
卷首语
编辑:李信晓 医师
宁夏医科大学总医院
审校:李楠 副教授
空军军医大学唐都医院

1
编译 | 龚秀
2
X连锁肌张力障碍-帕金森综合征(X-linked dystonia parkinsonism,XDP)是一种神经退行性运动障碍疾病,是由TATA盒结合蛋白相关因子1(TAF1)基因区域的始祖突变引起的一种X连锁隐性遗传病,主要影响菲律宾男性。XDP以成人发病、呈局灶性或节段性肌张力障碍为特征,并在几年内发展为全身性肌张力障碍。多数情况下,在5至10年后变成对左旋多巴无反应性的帕金森综合征。尸检表明主要病理学改变是纹状体内占主导地位的中型多棘神经元减少,导致纹状体明显萎缩。XDP患者肌张力障碍严重,活动减少伴疼痛、摄食不足、体重减轻及误吸,口服抗肌张力障碍药物基本无效,而深部脑刺激(deep brain stimulation,DBS)内侧苍白球(internal globus pallidus,GPi)可作为难治性全身性和节段性分离的肌张力障碍患者的治疗选择。德国Lübeck大学神经内科、神经遗传研究所的Norbert Brüggemann等开展前瞻性研究,分析GPi-DBS治疗XDP的疗效及其预后因素,结果发表于2018年12月的《JAMA Neurology》在线上。
3
4
脑深部电刺激(deep brain stimulation,DBS)已广泛应用于帕金森病、震颤和肌张力障碍疾病的治疗,但在使用过程中可能出现疗效变差或副作用。交叉脉冲电刺激(interleaving stimulation,ILS)是一种不同于传统方式的程控模式,在同一电极上的两个触点分别设置不同的参数施行交替电刺激,适用于对常规程控效应欠佳的患者。目前,ILS在治疗运动功能障碍性疾病的研究较少,美国科罗拉多大学神经内科运动障碍中心的Drew S. Kern等回顾性分析50例接受ILS治疗的帕金森病、震颤和肌张力障碍患者的症状改善和出现不良反应的情况,结果发表于2019年1月的《Stereotact Funct Neurosurg》在线上。
5
6
神经电刺激闭环式无线调控系统可实时记录患者对神经刺激的反应,并根据需要调整电刺激的性能、强度,改善治疗神经系统疾病的疗效,减少副作用和延长无线设备中的电池寿命。最近的研究表明,这类自我适应性电刺激装置是治疗癫痫的理想选择,同时也可以用于脑深部电刺激(deep brain stimulation,DBS)治疗帕金森病和其它运动障碍性疾病。但是闭环式无线调控系统,必须克服多种难题的挑战,需要更精细的设计和复杂的仪器改造。目前报道,已发明优化闭环式神经调控系统的全集成芯片(System-On-A-Chip,SoC),但其性能和效果还没有在活体实验中得到充分的证明。美国伯克利市加利福尼亚州大学电子工程学和计算机科学研究部的Rikky Muller等采用SoC开发新型神经刺激器,可以同步采集脑电信号和刺激大脑组织,在非人灵长类动物中进行体内实验研究,结果发表于2018年12月的《Nature Biomedical Engineering》在线。
7
8
9
10
11
12
难治性抑郁症是一种自杀高风险的脑功能性疾病。既往研究发现,脑深部电刺激(DBS)可快速产生抗抑郁的疗效,其机制可能是刺激连接腹侧被盖区(VTA)投射至前额叶皮质(PFC)的内侧前脑束(medial forebrain bundle,MFB)。美国德克萨斯大学卫生科学中心麦戈文医学院神经外科的Albert J. Fenoy等研究6例难治性抑郁症患者通过DBS刺激MFB治疗的有效性。文章发表于2018年6月的《Translational Psychiatry》。
13
冲动控制障碍(impulse control disorders,ICD)是帕金森病(Parkinson's disease,PD)的一种非运动表现。脑深部电刺激丘脑底核(STN-DBS)可改善ICD。有研究报道在DBS术后可出现新发的ICD,但是对其长期随访研究较少。韩国首尔国立大学医学院的Aryun Kim等报道对STN-DBS治疗的帕金森病患者进行7年随访研究,评价患者ICD的变化。文章发表于2018年11月《Parkinsonism and Related Disorders》杂志上。
14
15
