病例介绍
病例1:
病史简介:
患者,女,50岁,“反复头痛3年,发现颅内占位1年半”入院。
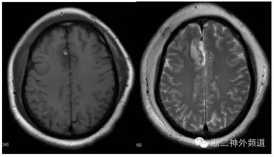
患者于3年前无明显诱因下出现头痛,以前额、双颞部为主,休息后能缓解,反复发作,但程度不重。无肢体抽搐、及发热等,未予重视。1年半前至我院查头颅MR提示“右侧额叶近中线处出血考虑,继发于血管畸形较肿瘤可能性大”(图1),CT未查,由于患者担心手术风险,予定期随访。

图1:T1像显示右侧纵裂高、等混杂信号的病灶,T2像显示高低混杂信号,无明显强化。
20余天前至当地医院复查,头颅CT示“右侧纵裂低密度病灶”,头颅增强MRI较1年半前无明显变化(图2)。


图2:CT提示右侧纵裂低密度病灶,MRI(1年半后)复查较之前MRI病灶无明显变化。
诊疗经过
入院后为除外血管性病变行DSA检查,提示“脑内血管未见明显动脉瘤和血管畸形,血管走形正常”(图3)。术前讨论诊断难以明确,考虑“海绵状血管畸形”,“脑膜瘤”等可能,考虑可手术,亦可继续随访观察。向患者及家属交代手术及保守利弊,患者及家属选择手术。

图3:DSA未见异常。
手术经同侧纵裂入路,牵开额上回见病灶,呈淡黄色,与内侧蛛网膜粘连明显,与额叶内侧脑组织粘连明显(图4),囊内容物为奶酪样,质软,未发现出血。病灶全切。

图4:术中图片显示病灶黄色,内容物奶酪样。
患者术后恢复良好,无任何并发症。MRI复查显示肿瘤全切(图5)。

图5:术后MRI提示病灶全切。
病理结果
病理报告(图6)提示“表皮样囊肿”

图6:病理显示表皮样囊肿伴胆固醇结晶。
病例2:
病史简介:
患者,女性,25岁。因“腰骶部疼痛2年,加重2月”入院。
查体:双下肢肌力5级,直腿抬高试验阳性。
术前MRI(图7):腰5骶1水平椎管内见一类圆形囊实性病灶,稍长T1、不均匀稍长T2信号灶,边界清楚,大小约2.7cm*1.5cm。增强扫描病灶强化不明显。




图7:T1及T2平扫,T1增强矢状位与冠状位扫描,未见明显强化。
诊疗经过:
因患者诉有腰骶部痛,术前MRI似乎包膜有轻度强化,因而MRI诊断为腰5骶1水平脊膜内肿瘤,考虑神经鞘瘤可能。术中见肿瘤位于硬脊膜下,有包膜,与神经根有粘连,内容物为晶体、鳞片样物质,分块切除减压后,仔细分离粘连的神经,予以全切肿瘤(图8)。



图8:术中所见
术后神经功能正常,MRI复查见肿瘤全切(图9)

图9:术后MRI示肿瘤全切
病理结果
术后病理结果显示为表皮样囊肿(图10)

图10:病理见大量角化物,符合表皮样囊肿。
讨 论
(1)首次就诊术前和术后
表皮样囊肿(也叫胆脂瘤)占中枢神经系统肿瘤的0.2-1.8%左右。桥小脑角区,鞍旁,脑室及颅骨板障内等是其最常见的好发部位。CT表现为低密度,典型的MRI表现为长T1长T2信号,无强化,DWI序列可见弥散受限,抑脂像可见病灶被部分抑制。但一小部分表皮样囊肿的MRI表现及位置并不典型,导致术前诊断困难,甚至误诊。
病例1因头痛入院,右侧大脑镰旁病灶 MRI显示为短T1短T2信号,与大脑镰紧密粘连并嵌入脑内,强化不明显,T2像也无含铁血黄素环等表现。但需要鉴别该信号是脂质还是出血。病灶CT已显示为低密度,不像出血。DSA也排除了动静脉畸形和动脉瘤。但因该部位表皮样囊肿确实少见,没有进一步行脂肪抑制T1WI及DWI检查,以验证是否为脂质。因而,术前误诊为海绵状血管瘤及不典型镰旁脑膜瘤。后经手术才证实为表皮样囊肿。同时显示内有大量胆固醇结晶。这也是T1平扫显示为高信号的原因之一。此外,表皮样囊肿内还可混杂有出血,也可显示为高信号。该病例未见出血。
北京天坛医院Ren XH等[1]报道了428例表皮样囊肿中有24例影像学表现不典型,其中大部分位于桥小脑区和鞍旁,但有4例位于脑叶,只有1例位于大脑镰旁。也提到了在不典型的表皮样囊肿的病理中可见到表皮样囊肿内的出血、颗粒样组织或胆固醇组织,以至于MRI上表现多样,信号混杂,易与其他颅内肿瘤混淆。
病例2属于椎管内表皮样囊肿,相对也比较少见。临床表现同椎管内其他实质性肿瘤表现相一致,呈慢性进展,囊壁可粘连神经根产生根性疼痛。MRI检查是目前诊断椎管内病变的最佳手段。椎管内表皮样囊肿MRI的信号可见边界清晰,包膜相对完整光滑的病灶,随着病变的质地、囊肿内脂质成分的改变有所不同,在T1加权多呈低信号或稍混杂信号影,T2加权多呈高信号或混杂信号,增强后囊壁无明显强化。此为术前同神经鞘瘤鉴别诊断的要点。另外如果应用脊髓DWI成像,椎管内表皮样囊肿可表现为弥散受限。明确诊断后尽早手术是治疗该病的主要方法,手术中应避免内容物进入蛛网膜下腔导致术后无菌性脑膜炎,尽可能切除包膜,并分离与之粘连的神经根,以减少术后复发。
参考文献
1.Ren XH, Lin S, Wang ZC, et al.Clinical, radiological, and pathological features of 24 atypical intracranialepidermoid cysts. J Neurosurg 2012; 116:611-621.
浙二神经外科每周病例回顾,提出最优化的临床治疗分析和随访指导意见。专业讨论意见仅代表本院神经外科团队观点,如有不同见解,欢迎同道斧正!
(本文由浙二神外频道原创,浙江大学医学院附属第二医院神经外科郑喆、应广宇整理,朱君明、朱永坚主任医师审校,张建民主任终审)








