提示
“浙二神外周刊”不定期接收外院投稿,审核后发表。欢迎各专业同道联系我们,分享精彩病例、研究热点或前沿资讯。投稿请联系:shishi74@163.com
前言
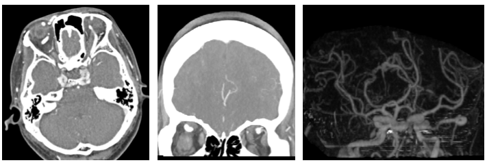
病史简介

诊治经过



讨论
结论
参考文献
1.Barrow, D.L., R.H. Spector, I.F. Braun, J.A. Landman, S.C. Tindall, and G.T. Tindall, Classification and treatment of spontaneous carotid-cavernous sinus fistulas. J Neurosurg, 1985. 62(2): p. 248-56.
2.Cossu, G., K. Al-Taha, S.D. Hajdu, R.T. Daniel, and M. Messerer, Carotid-Cavernous Fistula After Transsphenoidal Surgery: A Rare but Challenging Complication. World Neurosurg, 2020. 134: p. 221-227.
3.Mouchtouris, N., M.J. Lang, A. Stefanelli, W. Hirsch, S. Tjoumakaris, M.R. Gooch, R. Rosenwasser, and P.M. Jabbour, Cavernous-Carotid Fistula Presenting with Intracerebral Hemorrhage in the Absence of Ocular Symptoms. World Neurosurg, 2020. 137: p. 338-340.
4.Sur, S., S.A. Menaker, C. Alvarez, S. Chen, S.S. Shah, E.C. Peterson, M.S. Elhammady, and R.M. Starke, Multimodal Management of Carotid-Cavernous Fistulas. World Neurosurg, 2020. 133: p. e796-e803.
5.Zeineddine, H.A., V. Lopez-Rivera, C.R. Conner, F.G. Sheriff, P.A. Choi, M.E. Inam, J. Cochran, and P.R. Chen, Embolization of carotid-cavernous fistulas: A technical note on simultaneous balloon protection of the internal carotid artery. J Clin Neurosci, 2020.
6.Srinivasan, V.M., A.N. Sen, and P. Kan, Trans-superior ophthalmic vein approach for treatment of carotid-cavernous fistula. Neurosurg Focus, 2019. 46(Suppl_2): p. V4.
往期回顾
浙二神外周刊(第二百三十八期)立体定向精准抽吸治疗3型脑干出血一例(脑血管系列十五)
浙二神外周刊(第二百三十七期)单靶点双通道立体定向精准抽吸治疗丘脑脑干出血一例(脑血管系列十四)
浙二神外周刊(第二百三十六期)浙二分型“I型”原发性脑干出血立体定向精准抽吸治疗一例(脑血管系列十三)
浙二神外周刊(第二百三十五期)导航辅助定位下丘脑基底节血肿抽吸术一例(脑血管系列十二)
