脑积水,顾名思义,颅内积水了。分类方法很多,在此不再赘述。从物理学的角度来看,物体的变形与受力和自身弹性(顺应性)有关。当物体受几个不同方向的力时,物体的移位要看受力的向量关系,简化一下就是压力差;物体受力后的移位多少除了与受力的大小有关外,还与自身弹性(顺应性)相关,相同大小的力压在棉花上和压在铁块上,两者的变形程度明显是不一样的。
当侧脑室内的压力大于脑表面的蛛网膜下腔的压力时,脑组织会发生位移,即脑室变大。由于脑组织是有一定弹性的,当变形的脑组织产生的张力等于这个压力差时,就达到了一个平衡状态,脑室大小不再变大。

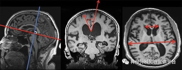
以上可以解释脑积水的一般情况,以下是几种特殊脑积水的发病机理:脑组织不是处处弹性一样,尤其在老年人中,脑组织的弹性大小不一的情况时有发生。这就导致脑室系统不均衡扩大,即DESH(Disproportionately enlarged subarachnoid space hydrocephalus,非对称性蛛网膜下腔脑积水),这一影像学特征是常压性脑积水特有表现。一般来说由于顶叶弹性较好,在一定压力差下可以发生移位,表现为脑室外膨,局部蛛网膜下腔受压,间隙消失,在冠状位上表现为CA(胼胝体角)小于90度;而其他脑组织弹性差的地方,相同的压力差不足以使脑组织发生位移,表现为脑室不外膨,局部蛛网膜下腔没有受压,间隙仍然存在。这种蛛网膜下腔的不对称性扩大就是DESH征。便于大家理解这一现象,可以引入两个概念:脑萎缩和脑压缩。顾名思义,前者是脑组织体积主动变小,多见于侧裂池、中脑环池周围的脑组织;后者是脑组织被动体积变小,多见于顶叶脑组织。当外界压力去除后,脑萎缩不会恢复,而脑压缩可以恢复之前的体积。这可以解释为什么常压性脑积水分流术后小便失禁和行走困难的缓解率明显高于痴呆的缓解率,因为前两者的中枢位于顶叶,而与痴呆密切相关的海马、杏仁核等边缘系统脑组织位于侧裂池、中脑环池周围。

获取DESH的标准扫描方法,CA小于90 度


MRE(弹性磁共振)显示常压性脑积水病人局部脑组织弹性差,顺应性降低。
![]()
![]()
此外还有两种极端情况:
其一:脑组织弹性非常差,即使压力差再大,脑组织也不会发生移位,这一现象见于脑积水分流术后和颅内蛛网膜囊肿分流术后的裂隙脑室综合征,典型的表现就是即使存在极高的颅内压,脑室系统也不会扩大。笔者曾见过颅内压高达600mm水柱,而脑室没有扩大的病例。

右侧颞叶蛛网膜囊肿分流术后8年,因恶心呕吐2周就诊

MRV排除静脉窦血栓形成
其二:脑组织弹性太好,一点压力差就导致严重的脑积水。当发展到类似于弹簧严重变形后的失张力状态时,即使去除了压力差,受压的脑组织也不会回弹。只有在负压状态下,弹簧才有可能恢复弹性,同样失去张力的脑组织才可能回弹,进而脑室变小,脑积水得到缓解。这就是负压性脑积水的发病机理。

患者出现急性脑积水,GCS评分6分,调压至50mm水柱,查CT示脑积水进一步加重,颞角扩大更加明显。

穿刺分流阀提示脑压仅50mm水柱,但脑积水无法缓解

穿刺分流阀,缓慢抽液100ml。

穿刺分流阀抽液及低位放液有效

1小时后,患者意识情况好转, GCS评分9分,3小时后GCS评分11分,可少量饮水。

To meet inclusion criteria, patients with LPH were identified as those with
(1) radiographic evidence of ventriculomegaly;
(2) neurologic decline from baseline;
(3) neurologic deficit despite conformation of normal or low ICP in the setting of a patient, functional EVD or ventricular shunt;
(4) clinical and radiographic response to the sub-zero drainage method.
Endoscopic third ventriculostomy as adjunctive therapy in the treatment of low-spanssure hydrocephalus in adultsKimberly A. Foster,* Christopher P. Deibert, Phillip A. Choi, Paul A. Gardner, Elizabeth C. Tyler-Kabara, andJohnathan A. Engh Surg Neurol Int. 2016; 7: 26.
完




