《Neuroendocrinology》 2020年9月刊载[110(9-10):836-847]德国University of Erlangen-Nürnberg, Erlangen的Kremenevski N,Schlaffer SM,Coras R,等撰写的综述《颅底脊索瘤和软骨肉瘤。Skull Base Chordomas and Chondrosarcomas.》(doi: 10.1159/000509386.)。
摘要
颅底脊索瘤占颅内肿瘤的不到0.2%,软骨肉瘤占不到0.15%。虽然它们的临床和影像学表现相似,但它们的起源不同。脊索瘤起源于原始脊索的胚胎残留物(embryonic remnants of the primitive notochord),而软骨肉瘤起源于原始间充质细胞(primitive mesenchymal cells)或颅骨软骨基质的胚胎剩余部分(embryonic rest of the cranial cartilaginous matrix)。这两种疾病的特点是周围骨和软组织的浸润和破坏以及高的局部复发率。软骨肉瘤,当采用类似的复杂策略治疗时,比脊索瘤表现出更好的预后。脊索瘤5年生存率约为65%,软骨肉瘤约为80%,10年生存率分别为30%和50%。
脊索瘤可分为以下三种组织学类型:
①典型(常规)(classical (conventional))
②软骨样(chondroid)
③去分化(dedifferentiated)
软骨肉瘤有常规的(conventional)、间充质的(mesenchymal,)、透明细胞的(clear cell)和去分化的亚群。这两种肿瘤通常表现为非特异性症状,而头痛是最常被报道的初始症状。
需要计算机断层扫描和磁共振成像来确定肿瘤的位置和肿瘤的生长程度。治疗理念(The treatment philosophy)是最大限度切除肿瘤,减少并发症的发生率,保持功能。颅内脊索瘤和软骨肉瘤的常见手术入路有经蝶入路(transsphenoidal)、经基底入路(transbasal)、颅颧眶入路(cranio-orbitozygomatic)、经颧骨延伸中窝入路(transzygomatic extended middle fossa)、经髁入路(transcondylar)和经上颌窦入路(transmaxillary approaches.)。
脊索瘤和软骨肉瘤对化疗不敏感,尚无得到批准的药物用于它们的治疗。对于脊索瘤和软骨肉瘤,目前的治疗理念是将手术切除与最大切除相结合,并通过辅助放射治疗来保持患者的生存质量。
引言
脊索瘤和软骨肉瘤是一种原发恶性肿瘤的异质性群体(heterogeneous group ),在颅底区域内生长和侵袭颅底区域。它们表现出显示各种各样的肿瘤行为的病征。很难应用标准的分类。根据其临床表现和放射影像学特征来划分病灶似乎是适当的。因此,脊索瘤和软骨肉瘤在历史上被归为一类。然而,这些肿瘤是不同的临床病理实体,并在其临床结果方面有显著差异。脊索瘤和软骨肉瘤是一种罕见的恶性肿瘤,其特征是缓慢的、破坏性的和局部侵袭性的生长(slow, destructive, and locally invasive growth)。脊索瘤起源于原始脊索的胚胎残余部分,在其恶性转化前发生了分子改变。另一方面,软骨肉瘤被认为是起源于原始间充质细胞或颅骨软骨基质的胚胎残余物。此外,脊索瘤和软骨肉瘤具有高的局部复发倾向(high propensity for locoregional recurrence),并浸润和破坏周围的骨骼和软组织。虽然这些恶性肿瘤的转移潜力被认为是相对较低的,但已有报道在晚期疾病患者出现远处转移。这与预后不良和中位生存期少于12个月有关。这两种肿瘤通常生长缓慢,引起神经血管结构的逐渐移位,进而导致临床症状的出现和随后的诊断。颅底的复杂结构,以及与颅底神经和血管的近距离接触,为这些肿瘤的治疗带来了巨大的挑战。值得注意的是,进袭性手术具有很高的致死致残率。在此,我们综述了颅底脊索瘤和软骨肉瘤的流行病学、组织病理学、临床表现、诊断与鉴别诊断、影像学特征以及各种多模式治疗与临床结果相关的文献。
流行病学
颅底脊索瘤是一种罕见的恶性肿瘤,占所有颅内肿瘤的不到0.2%。几项以人口为基础的大型研究估计脊索瘤的总发病率为每年每10万人中0.08人。它们可能发生在所有的年龄组(尽管大多数病例是在成年期诊断的,患者的平均年龄50-60岁),很少影响儿童和青少年(<5%的脊索瘤)。据报道,颅底病变的性别分布几乎相同。脊索瘤与辐射或其他环境因素没有已知的致病关系。然而,有非常小的比例的患者显示有家族遗传模式。有意思的是,软骨肉瘤约占所有颅内肿瘤的0.15%,占所有颅底肿瘤的6%。发病率高峰发生在40至60岁,没有性别倾向。在Bloch等人的一项研究中,32%的软骨肉瘤累及斜坡,27%起自颞枕交界处(temporo-occipital junction)。值得注意的是,这两种颅内肿瘤的远处转移是非常罕见的。脊索瘤和软骨肉瘤的结果有很大不同,后者在采用类似的复杂策略治疗时表现出有较好的预后。
组织病理学
脊索瘤
德国内科医生和病理科医生Rudolf Virchow提供了对脊索瘤的第一个宏观和显微镜描述。他在尸检中描述了在斜坡表面有一个偶发的,小的,黏性(slimy)的生长。从那时起,被Virchow称为“含有空泡的(physaliferous)”的细胞内的气泡样液泡细胞(bubble-like vacuole cells )如果不算特异性病征(pathognomonic)的话,仍然是脊索瘤的一个显著特征。另一位德国病理学家,即Hugo Ribbert,后来提出了“脊索瘤(chordoma)”一词。
脊索瘤的组织病理学类型有:经典型(常规型)、软骨样型和去分化型。脊索瘤的组织病理学类型决定了肿瘤的预后。前两种类型长期预后良好,3年总体生存率为90%。去分化亚型表现出进袭性行为,3年总体生存率只有60%。
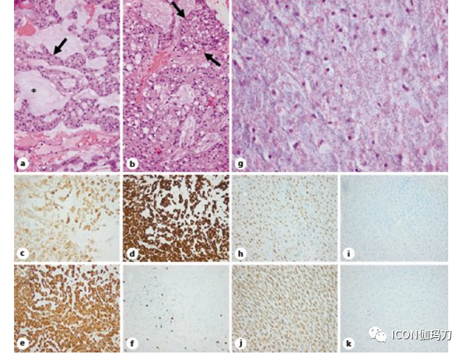
常规的(典型的)脊索瘤由悬浮在黏液状的-黏液性的基质中(suspended in a myxoid-mucous matrix )的索状(cords)和岛状(islands)的嗜酸性和透明的空泡细胞(eosinophilic and clear vacuolated cells),也称为“含空泡的细胞(physaliphorous cells)”,组成(图1a, b)。细胞核圆且一致(round and uniform),但也有一些表现出可观的多形性(considerable pleomorphism)。一层薄的纤维隔把这些细胞群分成小叶(A thin fibrous septum divides groups of these cells into lobules)。这种典型类型的脊索瘤不应显示软骨样或其他间充质组织分化的证据。
第二种类型的脊索瘤或软骨型脊索瘤表现为在腔隙中生长的(grow in lacunae)类似透明软骨(hyaline cartilage)和瘤性细胞(neoplastic cells)(有时是含空泡的)间质区域。罕见的去分化型脊索瘤的特征是直接显示的(frankly)恶性的,间质性成分(mesenchymal component)和有肉瘤样表现(sarcomatoid appearance)。他们的预后很差。
最后,在免疫组织化学上(图1c-e),脊索瘤S100、波形蛋白(vimentin)、上皮膜抗原(epithelial membrane antigen)和泛细胞角蛋白(pan-cytokeratins)染色呈阳性。
“Brachyury”是一种新的,最近发现的脊索瘤的特异性诊断标志物。在脊索瘤组织标本中发现“Brachyury”的高表达。脊索瘤患者的Brachyury表达与临床病理参数无相关性。其他肿瘤不表达该蛋白。因此,brachyury的测定可用于鉴别具有类似组织学和区域位置的肿瘤。然而,一些低分化和去分化的脊索瘤区域可能表现出brachyury免疫反应性的缺失。

图1.脊索瘤(a-f)和软骨肉瘤(g-k)的组织学特征。a, b脊索瘤HE染色显示上皮样(epitheloid)细胞索样排列(a中箭头)和可检测到的细胞外粘蛋白(a中星号)。在其他领域可以观察到小叶排列(b中箭头)。脊索瘤显示S100 (c), 泛细胞角蛋白(pan-cytokeratins )(d),和波形蛋白(vimentin) (e)特征性的免疫组织化学表达。(f中的Ki67免疫染色)中度增殖活性. g HE染色显示高分化软骨肉瘤(G1),中度细胞结构,无核分裂或坏死。软骨肉瘤显示表达典型的S100 (h)和vimentin (j)免疫组化,而不表达泛细胞角蛋白(i)。低增殖活性(k中免疫染色Ki67)。
软骨肉瘤
1899年,英国生物化学家和神经病理学家Frederick Walker Mott爵士发表了关于颅内软骨肉瘤的第一份组织学报告。组织学上,软骨肉瘤的特征是软骨基质大量透明类型(abundant hyaline type of cartilaginous stroma)和肿瘤软骨细胞群的存在(the spansence of a neoplastic chondrocyte population)。软骨细胞的细胞质不明显,细胞核小而暗,染色质细(The chondrocytes have an inconspicuous cytoplasm and a small, dark nucleus with fine chromatin)(图1g)。骨小梁的浸润(Infiltration of the bony trabeculae)是恶性肿瘤的组织学特征。此外,还可观察到向周围软组织的延伸。软骨肉瘤可分为以下4个组织学亚群:常规软骨肉瘤、间质软骨肉瘤(mesenchymal chondrosarcoma)、透明细胞软骨肉瘤(clear cell chondrosarcoma)和去分化软骨肉瘤(dedifferentiated chondrosarcoma)。众所周知,软骨肉瘤表现出可辨认的组织学分化等级。根据细胞结构(cellularity)、有丝分裂活性(mitotic activity)、异型性(atypia)和细胞核大小(nuclear size),WHO将其分为三级:I级(高分化)、II级(中分化)和III级(低分化)。I级和II级软骨肉瘤预后较好,而III级软骨肉瘤复发率高,甚至伴有转移。软骨肉瘤S-100和vimentin染色阳性,但不能表达细胞角蛋白和上皮膜抗原等上皮样标志物(图1h, I, j),。
临床症状和体征
脊索瘤和软骨肉瘤患者通常表现出非特异性的、有时令人困惑的症状,这明显地推迟了诊断,直到疾病的晚期。肿瘤的初始表现可能会因位置、扩展和病变与关键结构的接近程度而显著不同。除了位于枕部或眶后区域的头痛外,最常报告是神经眼科(neuro-ophthalmological)的症状。视觉症状可能包括视力模糊(blurred vision)或视力丧失(loss of vision)、上睑下垂(ptosis)和与颅神经麻痹(cranial nerve palsies )有关的视野缺损,这些都可以通过肿瘤的位置和生长方式来解释。