《Pediatric Neurology》杂志 2020 年11月 27日刊载[116:74-83. ]英国Barnsley Hospital NHS Foundation Trust的Michael Paddock, Sarah Lanham, Kanwar Gill,等撰写的综述《小儿脑内海绵状血管畸形。Pediatric Cerebral Cavernous Malformations》(doi: 10.1016/j.pediatrneurol.2020.11.004.)。

要点
超过三分之一的脑海绵状血管畸形(CCMs)发生在儿童。
在既往有放疗史或家族疾病的情况下,可能会遇到多发CCMs。
对所有有症状的儿童,应将SWI序列与常规MRI一起进行。
提倡个体化的风险分层的病人管理方法。
脑内海绵状血管畸形是中枢神经系统第二常见的血管畸形,三分之一以上见于儿童。病灶可以是单发的或多发的,偶然发现的,散发的,或继发于家族性海绵状瘤病(familial cavernomatosis)或放疗。儿童可能出现局灶性癫痫发作、颅内出血或局灶性神经功能障碍,却没有近期出血的放射影像学证据。我们报告几例患有脑海绵状血管畸形的儿童,并探讨其诊断的挑战性、主要的影像特征、随访影像的作用,以及他们的后续处理,包括立体定向放射外科和显微外科切除。提倡对所有受影响的儿童及其家庭进行患者个体风险分层(Individual patient risk stratification )。
脑海绵状血管畸形(Cerebral cavernous malformation, CCM)是2018年血管异常分类研究国际学会)(International Society for the Study of Vascular Anomalies classification对由异常增大的非分流性毛细血管腔组成的血管畸形(nonshunting vascular malformations comprised of abnormally enlarged capillary cavities)的命名。CCMs也被称为海绵状血管瘤(cavernous angiomas)或普遍称作(ubiquitously)cavernomas(海绵状血管瘤)。虽然大多数患者发生在30岁至40岁之间的成年期,CCMs可以影响任何年龄的患者,35%的病例发现在儿童。在这篇对来自三级儿科神经科学中心病例的图片回顾(pictorial review)中,我们探讨了在儿科人群中诊断CCMs的挑战性,并讨论了其主要影像学特征和随后的治疗选择。参考成人文献,因为患有CCMs的儿童将会成长为患有CCMs的成人,这对咨询建议和随访的影响是高度相关的(the implications for counselling and follow-up are highly relevant)。
背景
海绵状血管畸形(CCMs)不常见,发生在0.5%的人群,但属于第二常见的中枢神经系统血管畸形。CCMs可发生在神经轴的任何部位,但最常见于幕上(80%)和皮层下部位。与其他血管畸形不同,CCMs由扩张的血窦(sinusoidal)血管(既非动脉也非静脉)组成,缺乏增强弹力蛋白或平滑肌层(lack a reinforcing elastin or smooth muscle layer)。因此,血管直接并行而无脑实质介入其间(the vessels are directly apposed with no intervening brain parenchyma。这些异常血管易于复发性微出血,导致炎症、病灶周围胶质增生和含铁血黄素沉积(prone to recurrent microhemorrhage leading to inflammation, perilesional gliosis and hemosiderin deposition)。
