病史回顾
患者, 男性,38岁;
因“摔伤致意识障碍伴呕吐1小时余”入院。
患者1小时前醉酒后攀爬单杠,不慎跌落,后枕部着力,伤后意识障碍,呼叫无对答,无言语,四肢可见不自主活动,当时呕吐,无四肢抽搐,无大小便失禁等不适。1小时来,患者意识障碍加重至昏迷,四肢无活动,无寒战,无胸闷气促,无四肢抽搐等不适,期间频繁呕吐数次,为胃内容物。
既往史、个人史:
既往体健,无基础疾病史,无长期口服药物史;吸烟史10余年,半包/日;间断饮酒史
入院查体:
脉搏74次/分,呼吸10次/分, 血压121/70mmHg, 体温37.6℃,氧饱和度97%
深昏迷,GCS4分(E1V2M1),双侧瞳孔散大固定,直径约5mm,光反应消失;颅神经查体不合作;双肺听诊可闻及广泛湿罗音;刺痛四肢无活动,双侧巴氏征未引出。枕部可触及约6.0*8.0cm头皮血肿。
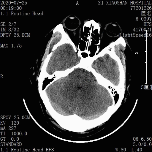
急诊头颅CT:

诊断
1.双侧创伤性硬脑膜下血肿
2.脑疝
3.双侧额叶脑挫裂伤
4.枕骨骨折
治疗方案
急诊予20%甘露醇针250ml静滴;
全麻下行“右侧额颞顶部硬膜下血肿清除术+去颅骨骨瓣减压术”;
术后镇静、镇痛、预防感染、生命支持、床旁早期康复治疗。
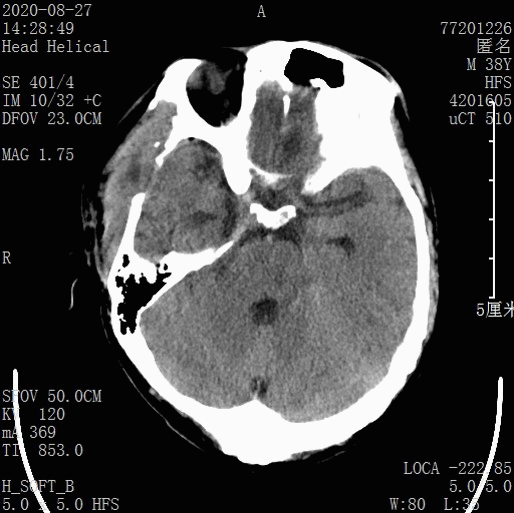
术后第一天CT:

术后第5天CT:

出院CT:

出院情况
患者搀扶可行走,对答切题,言语稍含糊。
查体:T:37.1℃,P:95次/分,R:18次/分,Bp:124/89mmHg,意识清醒,精神良好,GCS 14(E4V4M6),双侧瞳孔等大等圆,直径约2.0mm,光反应灵敏,右侧上眼睑下垂;视力、视野、听力粗测正常;颈抵抗阴性;双肺未闻及广泛湿罗音;心律齐,未闻及明显杂音;四肢自主活动;肌力查体合作欠佳;双侧巴氏征阴性。
回访:
讨论
1、双侧瞳孔散大的重型颅脑外伤手术指征;
2、术后左额叶血肿增大、脑组织水肿明显,是否需“血肿清除及去骨瓣减压”,手术指征如何把握?
3、术后意识恢复慢、遵嘱差,气管切开状态下,如何更好气管管理?




