![]()
孙子曰:用兵之法,有散地,有轻地,有争地,有交地,有衢地,有重地,有圮地,有围地,有死地。……疾战则存,不疾战则亡者,为死地。
投之无所往,死且不北,死焉不得,士人尽力。……令发之日,士卒坐者涕沾襟。偃卧者涕交颐。投之无所往者,诸、刿之勇也。
帅与之期,如登高而去其梯;帅与之深入诸侯之地,而发其机,焚舟破釜,若驱群羊,驱而往,驱而来,莫知所之。聚三军之众,投之于险,此谓将军之事也。
投之亡地然后存,陷之死地然后生。夫众陷于害,然后能为胜败。
——《孙子兵法·九地篇》

颅内动脉瘤,前面加上后循环和巨大两个定语,基本就是置人于死地的悲壮节奏了,不战必死无疑,战则九死一生。即使患者下定了破釜沉舟的决心,医生也很难鼓起背水一战的勇气!多年摸爬滚打的沙场经验警示我们:后循环巨大动脉瘤的介入治疗还不成熟!普通支架结合弹簧圈方案基本是复发的结局,不再考虑;载瘤动脉闭塞也许行之有效,但要求患者先天具备充分的侧枝代偿,命里有时终须有,命里无时莫强求;密网支架或是最后一根救命稻草,但目前尚属于超适应症(Off-label)应用,近、远期获益和风险仍不明确。失败的教训太多,不忍提及,就举两个成功的案例吧,非为报喜不报忧,实为借此一线成功的曙光提振士气,希望早日攻克后循环巨大动脉瘤的黑暗禁地。
例1,女,31岁,因突发头痛、昏迷近5个月于2006年6月5日收入院。近5个月前突发头痛,呕吐,2天后昏迷,伴抽搐。在当地医院行头颅CT示蛛网膜下腔出血(SAH)、桥脑前占位,行DSA示基底动脉夹层动脉瘤。予保守治疗后神志恢复,但不能说话,四肢力弱,卧床,饮水呛咳,吞咽困难,强哭强笑。查体:神志清楚,构音障碍,视力视野粗测正常,双瞳孔等圆等大,光反射灵敏,眼动正常,右侧面纹浅,伸舌右偏。颈软。右侧肢体肌力3级,肌张力稍高,腱反射亢进,病理征阳性。左侧肢体肌力4级,肌张力正常,腱反射活跃,病理征阴性。诊断:基底动脉夹层动脉瘤。
![]()
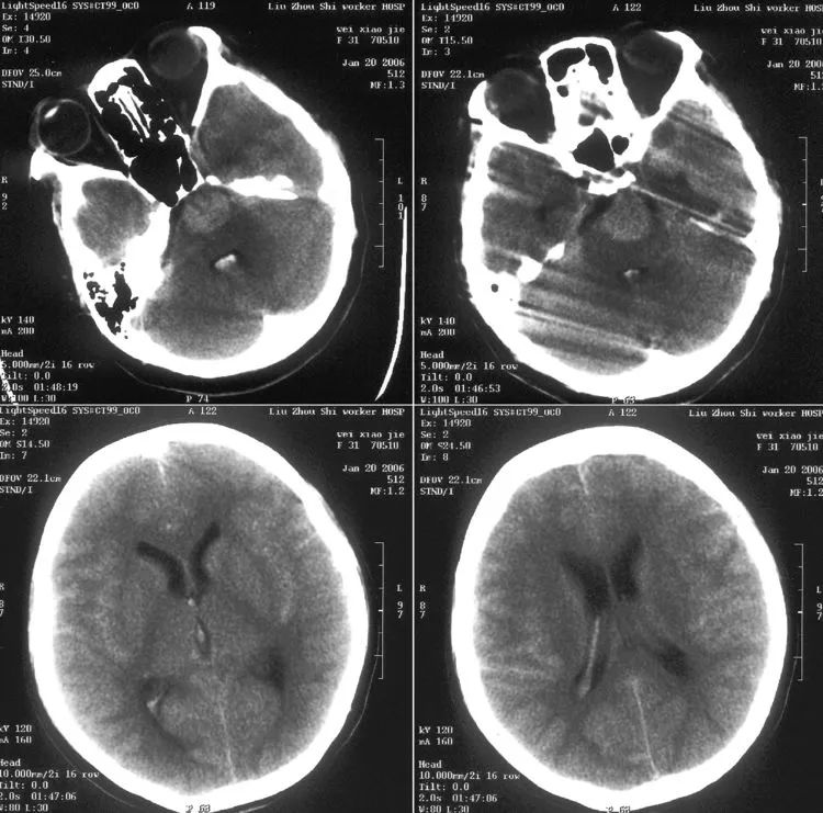
2006年1月20日脑CT示SAH,桥脑前占位:

2006年2月3日脑CT示SAH吸收,桥脑前占位,截面大小2.60 cm×2.44 cm,高约3 cm:

入院后于2006年6月13日行DSA复查,右椎动脉正位造影显示基底动脉全程夹层动脉瘤改变:

左侧和右侧颈总动脉侧位造影显示双侧后交通动脉发达:

2006年6月28日行介入治疗,拟行基底动脉闭塞术。左椎动脉入路,Echelon-14微导管在SilverSpeed-14微导丝引导下进入夹层动脉瘤下段,送入首枚弹簧圈(MicroPlex 18 -20-30-Helical Regular):

继续经微导管送入3枚弹簧圈(MicroPlex 18-14-30-Helical Regular,HydroCoil 14-7-20-Helical,HydroCoil 10-2-6-Helical),最后的两枚涂层弹簧圈(红箭)将基底动脉起始部严密封闭,保留双侧小脑前下动脉:

术后左侧和右侧颈总动脉侧位造影显示血流经双侧后交通动脉逆向进入基底动脉夹层腔内:

结束手术,患者复苏顺利,转ICU给予抗凝和支持治疗,无新发神经体征。10天后转入普通病房,患者恢复迅速,能结巴说话,饮水呛咳、吞咽困难和四肢无力症状日趋缓解,以至能自行缓慢行走。
2006年7月14日复查DSA示基底动脉闭塞,原本夹层内来自后交通动脉的逆向血流消失,动脉瘤完全不显影;双侧小脑前下动脉畅通,双侧大脑后动脉由前循环通过后交通动脉供血。
右椎动脉造影:

左椎动脉造影:

右颈总动脉造影:

左颈总动脉造影:

讨论
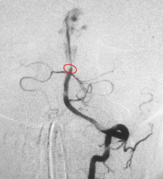
对于基底动脉巨大夹层动脉瘤,闭塞基底动脉是需要胆量的,但光有胆量不行,还需要深思熟虑。就该病例而言,基底动脉全程夹层,其脑干穿支必然已经功能性闭塞;且先天发达的后交通动脉保障了大脑后动脉的血供;而患者也确已陷入非殊死一搏不可的绝境。这为我们果断布局闭塞基底动脉的豪赌提供了充分的理由和相当的底气,要么万劫不复,要么涅槃重生,幸运的是,最终置之死地而后生,赢了!当然,除了胆量和运筹,还需要技巧,夹层远心端的大腔用弹簧圈疏松填塞即可,而夹层近心端(往往是夹层的起源)包括一段正常动脉则需要致密封堵。该病例的难点在于,夹层近心端跟双侧小脑前下动脉开口的距离极短(红圈),既要致密、平整栓塞这一小截过渡区,又要保持双侧小脑前下动脉畅通,需要术者精准选择弹簧圈的规格,精细调整弹簧圈的定位,差之毫厘,谬之千里。

再次强调,只闭塞夹层本身是不可靠的,必须闭掉夹层近心端一小段正常动脉(红圈),否则夹层还会被血流冲开:


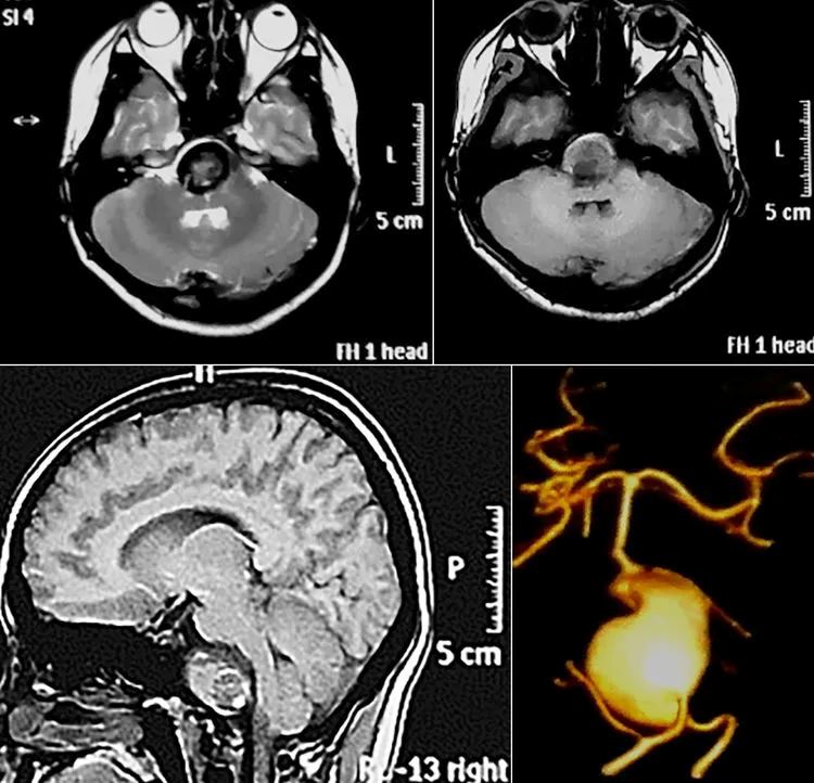
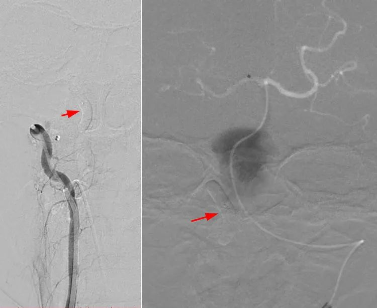
例2,女,17岁,因 头痛16天于2019年8月7日收入院。16天前因“感冒”头痛,持续性,偶有头晕,无恶心、呕吐,无抽搐,无意识障碍和肢体活动障碍。查体未见明显阳性体征。当地医院头颅MRI(2019年7月22日)示脑干前占位,信号不均;头颅CTA(2019年7月22日)示椎基底动脉结合部巨大动脉瘤:

![]()
2019年8月10日行DSA+介入治疗。术前左椎动脉三维旋转造影显示椎基底动脉结合部巨大夹层动脉瘤,瘤腔内造影剂充盈缺损提示局部血栓形成:
左椎动脉造影三维重建显示瘤体大小31.9 mm×16.1 mm,包绕整段椎基底动脉结合部,因瘤腔内血栓导致造影剂充盈缺损,故瘤体实际横径应远超16.1 mm。左椎动脉有小脑后下动脉(PICA)发出,右椎动脉未见PICA:

双侧颈总动脉造影均未见充分开放的后交通动脉:

术前根据CTA已经设计好手术方案了,现根据DSA进一步确定方案细节:用可脱球囊(绿圈)闭塞不发出PICA的右椎动脉;经发出PICA的左椎动脉入路置放Pipeline密网支架(红双线),支架如同隧道穿过夹层全程,远衔基底动脉,近接左椎动脉,重建左椎动脉-基底动脉的血流。预估一枚Pipeline密网支架是不够长的,术前已经嘱患者父母准备了两枚支架的费用。如果两枚支架仍不够长,那只能要求美敦力公司买二送一了。费用是一码,风险是另一码。患者父母已经辗转多家医院,洞悉女儿病情之危重,抱定了孤注一掷、生死由天的决心;我们也提前联系好了ICU,以便术后随时抢救,也可能随时放弃。术前医患沟通和签字画押是凝重的、悲壮的,但术前准备紧锣密鼓、按部就班,医患双方都没有退缩。然而,真正到了手术这一刻,我犹豫了,我坐在显示屏前盯着造影图像,坐了很久,盯了很久。面目狰狞的动脉瘤正张着血盆大口示威。决定命运的硬币即将投掷,我掌控不了这枚硬币尘埃落定的正反面,却必须要担当投手的角色。手术室外是忐忑不安的患者父母,手术台上是生死叵测的花样少女,箭在弦上,何去何从?不搏是等死,搏就有生机,谋事在人,成事在天,搏!!!

按既定方案,先经右椎动脉入路,用2# BALT金球囊(红箭)闭塞右椎动脉远端(左图);再经左椎动脉入路,Marksman支架导管在Synchro-14微导丝引导下越过动脉瘤进入右侧大脑后动脉P1段(右图):

经Marksman送入第一枚Pipeline密网支架(3.25-35),头端释放于基底动脉上段,但支架在完全释放后向近端移位,整体回缩到瘤腔内(红箭);用留置的支架推杆将Markman经第一枚支架内部重新引入基底动脉远端:

经Marksman释放第二枚Pipeline密网支架(3.25-30,红箭),头端锚定于基底动脉末端,尾段嵌套于第一枚支架中点;随后用留置的支架推杆将Marksman引入第二枚支架内腔的上部(蓝箭):

经Marksman释放第三枚Pipeline密网支架(3.75-35),远端平齐第一枚支架远端,近端着陆于左椎动脉入颅处:

Synchro-14微导丝引导Echelon-10微导管进入支架内部反复按摩,以使支架扩张、贴壁:
术后蒙片显示右椎动脉末端的BALT金球囊和左椎动脉-基底动脉内三枚串联、套叠的密网支架:

术后左椎动脉造影显示左椎动脉-基底动脉血流重建良好,动脉瘤内造影剂滞留:

术后患者复苏顺利,拔除气管插管,查体无明显阳性体征,送ICU给予抗血小板和支持治疗。次日上午查房,患者神清语利,双侧瞳孔圆形等大,直径约3 mm,光反射灵敏,双眼球各方向活动到位,四肢肌力、肌张力、腱反射正常,双侧病理征阴性。于2019年8月12日出院休养。期待远期造影随访能够获得动脉瘤愈合的圆满结果。

讨论
圈呢?弹簧圈呢?不是在讲弹簧圈的选择吗?一口气用了三个密网支架,哪里有弹簧圈的踪影?并非我跑题,请复习天坛老顽童吴老师的至理名言:“有一种治疗叫等待,有一种选择叫放弃”。针对这个动脉瘤,我们对弹簧圈的选择是放弃,因为,基底动脉内叠放多枚密网支架,已经拉响了发生血栓事件的红色警报;如果再合并弹簧圈填塞瘤腔,则不啻火上浇油、雪上加霜哉!这个女孩儿是不幸的,因为后循环巨大动脉瘤把她推到了生死边缘;不幸中之万幸者,投之亡地然后存,陷之死地然后生也。


有道是:“巧舌如簧环环扣,妙笔生花朵朵开”,颅内动脉瘤按大小分型次第讲遍了,马上开讲特殊类型的动脉瘤。
话说以下特殊类型或特殊状况的动脉瘤,您认为哪一种或哪几种更棘手?(多选)
截止时间:长期有效
A.分叶状动脉瘤
B.多发动脉瘤
C.带子瘤的动脉瘤
D.破裂性椎夹层动脉瘤
E.血泡动脉瘤
F.假性动脉瘤
G.复发性动脉瘤
H.动脉瘤术中破裂

后记——
例2于2019年12月19日(术后4个多月)行造影复查,结果完美:





