患者,男,31岁
外伤致左眼出血、疼痛4小时余入院
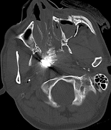
NS:神清,对答好,左侧眼内容物缺失,左上眼睑可见长约4cm外伤伤口,眼内可见金属异物,右侧瞳孔直径3mm,对光反射正常,眼前2m指数;四肢活动可,肌张力正常,生理反射存在,病理反射未引出。
BP:107/70mmHg
既往:无特殊

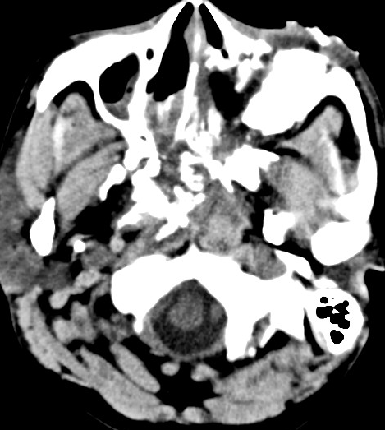
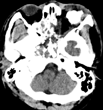
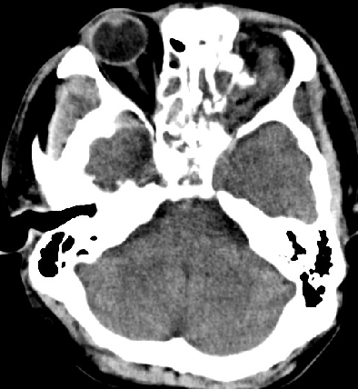
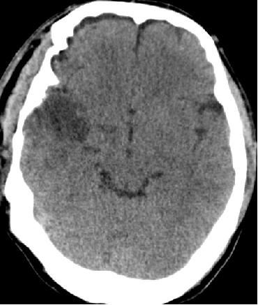
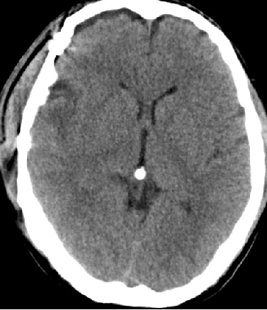
2014-9-29 CT






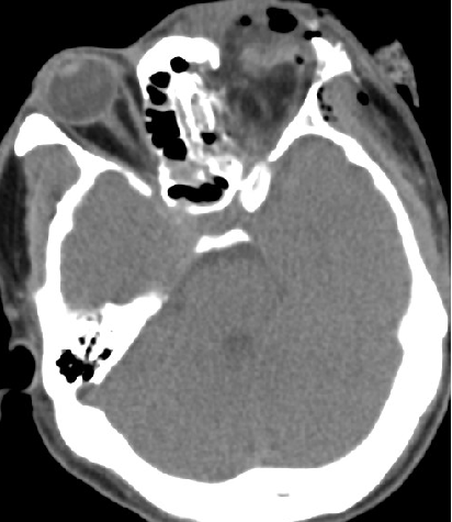
2014-9-29 DSA




介入手术:(缺Fagarty /Merci/ Penumbra球囊导管、带膜支架)颈内动脉颅内外段置球囊保护,拔异物。
问题:1、颈内动脉破裂处理?2、取栓再通,如何防止血栓脱落?



颈内动脉破裂:远近断结扎
颈内动脉未破裂:探查,排栓;再通需立即血管造影排除假性动脉瘤或夹层,并定期复查;未能再通需Penumbra管取栓(风险大!)。
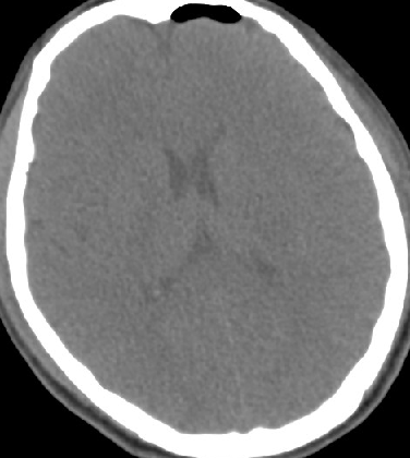
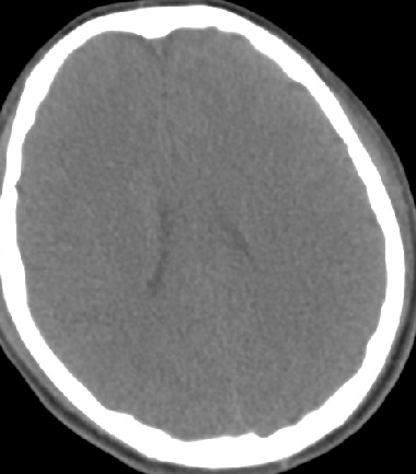
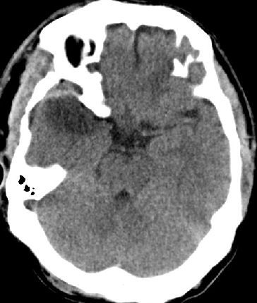
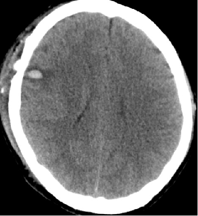
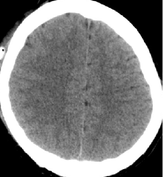
2014-10-5 CT









作者简介

钟书,广西壮族自治区人民医院神经外科神经副主任医师,重症组组长,脑脊髓血管病二组组长。
现任中国卒中专科联盟第一届全国委员、中国医师协会第一届神经介入委员会委员,国家卫生健康委脑卒中防治专家委员会第一届出血性脑卒中介入治疗专业委员会委员,国家卫生健康委脑卒中防治专家委员会督导专家,中国卒中大会学术委员、中国老年保健医学研究会脑卒中防治分会委员,中国生命关怀协会理事,中国生命关怀协会脑卒中救治及康复照护专业委员会常务委员,中国人体健康科技促进会临床神经科学技术转化专业委员会委员,第二届中国神经外科重症管理协作组委员,广西卒中专科联盟副主席兼秘书长,美国神经介入(JNIS)杂志中文版编委,神经介入资讯编委。主持了省级两项科研课题:广西科技厅青年基金《脑脊液循环的动力学研究》、广西科技厅自然基金《超早期支架辅助治疗破裂性宽颈颅内动脉瘤研究》,先后参加国家九五~十三五科技支撑项目,以及参与省级科研课题十多项,发表学术论文十余篇。获广西科技进步奖三等奖一项,广西卫生适宜技术推广奖二奖两项、三等奖两项。获广西区直机关青年岗位能手、广西优秀青年志愿者等荣誉称号。






