包含有突变。在肿瘤亚群中可见的其他重要的分子变化还包括:血小板衍生生长因子受体(PDGFR)、“PI3K突变”和“ACVR1中的复发性体细胞突变”。目前的化疗方案对肿瘤效果不佳,5年存活率低于1%,中位生存期为9个月。本病例患儿经基因检测,不存在IDH突变、H3F3A K27M突变和HIST1H3B/CK27M突变,属双阴型。
 
临床表现:根据肿瘤侵袭的部位表现有所不同。典型病例存在三联征:颅神经损害(复视和面部不对称),锥体束征(腱反射亢进,巴式征阳性,肌力下降),小脑症状(共济失调,辨距障碍)[3]。外展神经麻痹是最常见的首发症状。可压迫中脑导水管及第四脑室,产生梗阻性脑积水。本病例患儿出现右眼外展麻痹及左侧肢体活动下降。
 
治疗方案:弥漫性内生型脑桥胶质瘤(DIPG)呈弥漫性浸润性生长、恶化进展快,属预后最差、治疗难度最大的一种,其治疗方法包括活检、手术治疗、放疗、化疗等。有的学者观点认为DIPG活检后直接放疗即可,但具体分析此病例,我们发现肿瘤生长主要偏一侧,占位效应明显,早期手术切除肿瘤减容可能会获得更大的收益,故此选择手术治疗。
 
①脑干手术入路选择:进入脑干某一特定部位可有多种手术入路选择,合理的手术入路可明显降低手术的相关并发症。一般来说通过Brown两点法来制定,即以肿瘤中心点与其离脑干表面最浅点两点连线的向外延伸为手术进入到病灶的最佳手术路径[4]。本病例患儿肿瘤部位位于脑桥背外侧,因此选择乙状窦后入路。


②手术方案:手术切除脑干病变应个体化处理:除脑干肿瘤时动作轻柔、精细,勿过分牵拉损伤穿支动脉,肿瘤沿病变与脑干界面由病变侧向脑干内逐步分离,界面不清则由瘤内向外逐步分离切除,可先瘤内减压,再逐渐向瘤周扩展,不可超越瘤体假包膜,可借助于荧光素钠引导辅助确认病变边界及切除范围,不能过于追求全切病变。术中出血用速即纱轻轻压迫即可,慎用双极电凝,如果非用不可,则应选择低功率双极尖电凝,电凝过程中持续生理盐水冲滴降温,最大程度降低正常脑干功能受损。有时肿瘤边界不清,术中应监测呼吸、心跳、血压的变化,同时监测脑诱发电位,根据监测情况,应适可而止,以保证病人的生存质量[5-7]。本病例采取了先瘤内减压,获取病理结果,小心分离肿瘤与脑干边界,分离完全后次全切除肿瘤,尽可能保护了神经功能。
 
③放疗:放疗控制DIPGs进展最常用的治疗手段,但放疗无法延长多数患者的总生存期,只能在短时间内缓解症状。常规治疗手段中往往认为放疗具有一定疗效,可以改善患儿症状,且放疗方案及放疗时机仍无定论。标准方案为脑桥病灶局部, 每天予以1.5~2 Gy的放射治疗,连续治疗6周,使总照射剂量达到50~60 Gy[8]

④化疗:对于DIPGs目前尚无有效的化疗药物,无法改善其预后。有文献认为将用于幕上高级别胶质瘤的标准化疗药物替莫唑胺应用于放疗后的DIPG患者,并无法改善预后,可能会加重患者的化疗毒性反应[9]。也有少量文献认为对于某些类型的DIPG患者可能会有效。目前尚缺大样本的随机对照研究来得以证实。皮质类固醇”及其他血管生长因子抑制剂被认为对用于控制有症状的“弥漫性内生型桥脑胶质瘤”患者的“肿瘤相关性水肿”有相关疗效。本病例中患儿病情加重后,加用安罗替尼,症状有所好转。因此针对弥漫性内生型脑桥胶质瘤的治疗仍需要将来的进一步探索。


参考文献


[1] 张力伟, 王忠诚. 脑干胶质瘤治疗现状[J]. 中国微侵袭神经外科杂志, 2010, 15(4): 145-147.
[2] 中华医学会神经外科学分会肿瘤学组, 脑干胶质瘤综合诊疗中国专家共识编写委员会. 脑干胶质瘤综合诊疗中国专家共识[J]. 中华神经外科杂志, 2017, 33(3):217-229. 
[3] Fisher P G, Breiter S N, Carson B S, et al. A clinicopathologic reappraisal of brain stem tumor classification[J]. Cancer, 2000, 89(7):1569-1576.
[4] Brown AP, Thompson BG, Spetzler RF. The two point method: evaluating brainstem lesions[J]. BNI Quarterly, 1996, 12(1):20-24.
[5] 王忠诚, 张俊廷, 刘阿力. 311例脑干胶质瘤的临床特征与手术治疗[J]. 中国医学科学院学报, 2005, 27(1):7-12.
[6] Laigle-Donadey F, Doz F, Delattre J Y. Brainstem gliomas in children and adults[J]. Current opinion in oncology, 2008, 20(6):662-667.
[7] Mehta V S, Chandra P S, Singh P K, et al. Surgical considerations for 'intrinsic' brainstem gliomas: proposal of a modification in classification[J]. 中国神经肿瘤杂志, 2009, 7(3):166-166.
[8] Hargrave D, Bartels U, Bouffet E. Diffuse brainstem glioma in children: critical review of clinical trials[J]. Lancet Oncology, 2006, 7(3):241-248.
[9] Bailey S, Howman, et al. Diffuse intrinsic pontine glioma treated with prolonged temozolomide and radiotherapy-Results of a United Kingdom phase II trial (CNS 2007 04)[J]. Eur J Cancer,2013,49(18):3856-3862.

(本文由浙二神外周刊原创,浙江大学医学院附属第二医院神经外科徐佳鸣副主任医师、付再祥研究生整理,柳夫义祝向东主任医师审校,张建民主任终审)


声明:脑医汇旗下神外资讯、神介资讯、脑医咨询所发表内容之知识产权为脑医汇及主办方、原作者等相关权利人所有。未经许可,禁止进行转载、摘编、复制、裁切、录制等。经许可授权使用,亦须注明来源。欢迎转发、分享。

最新评论
发表你的评论
发表你的评论
来自于专栏
关键词搜索