浙二神外周刊(第二百三十四期)疑似新冠肺炎小儿三脑室肿瘤伴颅高压限期手术一例(一级防疫手术特别报道)
浙二神外周刊(第二百三十三期)单侧额外侧入路夹闭双侧颅内多发动脉瘤1例(脑血管系列十一)
浙二神外周刊(第二百三十二期)改良Poppen入路切除松果体区-中脑海绵状血管瘤一例(脑血管系列十)
浙二神外周刊(第二百三十一期)颅内巨大动脉瘤塑形夹闭一例(脑血管系列九 )
浙二神外周刊(第二百三十期)号外 国内首例!72岁高位截瘫患者用意念喝可乐、打麻将
浙二神外周刊(第二百三十期)中动脉血栓性动脉瘤孤立+颅内外血管搭桥术一例(脑血管系列八)
浙二神外周刊(第二百二十九期)复合手术处理颈内动脉床突旁巨大动脉瘤一例(脑血管系列七)
浙二神外周刊(第二百二十八期)复合手术切除胼胝体AVM一例(脑血管系列六)
浙二神外周刊(第二百二十七期)床突旁颈内动脉血泡样动脉瘤包裹夹闭一例(脑血管系列五)
浙二神外周刊(第二百二十六期)双干STA-MCA搭桥治疗症状性颈内动脉闭塞一例(脑血管系列四)
浙二神外周刊(第二百二十五期)OA-PICA搭桥治疗PICA假性动脉瘤一例(脑血管系列三)
浙二神外周刊(第二百二十四期)ECA-RA-M2搭桥术治疗栓塞后复发M1夹层动脉瘤一例(脑血管系列二)
浙二神外周刊(第二百二十三期)A3-桡动脉-A3搭桥治疗复杂大脑前动脉动脉瘤一例(脑血管系列一)
浙二神外周刊(第二百二十二期)颈胸腰多节段椎管狭窄一例(脊柱脊髓系列二十)
浙二神外周刊(第二百二十一期)青少年上肢远端良性肌萎缩症(平山病)一例(脊柱脊髓系列十九)
浙二神外周刊(第二百二十期)手术治疗颅颈交界区硬脊膜动静脉瘘一例(脊柱脊髓系列十八)
浙二神外周刊(第二百一十九期)扁平颅底后颅减压术后术区硬膜下积液致梗阻性脑积水一例(脊柱脊髓系列十七)
浙二神外周刊(第二百一十八期)脊髓圆锥部髓内黑色素细胞瘤一例(脊柱脊髓系列十六)
浙二神外周刊(第二百一十七期)腰椎术后硬膜假性囊肿并马尾神经根瘘口嵌顿一例(脊柱脊髓系列十五)
浙二神外周刊(第二百一十六期)高位颈髓髓外膜内毛细血管瘤一例(脊柱脊髓系列十四)
浙二神外周刊(第二百一十五期)应用超声侧向骨锉经后方入路切除颈椎后纵韧带骨化一例(脊柱脊髓系列十三)
浙二神外周刊(第二百一十四期)经颈前外侧入路切除颈4/5哑铃状神经鞘瘤一例(脊柱脊髓系列十二)
浙二神外周刊(第二百一十三期)半椎板成形+复位显微切除颈胸段椎管内神经鞘瘤一例(脊柱脊髓系列十一)
浙二神外周刊(第二百一十二期)破坏一侧关节突及椎体的胸椎上皮样血管瘤一例(脊柱脊髓系列十)
浙二神外周刊(第二百一十一期)表现为颅高压症状的腰椎管内副神经节瘤一例(脊柱脊髓系列九)
浙二神外周刊(第二百一十期)CT脊髓造影诊断带心脏起搏器的胸椎管内肿瘤一例(脊柱脊髓系列八)
浙二神外周刊(第二百零九期)椎管内畸胎瘤合并脊柱侧弯一例(脊柱脊髓系列七)
浙二神外周刊(第二百零八期)胸椎侵袭性血管瘤一例(脊柱脊髓系列六)
浙二神外周刊(第二百零七期)经肌间隙入路显微手术切除Eden IV型胸椎管内外神经鞘瘤一例 (脊柱脊髓系列五)
浙二神外周刊(第二百零六期)椎管内肿瘤源性颅高压一例(脊柱脊髓系列四)
浙二神外周刊(第二百零五期)经皮脊柱内镜下切除腰骶部椎管内血管脂肪瘤一例(脊柱脊髓系列三)
浙二神外周刊(第二百零四期)显微镜结合内镜切除马尾“十连珠”神经鞘瘤一例(脊柱脊髓系列二)
浙二神外周刊(第二百零三期)因脑干出血病史延误诊治的脊髓型颈椎病一例(脊柱脊髓系列一)
浙二神外周刊(第二百零二期)硬膜悬吊误将蛛网膜缝住致顽固性硬脑膜下积液一例
浙二神外周刊(第二百零一期)经皮套筒显微手术切除腰椎管内神经鞘瘤一例
浙二神外周刊(第二百期)一例累及Exner区胶质瘤切除后对中文语言功能影响
