今天整理分享一则上个月参与处理的病例,其特殊之处在于,病变主体位于岩骨并与后颅窝CPA沟通,患者病史长达20年未行正规诊疗,而此次又是以治疗面瘫为主诉来就诊。术前的诊断和鉴别诊断、手术方案的规划,均不是那么简单的。这又是我第一次玩“重建”的病例,通过术前术后对岩骨的重建,加深了对术中步骤的理解。其中还有不少问题,也希望借此向神外及ENT的同道们请教学习。
▲女,38y,E83110
▲左侧面瘫、下面部麻木、听力逐渐丧失20余年,从未诊疗
▲发病前曾有“脑膜炎”,“药物治疗”后“痊愈”
▲PE:HB-V级,V3区域针刺觉丧失,左侧耳聋,余(-)
MRI
首先做了FIESTA和3D-TOF序列:







此时已经明确提示右侧岩骨前部的占位,主体破坏并填充了岩尖骨质,耳蜗和半规管却似乎并未受累,颈内动脉(ICA)则似乎并无明显移位,病变完全位于ICA岩骨段的后内侧。后组和三叉神经则都能明确显影,基本排除起源于它们的鞘瘤。面听神经则无法显影。脑干表面尚有脑脊液信号,提示尚未受侵。最让我感到费解的是,病变沟通岩骨内和CPA,但是这两部分的信号却又明显不同,岩骨内呈囊性,内似有分隔,而CPA部分则基本同绒球,提示可能与绒球及面听神经等有密切联系。另外,既然涉及两个解剖间隙,哪部分是起源目前也难以确定。
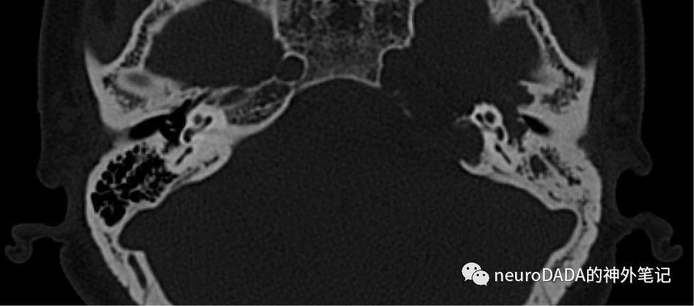
颞骨HRCT
可显示ICA管、骨性迷路、听小骨、内听道、颈静脉孔、咽鼓管、卵圆孔和棘孔等,由此来确定骨性边界。通过3D slicer自行调整切割线。先看轴位,从上到下:

此时可见双侧上半规管,但左侧上半规管前方骨质已受侵蚀,提示术中若经颞下硬膜外入路,看到的骨质缺损的后界即大致为弓状隆起-上半规管的前缘。

此层面可见双侧的半规管都完整,右侧可见内听道上部及发出的面神经迷路段、膝状神经节和鼓室段,左侧则缺如上述结构,且缺损范围包含内听道前方的岩尖和后方的内听道后唇。这基本提示了病变的前后骨性边界。右侧尚可见鼓室及其内的锤骨头、砧骨体的最上部分,以及耳蜗中转的一部分,左侧可在下一层面显示。

此时可观察到双侧的前庭、外侧半规管和后半规管、耳蜗中转、锤骨头和砧骨体,但右侧完好的面神经鼓室段、内听道、岩尖、内听道后唇则在左侧均已侵蚀,两侧的乳突气房也差异明显。

此层面可见双侧耳蜗底转、后半规管、鼓膜、外耳道均完好,右侧可见中耳、乳突气房、咽鼓管内的空气信号正常,而左侧则异常。

此层面用来观察ICA管,可见双侧ICA管的外侧壁、咽鼓管均正常,左侧卵圆孔和棘孔也都正常,基本排除了三叉神经鞘瘤的可能。左侧ICA内侧壁缺失,提示术中有损伤ICA内侧壁的风险。左侧颈静脉球高位,也是术中需警惕的危险因素。另可见此内听道下方层面的左侧岩骨后壁仍有一层不完整的骨皮质与后颅窝硬脑膜相隔。不知术中是保护还是障碍。

