《Surgical Pathology Clinics 》杂志2020年6月刊载[13(2):305-329]美国Saint Louis University的 Katherine E Schwetye,和Washington University in St. Louis的Sonika M Dahiya撰写的综述《鞍区肿瘤Sellar Tumors》(doi: 10.1016/j.path.2020.02.006.)。
重点
●复杂的鞍区解剖产生出广泛的肿瘤性和非肿瘤性疾病实体,包括自身免疫过程和各种系统性疾病继发受累;
●磁共振成像仍然是一个关键的诊断工具;
●垂体腺瘤的分类是根据其发育谱系(PIT,T-PIT,或SF表达)。
●颅咽管瘤的两个组织学变异表现出相互排斥的遗传特征:在成釉质(adamantinomatous)型中有CTNNB1突变,在乳头(papillary)型中有BRAF V600E突变。
●垂体后叶肿瘤源于一个共同的谱系,因为所有的都表达TTF-1,可作为诊断标志物。
鞍区病变包括范围广泛的良性和恶性肿瘤以及非肿瘤性实体,其中许多是新描述的或最近修订了命名法的。与其他颅内部位相比,影像学特征相对较无特异性,组织病理学诊断是最重要的。本文将介绍垂体腺瘤、炎性病灶和该区域特有的肿瘤(颅咽管瘤),以及可能发生但不局限于鞍区的肿瘤(神经鞘瘤、转移瘤等)。

颅咽管瘤
简介
颅咽管瘤是WHO I 级,局限的上皮肿瘤,最常起自鞍上区域。颅咽管瘤在所有儿童脑瘤中占5%至10%,在成人脑瘤中占1.2%至4.6%。发病率最高的是0至19岁的儿童。第二个高峰出现在人生的后期,在40岁到79岁之间。没有性别偏好。
颅咽管瘤包括2种不同的临床、组织学和生物学亚型:成釉细胞型(adamantinomatous)(最常见)和乳头型(papillary)。罕见的杂交形式也被报道,即使具有特征的遗传特征(见后面的讨论)。乳头型颅咽管瘤几乎只发生在成人,而成人和儿童均可发生成釉细胞型颅咽管瘤。
在成釉细胞颅咽管瘤、下颌造釉细胞瘤和钙化性牙源性囊肿之间的组织病理学和免疫组化相似性提示这些肿瘤存在牙源性上皮分化。颅咽管瘤的碰撞性病灶,最常见的是垂体腺瘤,已得到报道。
目前的假设是垂体腺瘤、成釉细胞型颅咽管瘤和Rathke裂囊肿有一个共同的祖先,来自于Rathke囊和颅咽管的残部。在老年人中,垂体柄或腺体腺垂体细胞的鳞状上皮化生被认为是颅咽管瘤乳头型变异的可能来源。
颅咽管瘤的临床特征可能包括视觉障碍(因压迫视交叉及邻近视神经和视束)、内分泌异常,包括尿崩症和颅内压升高的征象。也观察到有认知和人格的变化。
大体特点
典型的MRI表现为一个复杂的实质性/囊性病变的成釉细胞型颅咽管瘤,伴有不均匀的信号强度。囊肿通常充满高蛋白含量的液体,在T1加权图像上表现为高信号。固体区域强化。在CT扫描中周围钙化很明显(图11A)。
成釉细胞型颅咽管瘤是一个充满暗绿色褐色液体的部分囊性肿块,传统上以颜色和一致性与“机油”进行比较。大体检查可见典型的白色斑点状“湿”角蛋白结节,这是成釉细胞变异的典型特征。
乳头型颅咽管瘤的MRI特征性表现为一个强化的、以实质性为主的局限肿块,没有钙化或复杂的成釉细胞型囊性结构。乳头性结构有时很明显。
