今天为大家分享的是《监测有道丨颅脑创伤-神经重症周刊》第189期,由广西自治区人民医院钟书教授带来的:脑出血术后神经重症处理,欢迎观看、阅读。
病情介绍
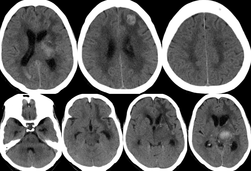
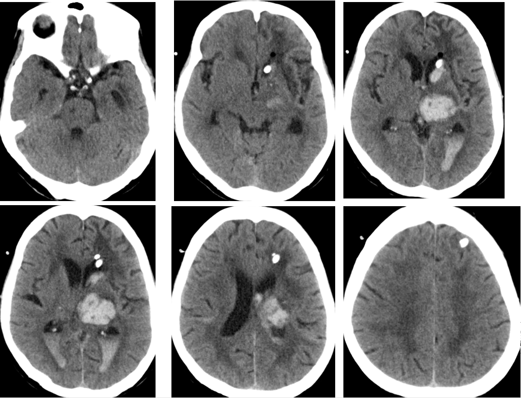
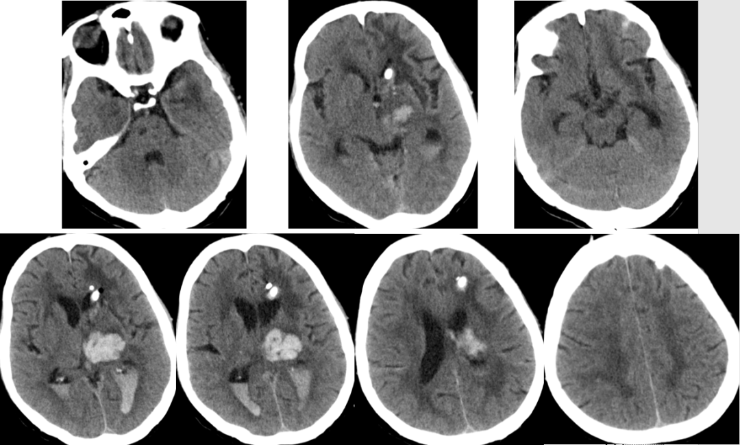
2014-11-18 0am CT
2014-11-18 10am CT
ICP
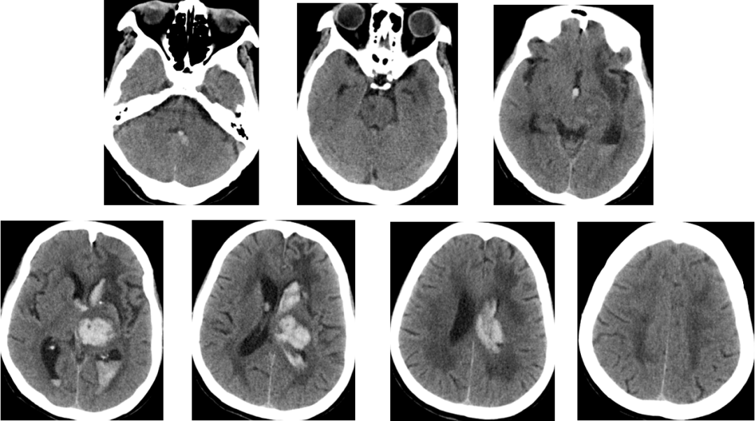
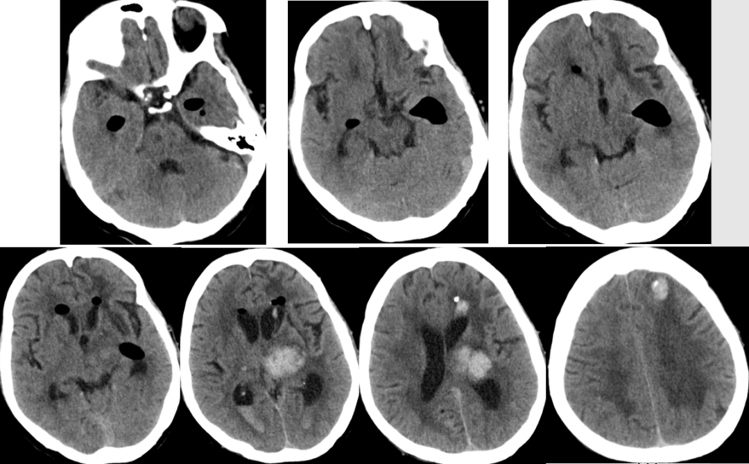
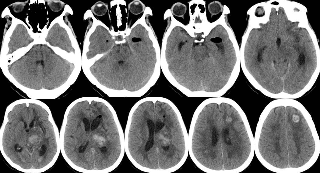
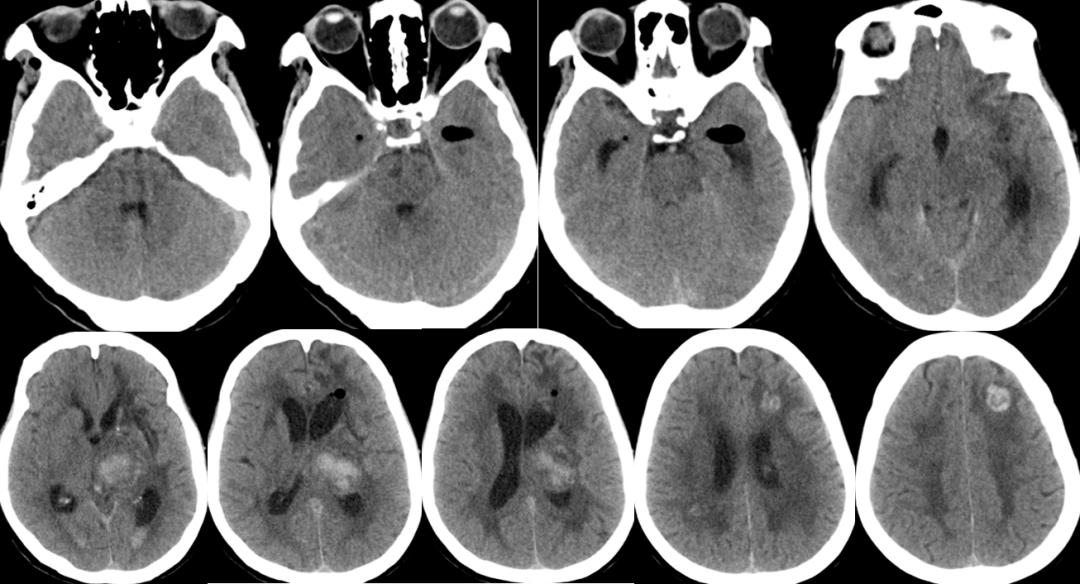
2014-11-19 CT
2014-11-20 CT
再出血?
脑水肿?
脑积水?
腰大池过度引流?(非高颅压脑疝)
肺炎?
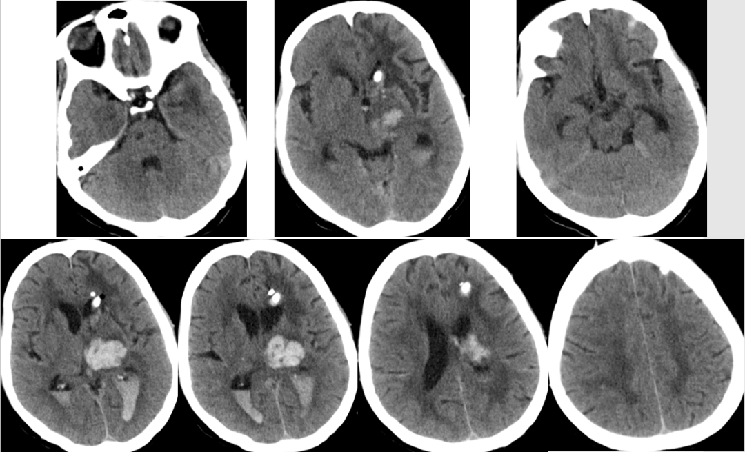