该层面为ICA岩骨段的入口水平,可见左侧病灶向下一直扩大岩斜裂,侵蚀了岩尖下部、枕骨的颈静脉结节,分隔颈静脉孔岩部和乙状部的颞骨颈内突、以及分隔颈静脉孔和ICA管外口的颈动脉嵴骨质,均只剩菲薄一层。枕骨的颈静脉突即颈静脉孔的后界尚未受侵。乳突气房继续异常。这也是病变的骨性下界。
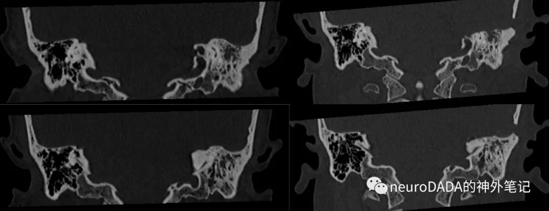
再来看冠状位,从前往后:

此处在病灶前界的前方,可见双侧翼管和卵圆孔均正常。

破裂孔层面,左侧的岩尖、斜坡均已出现破坏。

ICA管水平段层面,继续显示左侧岩尖破坏,斜坡骨质也向内侧受推挤。左侧ICA管的外侧壁和咽鼓管尚正常。

耳蜗层面,可见左侧耳蜗、锤骨和鼓膜均尚存,但岩尖明显破坏,耳蜗上表面裸露,鼓室顶壁骨质缺如,鼓室腔受侵,提示术中将显露上述结构。

内听道层面,左侧内听道顶壁缺如,内听道口可有零星骨质残存。

内听道后部、半规管层面,可见左侧半规管完整,上半规管顶壁骨质、即弓状隆起尚存。

颈静脉球层面,可见左侧颈静脉球高位,顶壁缺如,与病变腔沟通,术中有颈静脉球受损风险。面神经乳突段可见完好。

后半规管层面,颈静脉球后部上方仍有部分病变,其顶壁骨质残存,提示术中需要磨除此部分骨质。

前庭导水管层面,双侧均完好,肿瘤后界在此之前。
利用slicer重建的3D图片(红蓝格式):




耳科检查

只大致明确了左侧听力的严重受损,左侧鼓膜的完整,具体还得请ENT的小伙伴们解读。
此时,我科进行了第一次术前讨论,病变的定位诊断已经很明确:
▲硬膜外:左侧岩骨,以内听道为中心破坏骨质;向前内侧至破裂孔后内缘;向前外侧侵蚀ICA管后内侧壁并推挤ICA岩骨段;向后外侧越过内听道至弓状隆起,破坏鼓室盖,侵犯鼓室,包绕骨性迷路上方、内侧和下方;向下内侧扩大岩斜裂,推挤斜坡外侧缘;向后下方破坏迷路下骨质至颈静脉孔岩部,并与同侧高位的颈静脉球相邻。
▲硬膜内:左侧CP池,V下缘至IX-X上缘层面,可能通过破坏的内听道或岩骨后内侧壁受侵硬膜缺口,与硬膜外沟通。
定性诊断则涉及各种岩尖-内听道-CPA占位的鉴别,临床病史是一方面,影像特点可提供大量信息。这一话题有大量文献关注(见参考文献)。
单论岩尖占位的鉴别,可见下表(感谢珂姐提供的好文献)

