
唤醒开颅皮质和皮质下纤维定位
最大-安全切除中央叶胶质瘤
![]()
南部战区总医院
白红民,战俣飞,杨瑞鑫,王国良
何洹,孙梅
朱小艳,孙鸿玉
病人简要病史
• 青年女性,27岁。
• 一过性言语不能,意识丧失13天。
• 某日中午病人突然喉咙发声,呼之不应,持续约1分钟,10分钟后意识转清,不能回忆发作过程,当晚再次发作一次,发作前无先兆。
• 神经系统查体无阳性体征,既往体健。
手术

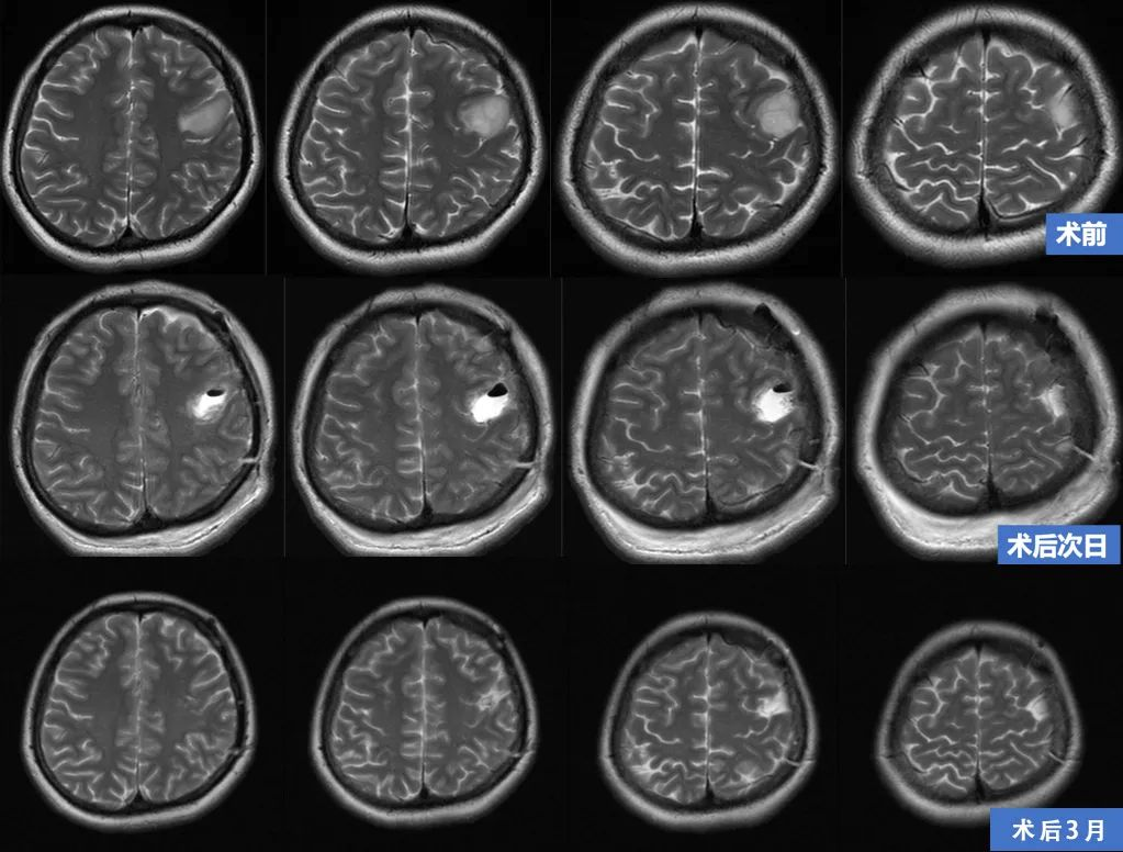
术前磁共振:
肿瘤位于左中央前回中端偏腹侧,长T1长T2,无明显强化,低灌注


唤醒手术最大安全切除左中央区胶质瘤,术中照片:皮层电刺激(2.5mA)定位出患者感觉区感觉区皮质(标志点1小指,2拇指,3口角)和口角运动区(标志点4)以及数数中断并出现口角抽搐癫痫发作(标志点5),其中标志点5在肿瘤表面,肿瘤位于左中央前回腹侧。
保留功能区,尤其是标志点5,显微镜下电凝周边蛛网膜,切开至皮层下,在保留患者功能区的前提下,在持续监测患者运动和命名的前提下,先分离前方,至正常蛛网膜,再分离后方至正常蛛网膜。
电刺激为食指感觉(标志点9),下方切除标志点5下方的肿瘤,病人无明显失语,将标志点5切除,上方达一层蛛网膜,电刺激为手动(标志点7),深部切除过程病人语言含糊,电刺激为口角运动(标志点8)。