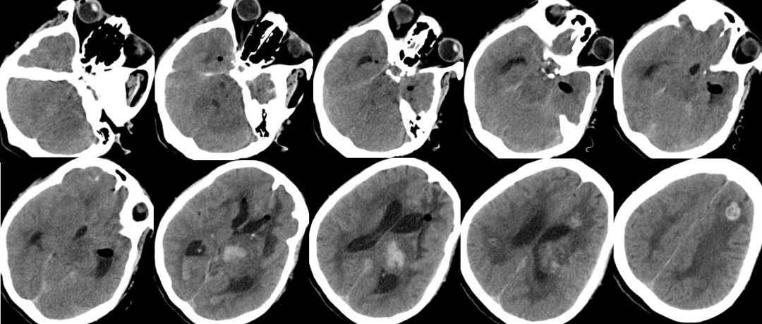
2014-11-24 CT
2014-11-20 CT
气颅、轻度脑积水,加强脱水,必要时用激素
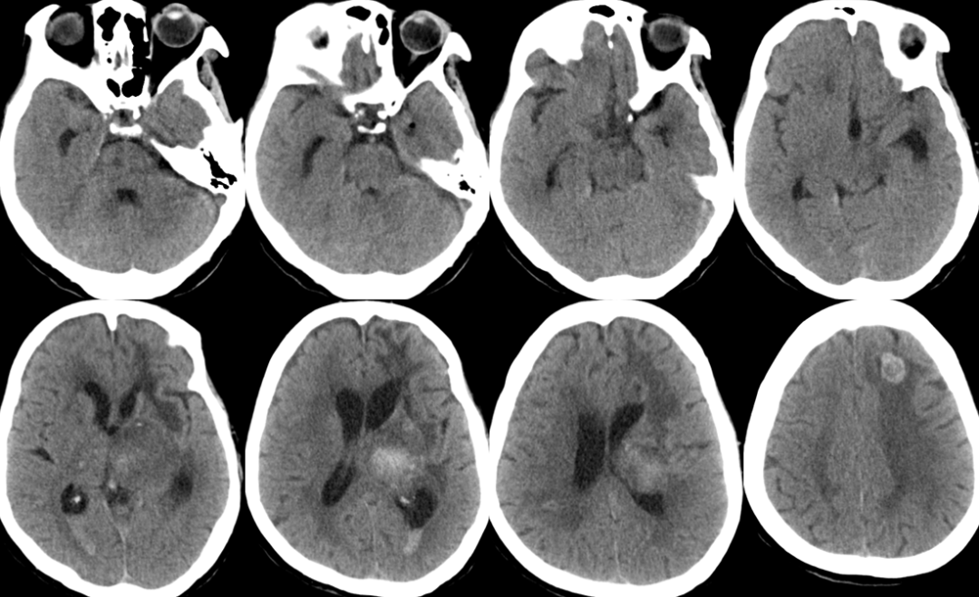
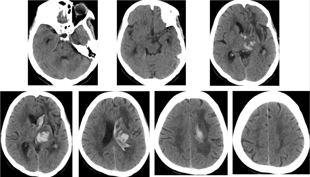
2014-11-18 CT
2014-11-24 CT
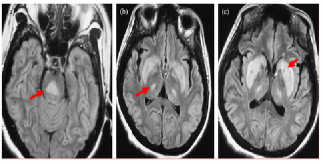
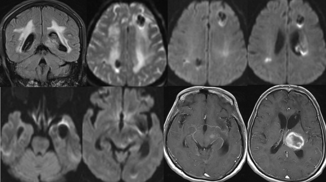
脑干梗塞?
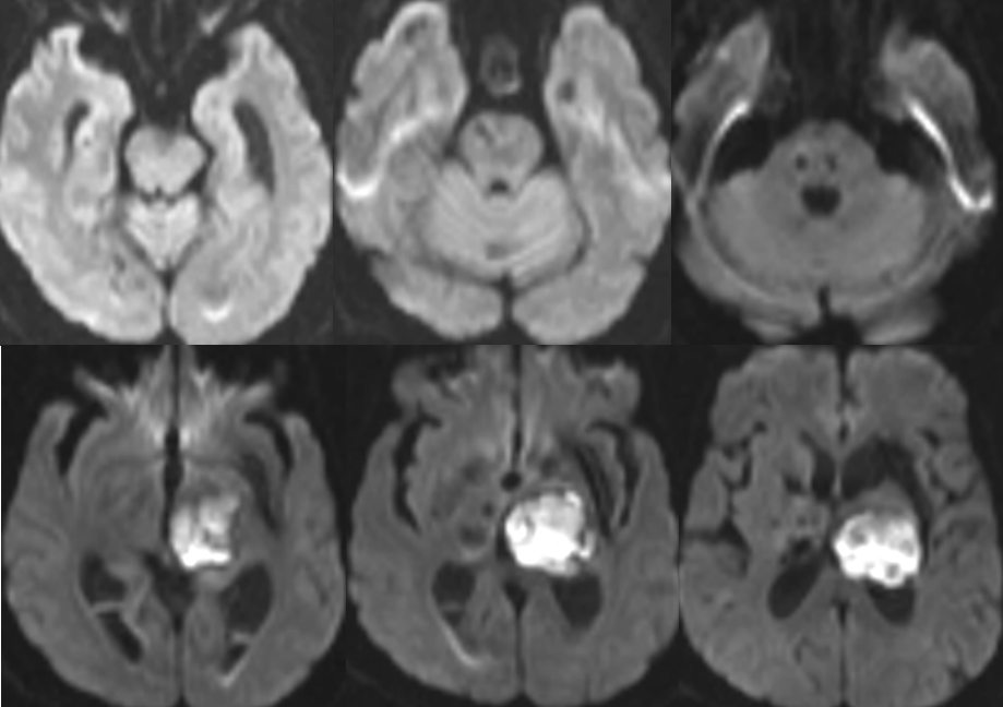
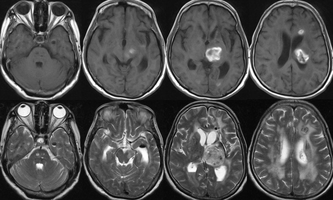
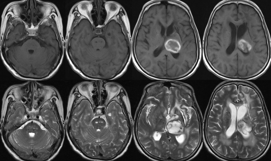
2014-11-27 MRI
2014-11-27 CT
分析
腰大池引流白天50ml,降低引流管高度,在半个小时左右突然100多ml,颜色由淡红转为鲜红色,继而意识障碍加重有昏睡转为浅昏迷,收缩压升高到200mmHg。
非高颅压脑疝!
加强脱水!
患者1小时后清醒。
渗透性脱髓鞘综合征?
渗透性脱髓鞘综合征(osmotic demyelination syndrome,ODS)
是一种少见的急性非炎性中枢脱髓鞘性疾病,主要是由于慢性低钠血症时脑细胞已经适应了一种低渗状态,此时一旦给予迅速补钠,血浆渗透压迅速升高造成脑组织脱水而继发脱髓鞘。
分为脑桥中央髓鞘溶解症(central pontine myelinolysis, CPM),脑桥外髓鞘溶解症(extrapontine myelinolysis, EPM)。
CPM表现为四肢瘫和不同程度的脑干功能障碍,如假性延髓麻痹,偶有闭锁综合征、缄默症。EPM主要表现为运动障碍、肌张力障碍、帕金森综合征等,仅出现小脑体征者罕见。
影像学特征
CT表现为脑桥中央或脑桥外病灶处的低密度影。
MRI能更好地反映病灶的数量和程度。早期可无异常,出现症状后1周DWI上可发现高信号。急性期表现为对称的T1WI低信号,亚急性期可能是由于内皮细胞受损所致的微出血而显示T2WI高信号。FLAIR显示病灶高信号更清楚,能更好地显示临近脑脊液的病灶,比如大脑皮质,应作为常规检查。也有一些报道发现皮质层及皮质下T1高信号,有的钆增强被强化,有的不被强化。脑MRI对本病具有十分重要的诊断意义,大约在发病2~3周时异常信号最为明显,所以结合病史及临床表现如果考虑ODS的诊断,在MRI检查正常的情况下,在出现症状后10~14天复查MRI是十分重要和必要的。
治疗
目前推荐的理想的纠正低钠的速度是不超过8mmol/L/d或0.5mmol/L/h,最初的补钠速度为1~2mmol/L/h,低钠脑病患者建议用高渗盐,但有潜在的危险,至少每2h监测一次血钠,48h不应该超过20mmol/L。
目前尚缺乏有效治疗ODS的方法,已报道有甲状腺释放激素(TRH)、类固醇激素、血浆置换、免疫球蛋白及高压氧疗法等。
2014-12-2 CT
患者生命征平稳,精神可,一般情况好。
神经系统检查:神清清醒,有遵嘱动作,反应稍迟钝,左侧瞳孔2.5mm,右侧瞳孔3mmm,对光反射均稍迟钝,右上肢肌力粗测约2级,右下肢肌力粗测约3级,肌张力正常,左侧肢体肌力及肌张力粗测正常,右侧巴氏征阳性,余神经系统查体不能配合。
转院康复治疗。