以前已经提出有关与CCM相关的出血的不同定义。由于CCMs的组成,所有CCMs之前都有一定程度的出血,有症状的病灶出血具有最重要的临床意义。因此,标准化的临床定义创立于2008年:“...急性或亚急性出现症状(归因于海绵状血管瘤解剖位置的头痛、癫痫引起的癫痫发作、意识受损、或新的/加重的局灶性神经病学缺陷[FND])伴随协同最近病灶外或者病灶内出血的影像、病理、手术或脑脊液证据证据。值得注意的是,该定义排除了孤立的CCM直径增加,没有其他近期出血和存在含铁血黄素晕(the existence of a hemosiderin halo)的证据。
CCMs通常是散发的、孤立性病灶,但在大约15%的患者中可能是多发的。立体定向放射外科(SRS)治疗或常规放射治疗后可能会出现多个CCMs ,治疗剂量在生命的头10年超过30Gy。此外,30Gy以上,剂量越高,CCM的发病潜伏期越短(the higher the dose above 30 Gy, the shorter the latency period to the incidence of CCM)。因此,在儿童时期接受过头颅放射治疗,并可能在迟至41年后,在影像学上识别出有出血性病变的成人中,CCM是一个重要的诊断考虑因素。CCMs是接受头颅放射治疗的儿童白血病幸存者中最常见的颅内异常。他们在诊断时均报告无症状,大多数影像学随访稳定。
无既往放射治疗史或家族性疾病的儿童,报告的CCMs的年新发率(The annual rate of de novo CCMs)为每个病灶0.6%(每个患者0.4%)。家族性脑海绵状血管畸形(Familial cerebral cavernous malformation,FCCM;也被称为家族性海绵状血管瘤病[familial Cavernomatosis])是造成三分之一到二分之一的多发性CCMs的原因。它具有常染色体显性遗传或散发性模式(autosomal dominant or sporadic pattern),经3个基因突变: CCM1 (KRIT1);CCM2 (MGC4607);和CCM3(PDCD10),的基因检测证实,这些基因的外显率高,但不完全(85%)。CCM3突变可能只占FCCM患者的一小部分,但随着患者年龄的增加,新发病变的形成数量增加,并可能导致整个儿童期间发生颅内出血(ICH)的更大风险。
CCM3与皮肤病变、脊柱侧凸(scoliosis)、脊髓CCMs、认知障碍和脑肿瘤有关,包括前庭神经鞘瘤、星形细胞瘤和脑膜瘤。应该对家族史阳性的患者、无相关的发育性静脉异常(DVA,最常见于散发CCM,而不是FCCM的患者)多发CCMs患者、或无既往头颅放射治疗史的患者详细了解家族史连同进行基因测试。
临床表现
CCMs患者的表现和临床过程是多样的,高达50%的患者是无症状的,偶然发现的。此外,决定临床表现的并非单纯的放射影像学上识别出的病灶数目,而是病灶的类型。报告的儿童诊断时的平均年龄刚刚超过10岁。受影响儿童中只有不到一半(45%)会出现以下典型症状:局灶性癫痫发作(50%);脑内出血(ICH)(25%);以及无近期出血的放射影像学证据的局灶性神经功能缺陷(FND)(25%)。靠近或涉及大脑皮层的病变可能是潜在的癫痫发作病灶,即致痫灶,即使没有显著的脑内出血(ICH),儿童也可能出现癫痫发作。
我们简要讨论成人数据,以情境化与儿科患者和他们的照顾者的潜在的临床讨论。在成人中,首次发作的风险与偶发CCMs患者(6%)和急性脑出血患者(4%)没有显著区别。在新诊断为CCM的患者中,报告的新癫痫发作率为每个患者年1.5%到4.3%,然而,在既往有癫痫发作史的患者中,新发作率增加到每个患者年5.5%。在这些患者中,第一次癫痫发作后5年内发生癫痫的风险为94%,这远远高于那些诊断为动静脉畸形(AVMs)的患者(58%)。
当儿童出现自发性脑内出血(ICH)时,应排除CCMs和其他血管畸形。来自CCMs的脑内出血通常是小的和局灶性的,与其他颅内血管畸形相比,报告的作为结果的功能损害较轻。婴儿CCMs可能遵循一个更动态的过程,病变的大小和/或数目增加。此外,当硬脑膜病变伴存在多个脑实质CCM时,应将硬脑膜CCM纳入到鉴别诊断。
出血危险
年龄、性别、CCM多样性和家族史尚未被报道为儿童CCM出血的重要预后危险因素。CCMs患儿症状性出血的重要危险因素是:脑干部位约占CCMs的11-15%;前哨性出血(sentinel hemorrhage)后的头3年可能出现出血性聚集(反复出血);相关的影像学表现为DVA (不同的静脉血管组织引流正常脑实质)。DVAs显示为放射状径向(radially orientated)的水母头血管(‘caput medusa’ vessels)的集合,被认为是异常的,而不是畸形的。在脑干CCMs患儿中,前瞻血脑出血最显著的危险因素是诊断时影像学上病灶大小超过2cm和存在病灶周围水肿。此外,前瞻性出血被认为是完全恢复的不利预测因素,最近被报道为脑干CCMs患儿预后较差的唯一独立危险因素。
在患有CCM的成人中,年龄、性别和CCM的多样性尚未被发现是前瞻性出血的预后危险因素。然而,既往出血已被报道为进一步/反复CCM出血的最重要因素;同时急性出现脑内出血(ICH)或新的局灶性神经功能缺陷(FND)。
出血率
年出血率(The annual hemorrhage rate)被定义为与新的CCM出血的影像学证据相关的新的局灶神经功能缺陷(FND)。总的儿科人群的年出血率报告为3.3%。然而,据报道,偶然诊断的CCMs的出血率要低得多,为0.5%(总体),1年和5年未治疗的随访出血率分别为0.5%和0.3%,此前报道的出血率低至0.2%。由于159例患者中193例CCMs中只有11个出血性病灶,所以对5年未治疗随访亚组的分析是有限的。症状性出血性CCMs的出血率上升到11.3%,在CCM出血的头3年内进一步上升到18.2%,此后下降到4.8年。
在成人中,一项系统的综合分析报告,先前估计的年出血率为2.5% /患者-年(annual hemorrhage rates of 2.5% per patient-year)。报告的症状性出血率为0.1%至2.7% /病灶-年(per lesion-year),0.013%至16.5% /患者-年(per patient-year);然而,大多数CCM自然史研究报告的出血率要小得多(much narrower hemorrhage rates),在0.7%至6%/患者-年(per patient-year)之间。
儿童的总体出血率高于成人(3.3%相比2.5%),可能反映了发现出血的年龄越小,,儿童的终身出血风险较大,以及影像学患病率随着年龄的增加而增加、这对于家族性海绵状血管瘤(FCCM)患儿来说尤其如此,约30%的患儿出现新的病灶,且发现病灶数目与患者年龄之间有很强的相关性。这反过来又与出血风险的增加有关,因为潜在出血可能出现的时间越久,总体报告的年出血率较高,为4.3%/患者-年出血率(per patient-year)。
无症状和小的基底节CCMs通常遵循良性病程。然而,据报道,患有CCMs的儿童的总体永久性神经疾病发病率为29%,这取决于病灶部位:脑干、丘脑或基底节区病变为45%;15%是幕上脑叶或小脑病变。此外,预测的儿童的脑桥病灶未来年出血率明显高于脊髓病灶(medullary lesions)的(15.3%相比5.9%)。切除儿童的症状性较大的(超过1.5 cm)基底节区病灶,报道仅有局限性的神经后遗症(最小程度的症状),影像学和临床随访均未发现再出血或神经功能恶化。
影像特点
据报道,儿科CCMs的总体影像学患病率为0.6%,最低的是婴儿(0.2%),随着年龄的增加而增加。
