今天为大家分享的是,由复旦大学附属华山医院神经内科赵桂宪博士带来的脑白质病变系列——放射性脑损伤,欢迎阅读、分享!
前言
在前期“脱髓鞘”系列之二:疾病篇中曾经介绍过脱髓鞘病变,需要和放射性脑损伤相鉴别。在门诊也遇到过几例放疗相关的脑白质病变的患者,近期收治2例额叶胶质瘤术后、放化疗后大面积脑白质病变的患者,通过磁共振发现2例患者均有脑梗塞病灶,1例因多发梗塞,尤其是胼胝体梗死出现肢体无力,给予抗血小板、神经保护等治疗后肌力明显好转,另一例出现肿瘤对侧基底节区小的梗塞,最终2例患者的大面积脑白质病变考虑为放射性脑损伤。记得2年前有个鼻咽癌放疗后出现偏侧肢体无力的患者,当时也是看到脑干上极小的DWI高信号,患者在当地予活血、神经保护治疗后症状有好转。因此,特别去复习、学习了放射性脑损伤,分享给大家。
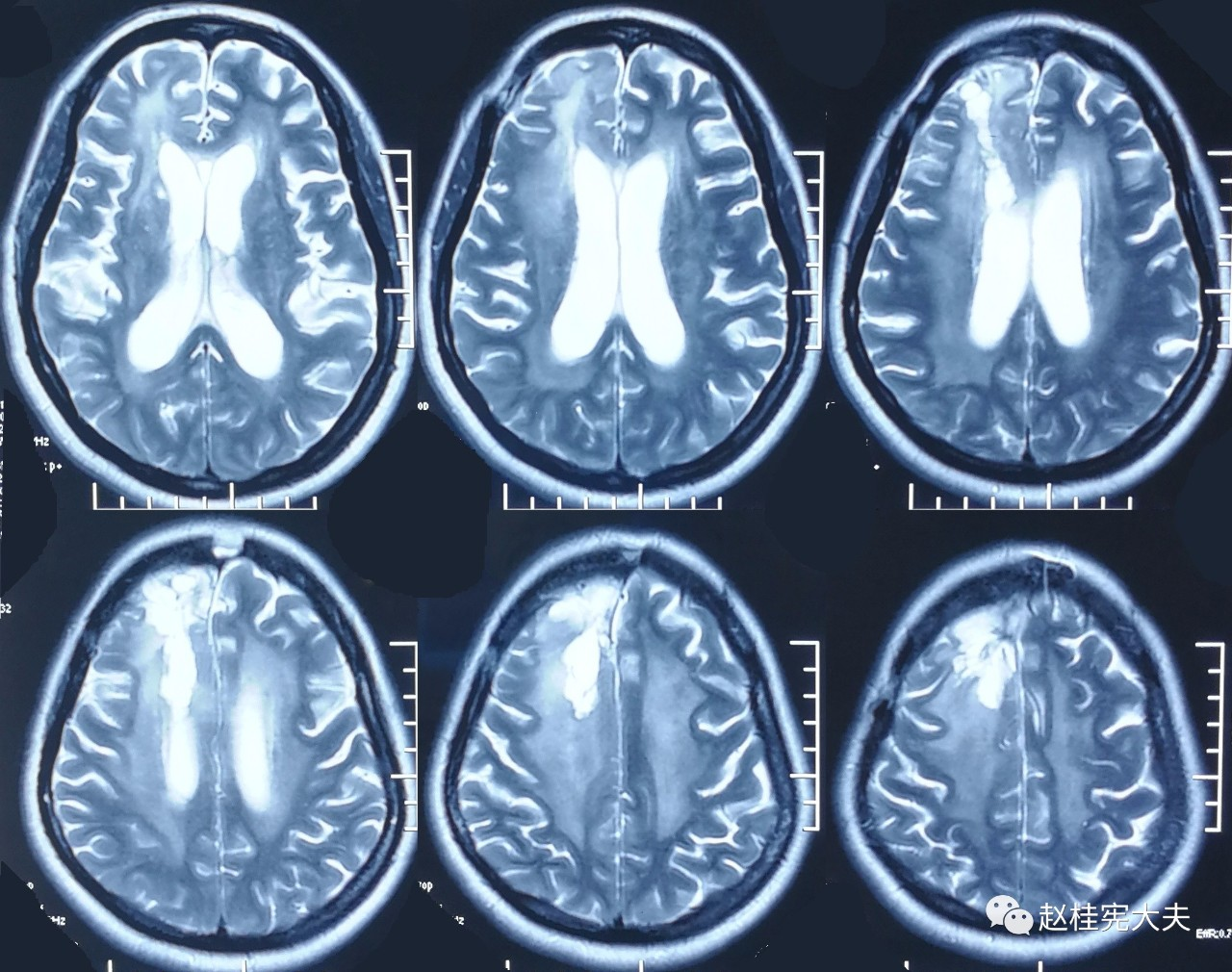
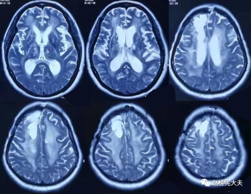
为了更直观,我们先看看其中1例患者的脑白质病变影像学的改变吧:

2017.10



可以看到,随着时间的延长,脑白质的T2异常信号范围不断扩大,并且出现了脑室扩大,脑萎缩。
下面就一起来了解一下放射性脑损伤吧:
在脑肿瘤(原发或转移)的治疗过程中,除了手术和化疗,立体定向放射治疗(SRT)和全脑放疗(WBRT)起着越来越重要的作用。在过去的十年里,立体定向放射治疗已经成为对预后条件较好的脑转移瘤数目有限的(<4处)患者进行局部治疗的最常用治疗方式。与神经外科手术相比,立体定向放射治疗局部的高剂量照射能够治疗难以手术的部位和多发病变,有微创性且神经认知功能下降副作用发生率较低的优点。然而,立体定向放射治疗后,可能会出现放射性脑损伤。不管既往是否接受过手术切除,临床报告的放射性脑损伤的发生率约为10%,而无症状的放射性脑损伤的发生率可高达25-30%。
放射性脑损伤的累积发生率在立体定向放射治疗SRT后随时间增加而增加。主要的相关因素包括脑肿瘤大小、再次照射和较高的总放射治疗剂量,其它的因素如脑肿瘤的位置和深度、放疗参数(单次分割照射剂量高、正常脑实质受照射体积,一般指受照≧12Gy的脑的总的体积剂量),并同时使用全身系统性治疗(如免疫检查点抑制剂)等。分割治疗(即,以增加放射治疗的分割次数),或基于脑肿瘤体积使用公式计算最佳个体立体定向放射治疗剂量可能减少或避免出现放射性脑损伤。放射性脑损伤通常发生在治疗后6个月至数年,高峰期为放疗后1-3年。
