脑出血(cerebral hemorrhage)是指非外伤性脑实质内血管破裂引起的出血,占全部脑卒中的20%~30%,急性期病死率为30%~40%。发生的原因主要与脑血管的病变有关,即与高血脂、糖尿病、高血压、血管的老化、吸烟等密切相关。脑出血的患者往往由于情绪激动、费劲用力时突然发病,早期死亡率很高,幸存者中多数留有不同程度的运动障碍、认知障碍、言语吞咽障碍等后遗症。用力过猛、气候变化、不良嗜好(吸烟、酗酒、食盐过多,体重过重)、血压波动、情绪激动、过度劳累等为诱发因素。

近日我科收住一例脑出血患者,可能与其长期饮酒诱因有关,且出血后血肿呈分层现象,貌似活动性出血征象,经我科行3D下微创穿刺置管引流,得以病情好转,现汇报如下:
夏某,男, 岁,以“左侧肢体无力一天”入院,发病时感左侧上肢无力,持物不能,后逐渐加重,头痛,来我院后CT检查示:右侧基底节脑出血,病人意识呈嗜睡状,左侧上肢肌力0级,左侧下肢肌力3级,左侧巴氏征阳性。职业:长期从事泥瓦工,饮酒频繁。
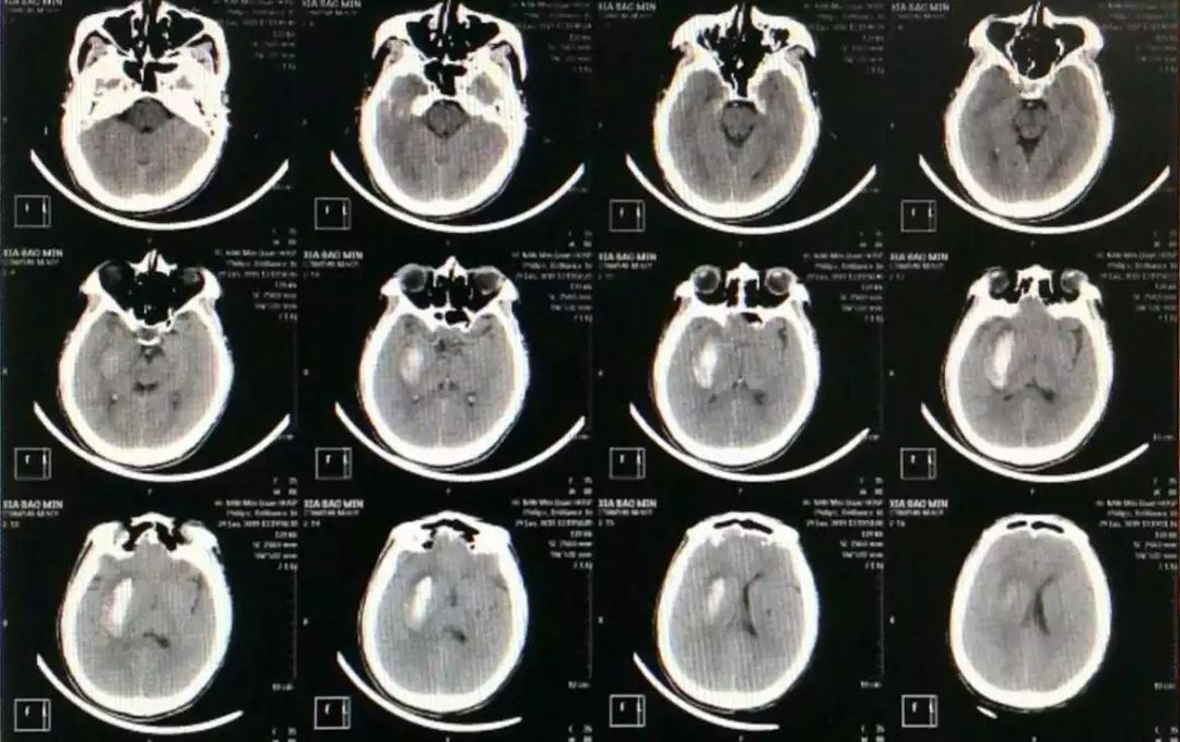
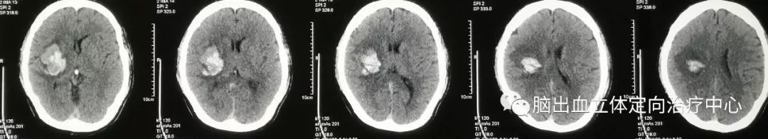
入院时CT:

患者意识呈嗜睡状,呼之能应,能正确回答问题,遵嘱动作,给予非手术治疗,一天后患者意识加重至朦胧,诉头痛明显,左侧面部发汗异常,双侧瞳孔左=右,直径约2mm,对光反射可。
复查CT示:侧脑室、三脑室较前受压明显,血肿周围分层低密度明显