• 术后当日患者出现语言减慢的症状,无明显肢体运动障碍。
• 术后4天出现右手、口角麻木的症状。
• 术后5天出现右手活动不灵活的症状。
• 术后7天麻木和肢体活动均好转痊愈,言语稍迟缓。

临床详解






(点击图片查看大图)
解剖-中央叶-神经(皮质-皮质下)、血管(动脉、静脉)


皮层-皮层下电刺激条件



• 刺激电极:双极,电极间距5mm。
• 技术参数:双向方波; 60Hz。
• 波宽:1ms。
•时间:运动感觉1s,语言-高级认知4s。
•电流:2-6mA,通常是3mA,递增1mA,0.5mA调整。

刺激方法
• 所有暴露的皮层,先刺激功能区,确定电流。
• 每个区域至少刺激3次,任务与刺激同步。
• 不要连续阳性刺激2次。
• 保持刺激区域干燥,不能有血和脑脊液。
• 癫痫发作时使用冰盐水冲击皮层。
• 皮层下电刺激时机→皮质电刺激位置、皮质下纤维的解剖走行、唤醒下功能。

• 刺激强度不能太大:主要是能量,频率-波宽-电流大小
• 避免连续2次阳性刺激。
• 刺激时间不能太长。
• 常规使用预防癫痫:丙戊酸钠1mg/Kg-h。

• 保留皮质功能和皮质下结构(无间隔)。
• 显微手术:蛛网膜下操作保留重要血管(动脉-静脉)、先切除关键部位。
• 按照功能边界最大程度切除肿瘤。




阳性区域
• 正常脑膜(如大脑镰)、脑裂、脑室及正常白质外蛛网膜边界。
• 如果没有出现阳性反应,休息后病人功能恢复,继续切除,直至出现阳性区域或显微镜下异常区域达正常白质外1cm 。

• 术中电刺激技术辅助下手术对肿瘤切除率更高。
• 术后约60%患者出现新发神经功能障碍或原有神经功能障碍加重,其中38%为永久性损害。
• 永久性损害患者当中,7%患者出现中度神经功能障碍,4%患者出现重度神经功能障碍,术后手术区域周边脑组织梗塞与较重的永久性神经功能障碍相关。

这个病人病理:少突星形细胞瘤,局部间变?是否需要放疗?


• The size of these foci ranged from 2 mm up to 1 cm.
• These foci were completely surrounded by grade II tumor and were not at the periphery of the resection margins.
• This tumor showed IDH1 mutation, codeletion of 1p19q, and MGMT methylation. There was no EGFR amplification or PTEN loss in either the grade II or the grade III components
• Patients should also be fully informed of the treatment choices as recommendations are given.
神经外科的几个重要观点
• Rule number one: You ain't never the same when the air hits your brain .
• Rule number two: The only minor operation is that someone else is doing. If you're doing it , its major.
• Rule number three: If the patient isn‘t dead , you can always make him worse if you try hard enough .
• Rule four: One look at the patient is better than a thousand phone calls from a nurse.
• Rule five: Operating on the wrong patient or doing the wrong side of the body makes for a very bad day. Always ask the patient what side their pain is on , which leg hurts , which hand is numb.
Always look at the films yourself and check that the name on the film matches the name on the chart . always look at the consent and look at the patients bracelet. Always ask right? Or left? before skin incision.
• 神经外科的难点在于我们的损伤很多是无法挽回的,小小的损伤可能导致严重的后果,使得很简单的任务变得困难万分。比如,你可以在一块30厘米的木板上轻松行走,如果把这个木板悬空放在100米高处,就不是简单的行走了。
给神经外科年轻医生的忠告

Juha Hernesniemi 给神经外科年轻医生忠告:
• Read and learn anatomy.
• Train your skills.
• Select your own heroes.
• Keep fit.
• Be a doctor, take responsibility.
• Learn your best way of doing surgery.
• Open door microsurgery.
• Research and record.
• Follow your patients.
• Write and publish.
• Know your people.
• Department atmosphere.

胆大心小,智圆行方;
大医精诚,如履薄冰,全力以赴。
以做科研的态度做临床,
以时刻准备上法庭的态度写病历。
详情请观看:








