
为提高中国神经脊柱外科临床和学术水平,解决临床实际问题,加强China-INI神经脊柱外科联盟学术交流。China-INI神经脊柱外科联盟拟采用具体病例为中心学习模式开展定期,多中心多学科参加的特殊病例讨论会。
讨论会定于7月28日起直播。China-INI神经脊柱外科中心将邀请数个国内具有相当规模和经验的神经脊柱外科中心或脊柱外科中心参加讨论。China-INI将提前发布每次讨论会讨论题目和内容。讨论会由脑医汇-神外资讯全网直播,可以通过脑医汇-神外资讯直录播链接观看会议直播及录像。
如联盟内其他中心有意愿分享讨论有学术价值的特殊病例,可以向讨论会组委会提交申请。本讨论会将尽力组织相应专家,并安排时间进行讨论。
主办单位:China-INI神经脊柱外科联盟
协办单位:脑医汇-神外资讯
讨论专家:

菅凤增 教授
首都医科大学宣武医院

仉建国 教授
北京协和医院

韦峰 教授
北京大学第三医院








刘振磊 住院医师
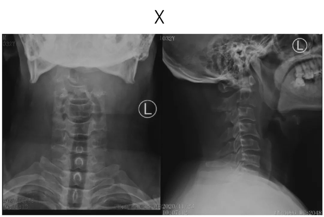
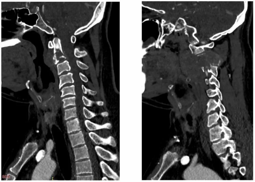
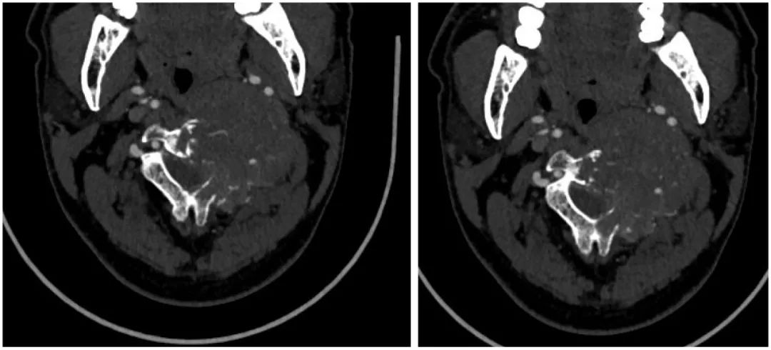
病史:male, 63 y/o
Present History:
Neck pain for 3 months
Past history:
-
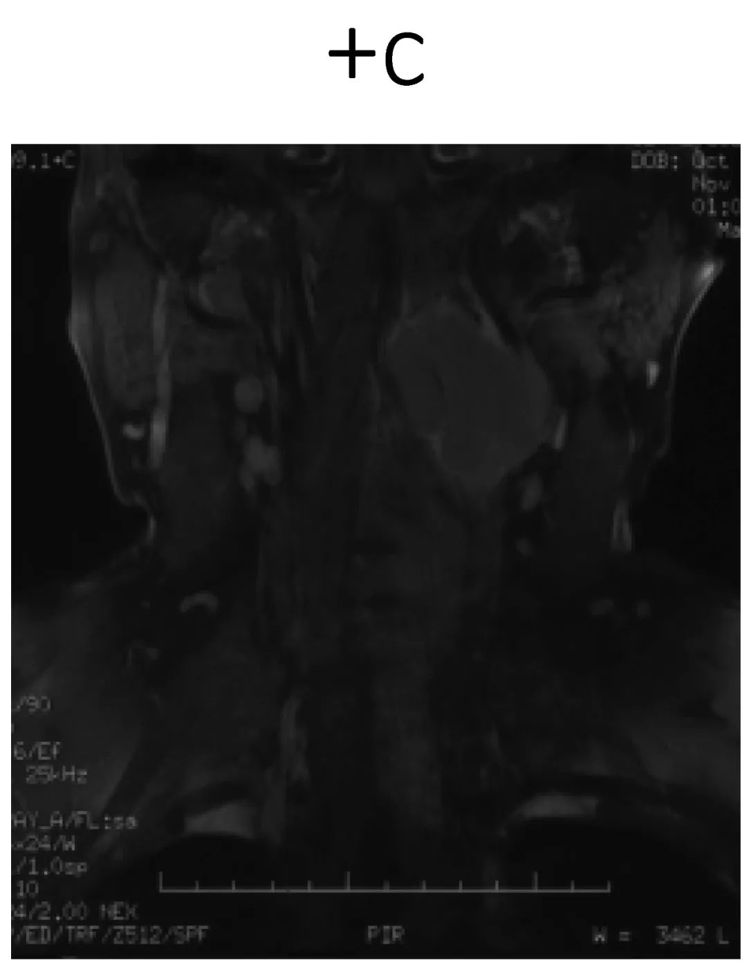
影像资料:
















诊断:C2椎体肿瘤
https://www.medtion.com/meetingInfoLive.jspx?id=1364即可进入直播界面
讨论会主持人:菅凤增
讨论会负责人:陈赞
讨论会联系人:董亚超 13621079396












