神外资讯《新医神外双周刊》第十三期为大家分享的是由新疆医科大学第一附属医院买买提力·艾沙教授带来的:跨血管夹闭颅内多发动脉瘤伴脑出血一例及文献分析,感谢苗统医生的资料编辑,欢迎广大神外同道阅读并提出宝贵意见和建议。
临床资料
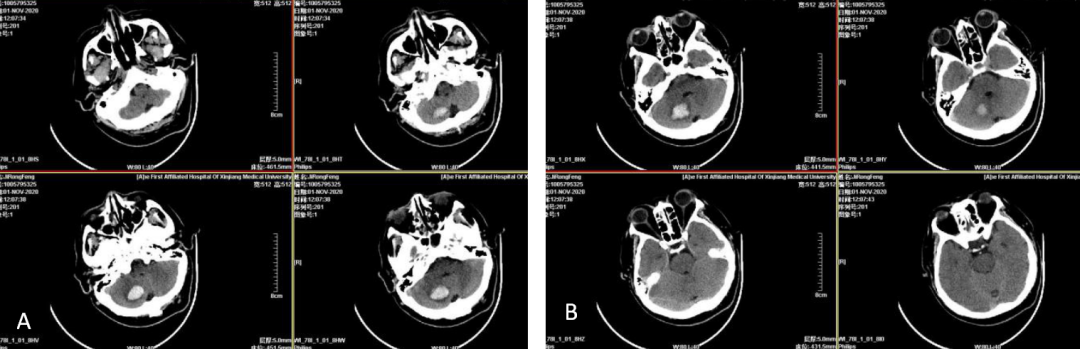
头部CTA


DSA


病例分析
PART 01
患者为小脑出血,入院后进一步行CTA及DSA检查发现左侧前交通复合体动脉瘤、左侧大脑中M1分叉部动脉瘤,小脑出血(2.5cm×2.8cm×2.4cm/2)为8.4ml,患者无神经功能恶化或脑干受压,根据2019年中国蛛网膜下腔出血指南“出现神经功能恶化或脑干受压的小脑出血者,无论有无脑室梗阻致脑积水的表现,都应尽快手术清除血肿(Ⅰ级推荐,B级证据);不推荐单纯脑室引流而不进行血肿清除(Ⅱ级推荐,C级证据)”[13],患者无蛛网膜下腔出血,结合动脉瘤位置[前交通动脉、大脑中动脉,破裂出血常在纵裂池、环池、鞍上池、四叠池、外侧裂以及相近的脑实质内(常位于幕上)]及小脑出血(幕下,位于小脑脑实质内)特点,小脑出血与动脉瘤无关,所以脑出血可选择保守治疗,密切观察患者的症状、体征、意识、瞳孔及复查CT结果,若有病情进展,可考虑手术。
PART 02
患者为未破裂多发动脉瘤,若同时夹闭2个动脉瘤,对病人的手术体位、切口、动脉瘤的大小及形体、动脉瘤的指向、瘤颈宽度、载瘤动脉与周围血管、神经、骨性结构的关系及动脉管壁硬化钙化以及瘤颈处载瘤动脉有无分支血管、动脉瘤中有无穿支血管、血流动力学改变等均需考虑。分析患者为小型动脉瘤,形态不规则,指向不同,影像学未见明显钙化,但有同时夹闭可能。
PART 03
患者56岁,且均为宽颈动脉瘤,小型动脉瘤,一个动脉瘤位于大脑中M1分叉部,根据指南“倾向于栓塞术的因素:年龄>70岁、不存在有占位效应的血肿、动脉瘤相关因素(后循环动脉瘤、窄颈动脉瘤、单叶形动脉瘤);倾向于推荐夹闭术的因素:年龄较轻、合并有占位效应的血肿、动脉瘤相关因素(大脑中动脉及胼周动脉瘤、瘤颈宽、动脉瘤体直接发出血管分支、动脉瘤和血管形态不适于血管内弹簧圈栓塞术)(Ⅱ级推荐,C级证据)”[13]。
PART 04
栓塞动脉瘤费用较高,对于小型宽颈动脉瘤且同时栓塞2个动脉瘤有一定难度。
治疗
手术经过
手术过程分析
讨论
参考文献
专家介绍

1





