病情介绍
患者,女,63岁
反复头痛5年,加重10天入院(2013-8-1)
NS(—)
BP:111 /73mmHg
既往:有颈椎病、腰椎间盘突出症病史,治疗不详。
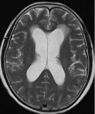
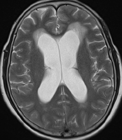
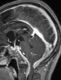
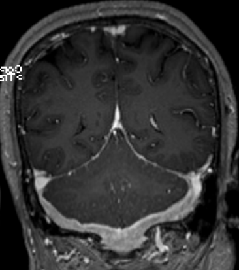
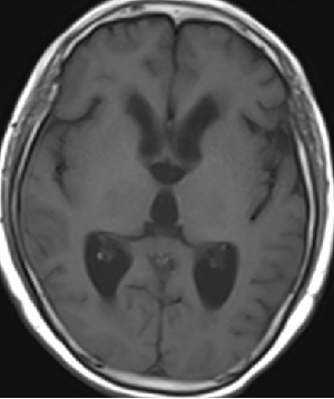
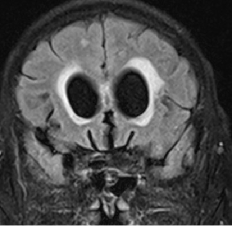
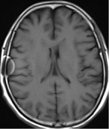
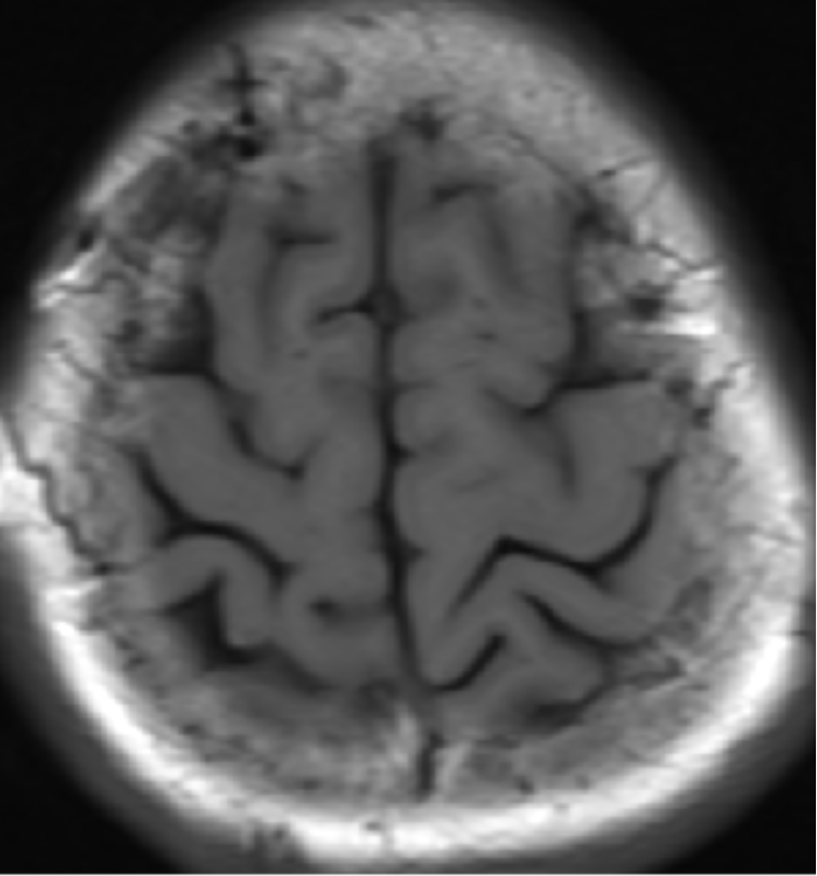
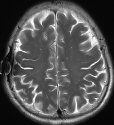
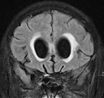
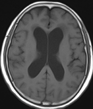
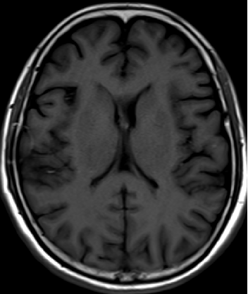
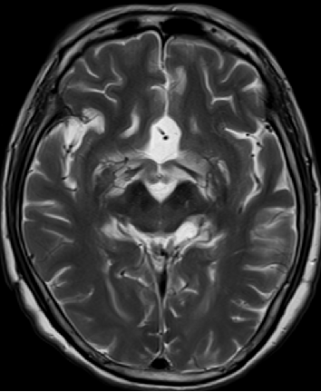