仔细观察CT片可见血肿呈分层现象

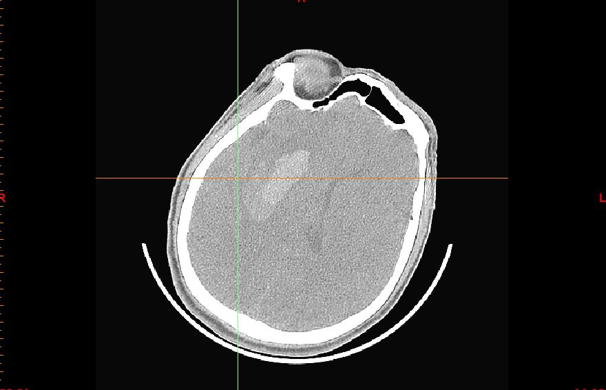
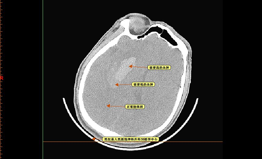
再仔细观察并划定血肿分层区域,可设定血肿为高密度区域、低密度区域,和正常脑组织对比

以红色区域划分为高密度区域、蓝色区域划分为低密度区域

测量各密度区域CT阈值,可见高密度区域(红色区域)CT阈值为60.66,低密度区域(蓝色区域)CT阈值为44.39,正常脑组织区域CT阈值为20.94。

应用3D重建,CT域值设定在55-100,重建血肿量为16.7ml。

把CT阈值设定为44--100重建血肿量为24.87ml(此血肿量包括分层的高密度血肿及低密度血肿)。

剖开24.87ml血肿看看血肿的分层情况,绿色的为CT阈值设定为55--100时高密度的血肿,红色的为CT阈值设定为44--100时增加的分层低密度血肿。

因为病人意识呈进行性加重、头痛较入院时明显,虽然血肿量为24.87ml,但三脑室受压明显,血肿周围的低密度(上图红色的部分)通过两次CT对比考虑为血肿周围析出的血清部分或长期饮酒造成的特殊血肿形态--分层结构,排除活动性出血;因其长期饮酒,担心其开颅术中止血困难,与家属在3D下沟通后拟行微创穿刺置管引流术。
术前模拟设计,引流管位于血肿中心

术前模拟引流管经头部软组织、脑组织后穿刺进入血肿

设计模拟引流管避开额窦

模拟引流管在导板引导下穿刺血肿

重建脑组织并透视化显示引流管穿刺血肿

引流管与血肿、面部的导板关系


设计待打印的面部穿刺导板(黄色部分)


待打印出的模拟穿刺导板、引流管及血肿

术中情况,床边手术,时间<10分钟,丙泊酚+利多卡因麻醉,术中引流出不凝的暗褐色血肿液约15ml。

仔细看看血肿液,确实不凝!

术后14小时CT复查显示血肿量明显减少,病人意识好转、头痛减轻,三脑室显影、侧脑室部分恢复。

准备尿激酶应用!期待病人早日康复!
我们再来看另一例脑出血,也是可能与酒精、口服抗凝药物有关。
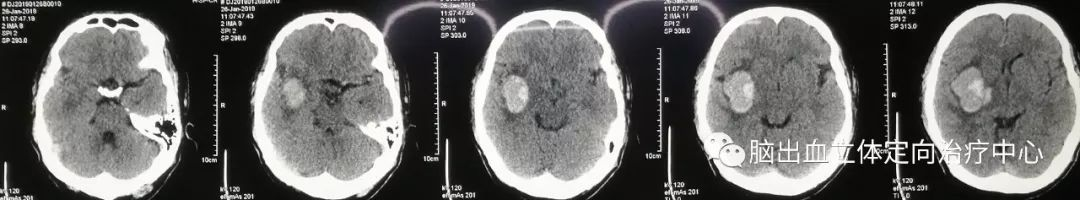
发病时CT:


第四天CT:


可见血肿呈分层现象,血肿周围水肿带明显,利用3D测量其各相关CT阈值。



利用3D技术模拟设计穿刺血肿,重建血肿体积约26ml


在3D打印导板下成功穿刺血肿,有约16ml暗褐色不凝血肿液引出,术后应用尿激酶一次,CT复查:

![]()
在临床工作中,我们不时发现一些长期饮酒者出血的CT片上会出现血肿分层现象,有关血肿CT片上分层结构一般考虑血肿扩大的危险因素之一,根据低密度的边界清晰度和相对密度被分为4型:
(1)第1型:边界清晰,密度同脑实质相似;
(2)第2型:边界模糊,密度同脑实质相似;
(3)第3型:水样或类似脑积液密度;
(4)第4型:混合密度且存在液-液平。
发现血肿内存在低密度影的患者中38.7%的患者出现了血肿扩大,而血肿扩大患者中58.2%的患者存在血肿内低密度,且各种类型低密度影预测血肿扩大之间并无差异;校正其他混杂因素后,血肿内低密度仍是血肿扩大的独立预测标记(OR3.42,95%CI 2.21-5.31),敏感度和特异度分别为0.62和0.77(阳性预测值0.4,阴性预测值0.89),另有研究显示液平与长期饮酒、口服抗凝药物相关,而饮酒、口服抗凝药物又是血肿扩大的危险因素。因此,血肿内低密度影可能是血肿扩大的预测标记。但对于一些长期饮酒者可通过两次CT对比考虑为血肿凝固过程中周围析出血液部分、或血肿周围创缘渗出,也可能是长期饮酒造成的特殊血肿形态--我们姑且称之为“酒精分层”,“酒精分层”的出现对于指导临床治疗可能具有一定意义。