计算机断层扫描(Computed Tomography, CT)对CCMs继发的急性脑出血(ICH)的检测是很敏感的,并且会表现为高密度病灶。其他表现可能是细微的和/或非特异性的,特别是当出血很小的时候(图1和2)。CT也可以在既往出血的非复杂CCM中发现微钙化灶(图3)。如果临床怀疑为急性脑出血(ICH),CT也可识别并发症,如相关的肿块占位效应和脑积水,并可在工作时间内和工作时间以外随时获得CT(is readily available both in- and out-of-hours)。
随着磁共振成像(MRI)的出现,对CCMs的识别有所增加。如果怀疑CCMs或已作出癫痫的诊断,磁共振成像是首选的调查方法。CCM的MRI表现为异常血管渗出的血红蛋白在病灶内及病灶周围的破裂产物,在较高的磁场强度下表现较好。特征性表现包括小叶或“爆米花/桑葚样”,由于血红蛋白分解产物进化的不同阶段,T1和T2加权成像(WI)信号强度混合高。典型的,由于高铁血红蛋白和周围含铁血黄素边缘暗沉,有一些中央高的T1-WI信号(图3和5)。近期出血可表现为T1-WI信号增加、病灶周围水肿和局部肿块效应特征,这在不复杂的CCM中是不典型的。
然而,孤立性CCM的MRI表现可能很难解释,因为对比强化后不规则边缘强化的表现“不典型”。在这种情况下,在初次/表现扫描中发现了相关的对比增强后,也应适当考虑瘤内出血,这是由于最近出血导致的血脑屏障短暂破坏所造成的。因此,使用血液敏感序列,如敏感性加权成像(Susceptibility Weighted Imaging,SWI,下文将讨论)对MRI进行详细分析,以发现可能的进一步病变,将极大地有助于缩小鉴别诊断范围和排除肿瘤。下面还将详细讨论对比增强后MRI在评估CCMs中的作用。
SWI是一种速度校正(velocity corrected)梯度回波( gradient-echo,GRE) T2*-WI序列,是检测CCM最敏感的序列,当怀疑CCM时应进行该序列。这一序列利用了由于血红蛋白分解而沉积的含铁血黄素中的铁引起的局部磁场的不均匀性,也被称为“开花(blooming)”假象(artefact)。这导致信号强度损失和典型的低信号外围边缘变得更加明显,病变表现得更大更明显(图1和3),即使在没有信号异常或病变显示T2 -加权和T1-加权(图2)。这样,三倍病变时发现GRE序列执行相比,快速自旋回波(Turbo Spin Echo)序列对于任何给定的CCM突变载体。值得注意的是,CCMs通常显示一个完整的含铁血黄素环与恶性病变相反,如果有瘤内出血,则可能显示不完整的含铁血黄素环。
校正后的SWI相,也被称为GRE相成像,利用了出血/含铁血黄素和钙化在相反方向影响相位编码(phase encoding)(即空间定位spatial localization)的事实,理论上可以区分钙化和含铁血黄素。然而,这个序列可能不能准确地量化铁沉积,这可能会阻碍成像解释。
弥散加权成像(Diffusion weighted imaging, DWI)序列可以被认为是一个“游离(free)”的T2*序列,因为它对磁化率伪影非常敏感(very sensitive to susceptibility artefact)。这些序列还显示含铁血黄素沉积中的铁的“开花”假象,即磁化率(susceptibility),可见为低信号强度的焦点区域。如果没有SWI或其他GRE序列,则应仔细检查(be scrutinized)DWI序列,虽然其分辨率通常低于正式的SWI序列的分辨率,但DWI序列可能有助于搜索ICH。在DWI上识别低信号病变(图1和图2),当未(或非常规)进行DWI时,确实需要使用GRE序列,应使用正式的SWI序列进行进一步评估。T2*/GRE或SWI序列在本质上是快速的,相对于自旋回波/快速自旋回波序列(Spin Echo/Turbo Spin Echo Sequences),可以很容易地纳入标准的儿科大脑成像协议。