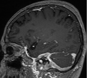
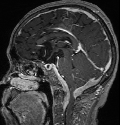
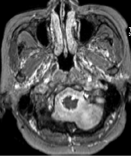
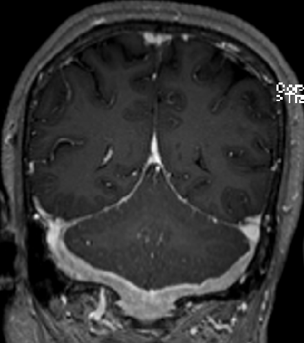
2013-5-16 MRI
腰穿脑压260
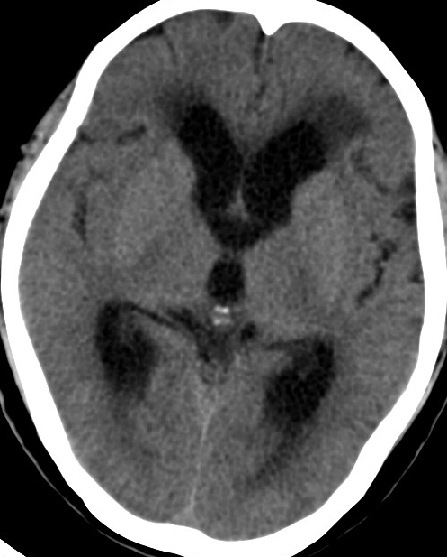
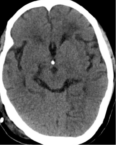
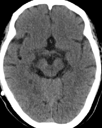
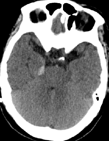
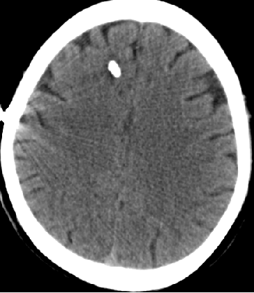
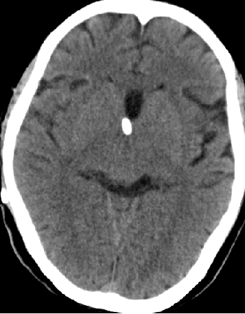
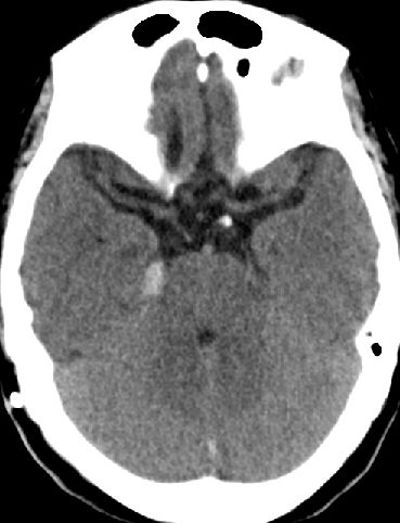
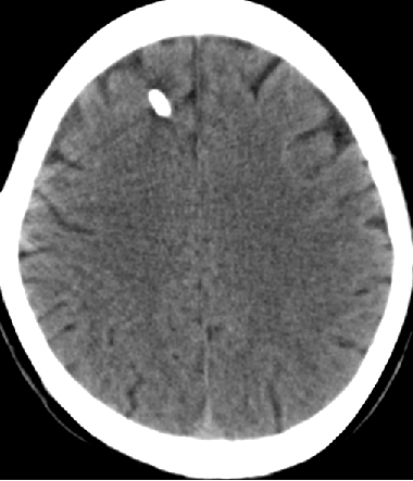
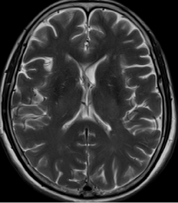
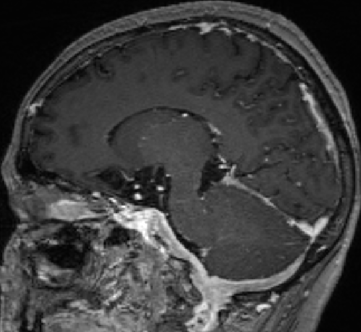
2013-8-2 CT



