病例一
术前资料
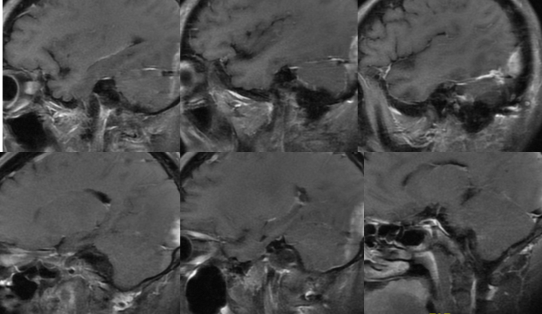
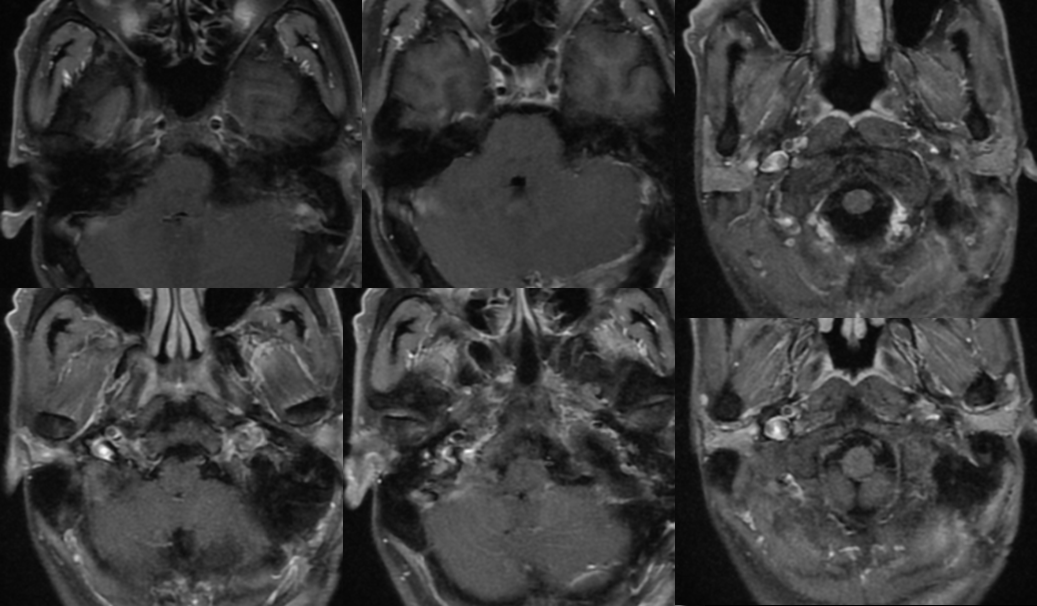
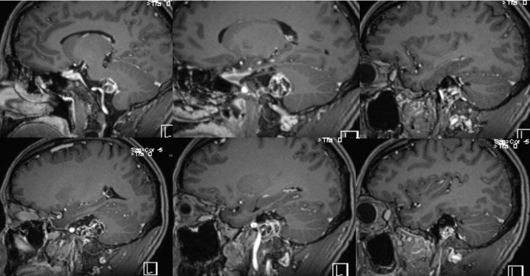
术前影像
![]()
![]()
![]()
![]()
![]()
术中过程
![]()
切口体位
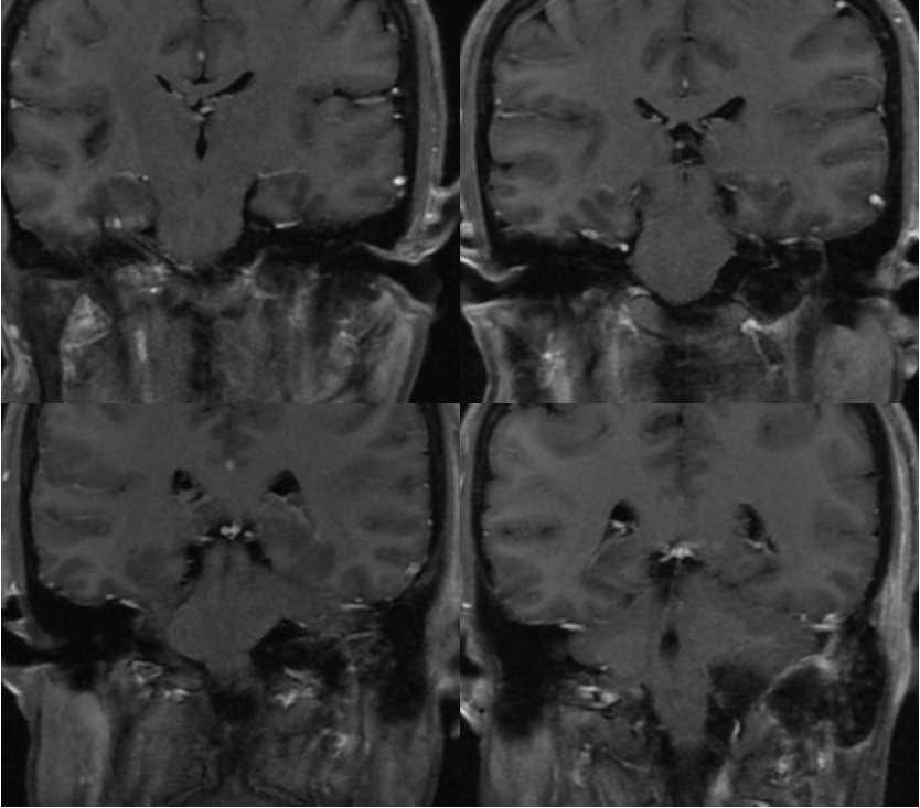
术后影像
![]()
病例二
术前资料
男性患者,63岁。
主诉:间断声音嘶哑3年。
既往体健。
查体:神清语利,双瞳孔等大等圆,直径2.5mm,对光反应灵敏。面纹对称,伸舌居中,左侧咽反射消失,四肢肌力肌张力,感觉系统未见明显异常,病理反射未引出。