对比增强后MRI在以下方面很有用:术前计划和检测上覆静脉;排除潜在的肿瘤;以及对相关发育性静脉畸形(DVAs)的评估,这在SWI上也很容易证明。而CCMs可以显示延迟对比增强后的明显的中心强化(intense central enhancement following delayed post-contrast imaging,常规对比增强成像显示,由于这些病变的低流量/压力性质,或最小或没有明显的强化。因此,仅凭对比增强成像很难与AVM鉴别,加强了SWI在CCM影像学诊断中的应用。考虑到CCMs由于其低流量特性而在血管造影上具有隐匿性,血管造影(CT血管造影、磁共振血管造影或常规导管血管造影)在CCM诊断中的作用有限。然而,它可能在评估一般脑血管异常和/或正常解剖变异时有用,这可能与术前评估和风险分层有关。CCM的进一步鉴别影像学特征包括畸形血管巢或扩张的供血动脉的缺失,而在AVM(高流量病变)中通常可见这些。
因此,如果有怀疑,进行导管血管造影排除动静脉畸形或硬脑膜动静脉瘘。
Zabramski等人发表的MRI分类系统普遍存在:I型,高信号T1-WI(亚急性血肿);II型:典型的“爆米花”病变,中心不均匀T1-和T2-WI(细胞内外高铁血红蛋白伴低信号的含铁血黄素边缘);III型:T1、T2-WI等至低信号(含铁血黄素);IV型:T1-、T2-WI呈点状低信号病变。基于Zabramski分类的出血率已经发表:I型和II型CCMs的出血率明显高于III型和IV型病变,出血风险增加的最大预后因素是亚/急性退化血液产物的存在,即既往出血。对于那些研究CCMs的人来说,这种分类仍然是一种有用的工具,但是在临床实践中它仍然没有得到充分的利用,而且在MRI检查报告中也不经常引用。
如上所述,CCMs的大小不一,从微小的点状病变到更大的可能是新发的巨大CCMs。虽然其临床、外科或组织病理学表现没有不同,但其放射影像学表现可能有显著差异。虽然许多CCMs在CT上通常难以识别,但较大的病灶更为明显,表现为复杂的、分叶状和超衰减(hyperattenuating)的肿块,后者继发于偏心和点状钙化(eccentric and punctate calcification),导致斑点状(speckled)表现。在MRI呈囊性表现主要是高(内在的)T1-WI信号强度(They appear cystic on MRI with spandominantly high (intrinsic) T1-WI signal intensity),但由于存在不同年龄的血液产物也有明显异构(图4)。在SWI上,较大的病变可能显示轻度病灶周围水肿和可能伴随着其他小的点状病变(图4)。可以忽略常规MRI序列,CT上可能是隐匿的。值得注意的是,微小的点状磁敏感伪影可能代表毛细血管扩张(capillary telangiectasia),这也是低流量病变,但潜伏期比CCMs预期的短,通常在低剂量辐射暴露后1-2年出现。
血氧水平依赖的对比功能磁共振成像(Blood-oxygen-level-dependent contrast functional MRI)是一种测量血液磁敏感的技术,并已被用于绘制大脑的有效区域,以计划神经外科干预。作为血管畸形,CCMs改变了磁敏感(继发于含铁血黄素沉积),这可能导致绘制过程中血氧水平依赖信号的错误配准(result in the misregistration of blood-oxygen-level-dependent signal during Mapping)。这限制了该技术在手术计划中的应用,因为神经外科手术对切除的信心降低了。