腰穿脑压240
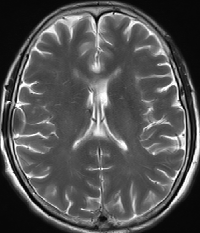
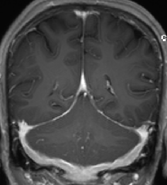
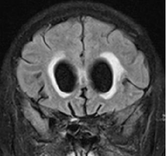
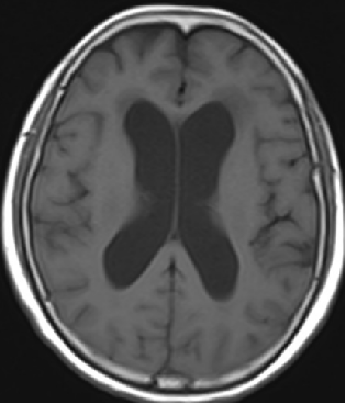
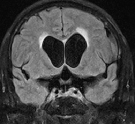
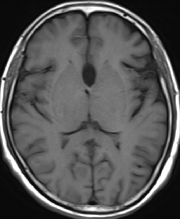
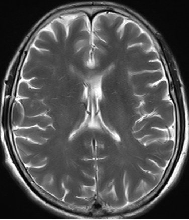
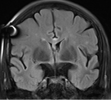
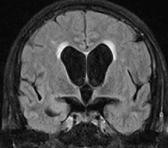
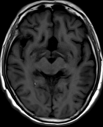
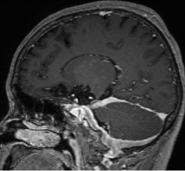
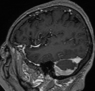
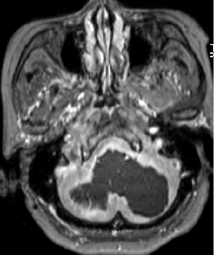
2013-8-2 MRI
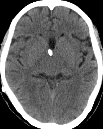
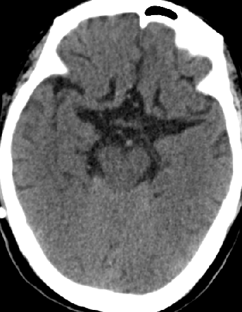
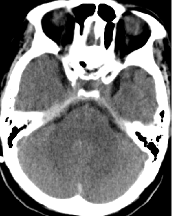
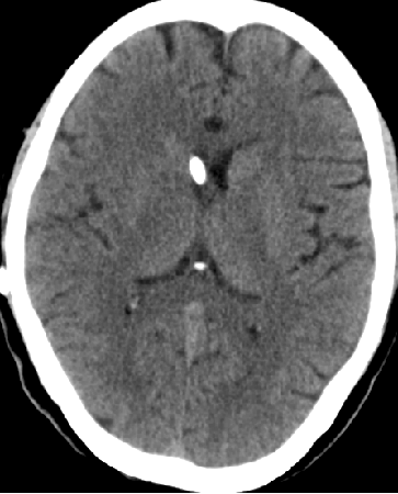
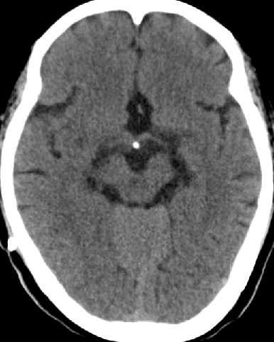
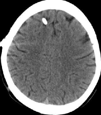
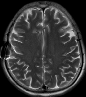
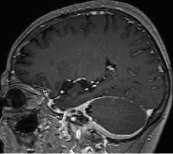
2013-8-8 CT
2013-8-7 脑室腹腔分流术,初压130
2013-8-8 仍诉头痛
2013-8-10 腰穿测压150mmH2O
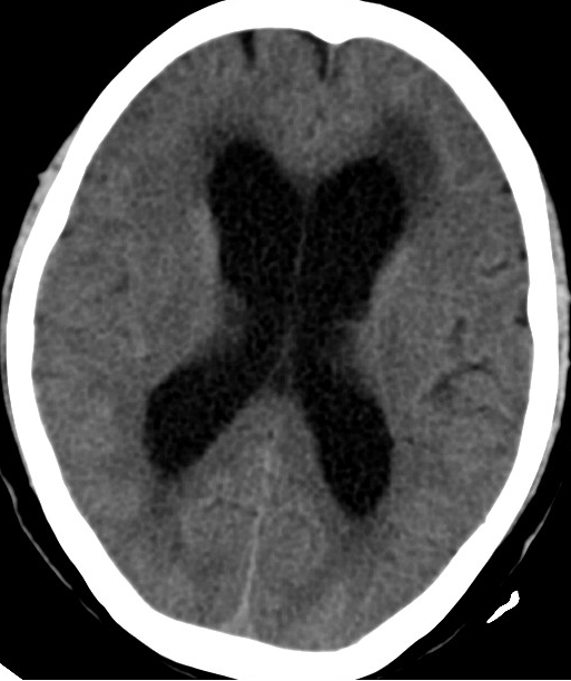
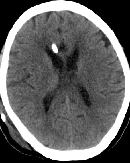
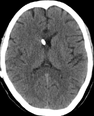
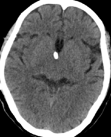
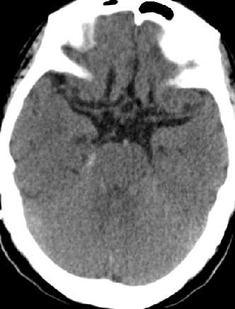
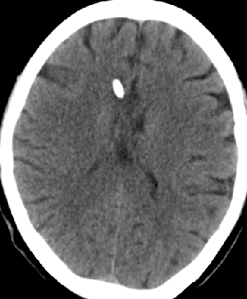
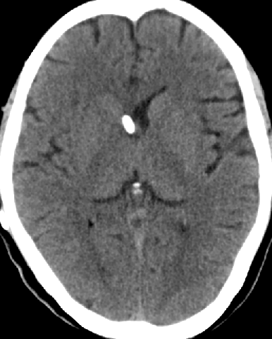
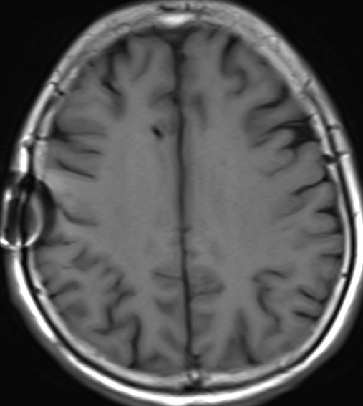
2013-8-12 CT



2013-8-13 调压130——150,头痛症状无明显好转
2013-8-15 出院观察
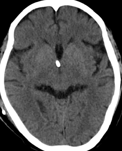
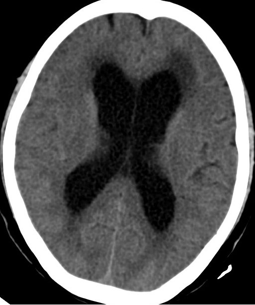
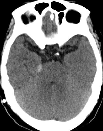
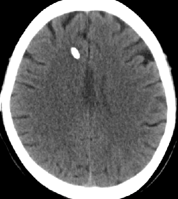
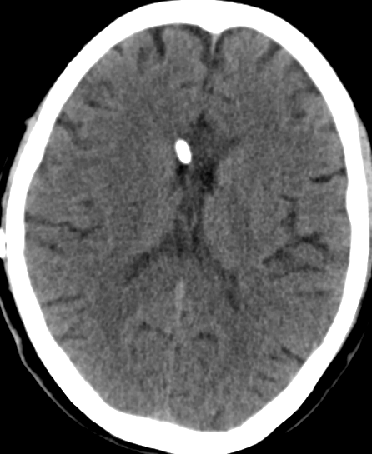
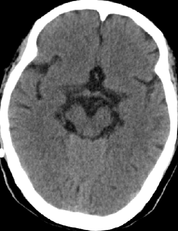
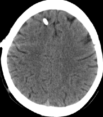
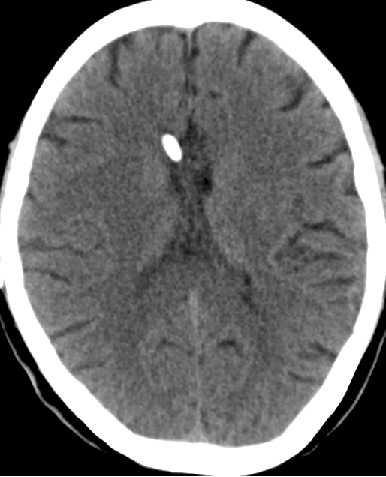
2014-2-10 CT
仍诉头痛,调压150——170
2014-3-17 CT
头痛无明显好转,调压170——190
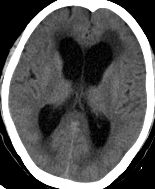
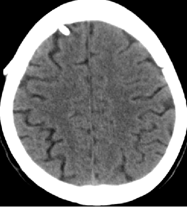
2014-10-17 CT
仍时有前额部疼痛,程度轻,调压190—200

问题
诊断成立吗?(静脉窦血栓?)
需要手术吗?
病情介绍
患者,女,64岁
头面部麻木、疼痛1年余,加重2月余入院 (2015-1-29)
NS:右侧鼻唇沟稍变浅,伸舌稍右偏
BP:125/79mmHg
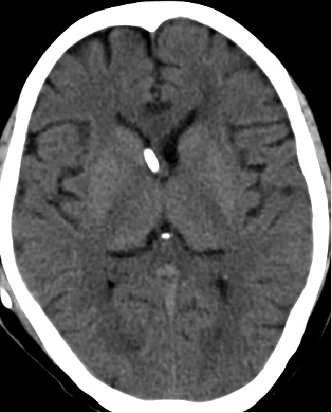
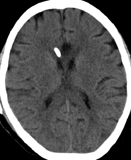
2014-11-28 CT
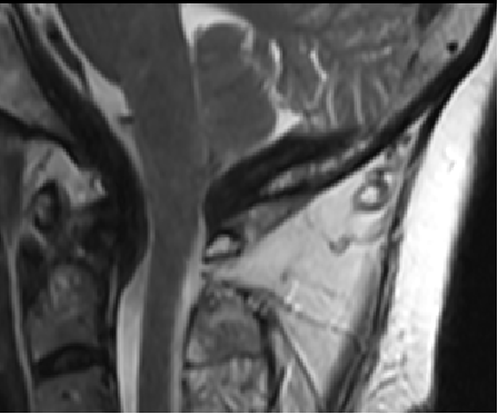
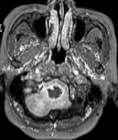
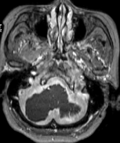
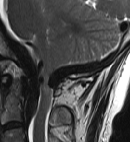
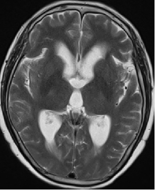
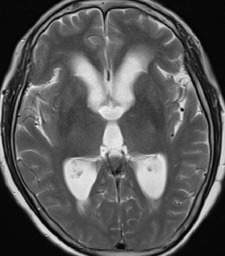
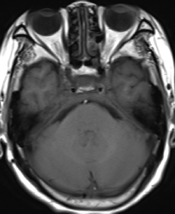
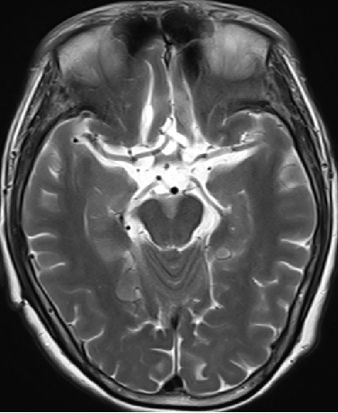
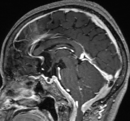
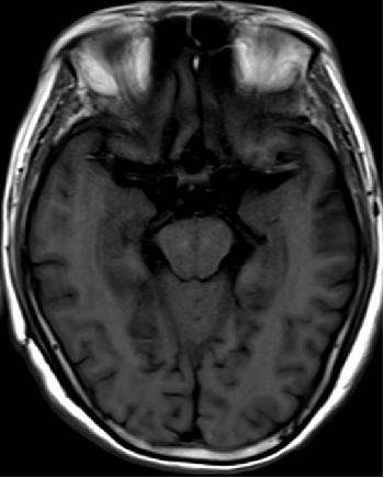
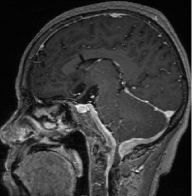
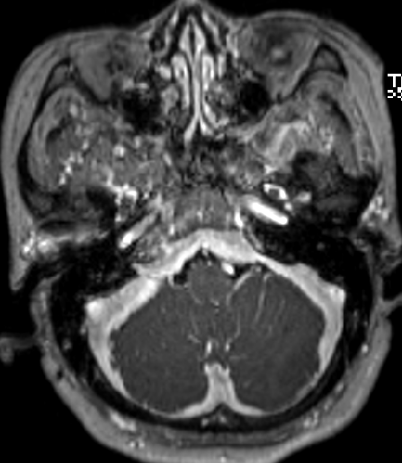
2015-12-13 MRI
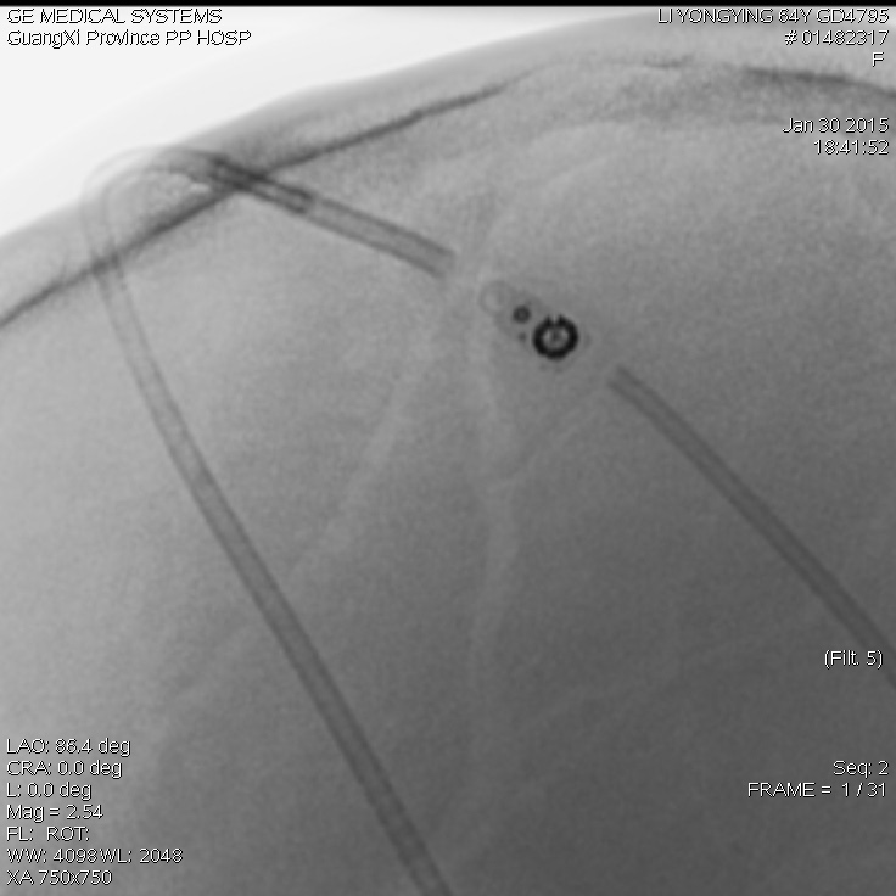
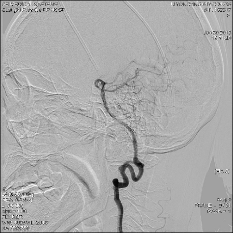
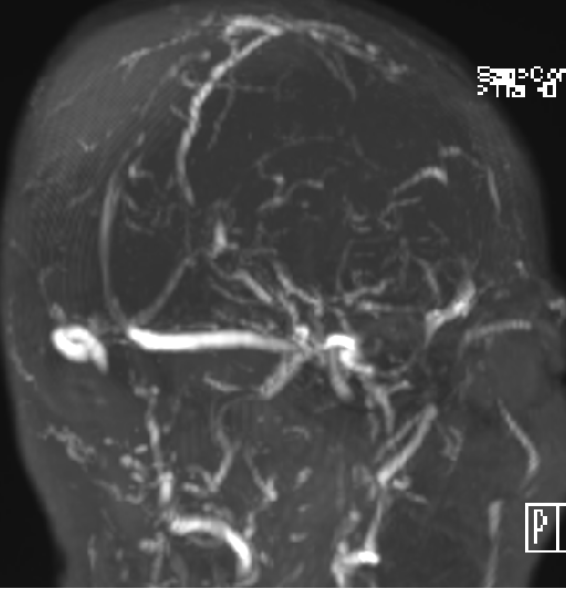
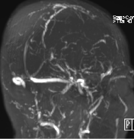
2015-1-30 DSA