这类肿瘤侵袭海绵窦、岩斜区、桥小脑角、颞下窝(the infratemporal fossa)、咽旁间隙(the parapharyngeal space)和颞骨(the temporal bone)等结构并不罕见。斜坡病变可能出现的其他体征和症状包括听力丧失、面瘫或感觉减退(hypoesthesia)、发音困难(dysphonia)、构音困难(dysarthria)、吞咽困难(dysphagia)、呼吸困难(dyspnea)、嗅觉丧失(anosmia)和眩晕(vertigo)。累及鞍上间隙可通过垂体腺或垂体柄受损,导致垂体功能低下和尿崩症,和由于视觉器官受损而导致视觉障碍。较大的肿瘤还可能压迫脑干和小脑,导致步态障碍(gait disturbances)、共济失调(ataxia)、辨距障碍(ataxia)和运动无力(如偏瘫或四肢软弱)。仅凭临床表现无法区分肿瘤的性质。
内分泌功能障碍
脊索瘤和软骨肉瘤可发生于鞍区/鞍旁区,但也可延伸至此区域。在一个大的经蝶窦手术系列中,大约10%的非垂体鞍区病灶被发现为软骨性肿瘤。脊索瘤比软骨肉瘤更容易被诊断。众所周知,肿瘤实体都不分泌任何生物活性化合物或激素。虽然有一些关于这些肿瘤患者内分泌异常的报道,但一种显著的内分泌病是非常罕见的。报道最多的是闭经、溢乳和男性性功能障碍。这些症状的严重程度与继发于垂体柄受压的高泌乳素血症有关。在罕见情况下,进袭性肿瘤生长可能导致垂体腺部分或完全破坏,导致相应的不同程度的激素缺乏。根据影像学特征和表现症状,缺乏对术前激素状况的系统测量作为诊断检查的一部分,可能会导致对非临床表现的激素缺乏的诊断失败。
成像
计算机断层扫描(CT)和磁共振成像(MRI)是对怀疑有颅底肿瘤的患者进行初步评估的首选诊断工具。术前矢状面和冠状面多平面重建(multiplanar reconstructions)对于评估肿瘤与邻近脑结构的详细关系,从而规划最佳的手术治疗是必不可少的。在随访中,需要这些平面来检测与治疗相关的并发症和肿瘤复发。由于这两种肿瘤在位置、对颅底的侵袭性生长模式和程度上都具有广泛的差异性,因此术前MRI和CT都无法区分脊索瘤和软骨肉瘤。
高分辨率CT
高分辨率的CT扫描对检测颅底病变非常敏感,需要进行静脉对比增强,并在骨窗和软组织窗进行检查。CT扫描均描绘出颅内脊索瘤和软骨肉瘤,以及起自斜坡的界限清晰的膨胀的组织肿块(well-defined expansive tissue masses),伴溶骨性转变(osteolytic transformation),频繁向邻近软组织扩张(frequent expansion to the adjacent soft tissue)。在平扫CT上,与正常脑组织相比,肿瘤呈等密度或稍低密度(isodense or slightly hypodense)。软骨肉瘤瘤内多见钙化,因此提示该诊断。
磁共振成像
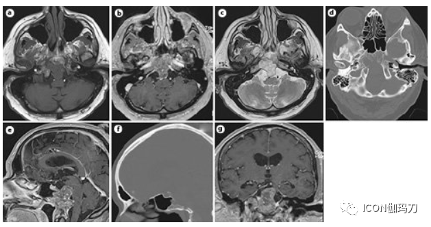
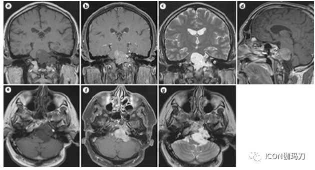
与CT扫描相比,MRI在评估颅内病变时提供了最佳的分辨率和软组织对比,并提供了精致的解剖细节(exquisite anatomic details )。矢状面图像是鉴别肿瘤后缘(identification of the posterior tumor margins)及其与脑干的关系所必不可少的(indispensable for),而冠状面图像则是识别肿瘤外侧缘(the lateral tumor margins)及肿瘤向海绵窦延伸所必须的(essential)。颅内脊索瘤和软骨肉瘤的特征是在自旋回声T1加权MR序列上表现为中到低信号,它们在斜坡脂肪组织的高信号强度内被识别。