浙二神外周刊(第一百九十九期)小儿脑积水后巨颅矫形一例(小儿神经外科系列九)
浙二神外周刊(第一百九十八期)儿童视路胶质瘤一例(小儿神经外科系列八)
浙二神外周刊(第一百九十七期)儿童颅内非典型畸胎样/横纹肌样瘤一例(小儿神经外科系列七)
浙二神外周刊(第一百九十六期)经棘突间入路手术治疗脊髓栓系综合征一例(小儿神经外科系列六)
浙二神外周刊(第一百九十五期)儿童意外脑干穿刺伤一例(小儿神经外科系列五)
浙二神外周刊(第一百九十四期)颈内动脉缩窄术治疗儿童颅内多发动脉瘤一例(小儿神经外科系列四)
浙二神外周刊(第一百九十三期)新生儿双胞胎低体重脑积水一对(小儿神经外科系列三)
浙二神外周刊(第一百九十二期)Krause入路切除儿童松果体区畸胎瘤一例(小儿神经外科系列二)
浙二神外周刊(第一百九十一期)小儿软脑膜动静脉瘘一例(小儿神经外科系列一)
浙二神外周刊(第一百九十期)脊髓节细胞胶质瘤伴H3K27M(+)、BRAF V600E(-)基因型一例
浙二神外周刊(第一百八十九期)左侧颞部动静脉瘘伴瘤样扩张(2019赛诺菲神外病例大讲堂选载三)
浙二神外周刊(第一百八十八期)电凝法治疗基底动脉微小动脉瘤一例(2019赛诺菲神外病例大讲堂选载二)
浙二神外周刊(第一百八十七期)婴儿颅内动脉瘤2例(2019赛诺菲神外病例大讲堂选载一)
浙二神外周刊(第一百八十六期)婴儿颅内动脉瘤2例(2019赛诺菲神外病例大讲堂选载一)
浙二神外周刊(第一百八十六期)会议报道丨浙医二院-美国UCLA联合MDT讨论会(第十期,神经系统血管性疾病专题)
浙二神外周刊(第一百八十五期)经咽升动脉栓塞岩下窦闭塞的海绵窦区硬脑膜动静脉瘘一例
浙二神外周刊(第一百八十四期)椎管内原发粘液乳头状室管膜瘤伴全脑脊液播散转移一例
浙二神外周刊(第一百八十三期)左侧椎动脉夹层动脉瘤伴左侧面肌抽搐一例
浙二神外周刊(第一百八十二期)急诊手术+TOMO放疗治疗弥漫中线胶质瘤一例(2018浙江省胶质瘤MDT病例五)
浙二神外周刊(第一百八十一期)弥漫中线胶质瘤手术并早期康复一例(2018浙江省胶质瘤MDT病例四)
浙二神外周刊(第一百八十期)节细胞胶质瘤合并小细胞胶质母细胞瘤一例(2018浙江省胶质瘤MDT病例三)
浙二神外周刊(第一百七十九期)早期软脑膜下播散的胶质母细胞瘤一例(2018浙江省胶质瘤MDT病例二)
浙二神外周刊(第一百七十八期)多中心/多灶性胶质母细胞瘤一例
浙二神外周刊(第一百七十七期)颅内单发Rosai-Dorfman病一例
浙二神外周刊(第一百七十五期)双侧丘脑梗死(Percheron动脉梗死)一例
浙二神外周刊(第一百七十三期)研究前沿|陈高教授牵头国家重点研发计划“基于影像组学的脑出血微创治疗规范化体系建立及应用评价”启动-
浙二神外周刊(第一百七十二期)经皮内镜经椎板间入路治疗腰椎间隙感染并硬膜外脓肿一例
浙二神外周刊(第一百七十一期)伴有EGFR扩增的胶质母细胞瘤的复发判断和治疗选择
浙二神外周刊(第一百七十期)误诊为脑脓肿的成人小脑髓母细胞瘤一例
浙二神外周刊(第一百六十七期)含有鳞状分化上皮成分的垂体腺瘤一例
浙二神外周刊(第一百六十五期)原发性IDH突变型胶质肉瘤一例
浙二神外周刊(第一百六十四期)侧裂深部不典型脑膜瘤一例
浙二神外周刊(第一百六十三期)脊顽固复发性慢性硬膜下血肿一例
浙二神外周刊(第一百六十期)儿童鞍区生殖细胞瘤一例
浙二神外周刊(第一百五十九期)小脑脂肪神经细胞瘤一例
浙二神外周刊(第一百五十八期)眼外伤手术后重水迁移入脑室蛛网膜下腔一例
浙二神外周刊(第一百五十七期)重型颅脑损伤术后诱发应激性心肌病一例
浙二神外周刊(第一百五十五期)源于嗅神经的毛细胞星形细胞瘤一例
浙二神外周刊(第一百五十三期)不典型脑膜瘤一例
浙二神外周刊(第一百五十二期)无症状颅内巨大海绵状血管瘤一例
