法国波尔多大学医院-圣安德烈医院肿瘤内科的L. Poetsch等的研究发现非典型IDH突变型胶质瘤具有明显的影像学和组织学特征,可能与肿瘤发展的遗传易感性相关。文章发表在2020年11月的《Journal of Neuro-Oncology》在线。
——摘自文章章节
【Ref: Poetsch L, et al. J Neurooncol. 2020 Nov 17. doi: 10.1007/s11060-020-03662-x. [Epub ahead of print]】
2016年版世界卫生组织(WHO)胶质瘤分类并未对不同的IDH突变型胶质瘤加以区分;大多数IDH突变型胶质瘤密码子132(p.R132H)的精氨酸变为组氨酸;约10% IDH突变型胶质瘤具有非典型IDH突变,即非p.R132H IDH1和IDH2突变。非典型IDH突变型胶质瘤患者的临床和影像血特征尚不确切。法国波尔多大学医院-圣安德烈医院肿瘤内科的L. Poetsch等的研究发现非典型IDH突变型胶质瘤具有明显的影像学和组织学特征,可能与肿瘤发展的遗传易感性相关。文章发表在2020年11月的《Journal of Neuro-Oncology》在线。
研究者对166例非典型IDH1/IDH2突变型胶质瘤与155例IDH1 p.R132H突变型胶质瘤患者进行比较。非典型IDH突变型胶质瘤诊断时中位年龄为38岁,IDH1 p.R132H突变型胶质瘤患者诊断时中位年龄为43岁。非典型IDH突变型胶质瘤患者的癌症家族史比IDH1 p.R132H突变型患者常见(22.2%:5.1%;P<0.05)。IDH突变型胶质瘤主要位于额叶。与IDH1 p.R132H突变型胶质瘤相比,非典型IDH突变型胶质瘤位于幕下者较多(5.5%:0%;P<0.05),并且呈多中心性分布(4.8%:0.9%;P<0.05)。与IDH1 P.R132H突变型胶质瘤相比,非典型IDH1突变型肿瘤中,星形细胞瘤多见(65.6%:43%;P<0.05);IDH2突变型肿瘤以少突胶质细胞瘤多见(85%:48.3%;P<0.05)(图1)。IDH1 p.R132H突变型胶质瘤患者与非典型IDH突变型胶质瘤患者的平均总生存期相似(图2)。
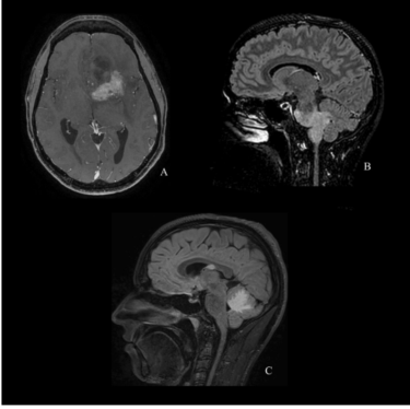
图1. A.40岁男性,左额叶R132G IDH1突变型星形细胞瘤;B.20岁患者,脑干R132G IDH1突变型胶质瘤;C.23岁男性,多中心性R132G IDH1突变型星形细胞瘤,累及松果体和小脑。
图2. Kaplan–Meier分析患者的总体生存时间。A.非典型IDH1突变型;B.IDH2突变型;C.非典型IDH突变型;D.R132H IDH1突变型。大多数非典型IDH突变型胶质瘤患者临床和影像学特征均提示为低级别胶质瘤。与IDH1 p.R132H胶质瘤患者相比,非典型IDH突变型胶质瘤主要位于额叶;诊断时的中位年龄稍低,但无统计差异。无论IDH1突变的类型如何,这类肿瘤的病理解剖学特征都符合弥漫性低级别或间变型胶质瘤,而不是胶质母细胞瘤。但非典型IDH突变型胶质瘤在多个方面不同于IDH1 p.R132H突变型胶质瘤。首先,这类患者的癌症家族史比例高,表明遗传基因的改变对诱发胶质瘤起重要作用。在易导致胶质瘤形成的种系突变中,NF1、p53、MMR和APC突变最为常见。此外,Li-Fraumeni综合征与IDH1 R132C突变型星形细胞瘤的进展相关。非典型IDH突变型胶质瘤的存在表明有已知或未知的遗传学改变;遗传突变易导致体细胞突变的积累,包括非典型IDH突变。