岩尖占位临床上最多见的恰恰是我们神外相对陌生的两种疾病,胆脂瘤(cholesteatoma)和胆固醇肉芽肿(cholesterol granuloma),均是ENT擅长的领域。好在影像学上均有显著特点:胆脂瘤的DWI为高信号,增强后一般不强化或边缘可有强化;胆固醇肉芽肿的T1为高信号,周边有T2低信号环,增强后不强化。本例的DWI似乎有稍高信号,我院影像科诊断为胆脂瘤;而T1并非高信号,可排除胆固醇肉芽肿。但疑虑在于,岩尖胆脂瘤有突破岩骨后壁骨皮质及硬膜进入CPA的吗,且为何两部分信号不同?另外增强MRI尚未完成,病灶的强化情况也至关重要。
再继续讨论我们的病例之前,先插入一些对上述两种病变浅薄的笔记。
关于胆脂瘤,个人始终有个疑问,ENT多见的岩尖胆脂瘤和我们神外多见的CPA表皮样囊肿(epidermoid cyst)甚至其他少见部位的相似病变,其病理是否相同?由于涉及两个不同学科、不同的关键词,这样的文献实在难寻踪迹,但最后还是找到了一些肯定的答案(参考文献6、28),即两者从病理上应该为同一病变:大体观呈白色或淡黄色的珍珠样,镜下观囊壁为一层角化鳞状上皮(keratinizing squamous epithelium),内部充满去磷化的角质碎片(desquamated keratin debris)以及不恒定出现的胆固醇结晶(cholesterol crystals)。外层的上皮细胞是唯一有活力的细胞,在增值代谢过程中产生的角质碎片则造成占位体积的逐渐增大。由于所处部位的不同,囊壁与相邻组织的界面可能不同:在岩骨内者,“The cholesteatoma matrix is surrounded by a layer of connective tissue, the perimatrix, which entertains a chronic inflammation with subsequent mucosal invasion and destruction of surrounding bone”;在CPA蛛网膜下腔内者,“envelop surrounding nerves, vessels, and other critical structures rather than displacing them like most benign neoplasms...cause atrophy, ischemic injury, and paresis due to the interaction with the cerebral and cerebellar parenchyma”。
从历史来看,“胆脂瘤”的命名其实是一种误称。1829年,Cruveilhier汇总Dumeril和Le Prestre的两例先前报道及自己发现的一例病例,首次系统阐述了这类病变,并由此得名“珍珠瘤”(Cruveilhier’s pearly tumors)。1838年,Muller因发现了胆固醇结晶成分,又命名为“胆脂瘤”。1855年,Rudolf Virchow又提出胆固醇结晶并非恒定出现,认为还是“珍珠瘤”更为恰当。1897年,Bostroem更名为“表皮样囊肿”,并从此为神外文献所常用。而ENT文献仍多沿用“胆脂瘤”。
然而,岩骨内的“胆脂瘤”,其病理发生机制比我们神外的“表皮样囊肿”似乎要复杂,因为存在几种不同的发生情况:先天性(congenital)、原发获得性(primary acquired)和继发获得性(secondary acquired)。简单来说,先天性为胚胎发育过程中上皮残留于中耳、岩尖,鼓膜完整,不存在耳漏、耳科手术等病史,只占总的岩骨内胆脂瘤的少数。这种类型即与颅内CPA等区域的神外“珍珠瘤”或“表皮样囊肿”相同,其分布情况,中耳 > CPA > 乳突 > 岩尖 > 面神经管。获得性胆脂瘤,原发性者多见于鼓膜内陷,尤其鼓膜松弛部(pars flaccida),使得表皮迁移入原先只有粘膜的中耳腔,常见位置为蒲氏囊(Prussak’s space),角质碎片的不断脱落即形成了胆脂瘤。也可位于其他部位,并随着鼓室内的皱褶走形而呈各种解剖类型。继发性者继发于各种外伤、中耳炎等,使得表皮迁移入中耳粘膜。理解了这些,个人推测为何ENT不采纳“珍珠瘤”或“表皮样囊肿”的原因——因为ENT处理的胆脂瘤大部分为获得性,这些均常常合并感染、炎症,使得病变“脏乱差”,不像“囊肿”,更不像“珍珠”了。

左:先天性岩骨内胆脂瘤的影像学特点;右:中耳原发获得性胆脂瘤的病理发生示意图
岩骨内胆脂瘤的手术原则,Sanna教授概括如下:“(1) complete eradication of the disease, (2) preservation of facial nerve function, (3) prevention of CSF leak and meningitis, (4) cavity obliteration, and (5) hearing preservation whenever feasible”。论及手术入路,又提出基于解剖区域的外科分类,由此决定相应入路(下图)。这里涉及太多侧颅底的解剖和入路技术,不再展开。另外尚可从前方内镜下经鼻入路处理岩尖胆脂瘤,也不再展开。

Sanna教授的岩骨胆脂瘤外科分类、与病理分类的关系及相应入路选择
胆固醇肉芽肿,又称胆固醇囊肿(cholesterol cyst)、“巧克力”囊肿("chocolate" cyst),上文的表格归为发育性病变,但更多认为是炎症性病变,其定义为:“expansile petrous apex lesion resulting from foreign body giant cell reaction to deposition of cholesterol crystals in apical air cells with fibrosis & vascular proliferation”。因此,发病机制中,岩尖存在气房常为必要条件。主流观点认为,各种病因导致岩尖气房通气障碍,造成负压和缺氧状态,局部粘膜坏死渗血、出血,释放形成胆固醇结晶、含铁血黄素等,诱发异物巨细胞反应,形成肉芽肿。因此囊壁没有上皮成分,囊液为胆固醇结晶、陈旧性出血等的混杂物,“巧克力”囊肿由此得名。手术方案有主张引流者,也有主张全切后肌肉或筋膜填塞者。

