这个病人是个中年男性,因为左侧蝶骨嵴脑膜瘤入院,病变已经侵犯眼眶,手术本身难度也不大,主要是静脉的保护,彻底切除干净和脑膜的修补等。

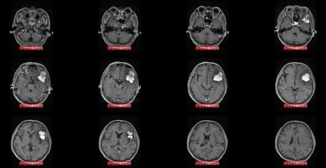
这是术前的磁共振,肿瘤与侧裂静脉的关系比较密切,需要关注。
2016-9-7手术,术中有一个颞叶的静脉比较粗大,开始一直保留,最后阶段,出血,后来电凝止血后,术后一直不放心,病人清醒,但是头痛,一直担心会不会出血?静脉瘀血?
由于中华医学会神经外科年会在兰州举行,我9月9日还有大会发言,准备了9月8日去兰州的航班。所以术后当日晚上复查头颅CT:有少量渗血,不需要再次手术。
心里还是不放心,因为次日8点需要去机场,早上6点就让住院医生带病人去做头颅CT,心里想,如果需要手术,就不能前往兰州开会,毕竟病人的生命更重要。幸运的是头颅CT还比较理想,没有明显的脑水肿,出血没有增加。病人继续在监护室观察。

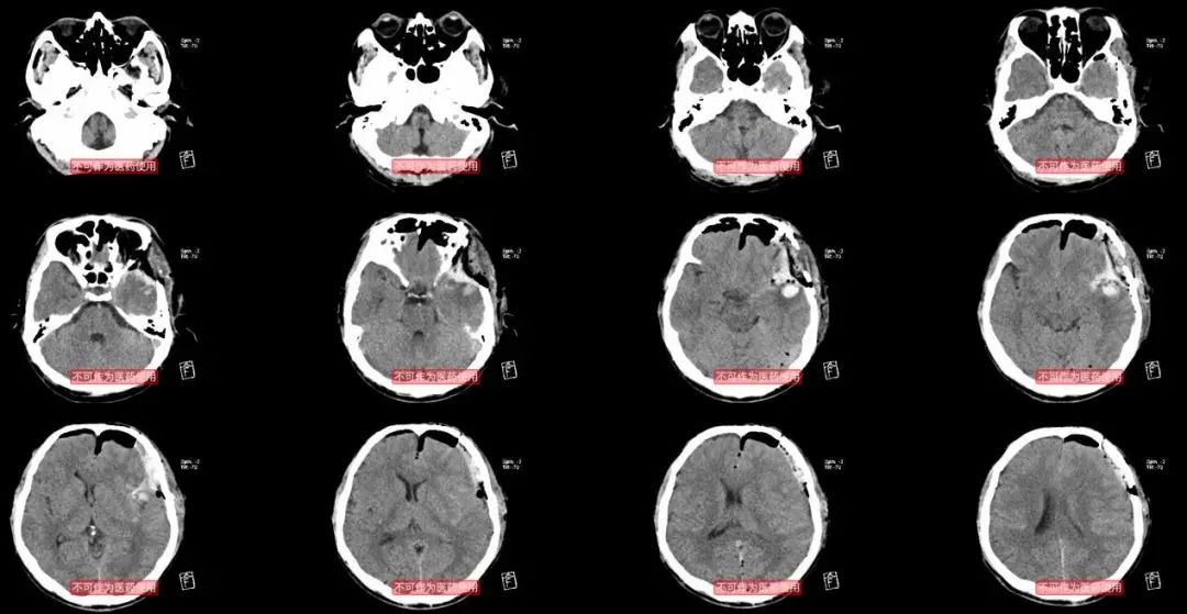
术后当日的CT

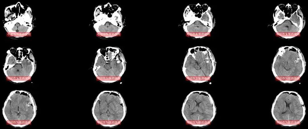
术后次日凌晨的CT
看完CT,我才急忙往机场赶。

因为有大会发言,虽然不用再次手术,还是带着忐忑不安的心情,去兰州开会,9月9日发言后,当日晚上就返回。
在兰州期间多次和住院医生沟通病情,病人有些躁动,其他还算平稳。

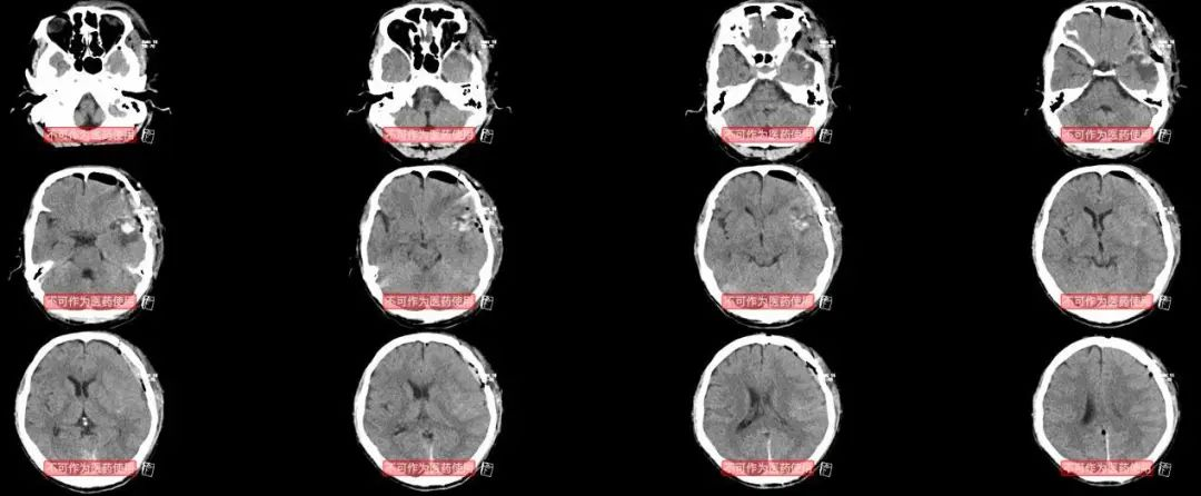
9月9日的头颅CT,病人基本清醒了,就是感觉呼吸困难,呼吸快,血氧饱和度90%左右。追问病史病人答:术前每天吸烟3包(虽然住院后没有抽烟)。次日呼吸更困难了,血氧饱和度有时可以60%,立即复查胸部CT。