T1加权序列识别的高信号小病灶(Small foci of hyperintensity),在梯度加权序列中表现为亮斑和暗区(bright spots and dark areas on gradient-weighted sequences),代表瘤内出血或粘液池(mucus pool)。此外,肿瘤在T2加权图像上显示高信号。由于成人正常骨髓在T1加权图像和快速自旋回波T2加权图像上都具有明亮的信号强度,因此,矢状位和轴位T1加权、对比后、脂肪抑制图像也有助于鉴别相邻的骨髓间隙中的肿瘤和脂肪。斜坡脊索瘤和软骨肉瘤向前、向侧方、向后、向下和向上延伸,累及鞍区/鞍旁、中颅窝、桥前池和枕骨大孔,可表现出类似的生长模式(图2,3)。脊索瘤倾向于起源于中线,而与其形成对照的是(as oppased),软骨肉瘤起源于更外侧(more laterally),在起源上的细微差别(a slight difference in spandilection in terms of origin )可能在MRI的初始鉴别诊断中有用。

图2.颅内脊索瘤的MRI和CT扫描。轴位(a-c)、矢状位(e)、和冠状位(g) T1加权和轴位T2加权(c) MRI显示肿瘤向斜坡/斜坡后延伸。b, e, g对比增强图像。轴位(d)和矢状位(f) CT扫描显示斜坡受累。

图3.颅内软骨肉瘤的MRI扫描。冠状位(a, b)、矢状位(d)、轴位(e, f) T1加权和冠状位(c)、轴位(g) T2加权MR显示肿瘤向后颅窝扩展。b, e, g对比增强图像。
治疗
手术
虽然神经外科技术取得了进展,但颅内脊索瘤和软骨肉瘤的治疗仍然是一个巨大的挑。手术理念是尽可能切除肿瘤,保留或改善患者的状态。由于肿瘤的进袭性和浸润性生长方式,并累及周围神经结构,通常不可能在手术切缘阴性的情况下宏观完整切除肿瘤。许多手术方法被描述为切除颅底脊索瘤和软骨肉瘤。考虑到这些肿瘤的进袭性性质(the aggressive nature),特别是患者的期望,最好的治疗方法,甚至多种治疗方法必须根据个体选择。重要的是要考虑在切除颅底病变后可能发生的常见和严重的并发症。许多作者报告了高达80%的患者出现新的颅神经功能障碍,而这种功能障碍在大多数患者中往往是一过性的。其他并发症包括脑脊液漏、脑膜炎、听力丧失、视力下降和血管损伤的后遗症(consequences)。颅内脊索瘤和软骨肉瘤切除术中常用的神经外科入路包括经蝶入路、经基底入路、颅颧眶入路、经颧骨延伸中颅窝入路、经髁入路和经下颌窦入路。它们的应用概述如下。
经蝶窦入路
经蝶窦入路对于局限于上斜坡、鞍区和鞍上或海绵窦内侧面的肿瘤是一种成熟的治疗方法。该入路可使颅内许多解剖结构(颈内动脉、垂体腺、漏斗部、视神经及视交叉、乳头体、基底动脉分叉(bifurcation)、下丘脑等)更加清晰可见。这种方法,主要是以一种扩展的方式,能在周围组织位移或扭曲最小的情况下切除肿瘤。神经外科医生可以有效地在视交叉上方或下方工作,这取决于视交叉相对于病变的情况。经蝶入路是我们研究所治疗脊索瘤和软骨肉瘤最常用的方法之一。
经基底入路
经基底入路有许多改进(如单或双侧经基底眶颅额下入路、经基底鼻额入路[uni- or bilateral orbital-cranial subfrontal transbasal, nasofrontal transbasal])。它创造了到达中线斜坡、海绵窦内侧、岩尖(the petrous apex)、枕骨髁(the occipital condyles)和枕骨大孔(the foramen magnum)的可能性。然而,该入路是位于两侧视神经之间的中线入路,不能暴露位于颈内动脉(ICA)外侧的肿瘤。主要缺点是视神经与颈内动脉(ICA)之间的通路狭窄且深(the narrow and deep corridor )。
