 
今天神介资讯【王以舟教授专栏】为大家带来的是广东省中医院的王以舟教授的“桡动脉穿刺技术细节”,欢迎阅读、分享!
今天神介资讯【彭亚教授专栏】为大家带来的是常州市第一人民医院的朱旭成副主任医师、彭亚教授的“让我拿什么来拯救你--房颤致命性脑卒中”,欢迎阅读、分享!
今天神介资讯【彭亚教授专栏】为大家带来的是常州市第一人民医院的朱旭成副主任医师、彭亚教授的“让我拿什么来拯救你--房颤致命性脑卒中”,欢迎阅读、分享!

前 言
我们中心近来一周内连续2例心源性栓塞患者,均为心内科住院患者,未能进行抗凝治疗,住院期间发生了致死性的栓塞,1例右侧颈内动脉分叉“T”栓塞同时腹主动脉下段栓塞,另1例双侧颈内动脉同时闭塞,虽然及时发现及时机械取栓再通血管,却依然挽救不了患者的生命。
病例1
女性,65岁,高血压、糖尿病、房颤,因心功能不全在外院心内科治疗期间突发意识不清2h转入我院。查体:中度昏迷,右侧凝视,左侧肢体偏瘫,右侧肢体刺痛上抬,双下肢皮温低,NIHSS26分。心电图示快速房颤,CT提示右侧大脑中动脉致密影,ASPECT评分8分。
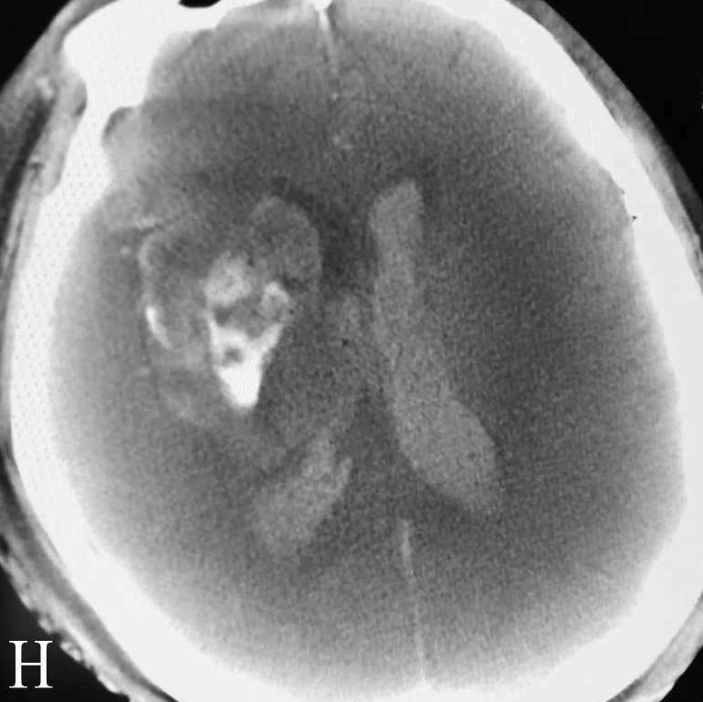
患者急诊行介入取栓治疗,术中发现双侧股动脉均未触及搏动,穿刺异常困难,最后在超声引导下行右侧股动脉高位穿刺获得成功。造影发现右侧颈内动脉分叉部T型闭塞,球囊导引导管辅助下支架取栓开通闭塞血管。取栓术后行腹主动脉造影发现腹主动脉下段闭塞,考虑亦为心源性栓塞,血管外科行股动脉切开取栓,取出大量血栓。患者术后CT提示右侧半球再灌注出血,2天后脑疝死亡。

A:右侧ICA造影正位示后交通动脉以远闭塞

B:左侧ICA造影正位示前交通未开放

C:球囊导引导管+中间导管+支架取栓

D:取栓后右侧ICA造影正位示mTICI2b级再通

E:右侧ICA取出的血栓

F:腹主动脉下段急性闭塞

G:股动脉切开取栓

H:术后即刻DynaCT示再灌注出血
病例2
女性,45岁,房颤史,因风湿性心脏病、心功能不全在本院心内科住院期间突发昏迷、抽搐、呕吐0.5h进入卒中绿色通道。查体:中度昏迷,刺痛四肢无活动,NIHSS28分。多模CT提示双侧颈内动脉闭塞, RAPID显示双侧大脑半球低灌注。急诊行球囊导引导管辅助支架取栓,成功开通双侧颈内动脉,ORT时间4h,术后出现严重脑梗塞、脑水肿,双侧大骨瓣减压后仍死亡。

