现病史
某患者,男,29岁,右利手,癫痫病史19年。
患者10岁首发,出现愣神,自言自语(石头剪刀布),双手重复动作(猜拳样动作),持续约1分钟。发作前有先兆(难以描述的感觉,陷入这种感觉之后有孤独凄凉感)。2-3个月后再发,此后1次/月,100%清醒期发作。
13岁后发作增多,2-3天发作1次,严重时继发双眼上翻、四肢抽搐,3-4次/月,每次2-3分钟,14岁后四肢抽搐消失,愣神每个月连续2-3个发作日,每个发作日1-2次发作。28岁至今发作形式:先兆(难以描述的感觉,之后有凄凉感)→双手重复动作→左上肢屈曲上抬,左手兰花指样后握拳,右手摸索拍打,行为异常(四处乱走),每次1分钟,1次/周。
治疗经过:14岁于北京某医院行右半球植入两个电极,未手术,拔除电极后行γ刀治疗1次。
术前服药:得理多300mgtid,苯巴比妥60mg qn。
术前评估
视频脑电图监测:
(1)背景脑电图:右颞慢波;
(2)间歇期放电为右半球棘-慢波,右颞著(图1);
(3)监测到2次癫痫临床发作,表现为先兆(凄凉感)→自动运动(手、口)→左上肢肌张力障碍→头眼右偏,(同病史中描述,考虑为惯常发作),发作期脑电图(图2)考虑起始于右半球。

图1. 头皮脑电图提示间歇期右半球棘-慢波,右颞著。

图2. 临床发作表现为自动运动,右侧半球著。

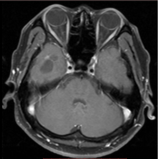
图3. 头颅MRI提示右侧颞极囊状病灶,周围异常信号。

图4. 头颅增强MRI提示右侧颞极囊状病灶周边点状增强。

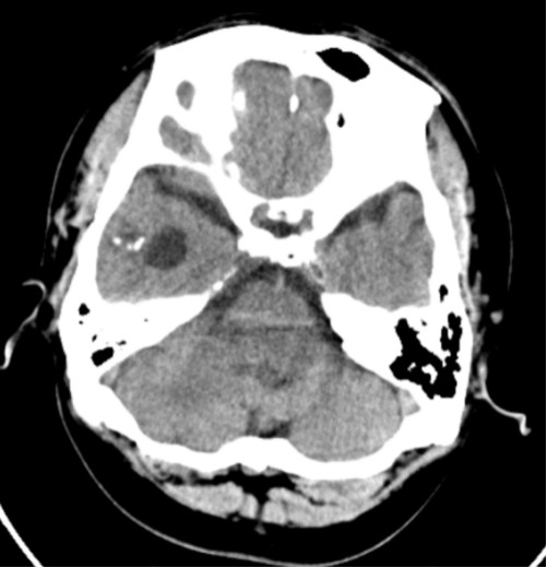
图5. 头颅CT提示右侧颞叶钙化灶。

图6. 头颅PET提示右侧颞叶(AOS前)、颞叶内侧结构、岛前,左侧颞叶内侧结构低代谢。
经过上述术前评估,结合病史,考虑右侧边缘系统为致痫病变可能,颞叶内侧结构为主,对侧海马需鉴别,需要通过立体定向脑电图确认致痫区及其范围。
SEEG植入方案
在提出工作假设基础上,根据“解剖-电-临床关联”的设计原则,确定 SEEG植入方案(图7)。

图7. SEEG 植入方案及植入计划,以右侧颞叶及颞叶内侧结构为主,涵盖岛叶前部及后眶,左侧海马杏仁核植入2根电极鉴别。
SEEG结果
(1)右侧杏仁核、海马持续性棘-慢波,并可见高频放电(图8);(2)发作期脑电图如图9所示,右侧颞叶内侧结构起始。

图8. 右侧杏仁核、海马 (电极A’1-5, H’1-4, J’1-4) 可见近持续性棘-慢波。

图9. 发作期脑电图,显示癫痫发作的起始电位源于右侧杏仁核及海马。
外科手术方案
根据对上述资料的综合评估,设计外科切除计划(图10),并实施外科手术。

图10. 癫痫外科切除计划,切除主体位于右侧颞前叶及杏仁核、海马全段、岛叶前下部。


术中照片及术后病理
术后影像

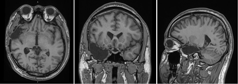
术后磁共振显示右侧颞前叶、右侧岛叶前下部、右侧杏仁核海马全段已经切除。
术后脑电图


术后脑电图复查未见癫痫放电。
预后
术后随访1年,患者未在出现癫痫临床发作,并回归正常工作和生活。
讨论
男性患者,29岁,10首发,癫痫病史19年,十年前曾在外院行右侧颅内电极置入,后因无法定位癫痫病灶,拔出电极未手术,行右侧颞区γ刀治疗一次。入院前发作形式:先兆(难以描述的感觉,之后有凄凉感)→双手重复动作→左上肢屈曲上抬,左手兰花指样后握拳,右手摸索拍打,行为异常(四处乱走),每次1分钟,1次/周。头皮脑电图癫痫放电主要集中在右侧半球,颞区著。头部CT右侧颞叶有低密度改变,周围有散在钙化,头部MRI右侧颞前叶及颞叶内侧结构有异常信号,PET-CT提示右侧颞前叶、内侧结构、岛叶有低代谢。根据术前发作临床症状学、脑电图、影像学、功能影像学结果,考虑右侧边缘系统为致痫病变可能,颞叶内侧结构为主,对侧海马需鉴别,需要通过立体定向脑电图确认致痫区及其范围。用ROSA做了右侧颞区为主的双侧颅内电极置入。颅内电极监测结果发作间期癫痫放电和发作期起源主要在右侧颞叶内侧结构(右侧海马杏仁核),结合临床症状学及影像学、功能影像及颅内电极监测的结果,我们设计了右侧颞前叶及杏仁核、海马全段、岛叶前下部的切除方案,手术过程顺利,术后随访一年无发作及先兆。该患者10年前外院做过一次颅内电极置入及伽马刀治疗,对我们影像学的阅读增加了一些干扰因素,患者术后病理为海绵状血管瘤,按照国际抗癫痫联盟2011年的癫痫病理分类应该属于FCDⅢC型,病变核心区周围的脑皮层可能有发育异常,我们没有分区域做病理检查,只有对病变的核心区域做了病理检查。该患者影像学异常主要集中在颞前叶,患者发作的临床症状学主要边缘系统(颞叶内侧结构)的发作,最后颅内电极也证实了,发作间期异常癫痫放电及发作期起源均来自于颞叶内侧结构,所以我们最后做了颞前叶及内侧结构的切除,如果单看影像学只切除颞前叶病变效果肯定不好。颅内电极在该患者治疗中,为我们验证了致痫区及决定切除范围起到了很重要的作用。