左:胆固醇肉芽肿的典型影像学表现;中:ENT耳科各种侧方引流入路;右:ENT鼻科经前方引流入路

神外的经中颅底硬膜外入路,进行引流(左)和填塞(中、右)
还有一种病变的影像学特点需与胆脂瘤、胆固醇肉芽肿鉴别,岩尖粘液囊肿(mucocele)。各种病因造成岩尖气房阻塞,引起粘膜分泌粘液积聚,导致骨性结构的改变。T1低信号排除胆固醇肉芽肿,DWI非高信号排除岩尖胆脂瘤,无强化。

MRI增强









病变有强化!CPA部分呈强化结节,可与绒球等脑组织区分;岩骨内部分呈囊性信号,周边强化,内部有分隔样强化。
由此,我们的定性诊断与鉴别诊断,在之前列表内需重点考虑的如下:
▲神经鞘瘤(Schwannoma):临床症状及病程符合、信号符合,问题是解剖部位少见,常见的前庭神经鞘瘤、三叉神经鞘瘤基本排除,那么剩下的就得考虑面神经鞘瘤及其他岩骨内神经的鞘瘤(见术后讨论)。面神经鞘瘤首先考虑,这也解释了岩骨和CPA沟通的问题,即内听道是沟通的通道。但是,由于病程长,占位体积大,确实未见那种典型的沿面神经解剖分布的肿瘤影像。

▲胆脂瘤/表皮样囊肿:根据上面的分析,MRI强化表现不符合,且无论是起源于岩骨内的胆脂瘤还是起源于CPA的表皮样囊肿,最终沟通两个部位的,初步检索文献后暂时未见报道。
▲软骨肉瘤(chondrosarcoma):岩骨沟通CPA的软骨肉瘤,还是存在的。但是本例信号不符合典型表现,包括CT的骨质破坏、钙化,MRI的信号及强化表现等。

▲岩尖炎(apical petrositis):中耳乳突炎症播散至岩尖气房的化脓性炎症,临床可有岩尖综合征(Gradenigo s syndrome)。可有骨质破坏,囊性病变周围强化、硬膜强化。此例病程和临床表现不符合。

综上,我们术前诊断为:
▲左侧岩骨-CPA沟通性占位,神经鞘瘤首先考虑
▲扩大中颅窝入路切除肿瘤,颅底重建(后部颞肌及骨筋膜瓣)
▲颞肌翻转悬吊,动态修复下半面部面瘫(中部颞肌)
手术入路的选择,考虑到肿瘤大部分位于中颅窝硬膜外的岩骨内,所以选择颞下硬膜外扩大中颅窝入路,而且由于肿瘤已经侵蚀破坏了大部分的岩骨,故可省去很多该标准入路需进行的磨骨步骤,且由于术前有用听力已经丧失,故可按需磨除迷路扩大视野。顺着岩骨内肿瘤逐渐切除后的通道(内听道可能性大),预计也可进入后颅窝,切除CPA硬膜内的肿瘤部分。术中需重点注意前外侧的ICA和后下方的高位颈静脉球,以及颅底硬膜的重建。

对于面瘫的修复,鉴于患者病程已长达20余年,术前面神经功能HB V级,面神经-面肌接头功能可能已基本衰竭,肿瘤起源究竟是否为面神经、与面神经关系如何均不明确,故先不考虑行神经动力性修复手术(桥接吻合、替代吻合等),而是选择在同一手术野内I期行部分颞肌翻转悬吊术,实现下面部-口角的肌肉动力性修复。至于上面部-眼睑的修复,目前文献主流的眼睑金属弹簧植入术,可至眼科进行。

(上海交通大学医学院附属新华医院神经外科
李世亭教授 主刀)


































术后面相

左:术前;右:术后3天。患者围手术期无新增神经功能缺失
术后MRI(T2、T1、T1增强,从上到下)