Meige综合征是一种少见的节段性肌张力障碍的神经系统疾病,可表现为眼睑痉挛和颅颈肌张力障碍等,其中,口下颌肌张力障碍最常见。Meige综合征自行缓解的几率较小,小于10%。注射肉毒杆菌毒素和口服抗胆碱能药、苯二氮卓类药和唑吡坦等,多数患者可缓解症状。药物治疗失败时可以施行苍白球深部脑刺激术(deep brain stimulation,DBS)。目前,靶向苍白球DBS治疗Meige综合征的文献仅限于病案报告和小样本研究;但是某些证据级别较高的研究证实电刺激苍白球内侧(globus pallidus internus,GPi)治疗全身性和局灶性肌张力障碍有效。日本东京女子医科大学医院神经外科的Shiro Horisawa等对GPi-DBS治疗Meige综合征患者进行长期随访,结果发表于2018年1月的《J Neurosurg》在线。
16
17

1
2
目前,对药物难治性癫痫严重影响大脑半球功能的患儿,大脑半球切除术是有效的治疗方式。由于大脑具有可塑性,在青春期前进行早期大脑半球切除术可以使存在混合性病理状况的患儿获得良好认知发育。比较患儿术前与术后的测试结果显示,认知能力可以得到提升,智商发育提高15分以上。手术切除任何一侧大脑半球,术后的言语智商(verbal IQ,VIQ)比术前有显著改善,而且明显优于操作智商(performance IQ,PIQ)。
3
全球大约有5000万癫痫患者,其中颞叶癫痫较常见,而非颞叶癫痫(extratemporal lobe epilepsy,ETLE)占30%。ETLE是指起源于颞叶以外的大脑皮质癫痫综合征。由于ETLE发作时异常放电传播十分广泛,即使能准确识别致痫灶,其边界确定仍十分困难。此外,常累及功能区,手术受到限制。因此,控制癫痫发作和保护功能区的两个主要治疗目标往往难以双全。德国弗莱堡大学医疗中心的Daniel Delev等报告383例在1997年至2015年手术治疗的ETLE患者的远期疗效并分析其影响预后的因素,结果发表于2019年1月的《Neurosurgery》杂志上。
4
Rasmussen脑炎是一种罕见的免疫性疾病,多见于儿童,病理学主要特征是一侧大脑半球萎缩并发顽固性癫痫;不能依靠药物控制,可考虑行大脑半球切除术。英国利物浦NHS基金会医院Walton中心神经外科的Mitchell T. Foster等报道1例继发于Rasmussen脑炎的难治性癫痫患儿,采取解剖性全切除病变侧大脑半球术,取得较好疗效。文章发表在2019年1月的《British Journal of Neurosurgery》在线上。
5
大脑半球切除术(hemispherectomy)和大脑半球切开术(hemispherotomy)是公认的、用于治疗由严重的单侧大脑半球病变引起的顽固性癫痫的手术方法。大脑半球切除术或切开术的目的在于从功能上隔离或切除致痫区。1928年,Dandy首次采用解剖性大脑半球切除术治疗脑胶质瘤,1938年报道将手术用于治疗难治性癫痫。1966年Oppenheimer和Griffith指出,解剖性大脑半球切除术后的并发症发生率高,如阻塞性脑积水、慢性硬膜下积液和大脑皮质表面含铁血黄素沉积等。为避免解剖性大脑半球切除术的严重并发症,有的学者认为要减少切除范围、采取切断更多的神经联络,对该手术进行技术改革;并提出功能性大脑半球切除术和功能性大脑半球切开术的概念。1990年Delalande等确定功能性大脑半球切开术的原则是隔离或切除致痫灶,保留有生机有血供的脑组织,并与对侧健康的大脑在功能上完全断离。韩国延世大学医学院江南区Severance医院神经外科的Ju-seong Kim等综述功能性大脑半球切除术的指征、手术操作及相关预后;文章发表于2018年6月的《J Epilepsy Res》上。
6
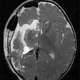
立体定向脑电扫描引导的射频热凝术(stereoelectroencephalography-guided radiofrequency thermocoagulation,SEEG-guided RF-TC)已应用于治疗海马病变引起的癫痫。颞叶癫痫(temporal lobe epilepsy,TLE)综合征患者能否可通过SEEG-guided RF-TC替代前颞叶切除术(ATL),尚未有结论。法国里昂公民医院神经外科的Alexis Moles等比较SEEG-guided RF-TC与ATL(图1)治疗颞叶癫痫的疗效,结果发表在2018年6月《Journal of Neurology》在线。
7
治疗耐药性局灶性癫痫的最有效方法是手术。近年来,大型癫痫医疗中心的手术数量正在减少,而儿童患者的手术数量呈现上升趋势,而且手术预后良好。德国玛拉医院伯特利癫痫中心的Thomas Cloppenborg等回顾性分析24年来的癫痫治疗经验,比较儿童和成人癫痫手术的差异,结果发表在2019年2月的《Epilepsia》杂志上。