与成釉细胞瘤变型不同,后者倾向于围绕神经和血管形成舌状突起,而乳头状亚型相对而言边界清晰,且通常缺乏复杂的多囊结构和充满液体的空间。
虽然对这两种形态变异的影像学描述通常如前面所述,但注意有重叠和例外发生。此外,两种亚型的颅咽管瘤的影像学特征与附近的鞍区/鞍上肿块有重叠;因此,通常需要组织检查才能确诊。
微观特点
成釉细胞颅咽管瘤,可见一个复杂的上皮病变,带有囊肿和钙化的“湿”角蛋白。上皮细胞有中央有星状网状霉素,周围有明显的栅栏状突起。很少见到纤毛细胞和杯状细胞。更罕见的是牙釉质企图形成“齿状”结构失败(图11B)。邻近的神经实质可能显示肉芽肿性反应与胆固醇结晶。在一些病例中,可见淋巴管周围的毛样胶质增生,伴Rosenthal纤维(图11C)。这个区域的活检或冰冻切片样本可能会产生潜在的误导。
在乳头型颅咽管瘤中,可以看到由成熟的鳞状上皮组成的上皮病变,无表面饱和,有角化玻璃样颗粒层或角化蛋白形成(图12A)。常出现局灶性组织裂口,形成假乳头状结构,如小轮匝。虽然也可见基底外周栅栏化,但这一特征不像成釉细胞型变体那么明显。成釉细胞亚型最典型的特征不存在,包括“湿”角蛋白结节、“星状网状霉素”和钙化。很少见到纤毛上皮和杯状细胞。BRAF的免疫染色(V600E)趋于阳性(图12B)。

图11.周边钙化的成釉细胞型颅咽管瘤对在CT扫描上诊断是一个有用的特点(A)。湿角蛋白,外围栅栏样的,星状网状组织,瘠薄钙化不定地出现在组织学检查中(B)。毛细胞样神经胶质过多症与众多Rosenthal材料,通常出现在成釉细胞型颅咽管瘤的外围,可以在术中咨询期间成为诊断陷阱(C)。

图12.乳头型颅咽管瘤。分化良好的分层鳞状上皮,假乳头状结构,缺乏角玻璃样颗粒,假乳头状结构(A)。与BRAF (V600E)免疫染色反应是常见的发现,并有助于与其相似的,如表皮样囊肿鉴别(B)。
鉴别诊断
组织病理学鉴别包括表皮样囊肿、可能是生殖细胞瘤、伴有鳞状上皮化生的Rathke裂囊肿和小活检标本的毛囊性星形细胞瘤(在周围的毛囊胶质增生区)。
诊断
颅咽管瘤细胞对上皮膜抗原(EMA)和细胞角蛋白表现出免疫反应性。大多数成釉细胞颅咽管瘤显示异常的β-catenin核表达,这一特征在乳头型颅咽管瘤中并不常见。相比之下,大多数乳头型颅咽管瘤有BRAF V600E突变,可以通过免疫组化方法证实。
预后
颅咽管瘤的治疗方法有两种策略:(1)尝试全切除,或(2)计划进行次全切除,然后辅以放疗或其他辅助治疗。关于颅咽管瘤的治疗尚无明确的指导方针。放射治疗包括外割放射、立体定向放射或近距离放射治疗。此外,博莱霉素可用于局部囊内化疗,特别是儿童。
神经心理障碍是独立社交功能的主要限制因素。社会心理损伤的程度与手术时下丘脑损伤的程度直接相关。在一些患者中,功能障碍与辐射损伤有关。
大多数患者报告垂体功能减退。在长期随访期间,大多数患者需要多种激素补充和调整。其他流行的疾病包括神经系统疾病、心理疾病和心血管疾病。
概述:颅咽管瘤的分子病理学
大多数成釉细胞型颅咽管瘤都存在β-连环蛋白基因(CTNNB1)突变。几乎所有的突变都与编码β-连环蛋白降解靶向盒的外显子3有关。这种突变导致β-连环蛋白的核积累和Wnt信号通路的失调,以及下游靶点如轴蛋白2的激活。乳头型颅咽管瘤和其他鞍区病变没有这种突变。