动态磁敏感对比灌注MRI(Dynamic susceptibility contrast perfusion MRI)利用了钆剂(一种顺磁剂paramagnetic agent)在T2-WI上的局部磁化率引起的信号丢失,可用于CCMs的术前成像评估。CCM的自然史是(反复)病灶出血导致的高渗透血窦血管(hyperpermeable sinusoidal vessels)和含铁血黄素沉积。CCM的渗透性越强,沉积的含铁血黄素中的铁负荷越大。
弥散张量成像(Diffusion Tensor Imaging,DTI)是一种非常宝贵的高级MRI技术,可用于术前评估大脑重要功能区域的CCMs(图4)。DTI利用白质束的扩散特征生成空间分辨率“映射图”,以提高对功能束的解剖学理解。它成功地应用于CCMs的术前影像学评估,作为一种重要工具,通过告知手术入路和制定决策来降低术后并发症发生率。
由于DTI是基于DWI(因此是GRE)的序列,出血性CCM病变导致信号丢失。病理标本证实皮质脊髓束纤维穿过含铁血黄素环(代表沉积在白质束的血液产物),并偏离CCM中心(图4)。DTI与其他神经导航系统相结合,可以在术中显示与目标病变相关的功能束,从而增加全切除的可能性,同时最大限度地减少术后神经功能缺损。DTI应被纳入对位于皮质脊髓束内/周围以及大脑任何重要功能区域的CCMs的术前MRI评估中。

图1、所选神经影像来自15岁男性,急性头痛发作,意识模糊,双下肢无力,左侧较右侧著。在初始头部CT报告为正常的情况下,对持续的无法解释的症状进行MRI检查。(a)复查轴位DWI (b0)显示右侧额叶低信号灶。(b)轴位SWI显示低信号爆米花状病灶,在与(a)相同的位置有明显的开花现象,病灶看起来更大更明显,符合CCM。当在DWI上检测到易感性或开花伪影时,应立即获得正式的SWI,这是我们中心的常规儿科脑部序列。回顾病人先前的影像显示他在6岁时因在学校头部被撞后有过呕吐而进了头部CT检查。(c)头颅轴位CT显示右侧额叶有一个高密度的焦点(箭头),这是急性脑内出血的表现,但没有感觉。(d)审查最近的头部CT显示在同一位置确定有一个微妙的高密度局灶(箭头):病灶(c)和(d)位于相同的位置,磁共振证明为CCM。这个患者表明CCM的CT表现微妙和可能会被忽视。在报告儿童头部CT成像时,特别是考虑到脑内出血和明显的局灶神经功能缺陷的可能性,应始终存在有CCM的可能性。如(a)和(b)所示,MRI有助于诊断。


图2、16岁女性患者,双侧下部鼻侧视野 缺损,疑似颅内病变。轴位T2-WI (a)示左侧额叶小的高信号病灶,被低信号环包围(箭头),对应有矢状位T1-WI高信号(b)(箭头)。(c)轴位DWI (b0)显示相应的局灶信号缺失,即在与(a)和(b)(箭头)相同的位置出现了“开花”伪影。在毗邻左侧侧脑室枕角的脑室周围白质可见进一步低信号区域(d)(箭头),但但在同期的轴位T2-WI没有同时发生的信号异常 (e)。患者再行轴位SWI显示在整个大脑的几个区域有“开花的”伪影子(箭头)(f-h)。然而,相应的轴位幕上T2-WI(i)显示未见低信号病灶(h)。SWI时获得的轴位头部CT (j)在左侧额叶的同一位置SWI显示一个微妙的局灶高密度(箭头)(a)和(b)。(a-j)的影像特点符合多发CCMs和在多个CCMs的情况下,SWI值加强,而在其他MRI序列上不可见,或者在CT上显示不清。


图3、所选轴位神经影像来自12岁男性,有左额CCM伴癫痫发作。(a)头部CT显示左侧额叶有偏心性钙化的高密度区域。(b) T2-WI和(c) T1-WI显示左额叶特征性小叶“爆米花”表现,信号强度不均,反映了血红蛋白破裂的不同阶段(高铁血红蛋白引起中央高信号,含铁血黄素沉积引起低信号边缘包围)。(d) SWI在同一位置显示显著的“开花”伪影,这是CCM的典型特征。靠近或累及大脑皮层的病灶可能是潜在的癫痫发作病灶(致癫痫灶)。对患者服用药物无法控制的癫痫灶进行显微外科切除,术后治愈。随访 MRI未发现残留病灶。


