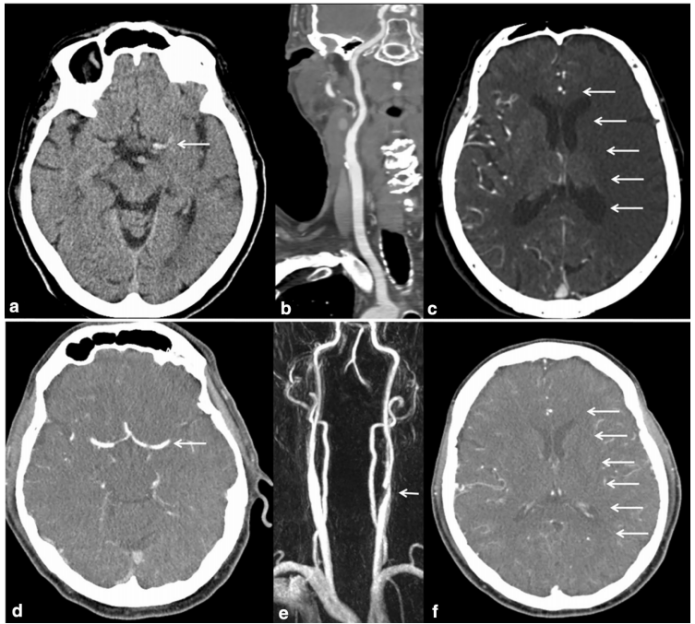
来自奥地利格拉茨医科大学神经放射科的Thomas Gattringer教授在根据潜在的卒中机制探究急性大血管闭塞(LVO)患者介入治疗前的软脑膜侧支循环状态,以及它们如何影响介入后不良事件的发生和临床结果。结果于2020年6月在线发表在《Journal of Neurology》上。
——摘自文章章节
研究背景
研究方法

研究结果


研究结论
即日起“神经介入资讯”更名为“神介资讯”

前循环大血管闭塞的卒中病因与侧支状态的关系
来自奥地利格拉茨医科大学神经放射科的Thomas Gattringer教授在根据潜在的卒中机制探究急性大血管闭塞(LVO)患者介入治疗前的软脑膜侧支循环状态,以及它们如何影响介入后不良事件的发生和临床结果。结果于2020年6月在线发表在《Journal of Neurology》上。
——摘自文章章节
研究背景
研究方法

研究结果


研究结论
即日起“神经介入资讯”更名为“神介资讯”
