
脊柱脊髓疾病的治疗既涉及脊柱稳定性、生理曲度的重建,又涉及神经结构的减压和保护,因此在治疗时既需要脊柱内固定和矫形技术又需要显微神经外科技术,多种技术同时应用才能为患者提供更加适宜、安全的治疗。
为了促进神经外科和骨科之间的学术交流,宣武脊柱脊髓联盟每周组织一次脊柱脊髓疾病病例讨论会,邀请国内外神经外科和骨科专家针对典型病例进行讨论。讨论会采用线上直播,并可以网络回放的形式对全国同道开放。通过对这些病例的讨论分析,权威专家的精彩点评,可以使我们对这些疾病的发病机制、治疗理念以及最新的治疗技术有更加全面的认识。希望国内的同道在线点评、斧正。
第二十七期
讨论主题:Brief Medical History
讨论专家:

菅凤增 教授
首都医科大学宣武医院

张方迤 教授
西雅图华盛顿大学Harborivew医疗中心

韦峰 教授
北京大学第三医院

周迎春 教授
武汉协和医院

陈赞 教授
首都医科大学宣武医院

吴浩 教授
首都医科大学宣武医院

王作伟 教授
首都医科大学宣武医院

段婉茹 副主任医师
首都医科大学宣武医院

王凯 副主任医师
首都医科大学宣武医院

关健 主治医师
首都医科大学宣武医院
F, 34y
History of present:
Left lateral back pain for half a year, aggravation for 3 months
PH: (-)
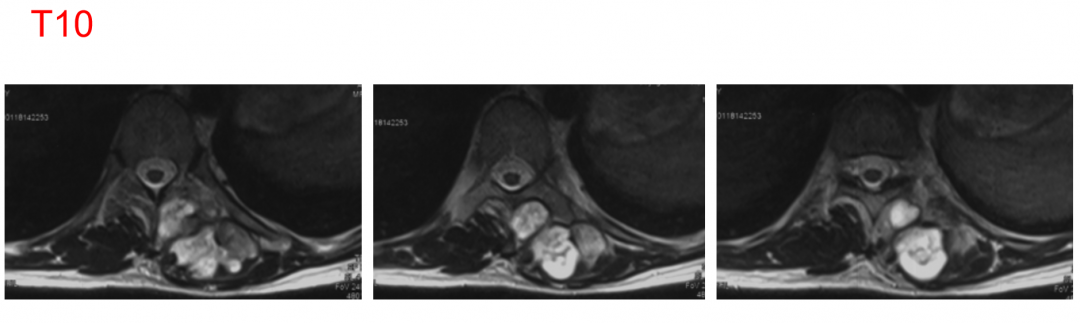
影像资料:




MR T2





MR +C


CT







X-RAY

Biopsy


直播路径
直播时间:2月3日07:00-07:45
电脑端观看链接:登录网址
https://www.medtion.com/meetingInfoLive.jspx?id=1364即可进入直播界面
联系我们
讨论会主持人:菅凤增
讨论会负责人:吴浩
讨论会联系人:董亚超 13621079396
![]()