颅眶颧入路
该入路为病灶的全面显露提供了最短的路径。它提供了肿瘤的多方向视图(multidirectional view),并允许通过多种途径(额下经基底、经侧裂[transsylvian]、颞下[subtemporal]和颞颧骨下[infratemporal])进行手术切除。许多作者报道了使用该入路治疗上斜坡区域的肿瘤,肿瘤延伸到颈内动脉(ICA)外侧,并延伸到中颅窝、岩尖和颞下窝(infratemporal fossa)。
经颧骨延伸中颅窝入路
该入路在治疗位于颞颧骨下、蝶腭、颞窝、眼眶、岩尖、岩斜上部和海绵窦的病灶非常有用。它创造了一个更宽的手术通路,提供了直观的斜坡和脑干。延伸至蝶窦的肿瘤可通过第V颅神经(三叉神经)第一、第二支之间的帕金森三角(Parkinson triangle)切除。
经髁入路
许多适应症已被报道为经髁入路。在一些病例中,它可以进入下斜坡区域的脊索瘤/软骨肉瘤,并向外延伸至颅颈交界或上颈椎。它需要椎动脉的镜外处理。此入路可与上经茎入路和下经膀胱入路联合使用。然而,手术可能导致小脑损伤、椎动脉损伤或枕颈不稳定,广泛的髁突切除甚至可能需要未来的枕颈融合。
经髁入路
许多适应症已被报道为经髁入路。在一些病例中,可以通过该入路进入下斜坡区域,并向外延伸至颅颈交界或上颈椎的脊索瘤/软骨肉瘤。它需要椎动脉的骨膜外处理(extraperiosteal management)。该入路可与向上经颞入路(transtemporal approach superiorly )和向下经颈椎入路(transcervical approach inferiorly)联合使用。然而,手术可能导致小脑损伤、椎动脉损伤或枕颈不稳定(occipito-cervical instability),广泛的髁突(condyle)切除甚至可能需要未来的枕颈融合(occipito-cervical fusion)。
经下颌窦入路
该技术可以切除位于斜坡区、延伸至鼻咽或颅颈交界、颅前窝下方、C2-C3间隙上方、翼板内侧(medial to the pterygoid plate)的肿瘤。上颌截骨术(The maxillary osteotomy)可直接观察斜坡区、鼻口咽后部(the posterior nasooropharynx)和颈椎。该入路与适当选择的有有限的致死致残率的患者相关。与治疗措施相关的并发症包括沿正中旁颅底的神经血管结构的损伤,包括上颌、下颌和翼管神经血管束(maxillary, mandibular, and vidian neurovascular bundles)。伴随多节段截骨术(multisegmented osteotomies)和术中低血压,无菌性骨坏死(aseptic bone necrosis )的风险增加。
放射治疗
最近的文献支持脊索瘤和软骨肉瘤联合治疗的概念,包括最大限度的切除手术,然后行辅助放射治疗。人们认为放射治疗可以清除瘤床上看不见的、显微镜下可见的肿瘤巢。脊索瘤和软骨肉瘤最常见的辅助治疗方法包括质子束放疗的高剂量放疗和使用伽玛刀与射波刀的放射外科治疗。然而,目前还没有发表研究直接比较这些放射疗法。回顾性研究表明,辅助放疗后局部无进展时间较长。常规放疗似乎不能增加生存时间。采用基于质子疗法治疗颅底脊索瘤的5年无复发生存率在59 和73%之间。相比之下,采用同样的质子治疗后,颅底软骨肉瘤的疾病特异性5年生存率约为99%。在完全切除的情况下,WHOI级和II级软骨肉瘤不建议进行辅助放疗,而脊索瘤则普遍提倡进行辅助放疗。
化疗
