雨过天晴驾小船,鱼在一边,酒在一边;
路逢骚客问诗篇,好也几言、歹也几言。
夜归儿女话灯前,今也谈谈,古也谈谈;
日上三竿犹在眠,不是神仙,胜似神仙!
正如诗中所叙,人生在世,幸福很简单,无非是生活平静,家人健康。咱们今天的套筒帮传奇就说说一个长了大脑瘤的小宝宝和一个惊慌失措的家庭如何在脑军医这里寻回幸福生活的故事。
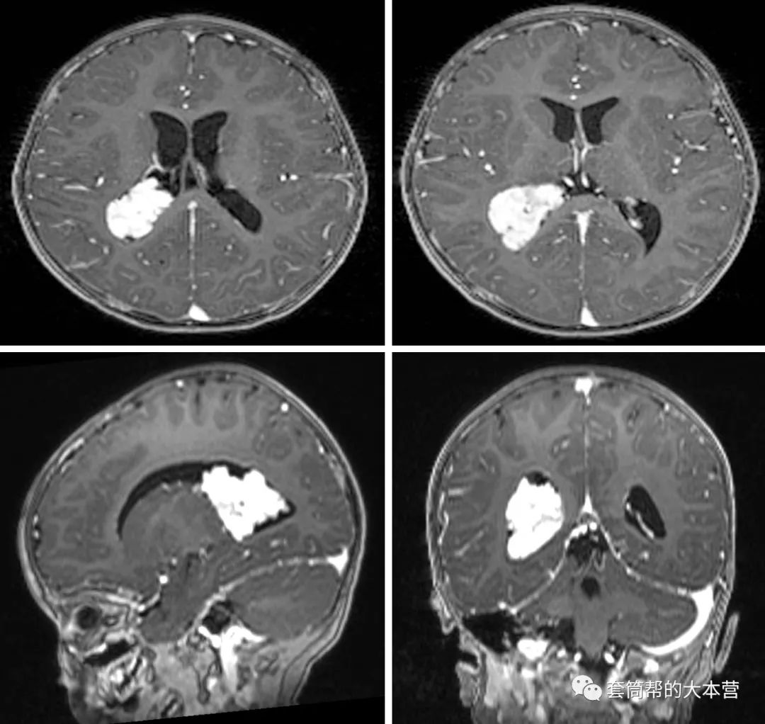
话说,这个小家伙年方1岁6个月,近几个月总是哭闹,家长带去做了个磁共振,结果祸事来了,发现颅内长了个大瘤子。

这是右侧脑室三角区的一个大瘤子,而且增强很明显,说明肿瘤的血供很丰富。结合小宝宝的年龄和肿瘤的影像学特点,考虑肿瘤是脉络丛乳头状瘤的可能性很大。各位看官知道,脑室内肿瘤属于脑深部肿瘤,常规开颅手术创伤较大,有较高的并发症的发生率。据文献报道,脑室内肿瘤术后早期发生严重并发症,并需要再次进行外科手术的几率高达11.5%(参考文献1)。这病例肿瘤大,位置深,本身就已很困难,加上病人年龄小(1岁6个月),对手术创伤和失血的耐受性很差。这就要求,必须以较小的创伤,很少的失血,安全地把这深部大瘤子给切了。这可如何是好?
小宝的父母带着他,辗转几家医院,都不敢接这活儿。最后,又找到脑军医这儿来了。脑军医大叔仔细一看,这部位,正好可以用我大套筒帮的秘技--套筒手术(导引器手术)来切除肿瘤啊。套筒可以提供一个稳定的工作通道,而且,由于是通过扩张穿刺通道来到达病变,对脑组织的损伤很小,适合低龄小儿手术。手术模式各位看官了解一下:
先用套筒穿刺杆穿刺患侧脑室。在穿刺脑室成功后,沿穿刺杆外围置入工作套筒,直至到达脑室内手术区域。然后将穿刺杆取出,再将工作套筒尾端的限位环去除,用自动拉钩固定套筒尾端的蝶形固定翼。这样,手术通道就建立完毕了,接下来就可以使用内窥镜或外视镜进行手术了。
使用套筒,建立微创工作通道,可以减少创伤和对脑组织的牵拉,降低牵拉脑组织相关的脑挫伤等并发症的发生率。但是,还有个大问题要解决。这通道直径只有1.6cm,这等大瘤子必定要分块从套筒中取出,这就意味着手术中肯定会切开这个血供很丰富的肿瘤。而小宝宝对失血耐受力很差。那么,如何能够既把这肿瘤切碎了取出来,又尽量减少失血呢?必须祭出本帮另一法宝--电刮圈。这件神器可以在进行肿瘤分块切除减体积(Debulking)的同时,烧灼创面,既能减少创面失血,也能从小口径通道里将大肿瘤分块切除,相当于将肿瘤“凌迟处死”,还不失血,实在是套筒最佳拍档。
按照本帮上面的套路,手术顺利完毕。一路轻松愉快,无惊无险,小宝宝失血很少,不需要输血。手术过程大家感受一下(手术视频引起极度舒适,如果上瘾,本帮概不负责
)。看完视频,请大家列举一下,在视频里,出现了几件本帮法宝?留言说出你的答案,答对有奖品哦。

