“浙二神外周刊”每周病例回顾,提出最优化的临床治疗分析和随访指导意见。专业讨论意见仅代表浙二神经外科团队观点,如有不同见解,欢迎同道斧正! 每期讨论病例资料及整理均为“浙二神外周刊”原创,“浙二神经外科”授权官方合作新媒体《神外资讯》发布,其他网络媒体转载,请务必注明出处!
患者女,52岁,因“反复头痛头晕3月”入院。
3月前患者无明显诱因自觉前额胀痛,不剧能忍,感头晕,每日发作数次,每次持续数分钟,休息后可缓解,症状反复发作。当地医院CT,MRI检查提示“颅内多发占位,恶性肿瘤(转移瘤)考虑”。转来我院治疗。入院查体未见明显阳性体征。
查看当地头部CT,显示左颞深部大片水肿(图1-A),当地MRI平扫加增强(2015-8-26,图1-B~H):左岛叶、丘脑及左侧颞深部多发占位,首先考虑转移性肿瘤。我院头部MRS显示NAA下降,脂质峰明显,少量乳酸峰可见,首先考虑非肿瘤病变(图1-I)
术前筛查常规血清肿瘤标记物为阴性。术前检查显示梅毒抗体TPPA阳性。追问病史,患者发现梅毒血清学阳性已有8年余。
2007-12-10 当地医院梅毒特异性抗体阳性,RPR 1:16
2008-07-03 当地医院梅毒特异性抗体阳性,RPR 1:32
2009-03-25 当地医院梅毒特异性抗体阳性,RPR 1:8
2012-07-20 当地医院梅毒特异性抗体阳性,RPR 1:4
2015-09-19 当地医院梅毒特异性抗体阳性,RPR 1:16

图1. 术前患者头部CT和MRI
A. CT;B. T1平扫;C. T2平扫;D-H. 水平、冠状、矢状位的T1增强; I. MRS,体素取自病灶内部近中线处。
诊疗经过
根据病史、上述影像学及实验室检查结果,诊断考虑:“颅内多发占位,梅毒肉芽肿可能,颅内转移瘤待排”。
科室术前讨论,建议取最浅表的左岛叶病灶,行开颅活检术。
完善术前检查后于2015-08-31在全麻下行开颅左岛叶肿块活检术。术中见病灶颜色和血供都接近正常脑组织,质地较正常脑组织硬韧(图2)。

图2. 术中所见:病灶颜色和血供都接近正常脑组织,质地较正常脑组织硬韧。肿物和正常脑组织分界不清,分块切除病变。
送检标本做术中冰冻快速病理,报告:肉芽肿性炎,有明显浆细胞反应,无血管炎改变。(注:三期梅毒,例如本病例,既很难找到梅毒螺旋体,也无非常特异的细胞反应,但二期梅毒有相对特异的细胞反应,表现为以浆细胞浸润为主的血管炎,因此病理医生强调此二项特征只具备其中一项。)
送检标本做常规病理,报告:肉芽肿性炎伴大量淋巴细胞浆细胞浸润及血管炎(图3)。结合临床和血清学结果,考虑梅毒树胶肿。
术后MRI增强可见左侧岛叶病灶切除,其余病灶及灶周水肿同术前(图4)。

图3. 术后病理HE染色:左侧中倍镜:肉芽肿性炎伴大量淋巴细胞浆细胞浸润及血管炎。右侧高倍镜:肉芽肿性炎伴大量淋巴细胞浆细胞浸润。

图4. 术后磁共振增强,左侧岛叶病灶切除(箭头所示),其余病灶及灶周水肿同术前无明显变化。
术后病情平稳,头痛可。转至我院皮肤科进一步抗梅毒治疗。静脉用青霉素400万u q4h,规律治疗2周,同时,使用前予得宝松肌注1次,预防吉海反应(吉海反应:梅毒患者接受高效抗梅毒螺旋体治疗后,梅毒螺旋体被迅速杀死并释放出大量异种蛋白,引起机体发生的急性超敏反应。在晚期梅毒中发生率虽不高,但反应较严重,特别是在心血管梅毒和神经梅毒病人中可危及生命)。
抗梅毒治疗结束后复查头颅MRI,平扫显示:颅内脑实质内未见明显异常信号,同术前比较异常信号基本消失,脑室、脑池和脑沟形态及位置无殊。中线结构未见移位(图5)。

