美国科罗拉多大学神经外科的A. Samy Youssef等通过尸头解剖研究和临床应用,总结在内镜下经鼻远内侧入路(endoscopic endonasal far medial,EEFM)联合耳后经颞暴露颈静脉孔区手术入路,发现该技术提供更多暴露JF区的空间,而并发症少。其结果发表于2020年6月的《Oper Neurosurg (Hagerstown)》在线。
——摘自文章章节
研究背景
研究方法


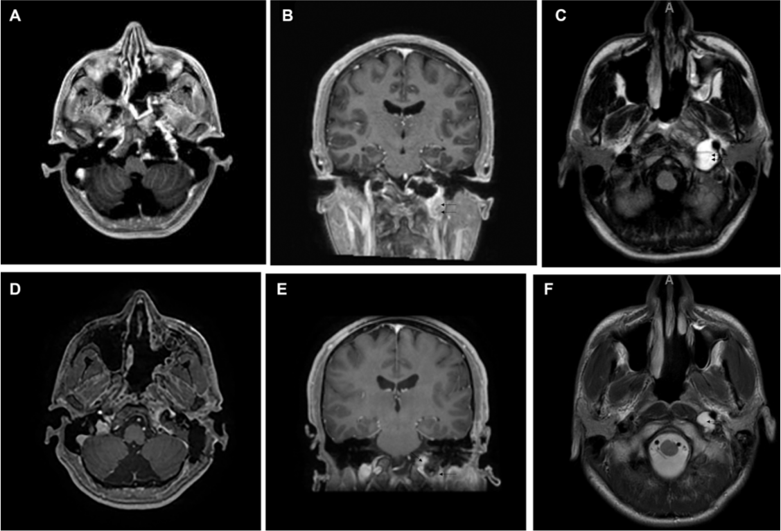
研究结果



结论
最后,作者指出,切除颈静脉孔区病变采用任何一种手术入路都需要高水平的颅底外科综合专业知识,以及显微外科和内镜技术操作技巧。理想的手术方式是最大限度的手术高效率和最大限度地减少对重要神经血管的损伤,减少术后神经功能障碍并发症。提倡根据颈静脉孔区不同象限的病变部位,个体化地选择和设计手术入路。