2015-2-1
在局麻下行腰椎穿刺术+ 测脑压术,患者取左侧卧位,测量脑脊液压力为60mm水柱。

问题
脑积水 OR 颅内静脉血栓?
低颅压原因?(分流泵故障?脑顺应性差?)
头痛面部麻木的原因?(三叉神经痛?)
脑积水 OR 颅内静脉血栓?
2013-5-16 MRI



2013-8-2 CT



腰穿脑压240
2014-10-17 CT
仍时有前额部疼痛,程度轻,调压190—200
2015-1-30 DSA


脑压为60mm水柱
低颅压原因?(分流泵故障?脑顺应性差?
2015-2-1
在局麻下行腰椎穿刺术+ 测脑压术,患者取左侧卧位,测量脑脊液压力为60mm水柱。



头痛面部麻木的原因?(三叉神经痛?)
右侧面部麻木(第二、三支范围)
颧部中点可疑扳机点:头痛、僵硬启动点



需要处理吗




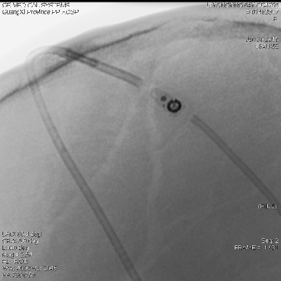
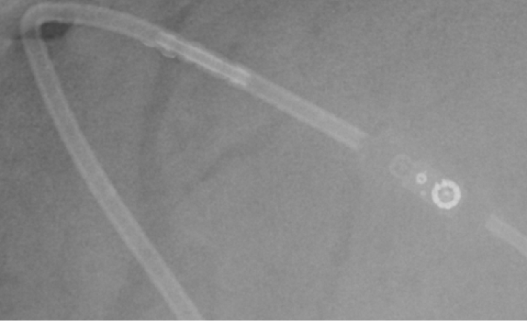
2015-2-10 X线