图5. 正规抗梅毒治疗结束半个月后头部MRI平扫。脑实质未见明显异常信号,同术前比较异常信号基本消失,脑室、脑池和脑沟形态及位置无殊。中线结构未见移位。
MDT讨论
1. 梅毒肉芽肿的常见影像学表现
梅毒作为一种性传播疾病,曾经得到有效控制,神经梅毒几近绝迹,近年来发病率有所增高。通过影像学是无法确诊神经梅毒的,但是神经梅毒有一定特征,掌握这些特征才不会在鉴别颅内占位性病变时漏诊或过度诊断神经梅毒。神经梅毒的影像学表现可分为树胶肿型梅毒和梅毒脑病。树胶肿型梅毒可见结节状不均匀强化,周围有大片不强化的水肿带(图6)[1,2]。
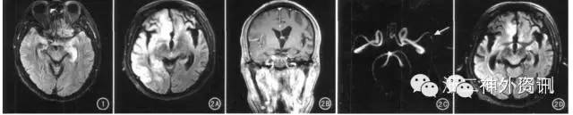
梅毒脑病的基本MRI征象有脑萎缩、脑梗死、脑炎以及脑膜炎等改变。不对称性脑萎缩,同时伴有脑炎和或脑膜炎改变,具有提示梅毒脑病的意义。MRI随诊能够显示梅毒脑病脑内病变的演变,特别是脑炎向脑萎缩的转变。MRA可以发现梅毒所致脑内主要动脉狭窄或闭塞(图7)[3]。这两种神经梅毒的MRI一般表现为T1WI呈低信号、T2WI呈高信号。其低信号是因干酪样肉芽肿内巨噬细胞产生顺磁性游离基所致。MRS表现为: NAA 峰下降,Cho峰升高,可见乳酸峰。这种表现和肿瘤性病变虽无法完全区分,但Cho峰增高和NAA峰降低不如肿瘤性病变明显。
本病例为树胶肿型梅毒,其影像学基本表现同文献所描述一致。小而多发的病灶,使放射科医生倾向于转移瘤的诊断,但实际上颅内树胶肿型梅毒多发病变十分常见。其MRS表现不甚支持肿瘤诊断,但是并无非常特异的特征支持神经梅毒。因此单靠影像学并不能完全确立诊断,将病史、血清学和病理检查综合考虑才能得出正确结论。
脑转移瘤常有原发肿瘤病史,或可发现原发病灶,肿瘤标记物可有阳性发现。梅毒肉芽肿还需与其他原因引起的肉芽肿(隐球菌、结核、脑弓形体、寄生虫)相区别。病史、影像学及实验室相应的化验检查有助于鉴别。表1总结了梅毒肉芽肿和颅内转移瘤的影像表现和异同点。

图6. 树胶肿型梅毒:左侧小脑半球见混杂T1、T2信号灶,注射Gd-DTPA后增强后见结节状强化,周围不强化的水肿带,相邻脑膜强化。(自:文献[2])

图7. 梅毒脑病:1中T2FLAIR显示左侧海马及颞叶肿胀,呈高信号,右侧海马萎缩;2A中横断面T2 FLAIR示右侧脑内额、颞、枕叶不均匀高信号,脑回肿胀;双侧半球不对称性脑萎缩;2B中右侧额颞叶脑膜增厚强化,病变区域脑组织未见强化;2C中左侧大脑中动脉局部重度狭窄;2D中为青霉素治疗32天后,右大脑半球脑炎病灶吸收,相应脑区脑萎缩加重。(自:文献[3])
表1.颅内梅毒肉芽肿和转移瘤的鉴别要点