胸部CT显示极其严重的肺部感染,记得1年前一个病人因为这样严重的肺部感染(当然那例病人是后颅窝肿瘤,术后可能后组颅神经损伤,可能存在误吸),后来严重ARDS,气管切开,转入MICU治疗了很长时间,费用超过30万。
担心从心底而生,和家属沟通后,感觉病人家属(潮汕人)还是比较积极,不是那种完全靠医生、靠护士的那种人,自己家里人愿意承担一些护理任务。
虽然当时呼吸比较困难,经过艰难抉择和家属彻底沟通与理解,带着战战兢兢的心情和众多人的不理解,我还是让病人搬出了监护室。
我们做了如下治疗
1、痰培养,强力抗感染(感谢呼吸内科杜海坚医生和李伟峰主任的大力支持)。
2、加强吸痰、监护(感谢我们的护理团队,每小时都要吸痰几次,到每小时一次,到几小时1次)。
3、加强雾化吸入(三联)。
4、告知家属加强肺部康复
☞ 多翻身拍背,我告诉家人甚至是大力拍背。
☞ 多改变体位,坐位-卧位-左侧-右侧。
☞ 可给病人饮水,多次饮水,督促病人咳痰,咳出来或咽下去(由气道进入食道),如果病人进水稍有咳嗽,我告诉病人吸进的水,咳出的是痰,不怕。
☞ 感谢家人的付出,潮汕人真的很厉害,一家人都很理解,也严格按照要求,甚至超标准完成改变体位,打背等治疗。
5、营养支持,提高免疫力(牛初乳片等)等治疗。
6、中医治疗
关键时刻要想到中医治疗,他们也许使用大剂量的黄芪,也许建议家属使用橙子带皮和瘦肉煲汤等,总之中医有自己的一套(感谢中医团队,尤其是是李晓昊医生)。

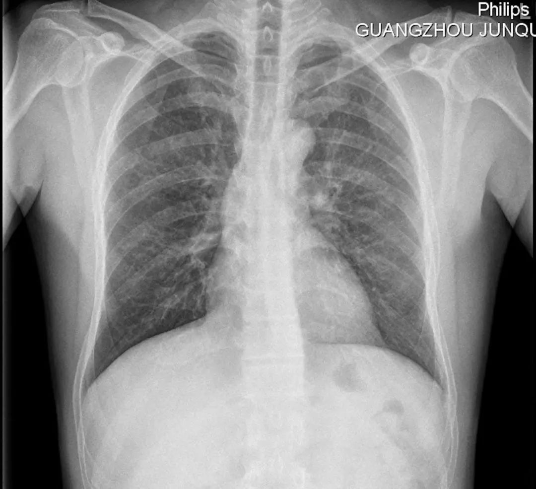
出现严重肺部感染后,我首先回顾了术前的胸片,也没有发现严重的问题?!
希望积极的治疗能好转,感谢我们的团队和家属,病人在上述治疗后逐渐好转,吸痰次数越来越少,呼吸困难越来越好,血氧饱和度越来越好,病人一直是清醒的。

9月14号的CT,肺部就有好转,病人的病情也明显好转。

9月26号胸部CT明显好转后出院。

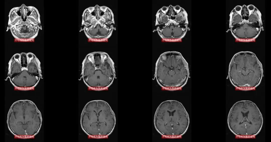
这是12月21日复查的头颅MR,肿瘤没有复发征象,全切,也没有明显脑水肿。

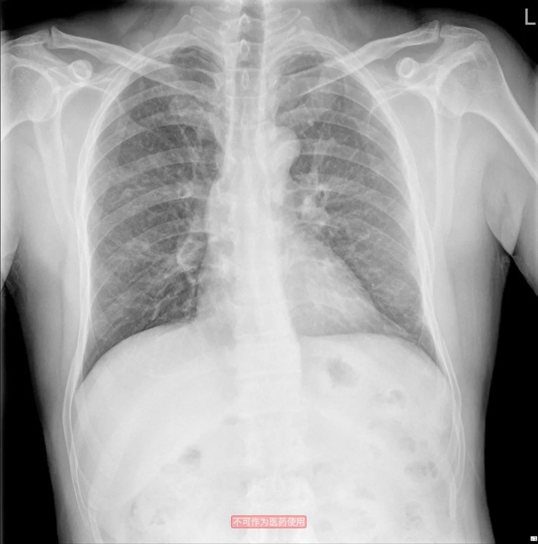
12月21日复查的胸片,基本正常。
这个病人体现了肺部康复在神经外科的重要性。需要医生-护士、家属的共同努力,需要多学科合作(监护室-神经外科-呼吸科-中医科-营养科等)。
医生需要有担当,关键时刻,根据家属表现做出正确的抉择。如果家属是胆小怕事,完全依赖医生的那一种,这个病人必须在监护室,很有可能气管切开,呼吸机辅助呼吸。
要知道严重的时候这个病人的血氧饱和度只有60%多。这时候也没有使用呼吸机,因为病人是清醒的,家属一直很努力。




