“浙二神外周刊”每周病例回顾,提出最优化的临床治疗分析和随访指导意见。专业讨论意见仅代表本院神经外科团队观点,如有不同见解,欢迎同道斧正! 每期讨论病例资料及整理均为我院原创,“浙二神经外科”授权官方合作新媒体《神外资讯》发布,其他网络媒体转载,请务必注明出处!
广而告之:自本期开始,“浙二神外周刊”作为浙江大学医学院附属第二医院神经外科微信公众号替换原来的“浙二神外频道”。周刊将以每周一期刊出如病例讨论、手术视频、会议信息、热点研究、学术讲座、疑难解答等临床实用问题。发布时间为每周一。若有特别内容,以“号外”发布。欢迎大家关注、订阅、指正、交流。长按下图并识别二维码,即可关注“浙二神外周刊”。

浙二神外周刊 微信号:z2sjwk
病例介绍
患者,男,63岁,“体检发现鞍区占位1周余”入院。
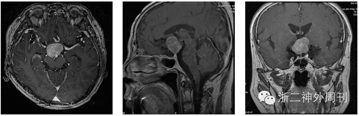
患者1周前当地医院体检,头颅MRI平扫提示:鞍上池占位;双侧基底节脑缺血灶,双侧脑室旁白质脱髓鞘改变。遂来我院进一步诊治。增强头颅MR提示:鞍上池占位,考虑脑膜瘤可能,颅咽管瘤不除外(图1)。

图1. MRI增强示肿瘤位于鞍背上方,与垂体无关。强化明显但欠均匀,边尚清。
门诊以“鞍区肿瘤”收治入院。追问病史,患者诉有视物模糊若干年(具体不详)。否认头痛头晕,多饮多尿,等症状。
查体:初查视野双眼颞侧偏盲,余神经系统查体未及阳性体征。
诊疗过程
入院后进一步完善相关检查。
内分泌检查:PRL轻度上升(366.1mIU/L), FSH、LH、睾酮及孕酮则均有轻度下降。
其它如血常规、自身免疫相关指标、肿瘤标志物检查等未见明显异常。
脑脊液检查:蛋白轻度升高,余正常。
视力视野检查:视力右侧远视100散光25、矫正0.6;左侧远视100散光75矫正0.3。视野见(图2)。

图2. 视野双眼颞侧偏盲。
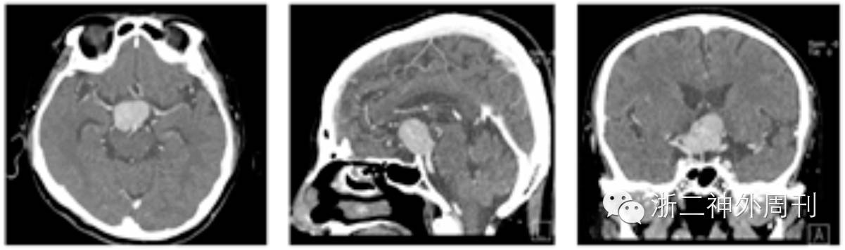
行CT检查发现平扫未见钙化,肿瘤有强化(图3)。

图3. CT检查:未见钙化,肿瘤较均匀增强。
科室讨论:根据影像学等检查结果,考虑为“鞍上脑膜瘤可能性大,颅咽管瘤不除外“。手术指证明确。
手术治疗
考虑肿瘤位于鞍上突入三脑室为主,行全麻下发际内冠状缝前右额小骨窗开颅,经胼胝体入路肿瘤切除术。术中见肿瘤呈灰红色,血供非常丰富,质地较韧,切除困难(图4)。取部分标本送冰冻检查,结果提示:见增生胶质样细胞并散在细胞核较大、核仁明显,不除外节细胞胶质瘤可能。
图4. A:显示沿大脑镰牵拉开额叶,暴露胼胝体,沿中线切开胼胝体,可见侧脑室;B:经侧脑室可见左侧室间孔;C:在侧脑室脉络丛内侧,经透明隔-穹窿间进入三脑室内;D:探及三脑室内肿瘤;E和F:可见肿瘤血供较丰富,质地偏韧,行部分切除肿瘤。
向家属告知冰冻结果以及勉强进一步肿瘤切除可能带来的严重并发症,以及患者术前的状况等,家属要求不再继续行肿瘤切除,结束手术。待术后病理再予进一步治疗。
患者术后恢复良好,未有多饮多尿等下丘脑反应等症状。平稳出院。
病例讨论
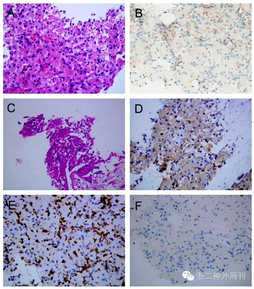
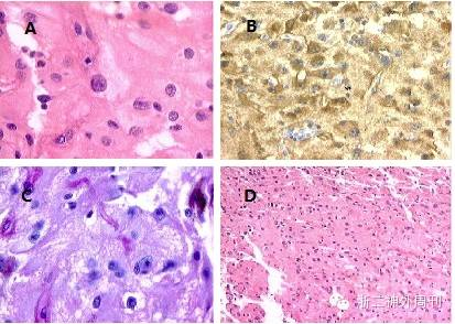
我院病理结果如下(见图5):