2. 神经梅毒确诊与治疗
除影像学检查以外,实验室检查对诊断神经梅毒有重要意义。美国疾病控制中心关于神经梅毒诊断包括:血清学试验;非螺旋体抗原血清试验阳性;脑脊液检查包括脑脊液细胞计数(白细胞>5/mm3)或蛋白测定异常或脑脊液性病研究实验室试验(venereal disease researchlaboratory test,VDRL)阳性或伴有神经系统相关症状和体征。如前所述,神经梅毒(属三期梅毒)的病理也无非常特异的表现,但是会同二期梅毒的浆细胞浸润为主的血管炎有共同表现。
不能仅凭一项实验结果诊断神经梅毒。脑脊液VDRL特异性高,敏感性低。其他试验既不敏感,也不特异。脑脊液荧光螺旋体抗体吸附试验(FTA-ABS)阴性可排除梅毒[1]。
未经治疗或治疗不彻底的梅毒有4-10%可发生神经梅毒,潜伏期一般为4-7年,早期梅毒如未能得到及时、正规和足量的治疗可导致实质性神经梅毒[4]。目前对于梅毒治疗,尚未发现比青霉素更有效的药物,青霉素仍然是目前各期梅毒的首选治疗药物[6]。
具体抗梅毒治疗方案可参考《2010年美国疾病控制中心梅毒治疗指南》,目前神经梅毒推荐方案:青霉素,1800万~2400万U/d,每4h300万~400万U静脉滴注,或持续静脉滴注,连续10~14d。继以苄星青霉素240万U,1次/周,肌肉注射,共3次。
替代方案:普鲁卡因青霉素,240万U,1次/d,肌肉注射,丙黄舒500mg,4次/d,口服,连续10~14d。继以苄星青霉素240万U,1次/周,肌肉注射,共3次。
青霉素过敏者推荐方案:头孢曲松,2g,1次/d,肌肉注射/静脉滴注,连续10~14d[1]。神经梅毒患者在治疗过程中前期病情加重的几率较大,但远期效果明显。患者脑脊液蛋白含量与预后有关,蛋白含量越高预后越差。血清RPR滴度与预后无关[5]。
3. 治疗后梅毒肉芽肿会消失吗?
临床研究证实早期神经梅毒经规范性治疗可以痊愈,但对有症状性的神经梅毒即使经过治疗,有些患者的神经症状和体征也很难完全恢复[7],其原因可能与梅毒所致颅内病灶未消除有关。本例患者,诊断颅内多发梅毒肉芽肿明确,经规律规范青霉素抗梅治疗后颅内病灶完全消失,症状好转。
通过对手术切除的神经梅毒病灶病理学研究发现,其主要成分为增生的血管内层及纤维组织细胞,并伴有大量浆细胞、淋巴细胞浸润[5],这些成分对放疗比较敏感,较小剂量(20-30Gy)就可使病灶缩小甚至消失,此剂量对正常脑组织不会造成大的损害。放疗虽不能杀死梅毒螺旋体,但对梅毒所致颅内肉芽肿样病灶有清除作用,可消除患者的神经症状[9]。因此,晚期神经梅毒经抗梅毒治疗后,神经症状未消除,且MRI扫描示颅内病灶尚存者可给予适量放疗,进而提高患者生存质量。
因神经梅毒表现复杂多样,且目前缺乏诊断的金标准,极易漏诊或误诊,因此,神经梅毒的正确术前诊断需综合临床表现、实验室检查和影像学资料。一经确诊,及早进行规范治疗,早期治疗效果较好。
1. Workowski K A, Berman S. Sexually transmitted diseasestreatment guidelines, 2010[J]. 2010.LI J, WANG X, NI J. MR image features of neurosyphilis[J]. Chinese Journal of Medical Imaging Technology, 2009, 3: 024。
2. LI J,WANG X,NI J.MR image features of neurosyphilis[J].Chinese Journal of Medical Imaging Technology,2009,3:024。
3. 康少红,高勇安,王晓瑞,等,梅毒性脑损害磁共振征象分析[J].临床放射学杂志,2012,31(11):1539。
4. Castro R,Prieto E S,JoãoÁguas M,et al.Evaluation of the Treponemapallidum particle agglutination technique (TP.PA)in the diagnosis of neurosyphilis[J].Journal of clinical laboratory analysis,2006,20(6): 233-238。
5. 石强,郭钊云,神经梅毒患者脑脊液蛋白质含量与其预后的相关性研究[J].临床和实验医学杂志.2015,14(15):1275-1277。
6. 顾昕,徐金华,神经梅毒的治疗[J],世界临床药物,2006,26(9):568-571。
7. 刘化广,刘春风,施辛,等,神经梅毒的诊断与鉴别诊断[J].临床误诊误治,2006,19(10): 4-9。
8. 许名远,李康增,郑志雄,神经梅毒21例分析[J],临床误诊误治,2010(1): 68-69。
9. 范才,张建军,张佳宁,等。神经梅毒一例误诊为多发性脑转移瘤[J],临床误诊误治,2011,24(2): 53-54。
10. Ghanem K G.REVIEW:Neurosyphilis:A historical perspective andreview[J].CNS neuroscience & therapeutics,2010,16(5):e157-e168。
感谢海宁市人民医院提供大部分术前影像资料。
(浙江大学医学院附属第二医院神经外科赖生龙整理,孙崇然副主任医师、石键副主任医师审校,张建民主任终审。)
《神外资讯》,未经许可不得转载,如希望转载,请联系“神外助手”。请各微信公众号、网站及客户端尊重《神外资讯》版权,经许可转载文章时请清楚注明来源为“神外资讯”。《神外资讯》,欢迎您转发朋友圈。




