女,75岁
突发言语不能、右侧肢体无力2天
患者于2013-7-28上午8:30被发现跌倒,右侧肢体无力,右侧口角歪斜、不能言语。到我院急诊后症状明显缓解,右侧肢体活动恢复如常,可说简单言语,对答可。CT示:左侧额颞叶脑组织表面密度增高,考虑蛛网膜下腔出血;头部CTA:未见明确动脉瘤征象,左侧大脑中动脉水平段重度狭窄。予止血、尼膜同解痉等治疗,患者症状进一步改善,但仍有言语不利。2013-7-30收入病房进一步诊治。
既往高血压3年余。
个人史、家族史无特殊。
神志清,轻度构音障碍;右侧鼻唇沟稍浅;四肢肌力5级;双侧痛触觉对称;双侧病理征未引出。

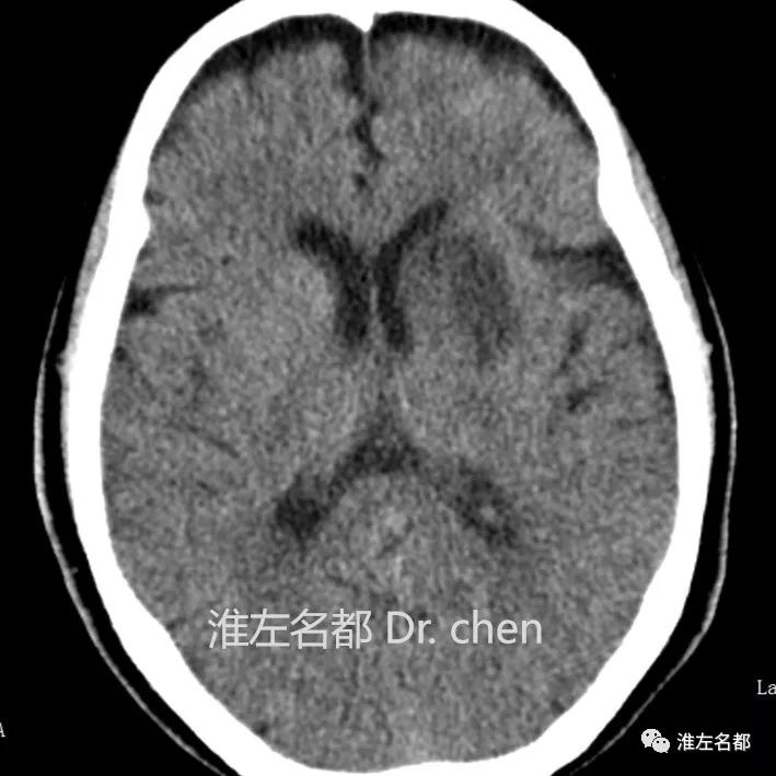
△CT平扫:左侧壳核前部稍低密度,边界模糊,
提示脑梗死。

△CT平扫:左侧侧裂池高密度影(红箭),提示蛛网膜下腔出血。

△头CTA之MIP重建:左侧大脑中动脉主干分叉部
严重狭窄(橙箭)。
1、脑梗死
2、蛛网膜下腔出血
3、左侧大脑中动脉狭窄
4、高血压病
1、虽存在左侧MCA严重狭窄,以及相关脑梗死;但因合并蛛网膜下腔出血,不宜抗栓治疗。
2、予以他汀、尼膜同等中性治疗。
2013-8-02中午突发右侧肢体无力,持续1分钟自行缓解;2分钟后再次发作,持续10分钟自行缓解。


△CT平扫:左侧壳核前部和尾状核头部低密度梗死灶,
蛛网膜下腔出血高密度已转为等密度。
予以加强补液扩容,其他治疗同前;其后未在TIA发作。
因蛛网膜下腔出血原因不明,故建议行全脑血管造影。
经沟通,患者及其家属同意行脑血管造影,签署知情同意书。

△左侧颈动脉DSA(正位):左侧大脑中动脉上干
(橙箭)、下干(红箭)近端局部管腔扩张,
造影剂显影较淡(提示局部管腔不规则狭窄)。

△左侧颈动脉DSA(右前斜位):
左侧大脑中动脉下干近端狭窄(红箭)。

△左侧颈动脉三维DSA:左侧大脑中动脉上干局部狭窄
(橙箭),左侧大脑中动脉下干局部囊状扩张(红箭)。

△左侧颈动脉三维DSA及其血管断面重建图像:
左侧大脑中动脉上干局部内膜征(橙箭)。
1、脑梗死(左侧基底节区)
2、蛛网膜下腔出血
3、左侧大脑中动脉夹层(病理改变:夹层动脉瘤+内膜征+夹层性狭窄)
4、高血压病
出院mRS:1
发病3个月mRS:0
1、混合型脑卒中是一少见疾病,其原因有:血管炎、夹层等。
2、颅内动脉夹层亦是一少见疾病,却是儿童和青年脑卒中的常见原因之一;可引起脑缺血或颅内出血,极个别情况下可导致混合型脑卒中。
3、本病例诊断混合型脑卒中并不难,难点在于评估筛查脑卒中的原因。
4、急诊CTA发现左侧大脑中动脉主干远端狭窄,可以解释脑梗死,但无法解释局部蛛网膜下腔出血。
5、既往文献报道,DSA是诊断颅内动脉夹层的“金标准”,尤其是三维DSA在诊断颅内夹层方面有独到之处。
6、本病例最终通过三维DSA结果确立了左侧大脑中动脉夹层诊断,具体影像-病理表现为:夹层动脉瘤、夹层性狭窄和内膜征。
7、该患者混合型脑卒中机制:
1)夹层动脉瘤破裂导致蛛网膜下腔出血,但因出血量少、范围局限,所以无明显脑膜刺激征;
2)夹层病变累及MCA深穿支(壁内血肿或局部血栓)引起基底节梗死。
8、急诊CTA未能诊断夹层的原因可能是:发病时夹层部位急性血栓形成,湮灭了夹层动脉瘤,CTA仅发现严重狭窄;而后血栓自溶,DSA发现夹层典型征象:夹层动脉瘤和内膜征。
9、本病例提示:
1)遇到混合型脑卒中,即使是老年患者,也要考虑到颅内夹层可能。
2)颅内夹层在早期也可能仅表现为局部管腔狭窄,导致诊断困难;短时间内的血管影像学复查可能有助于最终明确诊断。
3)三维DSA在明确诊断颅内夹层方面具有独到价值,实践中应予以重视。
10、遗憾的是该患者出院后无血管影像学随访资料,未能明确血管预后。
近年来兴起的管壁高分辨MRI技术对于诊断颅内夹层非常高效,且为无创。笔者于2014年才开展此项技术,故该患者未行高分辨MRI检查。
![]()