图4、所选MRI来自10岁女性,有2年偏身肌张力障碍病史。(a)轴位T2-WI显示右侧基底节区大的异质性病变,中央信号强度混合,符合巨大CCM。(b)轴位T2*-WI较好地显示周围低信号含铁血黄素边缘,并在右侧额叶胼胝体膝前部进一步发现小的点样CCM。(a)同期轴位T2-WI未发现相应的信号异常,进一步加强了SWI对CCM的诊断价值,特别是应积极寻找可能伴巨大CCMs的小的/微小的点样病灶。(c)冠状位T1-WI进一步显示巨大CCM的内部异质性和部分囊性。(d) (冠状位重建)Willis环飞行时间血管造影显示病灶没有动脉供血。进行DTI是考虑到巨大CCM位于高度重要功能区域:(e)斜冠状位和(f)轴向成角视图显示右侧皮质脊髓束及其与巨大CCM的关系。选择这些影像是为了更好地突出白质束及其围绕病灶的偏移,而不是显示病变本身。患者有家族性海绵状血管畸形(FCCM)家族史,KRIT1突变阳性(CCM1,常染色体显性遗传)。手术切除巨大CCM后,肌张力障碍明显改善。对较小的右侧额叶CCM进行SRS治疗,在随访影像中保持稳定。


随访成像
关于儿科CCMs影像学随访的指南还没有很好的建立。建议对那些被认为不适合手术干预的出血性CCMs最初每3-6个月进行一次影像学检查,之后每年随访一次。然而,新的或进展的症状可能要求更频繁的影像学随访,特别是在考虑干预的情况下。由于报道的年出血率为0.3%(5年随访)和0.7%(每个病灶-年),偶发的小点状CCMs的随访频率较低。目前,没有证据证明对无症状的脊髓CCMs患者进行常规脊柱影像学检查是正确的,对无脊髓病症状(the absence of myelopathic symptoms)不推荐进行干预。然而,如果检测到髓内出血性脊髓病变,考虑到可能需要手术或SRS,建议对其余神经轴进行影像学检查。
管理
一般来说,对偶然发现的CCMs,我们提倡保守治疗,因为手术风险超过了这些病变自然史中观察到的出血风险。无论从广义上说,在那些曾经出血过的病变中,两权相侵(balance)可能倾向于干预。手术干预的选择包括SRS或显微手术。应根据病灶的位置、大小、症状负荷和出血史,采用个体化风险分层方法。病变位置和临床表现是决定最合适的管理和治疗的最重要因素;然而,SRS在孤立性出血性病变中的作用并不确定。
神经外科干预有两个主要指征:症状性和/或显著性脑内出血(ICH);以及药物治疗难治性癫痫发作。正如预期的那样,位于基底节和脑干深处的CCMs具有较大的外科挑战性。在那些切除的CCMs中,必须保留任何相关的DVA(发育性静脉畸形),以防止后续的静脉性梗死(venous infarction)。
伽玛刀放射是放射外科中最受青睐的方法,因为它可以在保留周围组织的同时,为病变提供精确的辐射剂量。SRS相关并发症发生率的风险必须与反复出血的风险相平衡,后者的并发症发生率增加的风险要大得多。因此,对于“位置较深的”病灶,提倡更积极、更早的管理方法(a more active approach with earlier management for more ‘deep-seated’ lesions is advocated)。据报道,在SRS治疗后,孤立性CCM患者的再出血风险显著降低(图5),特别是对于有症状的脑干CCM患者,认为手术切除是高风险的。对于无法手术治疗和/或进袭性(aggressive)病灶,减少放疗剂量(边缘剂量为12-14 Gy)可能是一种合适的治疗选择,同时可以平衡弥补(counterbalancing)辐射诱发的损伤和SRS治疗后再出血的风险。