A:术前RAPID提示核心梗死和半暗带,mismatch高

B:右侧ICA造影正位显示右侧ICA闭塞

C:左侧ICA造影正位显示左侧ICA闭塞

D:取栓后右侧ICA造影正位显示右侧ICA mTICI3级再通

E:取栓后左侧ICA造影正位显示左侧ICAmTICI3级再通

F:去骨瓣减压术后,广泛脑肿胀伴出血
启示
心源性脑卒中最常见的高危因素包括心房颤动、人工机械瓣膜、扩张型心肌病等,其次为感染性及非感染性心内膜炎、心房黏液瘤等。其中房颤相关性卒中占全部心源性卒中的79%以上[1],是最主要的心源性卒中类型。
房颤是最常见的心律失常之一,在人群中的发病率为1%-2%[2-3]。根据2010年的全球疾病负担研究报告,全球共有约3300万名患者,预计在2060年这一数量将翻一番。最新的流行病学报告显示,中国房颤患病率在11年的时间内增加了20倍,目前我国房颤患者已经超过一千万,随着人口老龄化,将来房颤患者还会增加一倍以上。
房颤发生率高和口服抗凝剂使用率低是导致我国急性缺血性卒中发生率高的重要原因之一。在非瓣膜病房颤患者中,缺血性卒中的年发生率约5%,是无房颤患者的2-7倍,而瓣膜病房颤卒中发生率是无房颤患者的17倍[4-7]。血栓栓塞事件风险高的房颤患者进行规范化抗凝治疗可以显著改善患者预后,我国房颤注册研究显示:卒中高危患者(CHADS,≥2分)口服抗凝药的比例仅为10%左右,远低于欧美国家(50%-80%)。即使接受华法林抗凝治疗,抗凝达标率(INR2.0-3.0)也低,大多维持INR<2.0[8]。导致这一现状的原因是多方面的,其中临床医生对于血栓栓塞性并发症的危害性认识不足、对传统抗凝药物华法林增加出血风险过度担忧以及新型口服抗凝剂使用率低可能是主要原因。
在急性缺血性卒中溶栓及血管内治疗工作得到日益重视的同时,我们呼吁在卒中中心建设过程中,充分认识房颤相关性脑卒中的严重危害,发挥房颤中心作用,落实抗凝等治疗措施,切实做到关口前移,有效预防卒中发生。一旦发生心源性卒中,争取在最短时间内接受溶栓治疗,对于颅内大血管栓塞,应该尽快接受机械取栓治疗开通闭塞血管。
其实,无论是心源性卒中还是其他卒中,防患于未然是最重要的,“唯愿天下无栓取,何愁架上药生尘”。
参考文献:
[1] Pujadas Capmang R,ArhoixA,Casa6as·Mufioz R,eta1.Specific cardiac disorders in 402consecutive patients with ischaemic cardioembolic sIroke[J].IntJ Cardiol,2004,95(2·3):129-134.DOI:lO.1016,j.ijcard.2003.02.007.
[2] Hirsh J,FusIerV,Ansell J,eta1.American Heart Association,AmericanCollege of Cardiology Foundation guide to warfarinlhempy[J].JAmcoIlcardiol,2003,4l(9):1633-1652.DOI:10.1016/s0735-1097(03)00416.9.
[3] stmke prevention in alriaIfibriIIaIion study:final resuIls[J].CircuIation.199l,84(2):527·539.DOI:10.116l,01.cjr.84.2.527.
[4] kvy S,MaarekM,coumel P,eta1.Chamclerizalion of different subsetsof atrial fjhrillation in general practice in France:theALFA study[J].circulation.1999,99(23):3028.3035.DOI:10.116l,01.cir.99.23.3028.
[5] Krahn AD,ManfredaJ,Tate RB,etaI.The naturaI history of atrialnhrilIation:incidence,riskf.actors,andpmgnosis in the Manitoba Follow-Up Study[J].Am J Med,1995,98(5):476-484.DOI:10.1016/S0002.9343(99)80348.9.
[6] Risk factor{;forslroke and emcacy of anlilhrombotic therapy in at“al nbrillation: analysis ofmoled data fmm five randomized conlmlled trials[J].ArchIntem Med,1994。154(13):1449·1457.D0l:lO.100l,archinle.1994.00420130036007.
[7] Flegel KM,ShipleyMJ,Rose G.Rjskof slmke in non·rheumatic atrialfibrination[J].Lancet,l(8532):526.529.DOI:lo.Iol6,sol40.6736(87)90174-7.
[8] Yang YM,ShaoXH,ZhuJ,et al.0ne-year outcomes 0femergencydepa rlmenl paIients will atrial fihrilIation:aprospective, multicenter registry in china[J].Angiology,2015,66(8):745-752.DOI:lO.1177/0003319714553936.
相关回顾






