有医生希望我和大家共同复习一下岩前入路,正巧刚刚做了一台脑干的海绵状血管畸形,借此复习此入路。
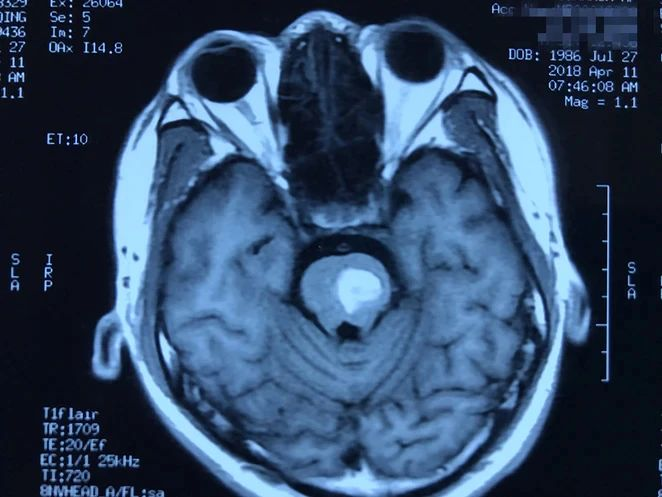
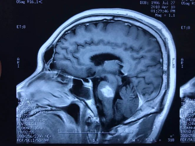
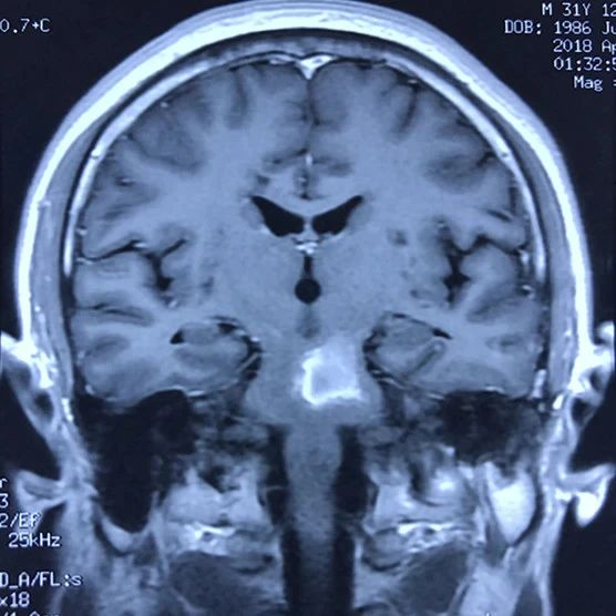
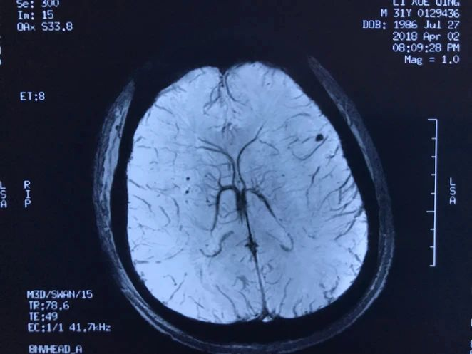
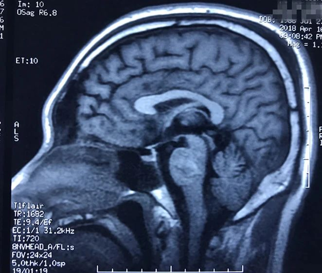
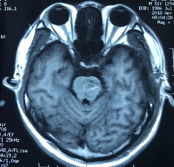
病人多发脑海绵状血管畸形,本次出血部位位于桥脑。第一次出血,术前偏瘫,转入我病房时为出血一月左右,采取颞下岩前入路切除脑干病变,术后病人肢体肌力较术前有提高,目前尚未出院。




本次手术资料:













术后磁共振显示脑干病变消失



版权声明
神外资讯APP所发表的作品包括但不限于文字、图片、视频的版权均为主办方/原作者及神外资讯所有,未经神外资讯明确授权,任何人不得以改编、裁切、复制、转载、摘编、录制等直接或间接的方式盗取任何内容。经神外资讯授权使用的作品,应在授权范围内使用,并请注明来源:神外资讯。如有违反,神外资讯将保留进一步追究侵权者法律责任的权利。神外资讯欢迎个人转发、分享本号发表的作品。