手术采用弧形小切口

皮瓣和漂亮的小骨瓣

套筒到位后,通过外视镜看到的肿瘤

肿瘤切除完毕后的脑室和复位的骨瓣
手术后,小宝宝恢复良好。手术后第一天,一早已经坐在床上玩儿手机了,心情比我们查房的所有人都好
。
术后病理结果不出所料,果然是“脉络丛乳头状瘤”。这是一种良性肿瘤。这就意味着,因为我们全切除了肿瘤,小宝宝以后肿瘤复发的机会极低,他很可能会在相当长的时间里健康成长啦。看着宝宝顺利恢复,得知肿瘤已获彻底切除,他的父母脸上的愁云也彻底消失了。
术后10天出院,小宝宝开开心心,站在我们办公室的桌子上,留下萌照一张。

术后10天出院时小宝及切口照片
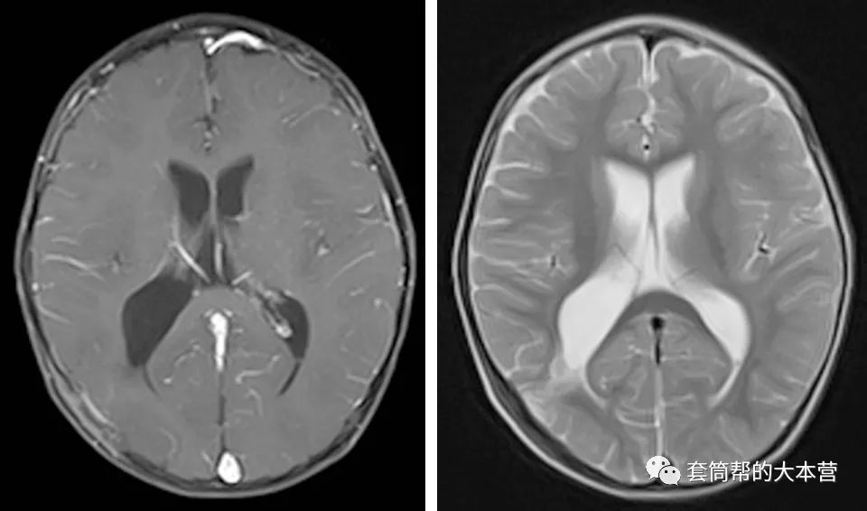
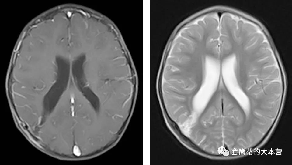
术后一个月,小宝宝回院复查。头颅磁共振证实了肿瘤全切除,而且手术的通道回弹很好,已经变得很窄,没有发生常规开颅手术时常见的脑穿通畸形。


术后1个月复查,肿瘤全切除

术后一个月复查,手术通道很窄,无脑穿通畸形
列位,今天这个病例,其实就是在本帮基本套路--套筒手术的基础上,使用相应的器械,解决了大瘤子、小病人和小手术窗口的矛盾。最终也没有脱离使用稳定的小口径手术通道(套筒)分块切除大型病变的基本技术路线,正所谓“走过最远的道路,就是本帮的套路”啊。各位在使用套筒进行脑出血血肿清除的手术技术熟练之后,完全可以用类似套路来尝试脑室内肿瘤的切除。我们在这方面的研究,去年发表在中国神经精神疾病杂志上(参考文献2)。各位看官有兴趣可以查阅。
今天的故事就讲到这儿,这正是“小宝大瘤愁煞人,大叔小窗解难题,套筒手术创伤小,常有套路得人心。”!各位看官,咱们下回再见!
参考文献
[1]Schär RT, Schwarz C, Söll N, et al. Early Postoperative Perils of Intraventricular Tumors: An Observational Comparative Study[J]. World Neurosurg, 2018,113:e769-769e776.
[2]刘磊, 赵艺宁, 杨佳, 等. 导航引导下神经内镜导引器辅助脑室内肿瘤切除[J].中国神经精神疾病杂志,2018,(6):370-372.
版权声明
神外资讯APP所发表的作品包括但不限于文字、图片、视频的版权均为主办方/原作者及神外资讯所有,未经神外资讯明确授权,任何人不得以改编、裁切、复制、转载、摘编、录制等直接或间接的方式盗取任何内容。经神外资讯授权使用的作品,应在授权范围内使用,并请注明来源:神外资讯。如有违反,神外资讯将保留进一步追究侵权者法律责任的权利。神外资讯欢迎个人转发、分享本号发表的作品。




