
专家简介

刁玉领,医学博士,副主任医师,来自于新乡医学院第一附属医院周文科教授团队,2006年参加工作至今,毕业于首都医科大学,师从我国著名神经外科专家于春江教授,博士学习期间完成了系统的颅底解剖培训,目前致力于颅底肿瘤及脑血管病的手术治疗。擅长各种复杂颅底手术及脑血管搭桥手术。发表SCI论文三篇。
我们在神经内镜下经幕下小脑上入路切除一例松果体区畸胎瘤,近年来神经内镜技术发展较快,内镜与显微镜一样,是神经外科医生手术的利器,尤其是年轻医生都应该积极学习掌握,当然也离不开老师们的带教和传承,该手术是在周文科教授和王仲伟教授的指导下完成,在此表示感谢。
神经内镜与显微镜相辅相成,各有优势,但对于某些特定区域手术,神经内镜有其独特的优势,其中就包括松果体区病变手术。松果体区病变手术入路大致分三类:经胼胝体-透明隔-穹窿间入路(可处理三脑室后部肿瘤)、枕下幕上入路(Poppen)和幕下小脑上入路(Krause)。经胼胝体-透明隔-穹窿间入路路径较长,还有出现记忆障碍的风险;枕下幕上入路要经过大脑内静脉和基底静脉之间的间隙进行操作,而且是从一侧入路,所以操作空间有限,手术难度和风险明显增加,除非是比较靠上方的肿瘤;幕下小脑上入路从中线进入,松果体区的静脉系统在术野上方,操作空间较大,手术难度和风险明显降低,大部分松果体区肿瘤都能经幕下小脑上入路得到满意的切除,但该入路的一个缺点是需要采用坐位,有气体栓塞的 风险,但引入神经内镜后完美解决了这一问题,可以采用侧俯卧头部抬高15°的体位,此外,该入路路径中没有走形的神经血管结构,故不存在“镜后盲”的问题,故神经内镜在松果体区手术中有其独特的优势。
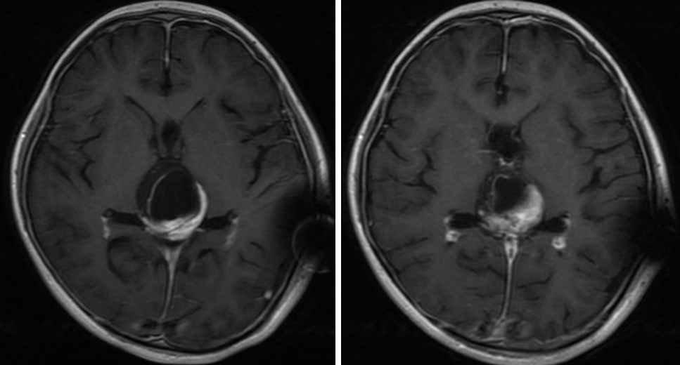
患者男性,4岁,患者因“间断恶心呕吐2月,加重伴精神萎靡1天。”为主诉急诊入院入院;查体:神志尚清,精神萎靡,眼球上视不能。外院CT提示松果体区占位,梗阻性脑积水,遂急诊行脑室腹腔分流术,术后精神状态好转,分流术后一周给予行内镜下肿瘤切除术。




采用侧俯卧头部抬高15°的体位








患者术后双眼上视不能症状较术前缓解,精神状态较好,无新发神经功能障碍,术后一周拆线后出院。
沿小脑上进入后面对的是松果体区静脉系统,进入后需将术野向下调整。 锐性联合钝性分离界面。 保留丘脑枕及脑干表面软脑膜完整是保留功能的关键。 术后降低头位,注水排出颅内气体。