再次呕吐3天;面部头痛有所缓解(卡马西平)。
调压200
病情介绍
患者,女,64岁
四肢乏力、全身麻木2月余入院(2015-3-30)
NS:右侧鼻唇沟稍变浅,伸舌稍右偏,四肢肌力III-IV级、肌张力正常,全身痛觉减退。
BP:128/83mmHg
既往:无特殊
2015-3-31
脑压100



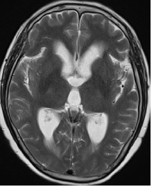
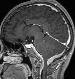
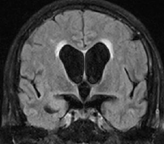
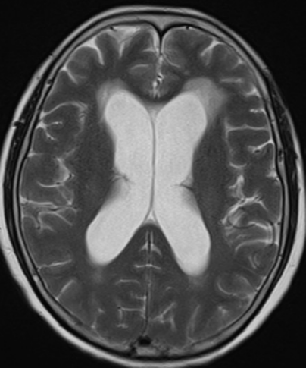
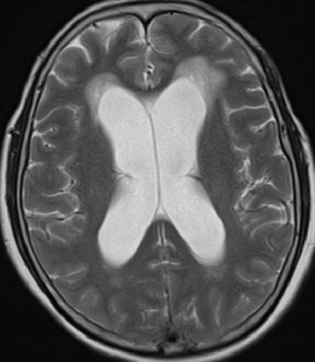
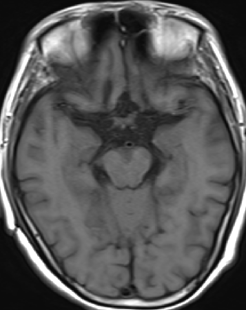
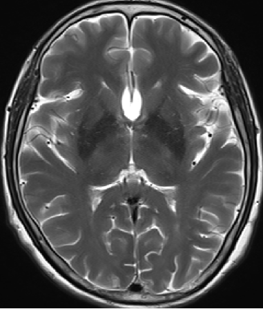
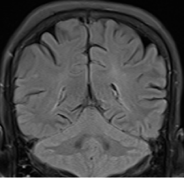
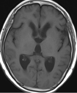
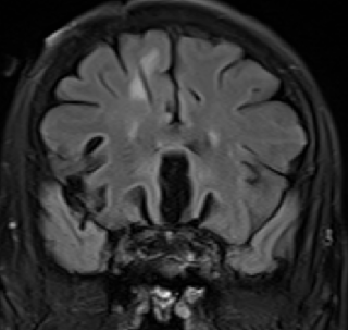
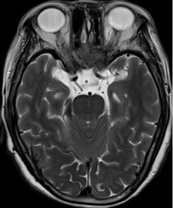
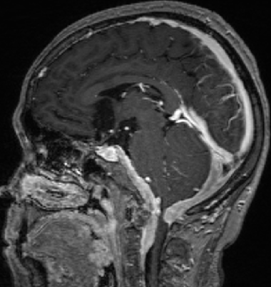
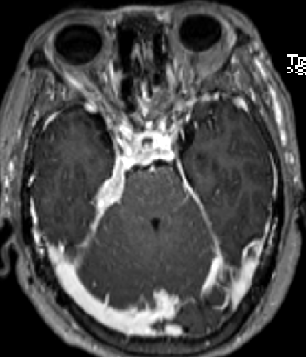
2015-4-1 MRI
诊断
脑膜癌?
特发性肥厚性硬脊膜炎?
进展性特发性肥厚性硬脊膜炎
2013-5-16

2013-8-2

2014-12-13



2015-4-1



2015-4-3

治疗
手术?
激素?



































































