T1相可见原岩骨内病变的低信号被填塞肌肉的高信号取代,CPA内肿瘤的强化结节基本全切。
术后颞骨HRCT(左为术前,右为术后,同层面对比)
轴位(从上到下)


冠状位(从前到后)



根据HRCT,回过头来看术中磨除的骨质,证实一开始磨除的确实是上半规管上方的弓状隆起附近骨质,并向后扩展至颈静脉球上方、后半规管层面的骨质;耳蜗主要磨除了顶转和部分中转,底转保留;向前一直深入破裂孔后缘,切除了此部分受侵的岩尖骨质。
▲神经鞘瘤,S-100(+),SOX10(+),Ki67(2%+)
本则病例最让我着迷的是它的解剖部位,最吸引我思考的时它的定性诊断。从术前根据一项项检查而来的各种鉴别诊断,到术后病理最终尘埃落定,其间请教神外、ENT、影像专业的小伙伴和老师,查阅文献,这些过程正是学习神外从事神外的最大乐趣之一。最初的平扫MRI和颞骨CT,大家的意见,包括ENT和影像科的几位我最信赖的专家,首先考虑都是胆脂瘤,但是上文提及的主要疑问(病变突破岩骨至后颅窝硬膜内)却都难以回答。所幸MRI增强给出了更多线索,神经鞘瘤成为了我们术前的第一诊断。术中所见和术后病理也终于证实了这一点。但是,既然是鞘瘤,那么它的完整诊断就必须给出明确的起源神经,而这一点恰恰又是本例的疑问了。
查阅文献,神经鞘瘤(Schwannoma)约占颅内原发性肿瘤的8%,其中80%~90%为前庭神经鞘瘤。累及岩骨尤其是岩尖的鞘瘤,本身属少见,其中主要为三叉神经鞘瘤。当然,岩骨内或岩骨毗邻的众多神经,均存在形成该区域鞘瘤的可能,但都是绝对的罕见病例了。截止至2016年,文献记载的外展神经鞘瘤共20例,其中也仅9例累及岩尖。其他相对熟悉的颅神经鞘瘤还有滑车神经鞘瘤、后组颅神经鞘瘤,但显然,结合临床和影像学表现,上述颅神经鞘瘤都不符合本例特点。
耳蜗神经鞘瘤也有文献报道,解剖学观点认为雪旺细胞构成耳蜗神经髓鞘的部位,位于蜗轴(modiolus)处的螺旋神经节(spiral ganglion)的近端,起源于该部位的神经鞘瘤可考虑为耳蜗神经鞘瘤。2003年《JNS》就有一例这样的病例报道,依据来源于患者长达12年的“漏诊”的细微影像学变化(下图)。当然,耳蜗神经鞘瘤的诊断也只能是“推测”。本例影像学明确提示耳蜗的完整,因此,这一来源也不考虑。

除去颅神经,岩骨内还有众多的自主神经穿行或毗邻。这里先捋一捋解剖。
头面部自主神经纤维包括感觉(一般内脏感觉,孤束核下部接收)和运动(一般内脏运动)纤维,后者又分为交感(来自颈交感干)和副交感(来自脑干的各副交感核团)。与岩骨密切相关的副交感神经,主要包括岩浅大神经(GSPN)和舌咽神经鼓室支(Jacobson,可能同时包含自主感觉纤维),它们与岩小神经(LPN)、迷走神经耳支(Arnold)之间的解剖联系已在之前的《咬文嚼字:“颈静脉球瘤”和“副神经节瘤”》一文内记录了。
头颈部的交感神经来自颈上神经节(superior cervical ganglion),其节后纤维中的一支为颈内动脉神经(ICN),沿ICA外膜分布上行,围绕ICA形成颈内动脉神经丛(ICP)。在ICA岩骨段,ICP发出颈鼓神经(caroticotympanic nerve),与Jacobson神经在鼓室内形成鼓室丛(tympanic plexus),并参与LPN的形成;发出岩深神经(DPN),与GSPN形成翼管神经,经翼腭神经节(pterygopalatine ganglion)支配泪腺和鼻腭深部粘膜腺体的分泌(见下)。在岩尖附近,部分ICP可经Dorello’s管跟随外展神经进入海绵窦,也可继续随ICA进入海绵窦内再与外展神经发生沟通。当外展神经行至三叉神经眼支旁,约60%的交感纤维跨越眼支上方,剩余的交感纤维则继续随外展神经穿经眶上裂。海绵窦内的ICP纤维也可继续伴随ICA,沿其海绵窦内分支进入垂体窝,或沿主干进入硬膜内。入眶后,ICP交感纤维一部分直接加入鼻睫神经的睫状长神经,一部分与来自动眼神经的副交感纤维、鼻睫神经的一般躯体感觉纤维,一同经睫状神经节(ciliary ganglion)形成睫状短神经,共同支配瞳孔的肌肉;一部分与动眼神经沟通支配眼睑Muller肌;也可能与其他眶内的神经沟通。
至于上面提到的泪腺支配,其一般躯体感觉来自三叉神经眼支的泪腺神经,交感和副交感纤维则是在翼腭神经节之后经由三叉神经上颌支的颧神经入眶,并与泪腺神经相沟通。

