身自端方,体自坚硬。
虽不能言,有言必应。
——打一用物
这个是贾政念给贾母猜的灯谜,谜底是砚台。“身自端方,体自坚硬”,符合砚台的特征,而“虽不能言,有言必应”,跟砚台何关呢?《红楼梦》里没有解释。百度了一下,原来“有言必应”的“必”跟“笔”谐音,豁然开朗。
我现学现卖也出个灯谜,说:
身自盘旋,体自团圆。
不动则已,一动通关。
——打一用物
哈哈!谜底正是弹簧圈,通关的“关”字跟“管”谐音啊!
![]()

书归正传,自本回书起开讲各种特殊类型的动脉瘤,首先拿分叶状动脉瘤开涮(栓)。对于分叶状动脉瘤,从栓塞技术上说,我们常用双微导管或多微导管技术,微导管头端塑成不同形状以便进入不同分叶,必要时支架辅助栓塞;从弹簧圈的选择上说,原则上可以把每个分叶当成独立的动脉瘤,根据每个分叶的大小,分别选择相应的弹簧圈成篮、填塞,最后再用小弹簧圈封闭共同的瘤颈。
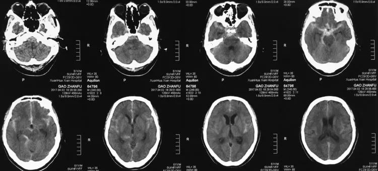
例1,男,50岁,因突发头痛伴恶心、呕吐12小时于2017年4月3日收入院。查体:颈强三横指,余无阳性体征。头颅CT(2017年4月2日)示SAH:

2017年4月5日行DSA+介入治疗。右颈内动脉造影显示右侧前交通动脉瘤,呈牛角形分叶(左图);左颈内动脉造影显示左侧大脑前动脉A1段发育稍差(右图)。拟行双微管技术栓塞,无须刻意保全前交通动脉。

右颈内动脉造影三维重建测量,公共瘤颈宽3.0 mm;大分叶3.4 mm×5.8 mm,可作为小型动脉瘤对待;小分叶2.3 mm×2.4 mm,可作为微小动脉瘤对待。

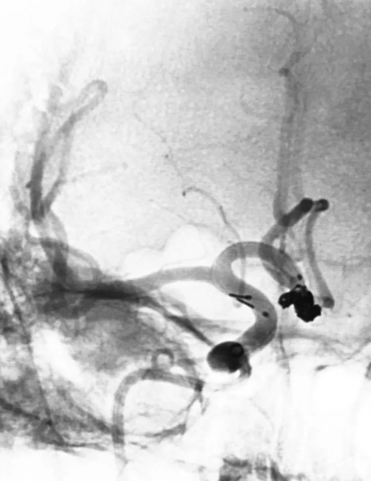
右颈内动脉工作位路图(LAO 3°+CRA 7°)下,第一根Echelon-10微导管(甲管,头端45度预塑形)在Traxcess-14微导丝引导下进入大分叶(红箭);第二根Echelon-10微导管(乙管,头端塑成C形)进入小分叶(蓝箭):

经甲管向大分叶内依次填入3枚弹簧圈(MicroPlex 10-3-6-Cosmos Complex,PC-3-6-3D,PC-3-4-3D),第3枚弹簧圈的一个环挤入小分叶:

经乙管向小分叶内依次填入2枚弹簧圈(QC-2-4-3D,QC-1.5-2-HELIX):

此时两根微导管的管头都退到了瘤颈处,经乙管继续送入2枚弹簧圈(MicroPlex 10-1.5-4-HyperSoft Helical,MicroPlex 10-1-2-HyperSoft Helical);经甲管送入最后一枚弹簧圈(MicroPlex 10-1-2-HyperSoft Helical),致密封闭两个分叶的公共瘤颈:

术后右颈内动脉工作位和三维旋转造影显示动脉瘤完全栓塞,前交通动脉保留:

讨论
本手术的基本流程是:栓塞大分叶→栓塞小分叶→栓塞公共瘤颈。两个分叶直径都比较小,因此弹簧圈规格的选择比较保守。双微管技术的应用使得整个栓塞过程行云流水、挥洒自如。
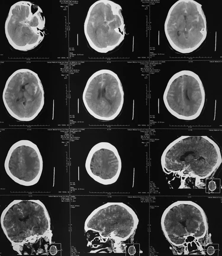
例2,女,61岁,因突发意识障碍18小时于2019年3月11日收入院。糖尿病、冠心病病史10余年。查体:神志恍惚,躁动,GCS 11分。双瞳孔等大等圆,光反应灵敏,颈抵抗,四肢肌力检查不合作,双侧病理征未引出。头颅CT(2019年3月10日)示SAH:

2019年3月13日行DSA+介入治疗。术前左颈内动脉造影三维重建显示左侧后交通动脉瘤,呈牛角形分叶;后交通动脉由瘤颈近心端发出,非胚胎性:

测量,公共瘤颈宽5.40 mm,大分叶4.86 mm×6.35 mm,小分叶3.57 mm×4.28 mm,可视为两个孤立的小型动脉瘤,分而治之:

计划支架结合双微导管技术栓塞。6F Navien中间导管在6F长鞘支撑下抵达左颈内动脉破裂孔段。左颈内动脉工作位(LAO 52°)路图下,经Navien送入三套微导管,Headway-21支架导管进入左大脑中动脉;第一根Echelon-10微导管(甲管,头端塑成C形)在Synchro-14微导丝引导下进入大分叶;第二根Echelon-10微导管(乙管,头端塑成猪尾形)进入小分叶:

LVIS支架(3.5-15)辅助下双微管栓塞动脉瘤,先经甲管向大分叶内依次填入5枚弹簧圈(QC-6-15-3D,4-12-HELIX,3-8-HELIX,3-8-HELIX,2-8-HELIX),少量弹簧圈挤入小分叶;再经乙管向小分叶内依次送入3枚弹簧圈(APB-3-8-3D-ES,2-6-HX-ES,1.5-4-HX-ES);最后继续经乙管送入3枚弹簧圈(APB-1.5-3-HX-ES,1-3-HX-ES,1-3-HX-ES)封闭瘤颈:

术后左颈内动脉工作位造影显示动脉瘤完全栓塞,后交通动脉壶腹保留:

讨论
双微导管栓塞流程跟上两例如出一辙,不同之处在于本例加用了支架辅助。
例3,女,57岁,因体检行头部MRA发现颅内动脉瘤2天于2011年10月26日收入院。高血压病史5年。查体无明显阳性体征。于11月2日行DSA+介入治疗。术前左颈内动脉造影显示左侧颈内动脉眼动脉段动脉瘤,呈牛角形分叶;三维重建测量,瘤颈宽9.0 mm,大分叶7.9 mm×7.8 mm,小分叶3.7 mm×5.7 mm:

计划支架结合双微导管技术栓塞。左颈内动脉工作位(右斜35°)路图下,经8F导引导管送入三套微导管系统,PROWLER SELECT PLUS支架导管在Traxcess-14微导丝引导下进入左大脑中动脉;第一根Echelon-10微导管(甲管,头端塑成C形)送入动脉瘤近心端的小分叶;第二根Echelon-10微导管(乙管,45°预塑形)送入远心端的大分叶:

经甲管向小分叶内填入3枚弹簧圈(QC-4-8-3D,DELTAPAQ 10-3-10-CERECYTE,DELTAPAQ 10-2-8-CERECYTE):

经支架导管送入EnterPrise支架(4.5-28),跨瘤颈释放于左颈内动脉虹吸部;在支架保护下,经乙管向大分叶内填入7枚弹簧圈(PRESIDIO 10-7-30-CERECYTE,PRESIDIO 10-6-26-CERECYTE,QC-6-20-HELIX,PRESIDIO 10-5-17-CERECYTE,QC-5-15-3D,QC-4-10-HELIX,QC-3-8-3D),并将瘤颈呈马鞍状封闭:

术后左颈内动脉工作位造影显示动脉瘤完全栓塞:

讨论
本例跟例2一样,是支架结合双微导管技术的典型示范。
以上三例均为牛角状双分叶的动脉瘤,均使用双微导管技术栓塞瘤腔。
有道是:为人性僻耽佳句,语不惊人死不休。非为故作惊人语,日日惊心动魄中。欲知后事如何,且听下回分解!

1
后记——
你自己旗开得胜马到成功是一番欣喜,看到战友能够出色实现你的锦囊妙计是另一番欣喜:



(点击图片查看大图)