8
立体定向脑电图(stereo-electroencephalography,SEEG)是通过立体定向技术置入脑内深部电极,解码致痫网络和定位致痫区(epileptogenic zone,EZ)的检测手段。应用SEEG的患者中,90%者可以定位EZ;50%-65%经SEEG定位致痫区后行手术切除的患者可以达到无癫痫发作。使用机器人可更有效的放置电极。SEEG手术相当安全,并发症发生率低于1%,但目前尚无检测SEEG并发症,尤其是发生颅内出血的标准化方法。美国克利夫兰诊所神经科学研究所癫痫中心的Robert A. McGovern等回顾性评估SEEG手术所致出血的发生率,分析不同出血类型的相关风险因素,同时提出新的SEEG发生脑出血的分级建议。结果发表于2019年2月《Epilepsia》在线。
9
低级别胶质瘤(LGG)约占原发性脑肿瘤的15%,而高达80%的LGG患者出现癫痫发作,其中40%属耐药性,并且有明显的并发症,导致生活质量下降。肿瘤相关性癫痫是神经内外科的难题,其流行病学、病理学、病理生理学、临床特征和预后不尽相同。因此,对其治疗也必须有别于单纯癫痫或单纯肿瘤的治疗。澳大利亚威斯特米德医院神经外科的J. Kim等回顾性比较癫痫手术与神经外科手术对此类患者预后的影响,结果发表在2019年1月的《Journal of Clinical Neuroscience》杂志上。
10
通过切除或断开致痫灶(epileptogenic zones,EZ)可以达到治愈癫痫的目的。但是EZ接近或涉及运动、语言功能区(eloquent cortex,EC)时具有挑战性。国际抗癫痫联盟(ILAE)诊断方法委员会和儿科癫痫外科工作组制定和发布了儿童常见癫痫的整体评估的规范性原则。但在定义EZ和EC时存在明显的主观性,尤其是受评估手段的可塑性和患儿年龄影响,很难确定“关键”功能区,EZ的完全切除难以实现。某些医疗中心采用比较保守的手术方案,倾向于多次“不完全”切除EZ,提高癫痫控制率和保护重要的神经功能。美国佛罗里达州迈阿密尼克劳斯儿童医院脑研究所的Prasanna Jayakar等开展多中心研究,探讨儿童功能区癫痫灶的手术策略,结果发表在2018年7月的《Epilepsia》在线。
11
颞叶癫痫(temporal lobe epilepsy,TLE)的局灶性发作与广泛的脑网络连接紊乱、认知功能障碍有关。最近研究表明,TLE引起的脑干连接减少影响疾病的严重程度、神经认知状况。为明确癫痫手术后脑干功能连接紊乱是否改善,美国田纳西州范德比尔特大学生物医学工程系的Hernán F. J. González等研究MRI成像的术前与术后变化,结果发表在2019年5月的《Neurosurgery》在线。
12
颅内脑电图(intracranial electroencephalography,iEEG)是精确地监测癫痫灶放电信息的技术,对指导癫痫手术有重要作用,但也存在风险和挑战。使用有创颅内电极植入脑部相应靶区可获得iEEG,鉴别癫痫发作期与发作间期的神经网络,定位致痫靶区,指导致痫灶的手术切除,同时有助于减少手术并发症。但不同的医疗中心采用的植入电极各异,有的仅使用浅表电极,有的仅用深部电极,也有联合使用浅表电极和深部电极。美国爱荷华大学医院神经外科的Yasunori Nagahama等分析联合使用颅内浅表电极和深部电极监测致痫灶和治疗癫痫手术的疗效,结果发表于2018年5月的《J Neurosurg》在线上。
13
过去十年,根据立体定向脑电图(stereo-electroencephalography,SEEG)诊断和治疗岛叶癫痫引起广泛关注。岛叶位于侧裂深部,由额叶、颞叶和顶叶覆盖并有密集的血管网络分布,将SEEG电极植入岛叶,给患者造成一定的风险。SEEG电极植入后进行射频热凝毁损病灶治疗(radiofrequency thermocoagulation,RFTC),可以精准的定位病灶和损毁深部致痫灶,切断癫痫网络,是治疗耐药性癫痫的一种选择。该方法有一定的精准度,但只有41%的患者发作减少50%以上,仅11%患者达到无发作。英国伦敦大学皇家医院的Nandini Mullatti等研究RFTC技术治疗难治性岛叶癫痫预后的相关因素,结果发表于2019年8月的《Epilepsia》杂志上。

1
