4D-MRA能够提供更好的时间分辨率,同时保持空间分辨率,目前4D-MRA作为一种类似DSA的动态评估DAVF技术已得到广泛应用。但是,目前很少有研究评估4D-MRA在DAVF患者血管内治疗后随访中的价值。因此,来自法国雷恩的Dissaux B等人开展了本项研究,以DSA作为参考标准评估了4D-MRA在栓塞治疗DAVF后影像学随访中的有效性。
——摘自文文章章节
【REF: Dissaux B, et al. AJNR Am J Neuroradiol. 2020 Dec 17. doi: 10.3174/ajnr.A6903. Online ahead of print.】
研究背景
硬脑膜动静脉瘘(DAVF)是硬脑膜血管间的动静脉连接异常,具有一定的出血风险,目前应用手术切除和血管内栓塞可以治愈DAVF。但如果治疗后存在DAVF残留,出血的风险仍会持续存在,因此,有必要长期随访确认DAVF治疗是否有效。DSA是目前诊断和随访DAVF的金标准,但因放射线与造影剂毒性等问题以及有创操作风险使其应用存在一些不足。3D-TOF-MRA和3D-MRA等无创技术已被用于DAVF治疗后随访,这些技术的诊断准确性相对较好,但由于有限的空间分辨率和静态时间不能提高足够的血流动力学信息,仍然不足以取代DSA。4D-MRA能够提供更好的时间分辨率,同时保持空间分辨率,目前4D-MRA作为一种类似DSA的动态评估DAVF技术已得到广泛应用。但是,目前很少有研究评估4D-MRA在DAVF患者血管内治疗后随访中的价值。因此,来自法国雷恩的Dissaux B等人开展了本项研究,以DSA作为参考标准评估了4D-MRA在栓塞治疗DAVF后影像学随访中的有效性。
研究方法
纳入2008年8月至2019年5月接受栓塞治疗DAVF,并接受了4D-MRA和DSA随访的患者,两项检查间隔在6个月内,其间未进行治疗。主要终点是以DSA作为参考标准,评估4D-MRA诊断DAVF准确性和在治疗过的DAVF患者中检测DAVF残留或复发的准确性。次要终点是以DSA作为参考标准,评估4D-MRA诊断高出血风险残留或复发DAVF的准确性。4D MRA图像质量评分为被分为四级:0级(无可信度)、1(低可信度)、2(中等可信度)和3(高可信度)。两名研究者独立评估4D-MRA和DSA图像上残留或复发DAVF的存在。若存在DAVF,评估DAVF的Cognard分型并根据出血风险将患者分为低出血风险组(Cognard I,IIa)和高出血风险组(Cognard IIb,IIa+b,III,IV和V)。
研究结果
共纳入44例患者的51对检查(6个月内的4D-MRA和DSA),中位年龄65岁,其中19例(43%)为女性。治疗前Cognard分型如下:I:n=1(2.3%)、IIa:n=2 (4.6%),IIb:n=13(29.5%)、IIa+b:n=0(0%)、III:n=13(29.5%),IV:n=12(27.3%),V:n=3(6.8%)。39例(88.6%)患者行1次栓塞,5例(11.4%)行2次栓塞。患者筛选流程图如图1所示。两项检查间隔时间中位数为49天(0-155)。31例(70.4%)在DSA前行4D-MRA检查。DAVF治疗和第一次检查之间的中位间隔为124天(2-730)。DSA复查发现残余或复发DAVF29例(56.9%),其中I型4例(7.9%)、IIa型4例(7.9%),IIb型1例(1.9%)、IIa+b例0(0%)、III型11例(21.6%),IV型1例,V型1例(1.9%)。

图1. 流程图
4D-MRA的图像质量评分中位数为3分。1分图像1例(1.9%),2分图像7例(13.7%),3分图像43例(84.4%)。两名研究者间对4D-MRA监测残留或复发DAVF一致性为92%,k=0.8(95% CI,0.6-1)。在评估DAVF有出血风险的方面,研究者间的一致性为92%,k=0.8(95% CI,0.5-1)。经过一致审查,4D-MRA检测残余或复发DAVF的敏感性和特异性分别为63.6%(95%CI,40.7%-82.8%)和96.6%(95%CI,82.2%-99.9%)。4D-MRA的阳性和阴性预测值分别为93.3%(95% CI,68.1%-99.8%)和77.8%(95% CI,60.8%-89.9%)。对出血风险的检测和分层的一致性良好,k=0.60(95% CI,0.3-0.8)。图2、3展示了4D-MRA诊断真阳性和假阴性的示例。

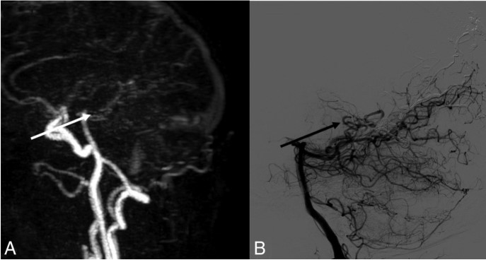
图2. A.动脉期4D-MRA矢状位。B.经左侧椎动脉行脑血管造影矢状面。A中的白色箭头和B中的黑色箭头显示早期静脉显影,出现在上矢状窦显影前,应为动静脉分流。

图3. A.动脉晚期4D-MRA矢状位。B.经左侧颈外动脉行脑血管造影矢状面。B中的黑色箭头显示枕静脉早期显影,A中未发现动静脉分流。
研究结论
4D-MRA是一种有效的无创随访技术,但其目前仍有一定局限性,还不足以作为主要DAVF诊断方式,只能用于辅助诊断,DSA仍然是诊断与随访DAVF的金标准。