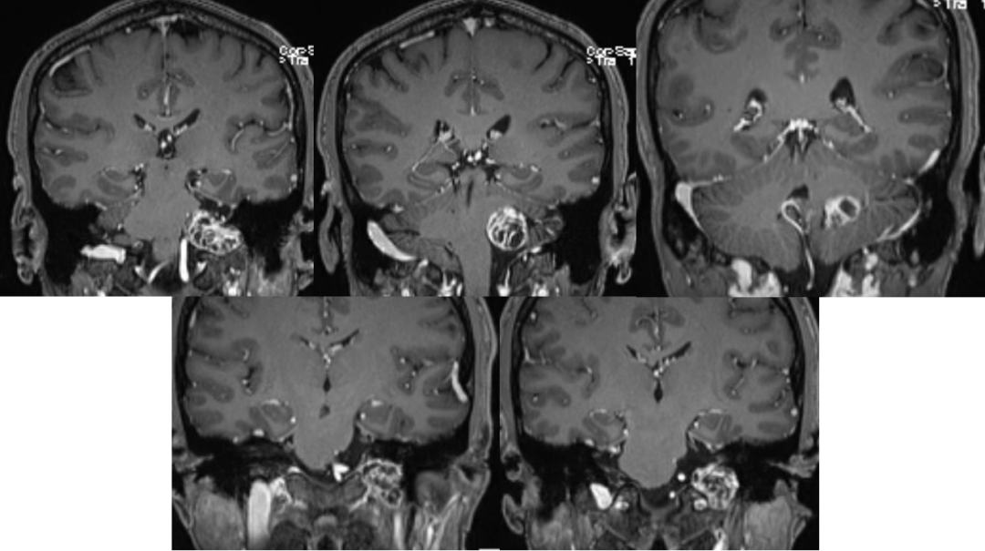
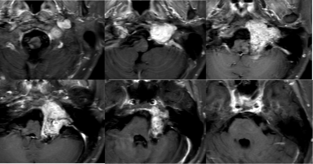
术前影像
![]()
![]()
![]()
![]()
术中过程
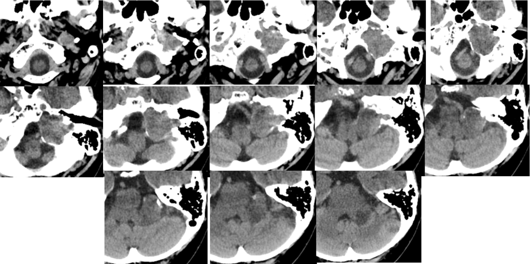
术后影像
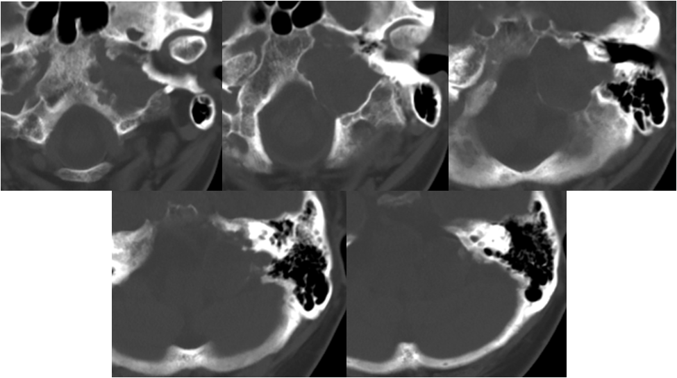
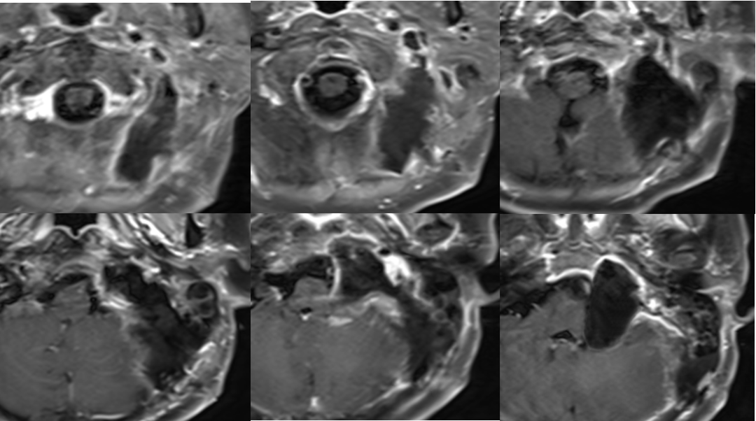
![]()
![]()
![]()
专家简介

李欢 副主任医师
首都医科大学附属北京天坛医院神经外科副主任医师,医学博士,研究方向为颅底及脑干肿瘤的基础及临床研究,颅底及脑深部病变的导航精准定位、神经功能保护与微创治疗;
中国康复医学会修复重建外科专业委员会青年委员;
北京医学会神经外科学分会智能开发与应用学组委员;
中国医刊特邀编委;
脑肿瘤研究北京市重点实验室秘书等;
2019年神经外科中青年医生脑脊膜瘤手术技能大赛冠;军;2018北京神经外科青年医师手术视频大赛冠军;2018年中华医学会精艺求菁-神经外科青年医生手术技能大赛脑膜瘤组亚军;2018年神经外科中青年医生脑脊膜瘤手术技能大赛亚军等;
主持首都卫生发展科研专项基金、吴阶平医学基金会临床科研专项资助基金、北京市脑肿瘤重点实验室课题、军口863计划、首都临床特色应用研究专项课题等;近三年发表SCI10余篇;参加编写《王忠诚神经外科学》《神经系统恶性肿瘤规范化诊治丛书》等专著4部.