图5. 术后免疫组化结果:A: H&E染色;B:EMA染色;C:PAS染色;D:CD68染色;E:CD163染色;F:GFAP。
我院病理科根据细胞形态及排列,和免疫组化结果,诊断排除了脑膜瘤、垂体腺瘤和颅咽管瘤。因一时无法对该病例做出确切的病理诊断,故请UCLA远程会诊。UCLA会诊意见:考虑多形细胞呈小片样排列,细胞边界清楚,胞浆呈中到重度的嗜酸性,并伴有颗粒样改变。细胞核呈圆形或类圆形,轻度多形性。有丝分裂像不多见。未见有坏死组织。结合免疫组化,考虑为颗粒细胞瘤(GCT),WHO I 级。

讨 论
鞍区颗粒细胞瘤(granular cell tumors, GCTs)是一类起源于神经垂体和(或)垂体柄的罕见肿瘤。Boyce和Beadles早在1893年最早对一位于漏斗部的GCT(当时病理不详)予以描述;30年后,则由Sternberg首先鉴定并定义为GCT。令人惊奇的是,和垂体腺瘤相似,小型或微型GCT在尸检的发现率竟高达6.5%~17%,不同的是,GCT肿瘤绝大多数位于垂体后叶和垂体柄。
GCT在年轻人中较少见,女性多于男性,约2:1。一般认为,GCT生长缓慢,很少压迫垂体/垂体柄、视交叉或下丘脑而产生临床症状(内分泌异常、视力视野受损或头痛等)[1]。
GCT在MRI中缺乏特异性表现,很难与鞍区其他肿瘤相鉴别。据大多数文献报道,相较于周围脑组织,GCT在T1和T2像表现为等信号,可表现为中至重度均匀或不均匀增强;有时,还伴有正常神经垂体的高信号消失,但10%~20%的正常人可有此表现,故亦非特异性表现[2]。
GCT起病隐匿,有时可引起各类不同症状,其临床表现和影像学表现缺乏特异性,术前明确诊断较困难,有时容易误诊为鞍区常见肿瘤,如垂体腺瘤、颅咽管瘤或脑膜瘤。Popovic等报道一例21岁女性患者,表现为视力下降伴头痛,且生长激素、性激素和皮质醇水平偏低,一开始诊断为垂体腺瘤,后经病理证实为GCT[3];
还有一位8岁男孩,因性早熟和发现鞍上区肿物就诊,后证实肿物为GCT[4];更有意思的是,Losa报道一例肢端肥大症的42岁女性,术后病理证实肿瘤为GCT(图6),作者甚至认为GCT可能分泌GH,导致患者出现相关内分泌症状[5];Mumert等还报道过一例似Rathke囊肿的囊性GCT[6](图7)。本例病人为老年男性患者,平素体健,在偶然的一次体检中发现此鞍上病变,根据病史及影像学表现,我们一开始亦考虑诊断为脑膜瘤和颅咽管瘤,后经术中所见和术后病理分析,确诊为GCT。因此,对于术前临床症状不明显、病变位于鞍上/垂体柄部位、术中肿瘤质地较坚韧的鞍区病变患者,需怀疑GCT可能。

图6. 上方及中间共4图,显示一例术前表现为肢端肥大症的42岁女性GCT患者MRI,肿瘤位于垂体上方;下方2图为术后5个月MRI检查结果[5]。

图7. Mumert等报道一例囊性GCT,肿物呈环形均匀强化,囊内可见一小结节[6]。
组织/病理学研究认为,GCT与垂体细胞瘤均来源于正常垂体细胞,在镜下两者均表现为细胞核及胞浆内S100阳性,GFAP染色阴性,Ki-67指数均小于1%~2%;两者的区别在于:垂体细胞瘤细胞呈纺锤样;而GCT细胞大多呈多边形,细胞多呈片状或小叶状排列,胞浆呈嗜酸性,且PAS染色阳性(图8和9)。该病例病理结果显示细胞密度较高,细胞呈多边形或类圆形,边界清,胞浆丰富,呈嗜酸性,颗粒状或泡沫样改变;其次,EMA染色显示阴性(排除脑膜瘤可能);同时,肿瘤细胞PAS染色中度阳性;且GFAP染色阴性排除了胶质细胞瘤可能;最后,CD68和CD163染色结果基本排除了炎性病变的可能,故基本符合GCT的病理诊断,可易与垂体腺瘤、脑膜瘤及垂体细胞瘤相鉴别。此外,GCT肿瘤质地偏硬偏韧,且血供丰富,与正常组织间缺乏明显的分离界面,增加手术难度。