颈内动脉神经丛(ICP)的解剖联系,瞳孔肌肉的支配(上右、下左),泪腺的支配(下右)
颈上神经节的节后纤维也沿颈外动脉(ECA)走行形成颈外动脉神经丛(ECP),并随之分布至血管支配的相应区域,支配腺体的交感运动,如跟随舌动脉、面动脉支配舌下腺、下颌下腺的交感性分泌(副交感支配来自于上泌涎核-中间神经-面神经-鼓索神经-三叉神经V3舌神经-下颌下神经节(submandibular ganglion),一般躯体感觉来自三叉神经V3舌神经);跟随上颌动脉至翼腭窝,与ICP-DPN穿经翼腭神经节来源的交感纤维一同支配鼻腭部的粘膜腺体(副交感支配来自于上泌涎核-中间神经-面神经-GSPN-翼管神经-翼腭神经节,一般躯体感觉来自三叉神经V2在翼腭窝内发出的各分支,可参见《翼腭窝的那几条“后走廊”》);另广泛分布至头面部的汗腺。
与岩骨密切相关的ECP分支,一是跟随脑膜中动脉入颞下窝,与卵圆孔附近的耳神经节(otic ganglion)相沟通,与上文提到的颈鼓神经-鼓室丛-LPN来源的ICP纤维一起负责腮腺的交感支配(腮腺的副交感支配来自下泌涎核-舌咽神经-Jacobson-鼓室丛-LPN-耳神经节;一般躯体感觉来自三叉神经V3耳颞神经)。另一是跟随脑膜中动脉入中颅窝,与膝状神经节形成沟通的岩外神经(external petrous nerve),具体功能未见太多记载,个人推测是与ICP来源的DPN之间相沟通。

头颈部自主神经总览(左)、头颈部腺体副交感支配总览(中、右)

泪腺、鼻腭部粘膜腺体、舌下腺与下颌下腺的自主神经支配(左)、腮腺的自主神经支配(右,个人认为岩小神经LPN另包含来自于颈鼓神经的ICP纤维)

与岩骨相关的ECP分支,颞下窝进入耳神经节(左),中颅窝的岩外神经(右)
综上,在岩骨内走形的自主神经,副交感来源有GSPN、Jacobson,交感来源有ICP及其分支(岩深、颈鼓)、ECP及其分支(岩外神经),混合来源为LPN,另有Arnold(迷走神经耳支,可能包含一般躯体感觉纤维及其他自主神经纤维,有待考证)。这些神经来源的鞘瘤,查阅文献,当属“稀世珍宝”级的了。查阅文献,最多的GSPN鞘瘤共31例,ICP来源鞘瘤(大多只能说疑似)7例,Jacobson鞘瘤8例,其他神经的暂时都没有检索到。
GSPN鞘瘤大多位于中颅窝,而非岩骨内(可参见《掀起中颅窝的盖头来(上)》)。本例主体位于岩骨内,与CPA沟通,且术中能清晰看到完整的GSPN,故可排除。
Jacobson神经来源的肿瘤则主要为副神经节瘤(参见《咬文嚼字:“颈静脉球瘤”和“副神经节瘤”》),鞘瘤极为罕见,且影像学与副神经节瘤难以鉴别,但与本例鉴别则较为容易:Jacobson神经来源的肿瘤,必定以颈静脉孔或者中耳鼓岬为据点,破坏骨性迷路、听小骨,而本例术前HRCT可清晰显示上述结构基本完好,故可排除。