浙二神外周刊(一百五十一期)佳作赏析|柳夫义医师获中国医师协会“神外手术视频展播秀”新锐组最佳人气奖
浙二神外周刊(一百五十)--左侧额颞岛叶弥漫性胶质瘤一例(2018华东胶质瘤MDT病例四)
浙二神外周刊(一百四十九)--节细胞胶质瘤一例(2018华东胶质瘤MDT病例三)
浙二神外周刊(一百四十八)--上皮样胶质母细胞瘤一例(2018华东胶质瘤MDT病例二)
浙二神外周刊(一百四十七)--历经三年浙沪接力诊疗的疑难复杂病例一例
浙二神外周刊(一百四十六)--多技术应用切除优势半球岛叶胶质瘤一例
浙二神外周刊(一百四十四)--佳作赏析丨洪远主任获2018全国青年医师”齐柏林杯“神经内镜手术视频大赛特等奖
浙二神外周刊(一百四十三)--研究进展 | 脑胶质瘤MRI浸润征象与预后
浙二神外周刊(一百四十二)--“2018西湖神经外科论坛”成功召开
浙二神外周刊(一百四十)--颅内多发粘液性动脉瘤一例
浙二神外周刊(一百三十九)--创伤性脑膜中动脉假性动脉瘤一例
浙二神外周刊(一百三十八)--侧脑室三角区肿瘤术后孤立颞角综合征一例
浙二神外周刊(一百三十七)--以出血为首发症状的多形性黄色星形细胞瘤一例
浙二神外周刊(一百三十六)--垂体ACTH细胞增生性库欣病一例
浙二神外周刊(一百三十四)--腰髓动静脉畸形出血导致颅内蛛网膜下腔出血一例
浙二神外周刊(一百三十三)--疑似鞍区海绵状血管瘤一例
浙二神外周刊(一百三十一)--以腰椎播散灶为首发症状的颅内室管膜瘤一例
浙二神外周刊(一百三十)--亚裔学生的美国神经外科医师成长之路(来自UCLA华裔学生的经历分享)
浙二神外周刊(一百二十九)--开颅术后继发硬脑膜动静脉瘘一例
浙二神外周刊(一百二十八)--sternberg管未闭脑膜脑膨出致脑脊液鼻漏一例
浙二神外周刊(一百二十七)--中药皂角刺致颅内脊索瘤术后残余肿瘤萎陷?
浙二神外周刊(一百二十六)--利用复合手术室多学科合作处理头部刀刺伤一例
浙二神外周刊(一百二十五)--经静脉入路栓塞深部脑动静脉畸形一例
浙二神外周刊(一百二十四)--颅咽管瘤术后并发尾状核、壳核脱髓鞘1例
浙二神外周刊(一百二十三)--库欣病合并全身多发占位性病变一例
浙二神外周刊(一百二十二)--经皮脊柱内镜手术切除腰椎巨大滑膜囊肿一例
浙二神外周刊(一百二十一)--孤立性室管膜下巨细胞星形细胞瘤一例
浙二神外周刊(一百二十)--伴有ALK融合基因的颅内转移性肺神经内分泌癌一例
浙二神外周刊(一百一十九)--静脉入路栓塞舌下神经管区硬脑膜动静脉瘘一例
浙二神外周刊(一百一十八)--儿童中央区病灶致顽固性癫痫外科手术一例
浙二神外周刊(一百一十七)--丙戊酸钠相关高血氨脑病一例
浙二神外周刊(一百一十六)--儿童眶尖-海绵窦-颞下窝病变一例
浙二神外周刊(一百一十四)--高血压性脑干出血治疗--浙二的观点
浙二神外周刊(一百一十三)--“复合高压锅技术”治疗横窦区硬脑膜动静脉瘘一例
浙二神外周刊(一百一一十二)--应用新型动脉瘤内栓塞装置(WEB)栓塞前交通未破裂动脉瘤一例
浙二神外周刊(一百一十一)--儿童四脑室室管膜瘤术后并发胃瘫综合征一例
浙二神外周刊(一百零八)--新发现AIP基因突变位点的家族性单纯性GH瘤家系一例
浙二神外周刊(一百零七)--自发性低颅压致双侧硬膜下血肿一例
浙二神外周刊(一百零六)--张建民教授牵头国家重点研发计划:“基于脑机接口的脑血管病主动康复技术研究及应用”正式启动
浙二神外周刊(一百零五)--颅骨板障表皮样囊肿合并慢性硬膜外血肿一例
浙二神外周刊(一百零四)--内镜辅助显微手术半椎板入路切除儿童颈髓腹侧肠源性囊肿一例
浙二神外周刊(一百零三)--颅骨缺损修补术后并发急性脑肿胀一例
浙二神外周刊(一百零一)--胶质瘤的病理特征与位置分布的关系