在CCDC26附近的第8号染色体上,遗传风险等位基因(rs55705857中的等位基因G)促进胶质瘤进展的危险增加6倍;而且常表现为少突胶质成分或IDH1/IDH2突变。Jenkins等在研究中未评估非典型IDH1突变在胶质瘤进展中的作用,但发现携带遗传风险等位基因患者的IDH2突变型胶质瘤患病率更高。L. Poetsch等研究认为,胶质瘤伴有内生性软骨瘤病的IDH突变与胶质瘤诊断时年龄轻(25.6岁)有关。非典型IDH突变型胶质瘤患者和IDH1 p.R132H突变型胶质瘤患者诊断时的中位年龄相近。由于IDH突变型胶质瘤进展缓慢,与携带体细胞镶嵌IDH突变的内生软骨病患者相比,很可能在相同年龄时获得IDH突变,而与突变类型无关。对中线胶质瘤成年患者的研究表明,部分脑干胶质瘤存在组蛋白H3K28M突变和意外的非典型突变。L. Poetsch等的研究显示,非典型IDH突变型胶质瘤好发于脑干。1例R132G IDH1突变型2级星形细胞瘤有2个病灶,分别位于小脑和松果体。此外,发现脑干胶质瘤存在的IDH1突变,大多数是非R132H突变型。由于H3K28M突变和IDH突变都影响组蛋白甲基化,因此脑干胶质瘤的进展可能需要早期对前体细胞进行组蛋白修饰。准确区分IDH突变型弥漫性中线胶质瘤与IDH野生型弥漫性中线胶质瘤对于疾病的处理至关重要。尽管在无组蛋白突变的幕下低级别胶质瘤中IDH突变很少见,但检测仍然重要。与IDH R132H突变型肿瘤相比,多中心性胶质瘤在非典型IDH突变型肿瘤中更为常见。多中心性胶质瘤通常是克隆性肿瘤,占散发性胶质瘤的2%-5%。但在某些情况下,这些肿瘤可能来自不同的细胞克隆。此外,多中心性胶质瘤在胶质瘤易感患者中常见。分析影像学特征发现,非典型IDH突变型肿瘤的多中心性发生率更高。多中心性胶质瘤患者常可伴有其它恶性肿瘤,该现象支持遗传易感患者的胶质瘤多克隆起源机制。研究发现,在IDH1 p.R132H患者中,1例IDH1 p.R132H突变型多中心性2级星形细胞瘤患者伴发II B期卵巢浆液性癌和子宫内膜样腺癌,与遗传性癌症易感性相符;该两种妇科癌症中均未出现IDH1 p.R132H突变。Hartmann等研究1010例弥漫性胶质瘤后认为,IDH1 R132C突变型与星形细胞瘤密切相关,IDH2突变型与少突胶质细胞瘤相关。非典型IDH突变型和IDH1 p.R132H突变型对酶功能的影响相似,因为IDH1和IDH2的所有四种类型的突变(包括R132H、R172G、R172K和R172M)均降低异柠檬酸脱氢酶的酶促活性。IDH1突变型胶质瘤通常具有星形胶质细胞分子特征,而没有1p/19q共缺失;相比之下,IDH2突变型胶质瘤通常具有少突胶质细胞分子特征和1p/19q共缺失。与IDH突变型、非1p/19q共缺失的胶质瘤患者相比,1p/19q共缺失胶质瘤患者在诊断时的年龄更大。
综上所述,该研究指出,非典型IDH突变型胶质瘤具有独特的影像学和组织学特征。大部分患者与癌症家族史有关;病变可位于幕下或多中心性起源。作者建议,具有癌症家族史、疑似低级别胶质瘤以及肿瘤位于幕下或多中心性起源,但未发现IDH1 P.R132H突变的患者,应进行IDH1和IDH2突变分析,并鉴定其种系多态性,因为种系多态性可能导致非典型IDH突变型胶质瘤的进展。

声明:脑医汇旗下神外资讯、神介资讯、脑医咨询所发表内容之知识产权为脑医汇及主办方、原作者等相关权利人所有。未经许可,禁止进行转载、摘编、复制、裁切、录制等。经许可授权使用,亦须注明来源。欢迎转发、分享。