
病史简介
患者信息:
患者简介:
男,61岁。
主诉:
右侧肢体乏力2年,头晕发作3个月。
现病史:
患者2年前突发右侧肢体乏力,去当地医院溶栓治疗效果不佳,后住院继续用药,康复治疗约半年之后患者右侧肢体乏力症状有所缓解,仍有头晕发作。入院一月前行双侧颈动脉超声和双侧椎动脉超声检查发现椎动脉闭塞,左侧颈动脉球部狭窄(小于50%)。
查体:
患者意识清晰,言语流利,对答准确,无吞咽困难,双瞳等大等圆,直径2.5mm,对光反射灵敏,双侧鼻唇沟对称,伸舌居中,双侧肢体肌力V级,肌张力均正常,共济失调(-)。
既往史:
有多年高血压病史。
影像学检查图片及注解:
术前脑血管造影提示患者右侧椎动脉发育不良,血管闭塞有侧枝代偿。

术前脑血管造影提示患者左侧椎动脉为优势侧,但V1段闭塞,通过甲状颈干代偿供应椎动脉V2段及其远端血供。

术前脑血管造影提示右侧颈动脉系统未见明显异常。

术前脑血管造影提示左侧颈内动脉起始部中度狭窄(50%)。

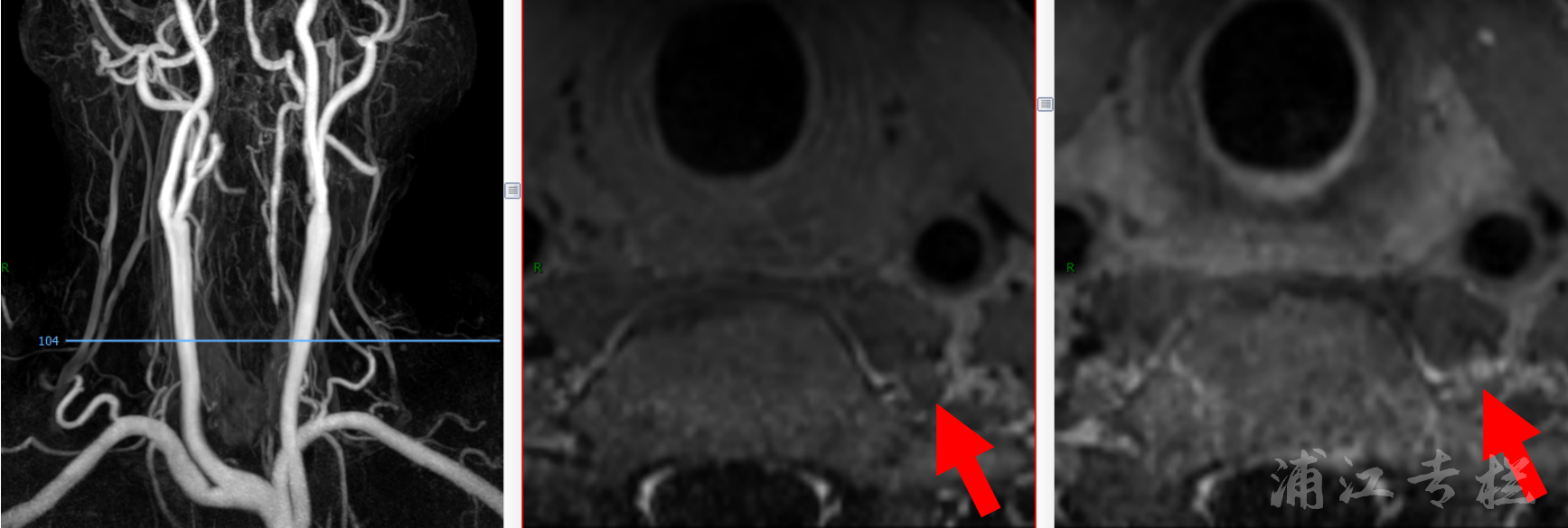
术前HR-MR 血管壁评估:
MRA提示双侧椎动脉V1段闭塞,V2-V4段血管可见显影,左侧椎动脉较粗,考虑为相对优势侧。

箭头示椎动脉V1段闭塞处官腔内的斑块。

Snap序列高信号提示管腔斑块是血栓成分为主。

高分辨MR连续层面提示左侧椎动脉闭塞远端官腔可见。


高分辨MR提示左侧椎动脉闭塞处增强前成等信号,增强后成高信号。

诊治经过
术前诊断:
双侧椎动脉闭塞(左侧为优势侧)。
术前讨论:
患者头晕数月,考虑与后循环缺血有关;双侧椎动脉闭塞,且前循环代偿差,仅依靠旁路(甲状颈干)供血;左侧椎动脉为优势侧,术前HR-MR提示左侧椎动脉闭塞较局限(仅V1段闭塞),考虑予以开通。
手术方案:
经侧支旁路(甲状颈干)逆行开通左侧椎动脉V1段。
术中器械:
8F导引导管,traxcess微导丝,2.5*20mm球囊,3.5*30mm球扩支架等。
手术流程:
患者全麻起效,仰卧位,取右侧股动脉为穿刺点,穿刺成功后,置入8F动脉鞘。
全身肝素化(5000IU肝素),8F导引导管进入左侧锁骨下动脉,并固定。
traxcess微导丝引导微导管通过甲状颈干分支逆行进入椎动脉V2段近端。

