2020年12月17日发布 | 1028阅读

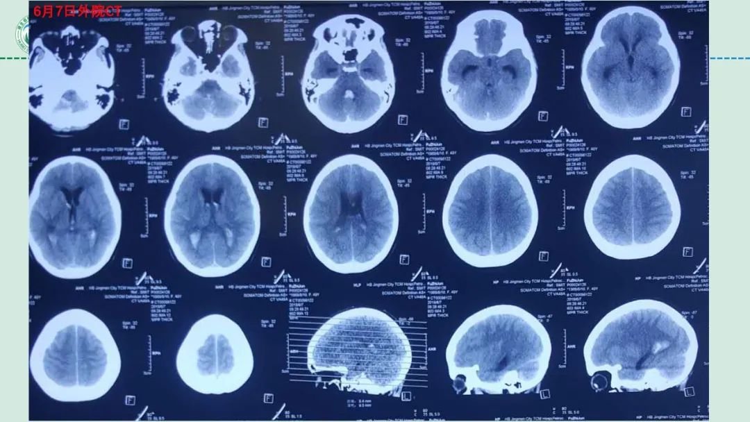
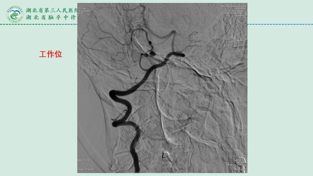
李俊教授团队:右侧PICA延髓扁桃体段多发动脉瘤

李俊

武汉中心医院

达人收藏





































































































































































































































































































































































































































今日与大家分享的是《正海-妙术视界》第二百三十二期,由湖北省第三人民医院李俊教授团队带来的右侧PICA延髓扁桃体段多发动脉瘤,欢迎观看、分享。


专家简介

李俊,医学博士,主任医师(三级)、教授。武汉大学、江汉大学、南方医科大学、湖北中医药大学硕士研究生导师。德国Kiel大学神经医学中心访问学者。现任湖北省第三人民医院(湖北省中山医院、湖北省脑卒中诊疗中心、国家示范高级卒中中心)神经外科主任。原广州军区武汉总医院神经外科(全军神经外科研究所)副主任。现任中国神经科学学会神经损伤与修复分会委员会副主任委员,湖北省脑血管病防治学会副会长兼支部书记、曾任中华医学会神经外科学分会介入专业学组委员。《中华神经医学杂志》、《中国临床神经外科杂志》等杂志编委。


从事神经外科工作近30年,在国内率先开展多模影像融合诊治复杂脑血管病。目前主要从事脑血管疾病(脑卒中)综合防治工作。技术特色是采用显微手术、介入治疗、内镜技术、影像融合等多模式复合诊疗技术救治疑难脑血管病。近五年,共撰写论文20余篇,其中5篇发表在SCI杂志。曾获得军队医疗成果三等奖4项(第一名),军队科学技术进步二等奖2项(第二名),军队医疗成果二等奖2项(第二、五名),湖北省科技进步二等奖1项(第三名)。已培养毕业研究生5名,协助培养博士后1名、博士生3名、硕士生4名。以第一主研承担湖北省科技攻关计划2项、湖北省自然科学基金1项,湖北省卫生科技项目4项,武汉市科研项目3项。












































声明:脑医汇旗下神外资讯、神介资讯、脑医咨询所发表内容之知识产权为脑医汇及主办方、原作者等相关权利人所有。未经许可,禁止进行转载、摘编、复制、裁切、录制等。经许可授权使用,亦须注明来源。欢迎转发、分享。

最新评论
发表你的评论
发表你的评论
来自于专栏