脑干的手术入路选择对脑干病变的治疗效果至关重要。通过高分辨率MRI弥散张量纤维束成像(diffusion tensor tractography,DTT)可充分了解脑干的内部解剖结构,从而指导设计手术决策。美国威斯康星大学神经外科的Debraj Mukherjee等依据MRI-DTT确定脑干安全进入区(brainstem safety entry zone,BSEZ),以及分析可能出现的并发症。文章发表于2018年8月的《Neurosurgical Review》在线上。
2
大脑中存在“奖赏和惩罚”系统,分别促进和抑制人们的行为,而奖赏系统的核心由腹侧纹状体环路内的伏隔核(nucleus accumbens,NAc)和腹侧苍白球(ventral pallidum,VP)组成,接收来自海马、前额叶皮质和杏仁核等边缘系统的信号输入,是奖赏系统和运动输出之间的关键接口。既往研究认为,在这个环路中VP的主要作用是传递来自NAc的与奖赏相关信息。但VP内与奖赏相关的神经电生理活动是如何由NAc激发的机制尚不清楚。最近有研究发现,在同一行为任务刺激时,VP在NAc之前出现神经生理电活动,因此两者在奖赏环路中的作用更值得进一步研究。美国巴尔的摩约翰·霍普金斯大学神经学科部的David Ottenheimer等监测大鼠VP和NAc在执行多个奖赏任务时的电生理活动,探讨跨越腹侧纹状体系统长达数秒的行为反应期内奖赏信息流的转换,其结果发表于2018年10月的《Nature Communications》上。
3
通过多种技术研究显示,岛叶皮质与杏仁核复合体之间的功能联系表现良好,但杏仁核复合体与岛叶之间精确的解剖联络仍不清楚。Klingler(1960年)简要地描述“杏仁核岛叶束(fasciculus amygdaloinsularis)”的概念,指连接岛叶与杏仁核的白质束可能存在,但文献中没有描述其解剖结构。比利时鲁汶大学医学中心的Tom Theys等采用Klingler的纤维束解剖技术,对 14例尸检脑标本,在固定和冷冻后,逐步进行解剖,试图阐明连接岛叶皮质和颞叶内侧的通路。结果发表于2019年2月《J Neurosurg》在线。
4
过去把脑干看作为中枢神经系统的手术禁区。随着显微外科技术的发展,脑干区手术成为可能。为安全开展脑干区手术,神经外科医生必须熟悉脑干的显微解剖,以选择无重要神经结构和血管的安全部位。美国巴洛神经病学研究所神经外科的Daniel Dutra Cavalcanti等分析经颞下(subtemporal,ST)入路、经旁正中天幕下小脑上(supracerebellar infratentorial,SCIT)入路和极外侧天幕下小脑上(supracerebellar infratentorial,SCIT)入路,暴露中脑外侧沟(lateral mesencephalic sulcus,LMS)的可行性比较,结果发表于2019年4月的《J Neurosurg》在线上。
5
大脑中央核心区(cerebral central core,CCC)是位于外侧裂池与第三脑室内侧之间的区域,包括岛叶皮质、最外囊、屏状核、外囊、豆状核、内囊、尾状核和丘脑。位于岛叶周围和侧脑室沟之间、周围由长短不同的连合纤维和投射纤维包绕的白质结构称为大脑峡部,它将大脑中央核心区与大脑半球的其余部分连接起来,同时也将侧裂池与脑室系统解剖性分隔;其作为大脑的局部中心,整合各种类型的感觉、运动、认知和情感信息。大脑中央核心区有不同的分区,包括脑深部重要结构及毗邻的脑池与脑室,在神经外科手术中均具有重要的意义。阿根廷圣费尔南多医院神经外科的Matias Baldoncini等通过尸头研究,对大脑中央核心区的皮质和皮质下结构进行显微解剖,观察血管和神经纤维束的走行,并提出多种不同的神经外科入路。结果发表于2019年5月《World Neurosurgery》在线上。
6
顶-枕动脉(parieto-occipital artery,PoA)为大脑后动脉(posterior cerebral artery,PCA)的终末支,常走行于楔叶和楔前叶内侧的顶枕沟(parietooccipital sulcus,Pos)内。PoA的起源与PCA的分段方式有关。以往的研究重点是PoA起源、分支形式及临床意义,对吻合支尚未系统研究。希腊福音医院神经外科的Theodosis Kalamatianos等通过研究PoA的起源、分支及其吻合支变化,评估PoA与特定解剖标志的关系,为手术入路和处理病变提供帮助。其结果发表于2019年3月的《World Neurosurgery》在线上。









































