
为了继承和发扬神经外科前辈专家开创的优良传统,鼓励青年医生积极学习交流,提高手术水平,2019年度第五届“精艺求菁-神经外科青年医师手术技能大赛”应运而生,经过了一系列区域赛的激烈角逐,总决赛于2019年11月15日在广州圆满落幕。神外资讯也将对各组获胜选手病例作品进行展示分享,以促进广大青年医师手术技术的交流与进步。
病例简介

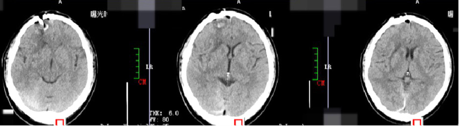
入院时情况


CTA
诊疗经过




张军医师:3D打印导航内镜下血肿清除术视频1
张军医师:3D打印导航内镜下血肿清除术视频2


术后
镇痛、镇静,控制血压--SBP 120mmHg左右。床头高30度卧位、引流管管理、气道管理等。
1小时清醒、24小时拔引流管。
吞咽功能评估、肠内营养、早期康复。

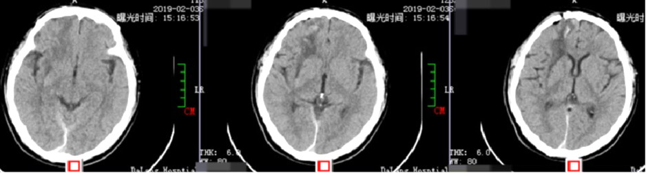
术后第一天

术后第1天

术后1周

术后2周


文献回顾




小结