图8. A和B(H&E染色)显示肿瘤细胞呈多边形,胞浆呈嗜酸性,细胞核形态多样,肿瘤细胞呈分叶状分布;C 肿瘤细胞颗粒呈现PAS染色阳性,且可抵抗淀粉糖化酶消化;D 神经元特异性烯醇酶染色阳性[4]。

图9. 电镜显示GCT肿瘤细胞内含大量膜包绕含电子致密液泡,似溶酶体[5]。
目前临床上对GCT治疗策略存在一些争议,缺少共识。首先,手术切除程度的问题:仅仅减瘤OR全切?来自Mayo Clinic 的Cohen-Gadol等随访总结了11例GCT患者,出现术后尿崩和垂体低功的患者比例达36%,且均与行肿瘤次全切除有关[1] 。结合GCT生长缓慢的生理学特点,有学者提出:GCT手术的目的仅限于减瘤减压和明确病理,不求全切以保留正常功能[7]。正是基于上述考虑,我们在获悉冰冻结果后,认为一味追求影像学上的“治愈”,而忽略垂体/下丘脑等重要组织的功能,进而力求全切该类肿瘤,将给患者及其家庭造成灾难性的后果。所以,及时跟家属进行沟通,获得理解和同意后,我们终止了手术;术后,病人恢复情况亦证明我们的选择是正确的。其次,针对GCT是否需要进行辅助放化疗,目前没有循证学依据和统一的指南。有人认为,放疗可以作为视力视野未受损的生长缓慢的GCT患者在部分切除术后的辅助治疗方法;然而,Schaller等认为单独放疗无法使GCT获益[8];因此,有观点认为,对于无任何症状的GCT肿瘤患者,建议定期随访观察,无需进一步放化疗。
总之,GCT多为良性肿瘤,且生长缓慢,大部分呈偶发表现,或由尸检发现。需注意与鞍区常见肿瘤(垂体腺瘤、脑膜瘤、颅咽管瘤)和其他罕见肿瘤(垂体细胞瘤、胶质瘤等)的鉴别诊断。同时,由于鞍区GCT肿瘤质地偏硬、血供丰富、且邻近重要组织,建议随访观察或行肿瘤部分切除术;对于术后是否需行放化疗,目前还无定论,需要更大样本量、更长随访时间的观察,以进行更深入的分析研究。
参考文献
Cohen-Gadol AA, Pichelmann MA, Link MJ, et al. Granular cell tumor of the sellar and suprasellar region:clinicopathologic study of 11 cases and literature review [J]. Mayo Clin Proc,2003, 78(5):567-573.
PopovicV, Pekic S, Skender-Gazibara M, et al. A large sellar granular cell tumor in a 21-year-oldwoman [J]. Endocr Pathol, 2007, 18(2):91-94.
BenitesFilho PR, Sakamoto D, Machuca TN, et al. Granular cell tumor of the neurohypophysis:report of a case with unusual age presentation [J]. Virchows Arch, 2005,447(3):649-652.
Losa M,Saeger W, Mortini P, et al. Acromegaly associated with a granular celltumor of the neurohypophysis: a clinical and histological study. Case report[J]. J Neurosurg, 2000, 93(1):121-126.
MumertML, Walsh MT, Chin SS, et al. Cystic granular cell tumor mimicking Rathkecleft cyst [J]. J Neurosurg, 2011, 114(2):325-328.
Saiegh L,Odeh M, Sheikh-Ahmad M, et al. Granular cell tumor of the neurohypophysis:case report and review of the literature [J]. Neuro Endocrinol Lett, 2013,34(5):331-338.
KoutourousiouM, Gardner PA, Kofler JK, et al. Rare infundibular tumors: clinicalpresentation, imaging findings, and the role of endoscopic endonasal surgery intheir management [J]. J Neurol Surg B Skull Base, 2013, 74(1):1-11.
SchallerB, Kirsch E, Tolnay M, et al. Symptomatic granular cell tumor of thepituitary gland: case report and review of the literature [J]. Neurosurgery,1998, 42(1):166-170; discussion 170-161.
(本文由浙二神外周刊原创,蔡锋、胡骏整理,吴群主任医师审校,张建民主任终审)
《神外资讯》,未经许可不得转载,如希望转载,请联系“神外助手”。请各微信公众号、网站及客户端尊重《神外资讯》版权,经许可转载文章时请清楚注明来源为“神外资讯”。《神外资讯》,欢迎您转发朋友圈。




