
术者简介

常顺,外科学博士,副主任医师,云南省第一人民医院神经外科科务委员,工会组长。从事神经外科工作15年,有扎实纯熟的神经外科手术技术功底,擅长神经外科疾病的手术治疗及围术期管理,自2016年以来,在赵建华主任带领下,在云南省率先开展黄荧光辅助成像技术在胶质瘤手术中的应用及胶质瘤MDT诊疗模式创建,显著提高了肿瘤全切率,延长了生存期,改善了预后,取得了良好的社会效应。主持及参与省部级科研项目多项,参编论著两部,第一作者或通讯作者发表学术论文12余篇(SCI5篇),中国抗癌协会委员。
全面指导:

赵建华,主任医师,教授,博士生导师,云南省第一人民医院神经外科主任,中国医师协会神经外科医师分会常委,云南省医师协会神经外科医师分会主任委员,云南省医学会神经外科分会副主任委员,国内知名的以神经外科临床能力及手术技术见长的务实派代表,在神经外科各类疑难疾病及手术方面均有很深的造诣和独到的见解。
技术指导:

郑云飞,主任医师,教授,从事神经外科临床工作35年,在颅内肿瘤的诊治方面积累了大量的临床实践经验,形成了一套行之有效的诊疗方法,任云南省医师协会神经修复专业委员会副主任委员。


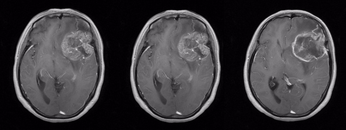
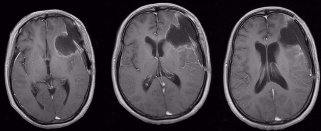
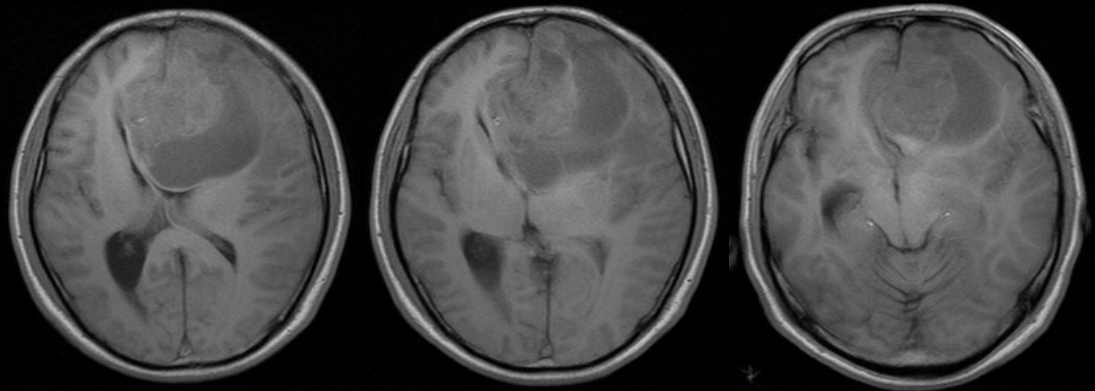
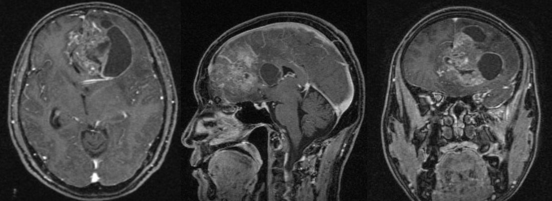
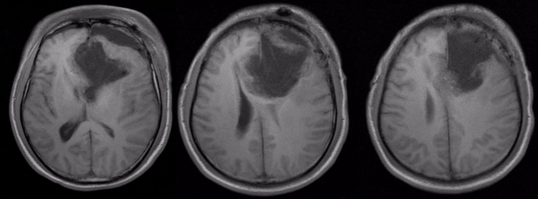
术前头颅MRI平扫加增强

术中荧光染色情况
(黄荧光辅助成像技术切除脑胶质瘤手术视频一)

