提示
“浙二神外周刊”不定期接收外院投稿,审核后发表。欢迎各专业同道联系我们,分享精彩病例、研究热点或前沿资讯。投稿请联系:shishi74@163.com
前言
浙医二院神经外科神经内镜工作由上世纪九十年代科室创始人之一的陶祥洛教授及刘伟国教授首先开展,是国内较早开展神经内镜工作的单位之一。目前亚专科由吴群主任医师牵头,以及洪远主任医师和闫伟副主任医师为骨干的团队,主要从事以颅底内镜为主的神经内镜工作。团队骨干都有包括匹茨堡大学及UCLA等国外进修学习的经历,经过十余年的发展,积累了较丰富的经验,取得了丰硕成果。自257期开始系列报道科室神经内镜亚专业组的相关病例,与同道共享。
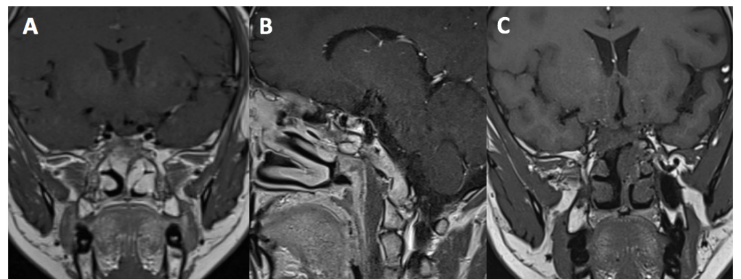
病史简介

诊治经过

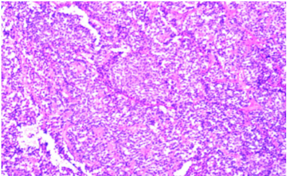
病理结果
术后病理回报:垂体腺瘤。结合免疫组化及特殊染色结果,符合促性腺激素细胞腺瘤。免疫组化结果:ACTH-,Prolactin-,GH-,FSH-,LH+,TSH-,ER -,PIT -1+,SF-1+,T-PIT-,SSTR2-,P53-,Ki-67 1%+,Syn+。特殊染色结果:PAS-,网状纤维染色,网状纤维破坏(图3)。

图3. 术后病理:垂体腺瘤。
讨论
巨大垂体腺瘤(Giant Pituitary Adenoma,GPA)通常指的是直径大于4cm的垂体腺瘤,约占所有垂体腺瘤的5-15%[1]。因其占位效应明显,与颈内动脉、海绵窦、视神经及下丘脑关系密切,导致其手术难度大、风险高、全切困难。如何最大范围切除肿瘤并降低术后并发症,一直是神经外科面临的巨大挑战。巨大垂体腺瘤的手术入路可分为经蝶入路、开颅手术及联合入路三类,其中联合入路又分为开颅和经蝶入路联合切除肿瘤以及经蝶和开颅分期切除肿瘤。目前,神经内镜或显微镜下经蝶手术是大多数垂体腺瘤的标准治疗方法,其优势是脑损伤小,适用于突入鞍内的垂体腺瘤,缺点是术中合并出血止血困难,存在术后脑脊液漏的风险。开颅手术可以清楚地显露鞍上结构,能够最大化地切除肿瘤,视神经减压效果良好,适用于哑铃状腺瘤或突破鞍隔,向海绵窦方向延伸的肿瘤,缺点是对脑组织牵拉损伤较大,对视神经骚扰明显。联合入路则适用于肿瘤呈不对称外形或巨大肿瘤侵入中颅窝者,经颅与经蝶联合切除肿瘤能尽可能多地全切肿瘤。联合入路中,有外科医生提出分期Two step手术策略,即首先执行一次手术,然后数周或数月后执行第二次手术;也有外科医生同时经颅和经蝶联合手术单次切除肿瘤[2]。这些手术策略各有优缺点,因此个体化治疗和手术计划是必不可少的。
回顾本例GPA,我们采取了分期Two step内镜经蝶手术切除原因主要有以下几点。首先,该肿瘤巨大,突破鞍隔,与三脑室、视交叉粘连明显,同时肿瘤质韧伴条索样,单次切除难度大,且易造成三脑室壁、下丘脑,视交叉等重要结构损伤;其次,该肿瘤血供丰富,术中出血十分明显,如果强行切除肿瘤,有可能导致瘤内出血至鞍上或脑室内,造成严重的手术并发症;再者,本例患者束腰征不明显,通过内镜经蝶入路去除大部分鞍底骨质并切除鞍隔下方的肿瘤之后,鞍上的肿瘤有机会自动下降至手术视野并与三脑室,视交叉分离,便于二期经蝶切除肿瘤。考虑到GPA经蝶手术切除不完全时会使患者面临术后肿瘤残端出血的风险,我们第一次手术时并没有将鞍隔打通,即使术后出血也不至于导致脑内血肿。本例肿瘤如果同时经蝶和开颅联合入路切除也有许多缺点,包括手术时间延长,感染风险增高,以及其他潜在的手术并发症[3]。
GPA分期手术二次手术时机的选择主要取决于鞍上肿瘤下降的速度。有学者通过影像学随访证明:直径<2.5cm的残余肿瘤,在术后5周左右可完全塌陷入鞍内,无严重下丘脑并发症出现[4]。如果鞍上肿瘤无法自发下降至鞍内,国外有学者提出泵送技术,即通过腰椎穿刺将空气或生理盐水打入蛛网膜下腔,从而使鞍上池和肿瘤包膜强行剥离,加速肿瘤下降,最终将塌陷的肿瘤完全切除。据其报道,在124例鞍上肿瘤经蝶入路手术中,只有26例自然下降,88例采用泵送技术中,完全成功56例,部分成功20例,无效12例,所有患者均无并发症或不良反应[5]。对于鞍上残余肿瘤直径>2.5cm且术后无法塌陷入鞍内者,则可以选择开颅手术二次切除。
最后,GPA的手术治疗可以引用现代神经外科手术之父Harvey Cushing说过的一句话,“it is certain that no method is applicable for all conditions of pituitary tumor and that for some no satisfactory procedure has been devised”,即没有哪一种手术方法适用于所有垂体肿瘤,并且有些肿瘤是没有理想治疗方法的。对于GPA,无论经蝶、开颅还是联合入路,手术的目的都必须是最大限度保证手术安全,且使患者术后生活质量良好。虽然手术目的是完整切除肿瘤,但如果有危及患者生命的风险,根治性切除就不再是当务之急。因此,对于富有挑战性的GPA而言,手术方法的选择也需要根据患者的年龄、意愿、整体情况和肿瘤特点而定,分期Two step手术策略也是不错的选择。
参考文献
(本文由浙二神外周刊原创,浙江大学医学院附属第二医院神经外科沈智伟医师整理,洪远主任医师审校,张建民主任终审)