文献报道的Jacobson鞘瘤两例
ICP来源鞘瘤,是否真的存在,其实目前尚未有定论。Ugur Türe在2003年的《Neurosurgery》报道第一例海绵窦内ICP鞘瘤,患者术前外展麻痹,影像提示肿瘤推挤ICA,术中发现海绵窦内所有颅神经均完好,术后出现不完全Horner s综合征(瞳孔缩小+眼睑下垂,面部汗腺功能完好,符合ICP受损、ECP完好的表现)而外展恢复。但是文后评论中,两位大师Dolenc和Al-Mefty都对其提出质疑,Dolenc根据术中描述(肿瘤位于海绵窦外侧壁两侧之间而非海绵窦内),认为是起源于三叉V1内侧面的鞘瘤;Al-Mefty更是指出作为交感神经节后纤维,ICP不具备髓鞘,自然不存在所谓的鞘瘤。确实,这类所谓的ICP鞘瘤在其他文献报道中,则被称为“intraosseous Schwannoma of the petrous apex”,Solodnik于1986年首次报道,由于鞘瘤完全位于岩骨或岩尖内,且术中找不到明确的神经来源而得名,ICP起源仅是这些作者的推测之一,也有人认为来源是胚胎发育时期迁移异常或残留的雪旺细胞。本例术前影像提示肿瘤紧邻岩骨段ICA后内侧壁,骨壁缺失,但未见ICA明显推移或挤压变窄,术中清除此部位肿瘤后也似乎未见裸露的ICA外膜,而肿瘤沟通CPA也是难以解释,再基于上述的ICP鞘瘤本就未成定论,故也暂不考虑。

Türe报道的ICP鞘瘤(左)和“intraosseous Schwannoma”
排除了这么多鞘瘤,那剩下的只有一种了——面神经鞘瘤。个人认为,分析到这里,也只有面神经鞘瘤可以解释临床症状(重度面瘫)、影像学特点(岩骨沟通CPA,内听道不显示)、术中所见(内听道未见,肿瘤确实通过假想的内听道沟通CPA)。至于肿瘤累及面神经的哪段,个人考虑为脑池段、内听道段和迷路段,鼓室段和乳突段面神经管在CT上均未见异常。
面神经鞘瘤也属罕见病,目前最大宗的文献报道,应该都是来自梅奥诊所。1969年Pulec报道了梅奥诊所的11例并汇总了其他报道的75例。2016年Carlson等人报道了近25年来梅奥的80例散发性面神经鞘瘤。这应是目前医学对面神经鞘瘤最全面的认识了,但仍然未得出最合理的诊疗标准。简单来说,此病除非典型者,一般确诊困难;治疗方案中,对于无症状或轻微症状者,随访放在首位;加重时可采用药物治疗及简单的减压手术;仅影像学进展者,继续随访或放射外科治疗仍优于手术切除;症状严重者采取手术切除,可次全切以保功能,或全切+面神经重建。