依据各种不同症状的发生时间,放射性脑损伤可分为三期:急性期、早期迟发反应期(早迟发期)和晚期迟发反应期(晚迟发期)。
1.急性期:放疗开始后数天或数周发生,表现为精神状态和神志的改变,包括头痛、恶心、呕吐、颅内高压和意识障碍等。一般认为是可逆的。
2.早迟发期:放疗后1~6月发生,可出现一过性脱髓鞘。患者可表现为兴奋性提高、食欲不振、头晕、嗜睡、学习记忆力减退、易怒和乏力等症状,甚至出现肿瘤相关症状和体征的加剧。上述症状和体征多是可恢复的。
3.晚迟发期:此期为不可逆损伤。在放疗后半年至数年出现,造成明显的毛细血管内皮细胞和少突胶质细胞损伤;病变较重甚至是致命的,包括脑萎缩、脑白质病、坏死、内分泌功能障碍、认知能力降低和痴呆。局限性放射性坏死表现为运动、感觉、语言、接受能力的改变,癫痫和颅压升高等。弥漫性白质损伤表现为从轻微倦怠到记忆力减退,性格改变,共济失调,最终导致痴呆或死亡。
简单一点,可以看下面这张表格:

放射性脑损伤的病理生理学至今仍难以把握,已经提出过几种假设。机制包括血管损伤,免疫介导机制和放射线直接损伤脑组织。血管损伤的特点是通透性增加和血脑屏障(BBB)的破坏。高剂量局灶放射治疗诱导内皮细胞缺乏,通过酸性神经鞘磷脂酶依赖性凋亡导致血管源性水肿和缺血。组织缺血和血管源性水肿会引起缺氧,导致活性氧自由基的产生,影响许多细胞功能,引起缺氧诱导因子(hypoxia inducible factor,HIF-1α)增加(获2019年诺贝尔生物医学奖——刚刚!2019诺贝尔生理学或医学奖揭晓!)。HIF-1α随后提高由星形胶质细胞和内皮细胞分泌的血管内皮细胞生长因子(VEGF)。外科手术标本的免疫组织化学检测显示放射性损伤的脑组织活性星形胶质细胞的VEGF水平升高。VEGF增加血管通透性会加剧脑水肿。表明VEGF在放射性脑损伤及其发展和进展中起关键作用,VEGF得到抑制可以降低血管通透性、减轻脑水肿。
免疫系统和坏死周围的炎性反应也与放射性脑损伤形成有关。免疫细胞的局部浸润会使放射性脑损伤加剧。研究发现人的放射性脑损伤标本中,星形胶质细胞表达趋化因子CXCL12可能吸引CXCR4表达,免疫细胞到坏死周围区域,然后再加重局部缺氧。免疫检查点抑制剂(获2018年诺贝尔生物医学奖——最新获诺贝尔奖的“免疫检查点抑制癌症疗法”原理浅析)具有免疫刺激作用,它们可能会加剧先前存在的炎性反应,从而导致放射性脑损伤。
放射线直接损伤脑组织,辐射所致的脑组织损伤主要是神经胶质细胞,可导致脑白质内髓磷脂形成的紊乱、髓磷脂疏松和反应性胶质增生,甚至出现凝固性坏死和白质空腔形成。
以上几种机制并非相互独立,而是多因素共同作用。
迟发性放射性脑损伤为不可逆改变,常可导致严重后果,放射性脑坏死是放射性脑损伤最严重的形式。因此,早期诊断及治疗可以避免放射性脑损伤的严重后果。
放射性脑损伤的诊断极具挑战性,常规影像常难以区分放射性脑损伤和脑肿瘤的复发。
放射影像学改变(I级,约50%)与有症状的放射性脑损伤(II-IV级)应予区分。有症状的放射性脑损伤可能需要进行干预,而对放射影像学改变只需要进行简单的定期随访就可以了。是否出现症状取决于病灶的位置是否在功能区或间接造成神经损伤,通常明显出现局灶性神经体征和症状与脑水肿相关。
放射性脑损伤的放射影像学表现出现时间与放射治疗剂量和早期使用贝伐单抗等有关。
在大多数情况下,MRI可见对比增强的肿块病变伴有坏死和毗邻最初的脑转移瘤部位出现反应性脑水肿。“T1 /T2不匹配”(在与T1对比增强的残留病灶对比时,T2序列可见较大肿块病变,)可能倾向于放射性脑损伤。动态灌注PWI、DWI和MRS可用于鉴别放射性脑损伤和局部复发。动态磁敏感对比增强灌注加权成像显示低的过度灌注,可提示无肿瘤复发,与放射性脑损伤相关。DWI信号降低,ADC增加反映肿瘤控制。MRS显示低脂质峰或高胆碱-肌酸比和高胆碱-N-乙酰天冬氨酸(NAA)比提示肿瘤复发。PET-CT中的FDG是最常用的示踪剂,但特异性较低,FET对放射性脑损伤和肿瘤的鉴别诊断价值有限。总之,单纯通过影像学诊断放射性脑损伤是极度困难的。
组织学确诊是区分放射性脑损伤和局部复发金标准。局部复发一般比放射性脑损伤更早出现。由于病变的异质性和多样性,放射性脑损伤中混杂有放射后残留的肿瘤细胞,其生存能力无法确定,标本检测中可能会忽略,脑标本的组织病理学解释也可能面临着挑战。
类固醇激素的使用可能有助于鉴别诊断和治疗放射性脑损伤。
放射性脑损伤通常可以在不使用干预措施的情况下进行保守治疗。对有症状的患者,中等剂量的糖皮质激素通过减少脑水肿可引起症状迅速改善,皮质类固醇随后也可以逐渐减量。放射性脑损伤的治疗中还包含VEGF抑制剂或激光间质热消融疗法(LITT)。
VEGF抑制剂的代表就是贝伐珠单抗(Bevacizumab,商品名Avastin),是一种重组的人类单克隆IgG1抗体,通过抑制人类血管内皮生长因子的生物学活性而起作用。贝伐单抗在肿瘤复发和放射性脑损伤的治疗中应用较多,局部复发和放射性脑损伤是相互联系的,贝伐单抗对放射性脑损伤和肿瘤都有作用,治疗剂量存在差别,贝伐单抗停药后症状可能出现恶化,其中特别要关注放射性脑损伤的发展,即所谓的放射性脑损伤复发。
特别需要强调的是使用免疫检查点抑制剂可能出现假性进展,假性进展很难与放射性脑损伤或脑肿瘤本身的进展相鉴别。
激光间质热消融疗法(LITT)是一种侵袭性的干预措施,通过立体定向引导的微创消融技术通过生成高温术,导致组织凝固坏死,血管新生根除和细胞凋亡。应用MRI引导的激光间质热消融疗法可以控制准确的针对治疗,并让周围的正常组织得到保护。这项技术的优点是治疗前可以先进行活检以确认放射性脑损伤的诊断。这个本人没见过,也就不再多说了。
对于不能耐受以上治疗的患者就需要靠手术治疗,切除病灶、改善症状的同时可以明确诊断。
其它辅助治疗包括药物治疗:自由基清除剂、脱水药物、神经保护剂及脑细胞活化剂、抗凝剂、扩血管药物等。还有高压氧治疗,高压氧治疗可提高组织细胞氧分压,提高血管内皮生长因子和其他生长因子表达水平,降低血管通透性,激发血管修复机制;还可减轻放疗引起的瘤体周围的正常组织坏死,尤其适用于急性放射性脑损伤患者。
迟发性放射性脑损伤一旦发生,多为不可逆性损害,临床治疗效果欠佳。因此,临床应以预防为主,高度警惕本病的发生,严格掌握放射治疗的适应证,合理地制定治疗方案及照射野。
文末,不禁感叹,以前是隔行如隔山,现在是隔专业如隔山,对于不擅长的领域,不敢轻易写,多学科诊疗模式(简称MDT)是个非常好的可以一站式解决复杂疾病病人问题的非常好的方式!
致谢:特别感谢华山医院神经外科射波刀中心的王恩敏教授、王鑫教授的指正!

赵桂宪,临床医学博士,2000年本科毕业于西安交通大学临床医学院。2008年博士毕业于福建医科大学,2008年至今在复旦大学附属华山医院神经内科工作,长期工作于临床一线,擅长“中枢神经系统多发病变的诊断和鉴别诊断”,专长多发性硬化、视神经脊髓炎、中枢神经系统脱髓鞘病变的等中枢神经系统免疫性疾病,同时进行多发性硬化(MS)的临床及科学研究,对周围神经病和神经遗传变性病也有一些自己的体会。