旋转导丝通过闭塞血管进入锁骨下动脉,并交换为3m微导丝,选择2.5*20mm球囊扩张闭塞血管,造影显示有正向血流。

从锁骨下动脉顺行超选微导丝进入椎动脉V2段远端,选择3.5*30mm球扩支架到位后释放。

术后即刻造影显示支架到位良好,狭窄明显改善。

术后随访:
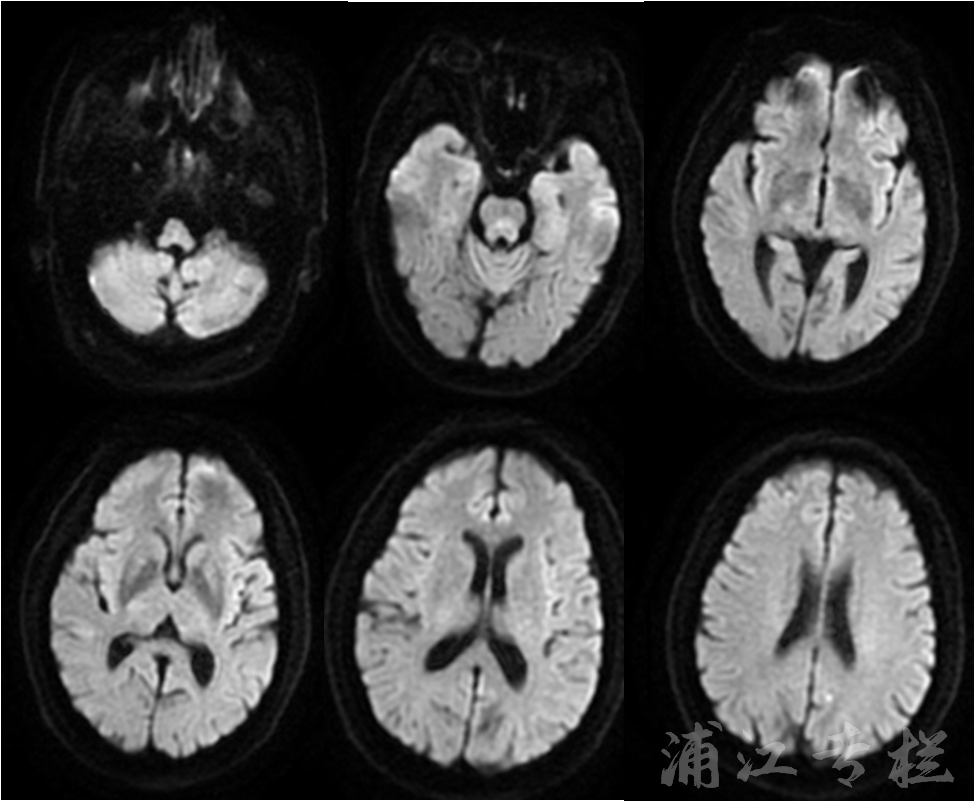
术后4天行磁共振DWI序列显示无新发脑梗。

术后7个月脑血管造影复查显示支架到位良好,血管未见再狭窄。

病例总结
对椎动脉(V1段)闭塞患者的治疗仍然存在不确定性。虽然抗血小板治疗方案加风险因素管理已用于治疗慢性椎动脉闭塞性疾病的患者。但是随访发现,尽管进行了最大程度的药物治疗,这些患者的缺血症状仍经常发作,其中18%的患者严重残疾或死亡[1]。导致这一结果的原因可能与侧支循环代偿不足等有关。
椎动脉起源于锁骨下动脉,鉴于其固有的解剖特点,若顺行开通,血管内操作往往由于近端没有很好的支撑而导致开通失败。而该患者造影上左侧椎动脉起始部为“平头”,血管无残端显影,这一点加大了顺行开通的难度。因此,考虑尝试逆行开通慢性闭塞的椎动脉。
查阅相关文献,逆行导丝开通技术在慢性冠状动脉闭塞领域应用较为多见[2]。逆行开通慢性闭塞椎动脉,仅有1例病例报道(2018年,中国脑血管病杂志)[3],采用微导丝经颈升动脉侧支代偿血管超选入椎动脉,后折向椎动脉近心端寻找闭塞起始部,指引慢性闭塞再通,提供了一种新的手术途径。
本文报道的病例通过侧支旁路(甲状颈干)代偿供血椎动脉V2段及其远端血管。不同的是,本次手术先采用导丝逆行通过闭塞段,进入夹层,用小球囊(直径为2-2.5mm)扩张后,导丝再进入到真腔(即锁骨下动脉);同时采用对吻技术,用另一微导丝顺行进入夹层通道,到达远端真腔;最后沿着顺行导丝植入球扩支架。
本次手术难点在于采用对吻技术如何从近端真腔经夹层到远端真腔,使用小球囊逆行扩张办法可以避免过度撕裂造成动脉夹层的风险,为迅速探得血管真腔创造机会。
参考文献:
1. Muller-Kuppers, M., et al., Intracranial vertebral artery disease in the New England Medical Center Posterior Circulation Registry. Eur Neurol, 1997. 37(3): p. 146-56.
2. Wu, E.B., W.W. Chan, and C.M. Yu, Retrograde chronic total occlusion intervention: tips and tricks. Catheter Cardiovasc Interv, 2008. 72(6): p. 806-14.
3.惠鑫等,经侧支循环路径导丝逆行指引椎动脉慢性闭塞开通一例,中国脑血管病杂志2018,15(12):657-659
术者简介
万杰清 教授
上海交通大学医学院附属仁济医院
神经外科副主任,脑血管病区主任。
主任医师、硕士生导师。
卫生部脑卒中筛查与防治中青年专家委员会委员
国家卫计委脑防委缺血性卒中外科治疗委员会常务委员
中国卒中协会神经介入分会常务委员
中国医师协会神经介入专委会委员
中国医师协会神经外科分会脑血管病介入学组专家委员
上海医学会脑卒中分会副主任委员
上海市医学会神经外科分会委员
脑血管病介入学组副组长
本文编辑:郭沁华
主审:万杰清