关于面神经的外科重建,则又是一个庞大的课题,这里就不作讨论了。本例用的部分颞肌翻转悬吊术,对于这位面瘫史长达20年的患者来说,应该也是一种合理的选择,况且手术较为简单、切口共用也是考虑的因素。当然,该术式的远期疗效还需继续观察和后期锻炼,根据恢复情况,也可继续行其他的神经动力性手术,对于眼睑则可行金属弹簧植入术。
关于本例切除肿瘤所用入路的体会,上文的图片已经基本展示了完整的细节了。得益于肿瘤对岩骨已构成的破坏,术中对残余岩骨磨除后,基本展示了所谓扩大中颅窝入路(Kawase入路+中颅窝经内听道入路)的硬膜外视角。由于没有了面听神经的阻挡,对CPA肿瘤的暴露,在没有运用经典Kawase入路处理硬膜的条件下(幕上幕下联合经天幕),也较为充分。但不足之处在于,由于手术径路狭长,操作空间有限,肿瘤后下极与后组颅神经、绒球、脉络丛的关系还是很难处理,以致于这部分稍有残留;由于术前患者面听神经功能已基本丧失,故术中未进行电生理监测,也许在术中电极直接刺激神经的条件下,还能获得有效的面神经ENoG激发动作电位,从而判断最后不明确的神经残端。
少见病例,因为我们的思考,更显得珍贵;外科医生也因为思考,而获得更多收获和乐趣;当然,最终受益的必定是患者。在文章课题满天飞,专家大师遍地走的当下,我宁做如此的“开刀匠”。
参考文献:
Razek, A.A. and B.Y. Huang, Lesions of the petrous apex: classification and findings at CT and MR imaging. Radiographics, 2012. 32(1): p. 151-73.
《奈特人体神经解剖彩色图谱》2006
《THIEME Atlas of Anatomy:Head, Neck, and Neuroanatomy.2ed》2016
《脑神经基础与临床》2002
《Diagnostic imaging Head and neck.3ed》2017
《Practical Neurotology and Skull Base Surgery》2013
《Otologic Surgery.4ed》2016
《Otology and Neurotology》2013
《Otology, Neurotology, and Lateral Skull Base Surgery》2010
《Temporal Bone CT and MRI Anatomy》2015
《Comprehensive Management of Skull Base Tumors》2008
Sanna, M., et al., Petrous bone cholesteatoma. Skull Base Surg, 1993. 3(4): p. 201-13.
Sanna, M., et al., Petrous bone cholesteatoma: classification, management and review of the literature. Audiol Neurootol, 2011. 16(2): p. 124-36.
Eisenberg, M.B., G. Haddad, and O. Al-Mefty, Petrous apex cholesterol granulomas: evolution and management. J Neurosurg, 1997. 86(5): p. 822-9.
Sincoff, E.H., et al., A novel treatment approach to cholesterol granulomas. Technical note. J Neurosurg, 2007. 107(2): p. 446-50.
Kusumi, M., et al., Middle fossa approach for total resection of petrous apex cholesterol granulomas: use of vascularized galeofascial flap preventing recurrence. Neurosurgery, 2013. 72(1 Suppl Operative): p. 77-86; discussion 86.
Shibao, S., et al., Petrous apex cholesterol granuloma: importance of pedicled nasoseptal flap in addition to silicone T-tube for prevention of occlusion of drainage route in transsphenoidal approach--a technical note. Neurol Med Chir (Tokyo), 2015. 55(4): p. 351-5.
Goiney, C., et al., Intraosseous schwannoma of the petrous apex. J Radiol Case Rep, 2011. 5(11): p. 8-16.
Tamura, R., et al., Intraosseous Schwannoma of the Petrous Apex. J Neurol Surg Rep, 2015. 76(1): p. e135-9.
Carlson, M.L., et al., Facial Nerve Schwannomas: Review of 80 Cases Over 25 Years at Mayo Clinic. Mayo Clin Proc, 2016. 91(11): p. 1563-1576.
Takase, H., et al., Unique Diagnostic Features and Surgical Strategy for Intracranial Carotid Sympathetic Plexus Schwannoma: Case Report and Literature Review. World Neurosurg, 2017. 98: p. 876 e1-876 e8.
Ture, U., et al., Internal carotid plexus schwannoma of the cavernous sinus: case report. Neurosurgery, 2003. 52(2): p. 435-8; discussion 438-9.
Lin, K.F., A.T. Turk, and A.H. Kim, Jacobson s Nerve Schwannoma Presenting as a Middle Ear Mass Causing Pulsatile Tinnitus: A Case Report. Otol Neurotol, 2017. 38(9): p. e354-e356.
Mohamed, A., et al., Large middle ear schwannoma of the Jacobson s nerve with intracranial extension. Auris Nasus Larynx, 2014. 41(5): p. 491-5.
Khurana, V.G., et al., Evolution of a cochlear schwannoma on clinical and neuroimaging studies. Case report. J Neurosurg, 2003. 99(4): p. 779-82.
Fernandez-Miranda, J.C., et al., Cavernous sinus compartments from the endoscopic endonasal approach: anatomical considerations and surgical relevance to adenoma surgery. J Neurosurg, 2017: p. 1-12.
《The Rhoton Collection: Navigating the Orbit》
Clark, M.P., et al., Congenital cholesteatoma of occipital bone or intradiploic epidermoid cyst? One and the same disease. J Laryngol Otol, 2009. 123(6): p. 673-5.