BRAF V600E突变已被证实在高达95%的乳头型颅咽管瘤病例中。这是一种通过丝氨酸 -苏氨酸/ERK信号通路,参与细胞分裂和分化的丝氨酸-苏氨酸激酶的激活突变,已得到充分研究,该突变与多种其他肿瘤有关,包括黑色素瘤、结直肠癌和甲状腺乳头状癌。
一项研究报告了2例具有BRAF V600E突变的成釉细胞颅咽管瘤;然而,在这两种情况下,同时也存在CTNNB1突变。然而,在大多数情况下,BRAF V600E和β-连环蛋白的改变是按亚型分开的。
相关的基因变异/基因改变
最近的研究也表明乳头型和成釉细胞型颅咽管瘤具有独特的DNA甲基化特征。染色体失衡在这两个亚型中都非常罕见。
颅咽管瘤的关键病理特点
两种类型:成釉细胞型(成人和儿童,CTNNB1突变)和乳头型(成人,BRAFV600E突变)。
成釉细胞型:带有囊肿和钙化“湿”角蛋白的复杂上皮病变;中央星状网状霉素,周围明显的栅栏状
乳头型:上皮病变由成熟的鳞状上皮组成,表面没有成熟,角质透明粒状层或角蛋白形成;局灶性组织开裂导致假乳头状结构。
邻近的毛囊胶质增生可能是诊断的陷阱
鉴别诊断颅咽管瘤(小活检标本)
表皮样囊肿
生殖细胞瘤
Rathke裂囊肿伴鳞状上皮化生
毛细胞星形细胞瘤或其他低级别胶质肿瘤(毛细胞样胶质细胞瘤病)

神经垂体的垂体细胞瘤、梭形细胞嗜酸细胞瘤、颗粒细胞瘤
简介
这3种WHO I级肿瘤为后叶垂体细胞的衍生物,具有TTF- 1免疫反应性。总的来说,他们是罕见的,并且可能偶然出现,在尸检或与其他内分泌肿瘤或出血相关。颗粒细胞瘤(GCT)通常是偶然发现的。
大体特点
神经影像学特征与垂体腺瘤相似。
微观特性
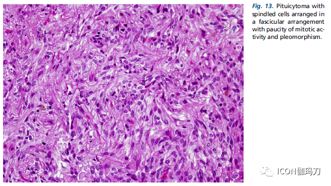
垂体细胞瘤是梭形细胞瘤,细胞丰满,呈束状结构(图13)。有丝分裂罕见。梭形细胞嗜酸细胞瘤被认为是垂体细胞瘤的一种线粒体丰富的变体,具有更多的上皮样形态,更明显的核多形性(图14),有时还伴有淋巴细胞浸润。同样,颗粒细胞瘤(GCT)可能被认为是垂体细胞瘤富含溶酶体的变体,在其他解剖部位与颗粒细胞瘤(GCT)相似。
鉴别诊断
脑膜瘤看起来类似于垂体细胞瘤,但后者缺乏螺旋体和钙化等特征性特征。
诊断
垂体细胞瘤的S100和TTF-1阳性,对GFAP有不同的反应性。
预后
手术是唯一的治疗选择;复发和并发症很常见。
病理关键特性—— 垂体后叶的肿瘤
TTF-1阳性肿瘤被认为与(后叶垂体细胞)细胞来源有关。
垂体细胞瘤:梭形细胞
梭形细胞嗜酸细胞瘤:线粒体丰富的变体;更多上皮样形态
颗粒细胞瘤:富含溶酶体的变体;类似于其他位置的颗粒细胞瘤(GCT)

图13.垂体细胞瘤,梭形细胞束状排列,有丝分裂活性少,多形性差。
鉴别诊断——垂体后叶肿瘤
转移瘤
神经鞘瘤


图14.梭形细胞嗜酸细胞瘤,在模糊的束状结构中有上皮样到梭形细胞。要注意异型性。然而,它通常不伴随着有丝分裂活性的增加。
转移瘤
简介
