
“颈动脉内膜切除术(CEA)”和“颈动脉支架植入术(CAS)”是治疗颈动脉重度狭窄和症状性中度狭窄的有效外科技术(I级推荐,A级证据)。通常平行推荐这两种手术。CEA和CAS互相竞争、补充、补救、合作。
术后颈动脉再狭窄是术后脑血管健康管理和监控的重要内容。
术后颈动脉再狭窄的原因包括:
(1)动脉内膜过度增生;
(2)动脉局部血栓形成;
(3)动脉硬化加重(CAS术后);
(4)新生动脉硬化(CEA术后两年以上)。
术后颈动脉再狭窄的部位:
(1)术区远心端颈内动脉:CAS术后支架刺激内膜过度增生,CEA术后残留内膜增厚基础上;
(2)术区颈动脉:CAS术后的动脉硬化斑块不稳定,CEA术后内膜增生,动脉硬化加重,局部血栓形成;
(3)术区近心端颈总动脉:动脉硬化加重。
症状性术后重度再狭窄,建议再次手术治疗,通常建议采用另一种手术方式,比如:
CEA治疗CAS术后重度再狭窄;
CAS治疗CEA术后重度再狭窄。
典型病例
![]()
下面这个颈动脉重度狭窄的典型病例,老年,男性,经历了两次手术,体现了两种外科技术的合作、补救:
![]()
左侧颈动脉支架植入术;
十一个月后,斑块内出血,局部血栓形成,症状性极重度再狭窄;
左侧颈动脉内膜切除,取出支架,补片成形术。

症状性左侧颈动脉重度狭窄

雅培,锥形支架,6-8*40mm

支架植入术后颈动脉狭窄解除
术后常规双抗血小板,控制血压、血脂、血糖,半胱氨酸,禁烟戒酒。
但血糖控制不佳、LDL-C不达标、高同型半胱氨酸血症。

术后第十一个月,患者出现一过性失语。

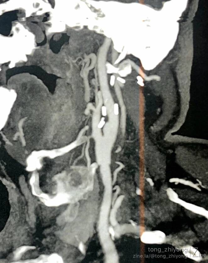
CTA确认:支架内重度再狭窄;

CTA确认:支架上端位于C2锥体上缘;颈内动脉内释放的6mm支架的直径“大于”远心端颈内动脉的直径。

血管造影显示:颈动脉极重度再狭窄,不能确认支架和远心端颈内动脉之间直径的差异。
超声显示:颈动脉重度狭窄,斑块内低回声(出血?),支架内不均质回声(血栓形成?)
治疗选择:
(1)CEA,补片成形,术中TCD监测,根据TCD结果决定是否使用颈动脉转流技术;
(2)CAS,由于颈动脉超声显示斑块内出血,支架内狭窄的部位血栓形成可能性大;颈外动脉起始部已经被支架覆盖,因此,近端保护MOMA或远端保护伞,均有难度。最终放弃CAS。

显露到支架远心端颈内动脉,确认:颈内动脉内释放的6mm支架的直径“大于”远心端颈内动脉的直径。

将斑块和支架一起切除,一并切除支架远心端部分颈内动脉内膜。

切开颈动脉斑块和支架,确认斑块内出血。

确认颈内动脉极重度狭窄部分,支架内局部血栓形成

显露支架远心端颈内动脉正常内中膜组织
TCD监测显示不需要使用颈动脉转流

颈动脉补片成形缝合


术后一周CTA显示:颈部操作最上端到达C1锥体水平。钛结扎夹在CTA上像“香米粒”一样。


完全开通左侧颈动脉
术后强化降脂,补充叶酸,控制血糖。
期待长期随访结果。
结论
1.对于具有手术指证的颈动脉狭窄患者,通常平行推荐CEA和CAS(超过70岁的患者,优先推荐CEA)。本病例的第一次手术选择CAS属于临床常规;
2.CAS术后需要严格健康管理:抗血小板、血压、血糖、血脂、同型半胱氨酸、禁烟戒酒。关键是各项指标达标!
3.CAS术后一年内可能出现重度再狭窄,尤其是不稳定斑块,需要密切随访颈动脉和斑块情况;
4.CAS术后短期内重度再狭窄,可能由于斑块内出血,纤维帽破裂,支架内局部血栓形成;
5.CAS术后支架内局部血栓形成,可导致症状性颈动脉极重度狭窄,推荐积极手术治疗;
6.局部血栓形成的CAS术后极重度再狭窄,推荐CEA治疗;
7.CEA术中控制支架远心端颈内动脉非常重要;
8.由于自膨式支架对颈内动脉壁张力较大,需要切开颈内动脉到达支架远心端,完全释放支架张力后,才能安全取出斑块和支架;
9.补片CEA术后需要严格脑血管健康管理,严密随访颈动脉情况。
版权声明
神外资讯APP所发表的作品包括但不限于文字、图片、视频的版权均为主办方/原作者及神外资讯所有,未经神外资讯明确授权,任何人不得以改编、裁切、复制、转载、摘编、录制等直接或间接的方式盗取任何内容。经神外资讯授权使用的作品,应在授权范围内使用,并请注明来源:神外资讯。如有违反,神外资讯将保留进一步追究侵权者法律责任的权利。神外资讯欢迎个人转发、分享本号发表的作品。




