德国格赖夫斯瓦尔德大学医学院神经外科的Steffen Fleck等报告神经外科治疗神经母细胞瘤脑转移的体会,发表在2019年10月的《Journal of Neurosurgery-Pediatrics 》在线。
——摘自文章章节
【Ref: Fleck S, et al. J Neurosurg Pediatr. 2019 Oct 11:1-6. doi: 10.3171/2019.7.PEDS19143. [Epub ahead of print]】
研究背景
神经母细胞瘤是儿童最常见的颅外恶性肿瘤之一,根据国际神经母细胞瘤分期系统(International Neuroblastoma Staging System,INSS),发生远处转移为第4期,预后较差。神经母细胞瘤患者常发生骨转移,包括颅骨转移。然而,脑内转移,如脑实质、软脑膜或脑脊液转移比较罕见,相关手术和预后也鲜见报道。德国格赖夫斯瓦尔德大学医学院神经外科的Steffen Fleck等报告神经外科治疗神经母细胞瘤脑转移的体会,发表在2019年10月的《Journal of Neurosurgery-Pediatrics 》在线。
研究方法
研究者回顾性分析2009年至2017年间在该医学中心治疗的神经母细胞瘤脑转移、行开颅手术患儿的临床记录和影像学检查资料;重点为手术适应证和术后疗效。
研究结果
纳入的237例患儿中,94例女性,143例男性;平均年龄39个月;均诊断为神经母细胞瘤并行相关治疗。其中,5例(2.1%)患儿因脑内转移,接受开颅手术(图1、2)。颅内转移平均发生于首次诊断后的46个月,属神经母细胞瘤第4期。手术指征为颅外肿瘤治疗后出现颅内转移、或开颅治疗后颅内病灶进展伴神经功能障碍。术中发现,肿瘤与周围组织界限尚清晰,但也有浸润邻近组织。术后总生存期平均22个月。另有3例患儿发生颅内肿瘤脑外转移,同样接受手术治疗。

图1. 7岁女性,因癫痫发作行MRI检查,发现左侧颞叶两个病灶(箭头所示)。

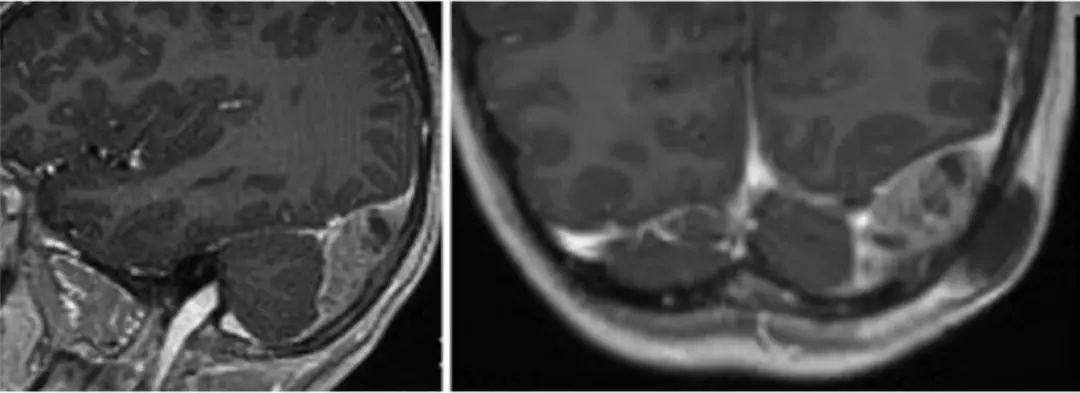
图2. 14岁女性,术前MRI矢状位(左)和轴位(右)成像示左枕部肿瘤。
结论
作者指出,神经母细胞瘤脑内转移较为罕见,手术适应证包括出现神经系统功能障碍或转移性肿瘤复发。神经母细胞瘤脑转移意味着疾病进展,预后差。





