
NEXUS是基于美国神经外科医师协会,CNS (Congress of Neurological Surgeons),由Barrow Neurological Institute的Peter Nakaji医生和克利夫兰诊所的Nicholas C. Bambakidis医生组织建立的网站(http://www.cns.org/nexus)。网站完全免费开放,无需任何注册,网站主体基于病例的收集与归类,完美适配移动设备,旨在帮助神经外科医生迅速找到类似病例,并且学习世界各地的神经外科医生如何处理该病例。同时,每一个神经外科医生都可以上传自己的病例,在全世界的神经外科医生面前展示自己的技巧。
跨前后循环支架辅助栓塞基底动脉尖未破裂动脉瘤一例
Zaid Aljuboori,博士,路易斯维尔大学神经外科 Dale Ding,博士,路易斯维尔大学神经外科
编译:
游 炜 福建医科大学第二附属医院
审校:
郑 锋 福建医科大学第二附属医院
雷 霆 首都医科大学三博脑科医院
50岁女性,诊断为基底动脉尖未破裂动脉瘤。首次诊断性脑血管造影示动脉瘤瘤体短,指向前,宽颈。患者PHASES评分5分(5年累积破裂风险为1.3%)。提供观察和干预两种方案,患者选择血管内介入治疗。动脉瘤大小6x5mm,其所在位置和特征不适合单一使用弹簧圈栓塞,会增加弹簧圈突入载瘤动脉的风险,因此选择支架辅助弹簧圈栓塞。患者血管解剖结构有利于采用跨循环技术(双侧PCA和左PCoA管径粗大)。

右侧椎动脉造影示基底动脉瘤。

三维脑血管造影示基底动脉瘤。
主要考虑以下几点:
术前双抗
术中抗凝
神经监测
穿刺部位:单侧腹股沟、双侧腹股沟、桡动脉
鞘的大小和长度
导引(支撑)导管尺寸(6fr和8fr)
需要中间导管(三轴系统)提供辅助
微导管类型
软导丝与硬导丝的选择
开环,闭环或编织支架的选择
弹簧圈的尺寸
应急方案

椎动脉造影(放大图像)示基底动脉瘤。

椎动脉侧位造影(放大图像)示基底动脉瘤。

椎动脉造影(放大图像)示一个微导管(*)从左侧ICA通过左侧PCoA,经动脉瘤颈进入左侧PCA,并终止于右侧PCA远端。第二个微导管(@)位于动脉瘤中。

椎动脉造影(放大图像)示弹簧圈位于动脉瘤内,支架横跨瘤颈支撑弹簧圈。

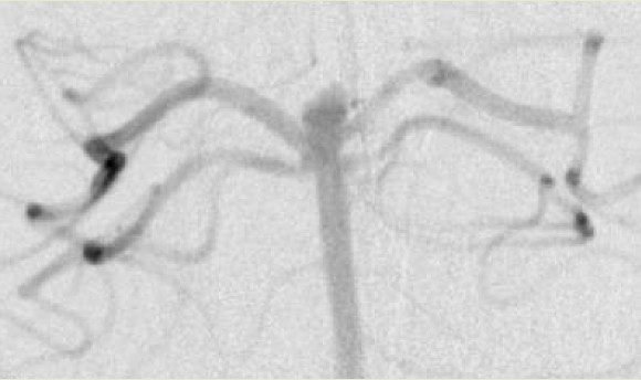
最终脑血管造影示所有分支血流通畅,动脉瘤无显影。

最终脑血管造影示所有分支血流通畅,动脉瘤无显影。
观察。
球囊辅助弹簧圈栓塞 。
血管腔内血流导向(WEB)。
开颅夹闭。
病人仰卧位,全身麻醉。
右侧腹股沟选用8Fr鞘,左侧腹股沟选用6Fr鞘。
70u / kg静推肝素,ACT目标值250-300。
6Fr导引导管置入右侧椎动脉远端V2段(优势侧)。
8Fr导引导管置入左侧ICA颈段,5Fr中间导管穿过8Fr导引导管,到达左侧颈内动脉海绵窦段。
通过6Fr导引导管进行三维脑血管造影。
从三维视角选择工作角度。
获取放大的正侧位工作角度。
微导管携微导丝穿过中间导管依次到达左侧PCoA,左侧PCA,穿过动脉瘤颈并置于右侧PCA远端。
将第二根微导管携微导丝穿过6Fr导引导管置入动脉瘤瘤体中。
将4mm×8cm的成栏圈部分释放于动脉瘤中以保护瘤顶。
释放开环支架(远端置于右侧PCA,近端置于左侧PCA)。
用弹簧圈完全填塞动脉瘤。
最后进行前后对比,确认载瘤动脉和分支的通畅性以及栓塞情况。
拔除双侧股动脉鞘,血管封堵器封闭穿刺点。
送入ICU病房观察。
术后6小时穿刺点及四肢神经血管检查。
持续双抗治疗。
患者神经功能正常,术后1天出院。
患者MRA定期随访。
由于血管路径较长且多个连续弯曲,三轴系统有助于增加经导管介入操作的稳定性。
前后循环间入路导管操作较复杂,可能增加循环间血栓栓塞并发症的风险,适当的抗血小板治疗和术中肝素滴注非常重要。
跨前后循环支架辅助弹簧圈栓塞可成功地用于治疗宽颈基底动脉尖动脉瘤和前交通动脉(ACoA)的宽颈动脉瘤,并取代“y型支架植入术”。
跨前后循环支架置入术需基于有利的解剖结构,包括双侧PCA的P1段和至少一条Pcomm动脉良好的可通过性。
J P Greving, M J H Wermer, R D Brown Jr, A Morita, S Juvela, M Yonekura, T Ishibashi, J C Torner, T Nakayama, G J E Rinkel, A Algra++Development of the PHASES score for prediction of risk of rupture of intracranial aneurysms: a pooled analysis of six prospective cohort studies.++ The Lancet Neurology 2014 January 1, 13: 59-66.
Agarwal, V., Zomorodi, A., McDougal, C., Babu, R., Back, A., & Gonzalez, L. F. (2014). Transcirculation balloon-assisted stent-supported coil embolization of a basilar tip aneurysm. Neurosurg Focus, 37(1 Suppl), 1. doi:10.3171/2014.V2.FOCUS14182
Roa, J. A., Ortega-Gutierrez, S., Martinez-Galdamez, M., Maud, A., Dabus, G., Pazour, A., …Samaniego, E. A. (2019). Transcirculation Approach for Endovascular Embolization of Intracranial Aneurysms, Arteriovenous Malformations and Dural Fistulas: A Multicenter Study. World Neurosurg. doi:10.1016/j.wneu.2019.11.078