图5、一名有学习困难和自闭症谱系障碍病史的14岁男性患者的T2-WI轴位(a)质子密度和(b)SRS治疗前定位MRI。在(b)中左侧丘脑CCM的典型表现(中心高T1信号,外周含铁血黄素环低信号)比(a)中显现得更好。注意周围基准标记。随访MRI是在5年后(a)和“难以抬起头部”临床状态恶化(b)时进行的。选择(c)轴位T2-WI ,与SRS治疗前成像相比(a)和(b) ,(d)冠状T2-WI和(e)矢状T1-WI显示在左侧丘脑CCM含铁血黄素沉积增加。3年后获得了进一步的磁共振(c-f)和SRS治疗后8年22岁(a - b) 时他的行为恶化。与(f)相比,(g)轴位T2-WI、(h)冠状T2-WI、(i)矢状T1-WI和(j)轴位SWI在与(c-f)相同的水平上显示稳定的表现,(g)没有进一步的开花现象。注意(e)和(i)中存在气管内插管。



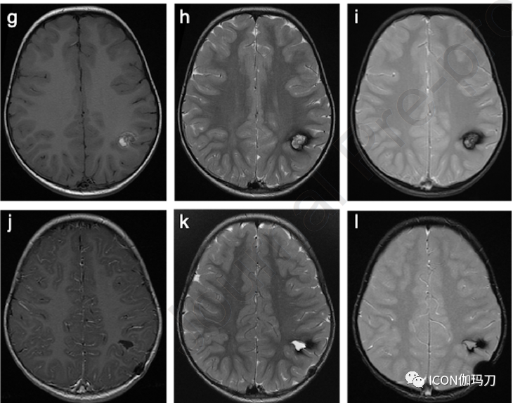
图6、有左侧CCMs的儿童的术前和术后影像学。对一名14岁男性每日癫痫发作不受控制进行MRI检查。(a)轴位T2-WI, (b)矢状位对比增强后T1-WI和(c)矢状位FLAIR显示左侧额叶镰旁CCM。(a-c) 10个月后(d-f)的术后成像(相同序列在同一水平)显示手术床没有增强,中心液体含量简单,术后低信号含铁血黄素沉积。注意(d-f)中额部和顶部的术后金属伪影。术后癫痫症状消失,仍在服用抗癫痫药物。选择另一位有癫痫发作的5岁男性的轴位MRI。术前(g) T1- WI, (h) T2-WI和(i) T2*-WI显示左顶叶病变,符合CCM。术后(j-l),其中(j)是对比增强后)在同一水平近2年后的成像(g-i),显示手术床没有强化,只有简单的中心液体含量和术后低信号含铁血黄素沉积。注意手术夹(j-l)在左顶颅骨造成的开花伪影。他无症状,直到9年后出现癫痫发作。进一步MRI未显示急性脑出血,或新的或残留病变,他开始服用抗癫痫药物。如果病变位于表面(如这些患者),一般首选显微外科切除;如果发生脑出血;或者辐射对周围组织损伤的风险太高。

如果病变位于浅表部位(图6),如果发生了较大的脑出血,或者辐射对周围组织损伤的风险太高,一般首选显微手术切除。对于多发性CCMs患者,保守治疗失败,而对于已发现致痫性病灶的顽固性癫痫发作患者,手术切除可能是成功的。对于脑干大的CCMs患儿(2cm及以上),具有显著的肿块效应和症状负荷(即广泛和/或进行性神经功能障碍),或病变是外生性的(exophytic),即使只有单次的出血事件,也可考虑手术切除。确定的术后全面(神经)恢复的重要不良预测因素是术前共患病(comorbid)状态,两次或两次以上的术前出血,以及年龄在12岁及以上的儿童。重要的是,报道不完全切除术是单独的预测术后再出血的危险因素。
结论
儿童海绵状血管瘤(CCM)是一个不常见但重要的诊断。在有既往放疗史或家族性疾病的情况下,可能会遇到多发性CCMs。最显著的MRI特征是:在T2加权成像上见典型的“爆米花/桑椹样(popcorn/mulberry)”病变的暗黑含铁血黄素环(the dark hemosiderin ring);高铁血红蛋白的固有高T1信号(intrinsic high T1 signal,from methemoglobin);以及含铁血黄素沉积对铁的敏感性(the susceptibility of iron from hemosiderin deposition),这在MRI上被利用来增加病变的显著性(the susceptibility of iron from hemosiderin deposition)。SWI应在以下情况下进行:所有在CT影像上发现急性脑内出血(ICH)的儿童接受常规MRI检查时;患有癫痫发作和/或局灶性神经功能缺陷(FND)的患者;以及对所有疑似和确诊的CCM患者评估病变的完整范围,确保微小的点状病灶不被忽视。提倡个体化的病人管理方法,在病人和照护者之间就治疗的风险进行坦率的讨论,包括基因检测对病人及其家人的影响。




