
今日与大家分享的是《正海-妙术视界》第一百八十六期,由上海交通大学附属第六人民医院神经外科田恒力教授团队带来的:以最适脑灌注压(CPP)为导向的重型颅脑创伤患者个体化治疗,欢迎观看、分享。

田恒力,医学博士,主任医师,教授,博士研究生导师。上海交通大学附属第六人民医院神经外科主任、神经外科教研室主任。现任中华医学会神经外科学分会全国委员,中华创伤学会全国委员,中国医师协会神经创伤专家委员会副主任委员,中国医师协会神经损伤培训委员会常委,上海市医师协会神经外科医师分会副会长,上海市创伤学会副主任委员,上海市颅脑创伤研究所副所长等。近年主持国家自然科学基金4项,上海市科技创新行动计划项目、上海市科委重点项目等课题研究,曾赴美国Cedars-Sinai Medical Center神经外科学习。
《中华神经外科杂志》英文版、《中华神经创伤杂志》、《上海医学》、《中国临床神经科学》、《现代外科杂志》、《Neurosicence Bulletin》等杂志编委。曾获国家科技进步三等奖一项,上海市科技进步二等奖一项,上海市科技进步三等奖一项等。已发表国内外论文100余篇。

袁方,神经外科学博士,主治医师,现就职于上海交通大学附属第六人民医院。长期从事颅脑创伤救治临床及基础研究。擅长:1.各种脑外伤、脑出血、颅内感染等神经急重症救治,开展颅内压及相关参数多模态监测及个体化治疗;2.神经内镜及立体定向微创手术治疗脑出血;3.显微治疗颅内肿瘤,脊柱脊髓肿瘤、血管畸形等病变。
2013年上海市研究生优秀成果(学位论文)奖。主持国家自然科学基金青年项目1项,上海市卫计委项目1项,上海交通大学医工交叉项目1项。发表SCI论文10余篇。
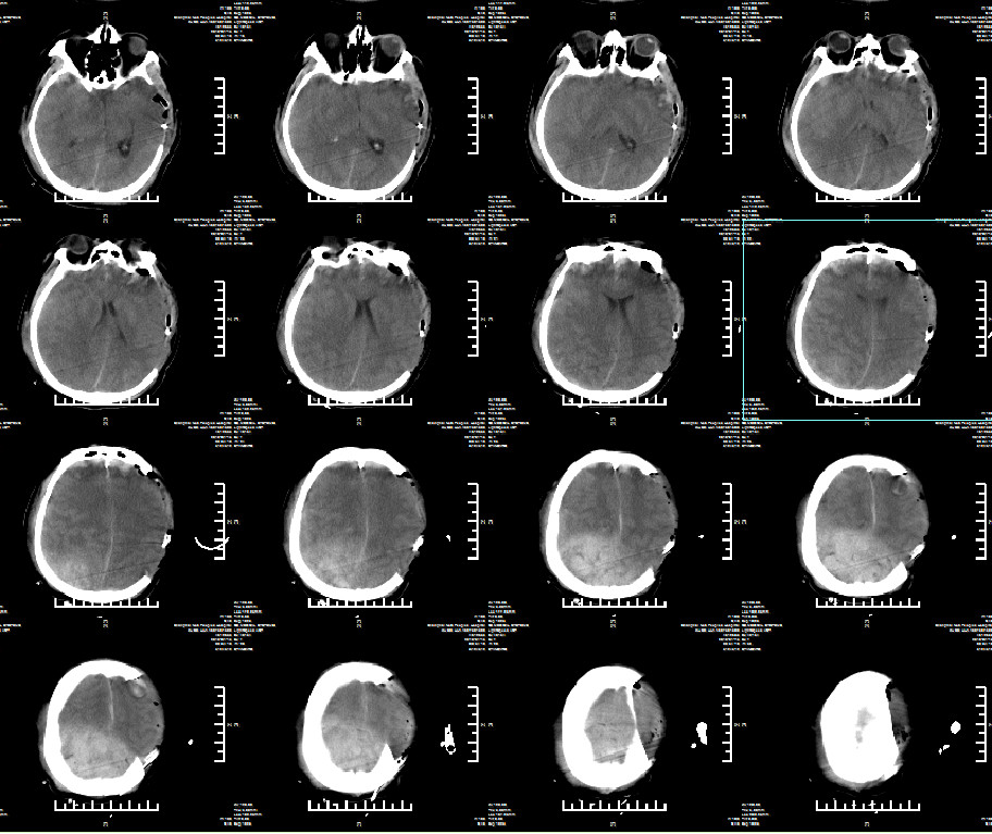
现病史:患者于入院前2小时因外伤后出现神志不清,恶心呕吐,反应迟钝,答非所问,口鼻流血,肢体无力,无肢体抽搐及寒颤高热,致本院急诊救治,头颅CT示:左额颞急性硬膜下血肿;双额颞脑挫伤;创伤性蛛网膜下腔出血;颅底骨折;颅腔积气;急诊予止血、脑保护等对症治疗措施,检查治疗期间,患者意识不清进一步加重,呼之不应,呕吐胃内容物,收入院进一步手术治疗。专科查体:昏迷, GCS 1-2-3 6分,左瞳5mm,对光反射缺失,右瞳3mm,对光反射存在,四肢痛刺激屈曲,病理征阴性。
入院诊断:双额颞脑挫伤、左额颞创伤性硬膜下血肿、创伤性蛛网膜下腔出血、颅底骨折、创伤性脑疝、左顶额骨骨折、右顶枕骨骨折。
急诊行左侧额颞顶去骨瓣减压术+血肿清除术+颅内压监护探头置入术。术后ICP6-9mmHg。