虽然垂体转移瘤(MP)总体上很少见(鞍区病变经蝶窦手术治疗系列中约1%,全身癌症尸检中约5%,尤其是乳腺癌尸检中约17%),但转移率正在上升,这可能是由于患者生存率的提高。乳腺癌和肺癌是最常见的转移到鞍区的恶性肿瘤。几乎所有情况下,垂体转移瘤(MP)都是广泛转移的一部分,涉及至少5个其他部位(通常是骨质),影响60-70岁患者。有时,垂体转移瘤(MP)是隐匿性肿瘤的第一个表现,也可能发生在年轻的成年期。
临床上,垂体转移瘤(MP)多表现为尿崩症,表现为易累及垂体后叶。然而,也可能出现垂体前叶和颅神经功能障碍。由“垂体柄效应”引起的高泌乳素血症也得到描述。
大体特征
经放射影像学检查,垂体转移瘤(MP)与原发性鞍区肿瘤表现相似,特别是垂体腺瘤。
微观特性
转移性恶性肿瘤将反映其原发来源,但在小的、压碎的(crush)样本上,很难与原发鞍区肿瘤区分开来。
鉴别诊断
垂体腺瘤的鉴别诊断通常取决于原发垂体腺瘤的形态表现,但垂体腺瘤常可作为转移性肿瘤的鉴别诊断。
诊断
诊断结合临床、放射影像学、组织形态学和免疫组织化学特征,可能辅以分子或细胞遗传学检测。术前诊断垂体转移瘤(MP)是困难的。出现脑脊膜扩散时,腰椎穿刺脑脊液细胞学检查可能是有用的。在评估鞍区肿瘤时,考虑转移瘤是至关重要的。尿崩症的临床表现强烈提示转移瘤而非垂体腺瘤。
预后
预后将取决于原发性、转移性负荷和患者合并症的治疗。
神经鞘瘤
简介
神经鞘瘤主要起源于外周,常为感觉神经,如前庭神经或三叉神经,占所有原发性颅内肿瘤的8% - 10%。它们在鞍区很少见。尚不清楚鞍区原发性神经鞘瘤的起源。由于鞍区无明显神经,推测肿瘤起源于、毗邻垂体窝内侧壁的血管周围雪旺细胞或硬脑膜的感觉神经的鞍侧神经丛。文献报道了不足30例的鞍内神经鞘瘤。临床表现与肿块占位效应和压迫邻近结构有关。症状与垂体腺瘤引起的症状相似。鞍上扩展可引起视觉障碍。
大体特征
大体特征与其他鞍区和鞍上病变一样,MRI是神经鞘瘤成像的首选方式。但其影像学特征与垂体腺瘤相似。在T1加权序列上,与灰质相比,神经鞘瘤表现为等信号或低信号,强化均匀。在T2加权图像上,神经鞘瘤比垂体腺瘤更可能是高信号的。弥散加权成像和表观弥散系数图显示较高值的硬的或纤维性肿瘤。计算机断层摄影可以帮助显示骨质破坏和与手术计划相关的骨的解剖。
神经鞘瘤一般局限性的,可表现为假性包膜。在鞍区,几乎所有报道的肿瘤都是硬的和富血管的。
微观特性
组织学上,神经鞘瘤是梭形细胞肿瘤,具有相对较小的多形性。高细胞区和低细胞区(分别属于Antoni A型和B型)和Verocay体是特征性特点。偶尔可见严重的细胞核扩大和异型性(“退化的”或“古老的”变化)。厚壁血管也很常见。
鉴别诊断
其他梭形细胞瘤可能模仿神经鞘瘤,包括纤维脑膜瘤和垂体细胞瘤。神经鞘瘤典型表现为S-100、IV型胶原和波形蛋白的强烈反应,但EMA和胶质纤维酸性蛋白(GFAP)呈阴性。相比之下,成纤维细胞脑膜瘤仅对S-100有中度反应,垂体细胞瘤对GFAP免疫阳性。
诊断
诊断是由组织学,免疫组织化学特征结合适当的影像和临床情况。
预后
神经鞘瘤为WHOI级肿瘤,推荐手术切除作为治疗策略。
病理关键特性——神经鞘瘤
梭形细胞瘤,有高细胞区和低细胞区,退行性核异型,厚壁血管。
弥漫性s100阳性;IV型胶原突出了坚实的基底膜元素;硬的,富血管肿瘤。