【正海-妙术视界】往期回顾
第一百九十四期丨李东波教授:复合手术治疗髓周动静脉瘘1例
第一百九十三期丨杨坤副主任医师:岛叶胶质瘤的显微手术治疗
第一百九十一期丨董志强副主任医师:鞍上池蛛网膜囊肿2例病例汇报
第一百八十四期丨岑波教授:“双镜”联合切除三脑室内肿瘤
第一百八十一期丨张明山主任:听神经瘤术前合并脑脊液鼻漏的处理
第一百七十七期丨蒲军教授团队:鞍结节脑膜瘤
第一百七十四期丨周凯主任医师:神经内镜垂体瘤手术
第一百七十二期丨陆万流医师:全内镜后正中入路四脑室血肿清除术一例
第一百七十一期丨孙鹏教授:脑深部电刺激术治疗帕金森病
第一百六十九期丨蒲军教授团队:基底动脉顶端动脉瘤夹闭术
第一百六十期丨王勇教授团队:脑室探查/脑室灌洗治疗颅脑术后感染伴急性梗阻性脑积水 ——1例罕见纹带棒状杆菌颅内感染救治经验
第一百四十九期丨宁波主任:椎管内罕见毛细血管瘤切除术
第一百四十八期丨楼美清教授:内镜经鼻斜坡切除侵犯脑干的肿瘤
第一百一十九期 | 何升学副主任医师:右侧额底脑膜脑动静脉畸形
第一百一十六期 | 孙力泳副主任医师:宣武神外DIAS-“精致学手术”系列之002:枕动脉-小脑后小动脉搭桥+破裂小脑后下动脉瘤孤立术
第一百一十三期 | 梁建涛主任团队:宣武神外DIAS-“精致学手术”系列之001:颈静脉孔区神经鞘瘤切除术
第一百〇九期 | 何升学副主任:左侧大脑后动脉P1-P2交界处动脉瘤夹闭
第一百〇八期 | 张义教授团队:左侧丘脑中脑海绵状血管瘤手术
第一百〇三期 | 赵英杰博士:Masahiko Wanibuchi 前床突磨除视频及手术策略
第八十一期 | Aaron Cohen教授:颞下入路操作技巧以及颞下入路经典文献学习
第七十一期 | Couldwell教授:神经外科手术体位摆放| AANS-Operative Grand Rounds系列
第五十六期 | 屈延教授团队:CP角恶性神经鞘瘤切除手术要点
第五十五期 | Rhoton教授:颞骨解剖及相关入路--The Rhoton Collection系列解剖视频
第五十三期 | Rhoton教授:桥小脑角与第四脑室--The Rhoton Collection系列解剖视频
第四十九期 | 张亚卓教授团队:手术及解剖直播(5月18日)
第三十四期 | 周良辅院士团队:信任的力量——走进上海华山医院神经外科背后的真实故事
第二十四期 | 徐斌教授:颈内动脉分叉部巨大动脉瘤手术
第二十三期 | 朱巍、田彦龙教授:左额侧裂区巨大BAVM复合手术
第二十二期 | 王林教授:床突旁动脉瘤夹闭手术
第二十一期 | 洪涛教授团队:经鼻内镜颅咽管瘤切除术、经鼻内镜前交通动脉瘤夹闭术
第二十期 | 贺世明教授:经中颅窝入路内听道听神经瘤切除术
第十九期 | 张晓华教授团队:双镜双入路巨大鞍结节脑膜瘤切除术(附一例内镜下视神经管侵犯的鞍结节脑膜瘤切除术)
第十八期 | 刘振林教授:锁孔夹闭巨大眼动脉瘤1例(附临床特点分析)
第十七期 | 张义教授:经翼点入路颅咽管瘤切除术3例
第十六期 | 钟东教授:无牵拉(动态牵拉)显微神经外科手术治疗天幕脑膜瘤
第十五期 | 陈菊祥教授:鞍上巨大颅咽管瘤的外科治疗
第十四期 | 吴哲褒教授:下斜坡枕骨大孔脑膜瘤
第十三期 | 洪涛教授:内镜经鼻入路前循环动脉瘤夹闭术初探(附:术者答疑)
第十二期 | 佟志勇教授:颈动脉内膜切除手术&CEA转流技术手术
第十一期 | 王国良教授:内侧型蝶骨嵴脑膜瘤的显微手术策略与技巧
第十期 | 蒋晓帆教授:后纵裂入路松果体区脑膜瘤切除术
第九期 | 骆纯教授:单侧椎板间开窗术治疗髓内室管膜瘤
第八期 | 张俊廷教授:岩斜区脑膜瘤的治疗策略
第七期 | Hiroyoshi Akutsu教授:内镜下经鼻经海绵窦硬脑膜下垂体移位后床突切除术
第六期 | 朱巍教授:复杂大脑中动脉动脉瘤手术
第五期 | 于加省教授:颈内动脉巨大动脉瘤的外科治疗
第四期 | 吴劲松教授:唤醒麻醉功能区脑胶质瘤切除术(内附:唤醒状态下切除脑功能区胶质瘤手术技术指南(2014 版))
第三期 | 徐斌教授:STA-MCA搭桥结合EDMS术治疗烟雾病
第二期 | 贺世明教授:鞍结节脑膜瘤经鼻内镜切除术
第一期 | 钟平教授:左侧CPA听神经瘤切除术(附:听神经瘤的多学科协作治疗体会 精彩讲课视频)