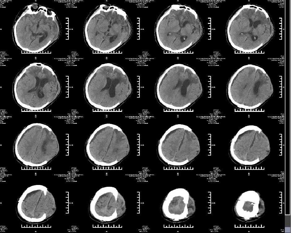
术后常规复查头颅CT(2019年1月15日9点54分):右顶硬膜外出血急诊行右顶硬膜外血肿清除术。

二次术后常规复查头颅CT(2019年1月15日16点04分)
患者心率105次/分,血压90/62mmHg,氧饱和度100%,ICP13-25mmHg。口插管呼吸机支持,SIMV,TV480ml,RR12bpm,PS10cmH₂O,PEEP5cmH₂O,FiO₂45%。2019年1月15日ICU血气检验报告:PH7.21↓,二氧化碳分压59.0mmHg ↑,氧分压127.0mmHg ↑,乳酸5.90mmol/L ↑,碳酸氢根浓度23.6,全血碱剩余-5.0mmol/L ↓。2019.1.15日血常规:Hb84g/L,红细胞比积24.3%。2019年1月15日急诊化验检验报告:凝血酶原时间15.1秒 ↑,国际标准化比率1.33 ↑,部分凝血活酶时间43.1秒 ↑,纤维蛋白原2.472g/L ,凝血酶时间14.9秒 ,抗凝血酶Ⅲ活性59.7% ↓,D二聚体4.68mg/L FEU ↑,纤维蛋白(原)降解产物15.3mg/L ↑。考虑患者失血性休克,创伤性凝血功能障碍,酸中毒;予镇痛、镇静、调整呼吸机过度通气,纠正酸中毒,输冰冻血浆400ml,冷沉淀10个单位,凝血酶原复合物,去甲肾上腺素微泵维持血压及脑灌注压,常规脑保护治疗。患者口插管呼吸机支持,SIMV,呼吸频率20次/分,PC10cmH₂O,PS10cmH₂O,PEEP5cmH₂O,吸入氧浓度40%,潮气量在480-500ml。T 36.6度,HR 101次/分,血压128/67mmHg(去甲肾上腺素0.3ug/kg/min),氧饱和度100%。ICP在20-30mmHg之间波动。查体:镇静中,两侧瞳孔等大等圆,对光反射迟钝。两肺呼吸音粗,未及明显干湿啰音。腹软,无明显肌紧张,无压痛、反跳痛。血气:PH7.41 ,二氧化碳分压41.0mmHg ,氧分压117.0mmHg ↑,乳酸3.00mmol/L ↑,白蛋白(干式)21g/L ↓,肌钙蛋白-I0.286 ↑,CKMB6.4ug/L ↑,肌红蛋白251.3ug/L ↑。血红蛋白53g/L ↓,血小板65X10^9/L ↓。给予加强镇痛、镇静;去甲肾上腺素维持血压;输悬浮红细胞、血小板及血浆,白蛋白,注射用美罗培南+万古霉素抗感染治疗。

术后第一天开始行颅内压(ICP)及相关多参数监测

第一个4小时
ICP及脑血管压力反应指数(PRx)监测第一个4小时数据显示患者PRx持续>0.25占比71.5%。提示如果不改善患者PRx,患者预后将很差。

脑灌注压(CPP)为导向的治疗方案
患者第一个4小时CPP<60mmHg占46.7%,治疗目标是先提高患者灌注压。当前患者ICP=26mmHg, 有创动脉BP128/66mmHg,CPP=79-6=53mmHg。低于60mmHg。予加强镇痛,镇静降低脑代谢并降低颅内压,输血、血浆、白蛋白补充患者血容量,去甲肾上腺素微泵滴定血压保持CPP>60mmHg。PICCO监测提示 心脏指数(CI):心脏前负荷 3.0-3.5L/(min.m²)

维持脑灌注压(CPP)治疗
通过降低颅内压,滴定血压。患者ICP=21mmHg,CPP=97-21=76mmHg第2个4小时内患者CPP>60mmHg,占96.0%。

最适脑灌注压(CPP)为导向的个体化治疗方案第二个4小时
经过维持灌注压的治疗方案,患者PRx明显改善,第二个4小时内PRX>0.25,占比降为21.2%。患者PRx与CPP相关为负线性相关。根据拟合曲线,患者良好的脑血管反应性情况下CPP为60-100mmHg。根据脑血流与脑氧解离曲线,患者CPP不需要过高,推断该患者的最适CPP为65-75mmHg之间。将患者实际CPP维持在65-75mmHg之间,避免过高的灌注压引起脑充血。

最适脑灌注压(CPP)治疗术后第二天24小时
通过将该患者CPP控制在根据第二个4小时计算出的最适CPP水平(65-75mmHg)。患者实际CPP在65-75mmHg 占比达83.1%,PRX>0.25占比24.1%。回顾分析患者术后第二天24小时监测数据,PRx与CPP呈明显的U型关系,该患者最适CPP在65-75mmHg之间。继续最适CPP治疗。

2019年2月12日患者出院头颅CT
查体:GCS评分:4-1-4=9分,双瞳孔等圆等大,直径约2.0mm,对光反射存在。病理征阴性。转康复医院继续治疗。

2019年4月18日头颅CT:行颅骨修补+VP-分流术

2019年4月30日术后头颅CT
患者半年后随访
