
脑肿瘤术后出血是神经外科较常见的并发症,多发生在术后1~2天,出血原因较复杂,主要原因如下:
一是术中操作不当。如手术方式粗暴,增加创面;解剖过程层次不清,清除不彻底;术中颅内压波动较大等。
二是术后处理不当。包括患者意识清醒后,拔管不轻柔、呛咳过剧,患者情绪躁动使血压升高,高血压患者控制血压不理想等;术后颅压过高未及时降压,或在颅压不高的情况下,过度使用脱水剂等致使颅压变低、颅内容积效应改变等。
三是患者体质较差。如年龄大、脑血管变性及硬化等,凝血系统会引发机体产生纤溶,从而出现局部的消耗性凝血障碍。
作为一名神经外科医生,首先要正视自己的错误和问题,然后才能吸取教训、总结经验,不断进步。
本文通过3个脑肿瘤患者术后出血的病例,分析其发生原因及处理,让大家尽可能降低此类出血发生几率。
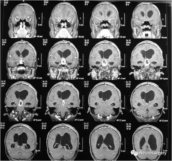
女性,11岁,间断头痛、恶心1年,双眼模糊1月,加重1周。PE:双眼视力下降,余无明显异常。既往体健。头MRI:鞍内、鞍上、三脑室、下丘脑占位,伴幕上脑积水。



术式:冠切右额开颅肿瘤切除术,术中见肿瘤位于鞍内、鞍上、三脑室及下丘脑,呈灰红色,质地中等,血供极为丰富,边界不清,给予镜下切除,术中出血约2500ml,输入异体红细胞2400ml,血浆1000ml。
术后当天查双侧瞳孔不等大,左:右为2.0mm:2.5mm。急查头颅CT示左额硬膜外血肿,双侧侧脑室及四脑室可见血性高密度影。

急诊行冠切左额开颅硬膜外血肿清除术,术中清除血肿约80ml,手术过程顺利,术中出血约50ml,未输血。

术后恢复良好,顺利出院。病理:毛细胞型星形细胞瘤(WHO-I级)

1、术中减压过快。主要为脑脊液释放过快,使远隔部位产生负压虹吸作用,导致硬膜外血肿。而多数医师在释放脑脊液时,会有如释重负的感觉,也想尽快为患者降低颅内压,尤其是遇到视力下降的患者,或者使脑组织更容易牵拉显露病变,最终导致无法控制释放速度。
2、患者肿瘤血供丰富,切除难度大,粘连重,手术时间长、出血多,导致凝血功能出现异常,从而导致术后出血,但往往是术区的出血更多见。

男性,60岁,双眼视力下降8年,加重伴右下肢无力2年。查体:记忆、理解、认知水平下降,神清语利,双侧瞳孔不等大,左:右=3.5:3.0,右眼眼前1.2m数指,左眼无光感,左侧直接对光反射消失,间接对光反射灵敏,右侧直接对光反射灵敏,间接对光反射消失,右眼颞侧偏盲,右侧肢体肌力4级,左侧肢体肌力5级,右侧膝腱反射稍亢进。CM病史11年,控制良好,高血压病史6年,控制良好。




术式:冠切右额开颅肿瘤切除术;镜下分块切除。留置瘤腔引流管一根;术中出血约:2700ml,输异体红细胞800ml,血浆400ml,机洗红细胞1250ml,术后患者双侧瞳孔等大等圆,直径2.5mm。术后即刻查头CT提示:术区出血。给予止血,并给予血浆输入,增加凝血功能。

术后查纤维蛋白原含量 1.59(g/L),白蛋白 21.7(g/L),输注血浆400ml,纤维蛋白原0.5g 静点,改善凝血,给予白蛋白20g,提高胶体渗透压。引流管引流通畅,引流淡红色脑脊液。患者逐渐出现中度昏迷,自主呼吸弱,11-12次/分,给予呼吸机辅助呼吸,CPAP模式,心率120次/分,血压145/82mmHg,双侧瞳孔不等大,左:右为2.5mm:3.0mm,对光反射消失,双侧巴氏征阳性。

瘤腔引流管通畅,引流颜色加深。动态复查CT,术区出血及双侧侧脑室积血较前增多,给予患者行原冠切右额开颅颅内血肿清除术;术中出血约550ml,自体血回输250ml,输异体红细胞400ml,新鲜冰冻血浆200ml。

1、术中止血不彻底。术区出血,往往由于术中止血不彻底导致,有时小静脉、小动脉出血,我们往往采取明胶海绵压迫止血,我们相信每位医师都会止血彻底后才关颅,但有时仅仅是血凝块堵塞血管破口,暂时不出血,术后颅压高、血压高、咳嗽、躁动、呛咳等诱因出现,导致破口处压力增加,从而出现再次出血。此时,我们需要评估责任血管是否可以烧灼,或者仅仅压迫?
2、患者肿瘤切除难度大,粘连重,手术时间长、出血多,导致凝血功能出现异常,本例患者纤维蛋白原低,从而导致术后出血。

女性,11岁,间断头痛8月半。右侧额颞顶部凸出隆起,左侧肢体肌力4级,左侧病理征阳性,余查体无明显异常。既往体健。




术式:右额颞顶枕开颅肿瘤切除术,术中见肿瘤位于右额、颞、岛、顶、枕、丘脑、基底节区,呈灰红色,质韧,血供丰富,边界清楚,给予镜下切除,手术顺利,术中出血约3200ml,输入异体红细胞3200ml,血浆1200ml。瘤腔及硬膜外置管引流。
术后复查血凝结果:凝血酶时间 44.00(秒),活化部分凝血活酶时间 57.80(秒),纤维蛋白原含量 1.16(g/L),凝血酶原时间 17.20(秒),血浆200ml输入。
术后当天,HR168次/分,RR16次/分,BP115/92mmHg,浅昏迷,间断躁动,双侧瞳孔等大正圆,直径3.0mm,对光反射消失,四肢肌张力增高,双下肢著,双侧病理征(+)。行头部CT检查:左额、左颞顶枕巨大硬膜外血肿。

急诊行左侧额、颞顶枕开颅硬膜外血肿清除术。术后恢复顺利,病理:间变性胶质纤维瘤。


1.术中减压过快。主要为脑脊液释放过快,使远隔部位产生负压虹吸作用,导致硬膜外血肿。而多数医师在释放脑脊液时,会有如释重负的感觉,也想尽快为患者降低颅内压,尤其是遇到视力下降的患者,或者使脑组织更容易牵拉显露病变,最终导致无法控制释放速度。
2、引流管引流过多,术后需严密观测引流量,尤其在拔除气管插管时、血压高时、呛咳时、躁动时,甚至外出行CT检查时,都可能出现瞬间引流过多的情况。从而使远隔部位产生负压虹吸作用,导致硬膜外血肿。
3、患者肿瘤切除难度大,粘连重,手术时间长、出血多,导致凝血功能出现异常,从而导致术后出血,但往往是术区的出血更多见。
4、关颅时脑压较高,未重视,应及时复查头颅CT。