传统上,脊索瘤和软骨肉瘤对化疗不敏感,目前没有批准治疗它们的药物。在脊索瘤和软骨肉瘤的发展过程中发现了不同信号通路的失调(Dysregulation of different signaling pathways )。阻断这些信号通路的药物可能成为抗癌治疗的诱人的靶向药物。酪氨酸激酶抑制剂(TKI)通过靶向抑制几个相交叉的分子通路,对脊索瘤表现出活性。少数接受TKI舒尼替尼(sunitinib)治疗的患者,至少16周达到病情稳定。其他研究表明,如甲磺酸伊马替尼(imatinib mesylate)、厄洛替尼(erlonitib)等TKI和如西妥昔单抗(cetuximab)、吉非替尼(gefitinib)等表皮生长因子受体抑制剂对晚期或转移性脊索瘤的治疗具有有益作用。软骨肉瘤患者的临床研究中也测试了TKI、mTOR、hedgehog和AKT抑制剂。遗憾的是,他们中的大多数都未能证明在疾病进展或结果方面的临床益处。然而,所有的临床报告都受到患者人数少和随访时间短的限制。最后,发表的研究为临床I/II期研究,很难得出任何结论。
有意思的是,要注意到,基于增强免疫系统以消除癌细胞的免疫治疗已发展成为一种有前途的癌症治疗模式。与其他人类癌症一样,最近的研究表明,脊索瘤细胞的某些部分通过上调程序化死亡-1受体(PD-1)和程序化细胞死亡配体1 (PD-L1)逃逸免疫调节破坏。许多阻断PD-1/PD-L1通路的检查点抑制剂(checkpoint inhibitor, ICI)抗体已被开发并应用于临床。
Migliorini等人发表了使用ICI免疫治疗复发脊索瘤的临床反应的医学故事性案例(anecdotal cases )。虽然目前有一些关于脊索瘤和ICI的临床研究(详情请见https://clinicaltrials.gov) ,但对于在现有的脊索瘤治疗方案中加入ICI抗体是否能改善结果的猜测还为时过早。
预后和结果
到目前为止,还没有可靠的标志物可以预测颅底软骨肉瘤和脊索瘤的预后。然而,Weber等人基于多变量分析,将组织学、大体肿瘤体积和脑压迫作为局部控制和总体生存(OS)的独立预后因素。另一方面,一些作者认为预后取决于多种因素。去分化脊索瘤表现出特别不良的预后与进袭性的临床过程。这种亚型的3年总体生产率(OS)率为60%,而经典脊索瘤的3年总体生存率为89.4%。低分化或III级软骨肉瘤表现出进袭性行为,并与最低生存率相关。肿瘤体积已被纳入TNM分期系统,并可被视为一个潜在的预后因素。Kamrin等报道未经治疗的脊索瘤患者的平均生存期为6 -24个月。根据已发表的数据,脊索瘤患者在手术和放疗后的中位总体生存期为6.29年,5年无进展生存率为45 - 56%,10年无进展生存率为32 - 60%。脊索瘤所有解剖部位的转移率估计为9 - 41%。在对560丽颅内软骨肉瘤患者的系统综述中,计算出的5年死亡率为11.5%,中位生存时间为24个月。国家癌症研究所的监测、流行病学和最终结果项目显示,脊索瘤5年的总体生存率为65%,软骨肉瘤的总体生存率82%,10年的总体生存率分别为32%和50%。
结论
颅底脊索瘤和软骨肉瘤是局部侵袭性和破坏性生长的肿瘤,具有高的局部复发率和罕见的远处转移。患者往往有非特异性和混淆的症状,与肿瘤亚型无关。CT和MRI对于疑似脑部疾病患者的初步评估仍然是有同等价值的诊断工具。术前仅根据临床表现和基于临床和仪器的诊断是不可能鉴别脊索瘤和软骨肉瘤的。治疗颅内肿瘤的理念是最大限度的切除肿瘤,减少并发症发生率,并保持功能。必须根据具体情况确定适当的方法甚至多种方法。手术后应辅以辅助放射治疗,以改善局部无进展期,其中质子束治疗已被证明比常规放射治疗更有获益。到目前为止,还没有批准的药物制剂治疗脊索瘤和软骨肉瘤。概括起来(recapitulation),从个体角度来看,颅内颅底脊索瘤和软骨肉瘤应该通过一个适当的方法最大可能地减瘤(cytoreduction),而没有一般情况的恶化和不引起神经功能障碍,接着接受质子束疗法的形式放射治疗。