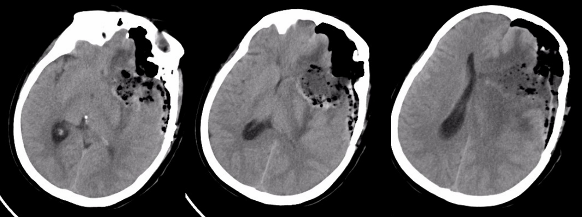
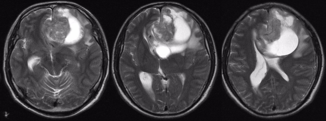
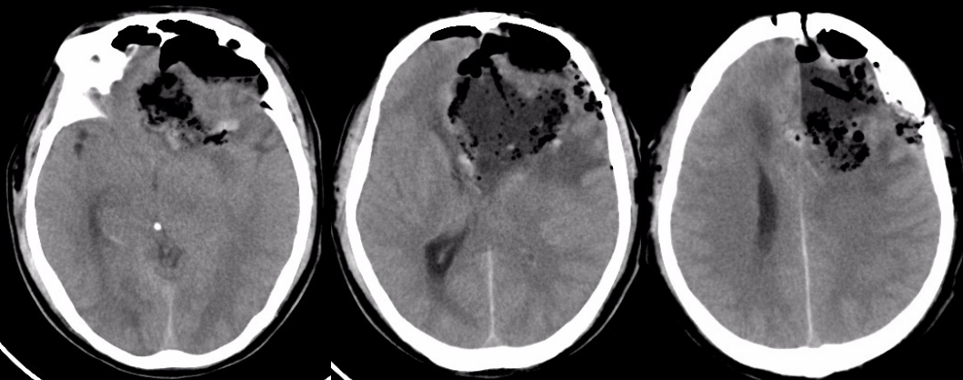
术后头颅CT




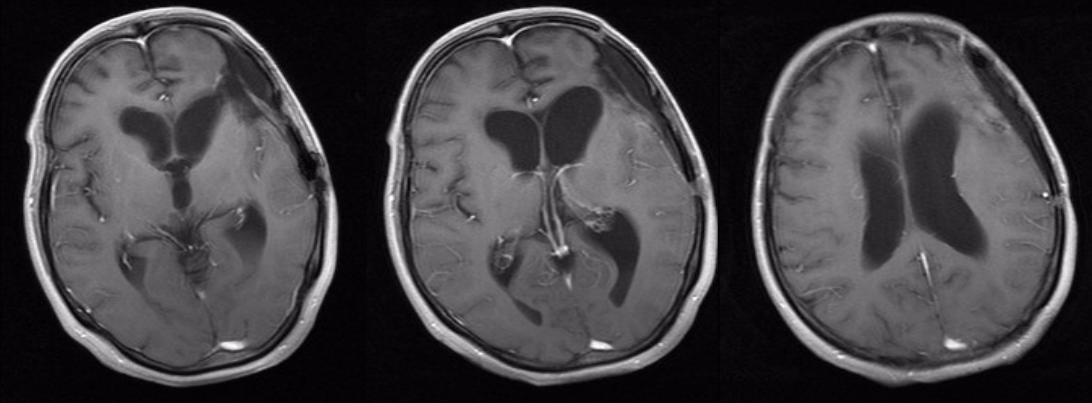
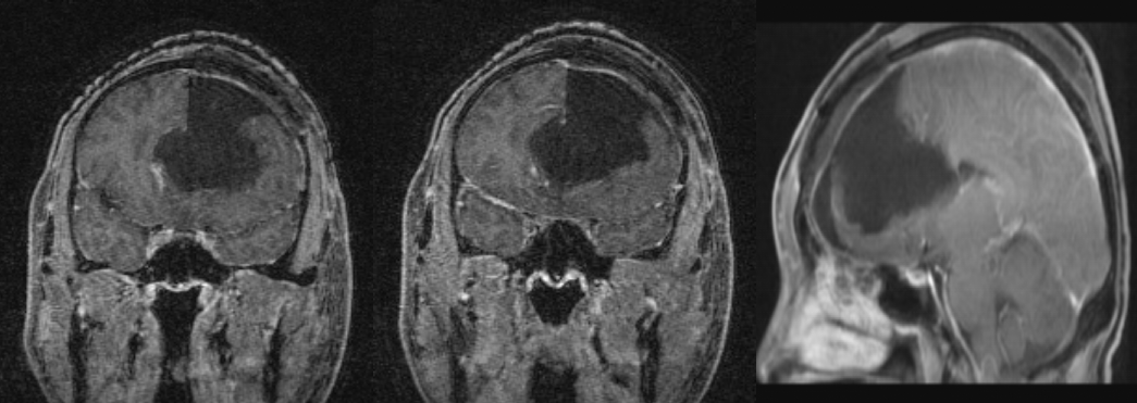
术后半年MRI增强






术中肿瘤荧光染色及止血情况
(黄荧光辅助成像技术切除脑胶质瘤手术视频二)






版权声明
神外资讯APP所发表的作品包括但不限于文字、图片、视频的版权均为主办方/原作者及神外资讯所有,未经神外资讯明确授权,任何人不得以改编、裁切、复制、转载、摘编、录制等直接或间接的方式盗取任何内容。经神外资讯授权使用的作品,应在授权范围内使用,并请注明来源:神外资讯。如有违反,神外资讯将保留进一步追究侵权者法律责任的权利。神外资讯欢迎个人转发、分享本号发表的作品。






