巴西圣保罗联邦大学神经外科Marcos Devanir Silva da Costa等通过解剖2例尸头,结合临床病例阐述该入路的可行性,发表于2019年5月的《World Neurosurgery》在线。
——摘自文章章节
【Ref: da Costa MDS, et al. World Neurosurg. 2019 Aug;128:354-359. doi: 10.1016/j.wneu.2019.05.074. Epub 2019 May 17.】
研究背景
额颞开颅或翼点开颅是处理颅底前外侧病变的经典和实用的手术入路。应用显微镜、内镜、照明设施和导航技术等促进手术入路的革新,创立锁孔开颅术。改良眉弓切口扩大眶上入路是一种新型的微创额颞或者翼点开颅手术;在面神经额支监测下切口进一步向外延伸,为显微镜下或内镜下或二者联合时提供处理前中颅窝底病变的途径。巴西圣保罗联邦大学神经外科Marcos Devanir Silva da Costa等通过解剖2例尸头,结合临床病例阐述该入路的可行性,发表于2019年5月的《World Neurosurgery》在线。
研究方法
以下根据尸头解剖图片说明该手术入路的过程(图1)。

图1. a.在尸头左侧眉弓画皮肤切口,摸及眶上切迹并标记之。切口可在皮肤皱纹内向外延伸约1.5cm。b.在骨膜下分离软组织,用鱼钩牵开;切开颞肌,暴露肌筋膜蒂以便术后缝合和固定肌肉;*锁孔为磨骨孔的位置;FZS,额颧缝;SON,眶上神经血管束;T,颞肌;T(cuff),颞肌筋膜蒂。c.通过锁孔分离硬膜。d.扩大颅骨钻孔,进一步磨除蝶骨小翼直到显露眶脑膜韧带和血管。FD,额叶硬膜;MOA,眶脑膜动脉;SWO,眼眶顶壁;TD,颞叶硬膜。
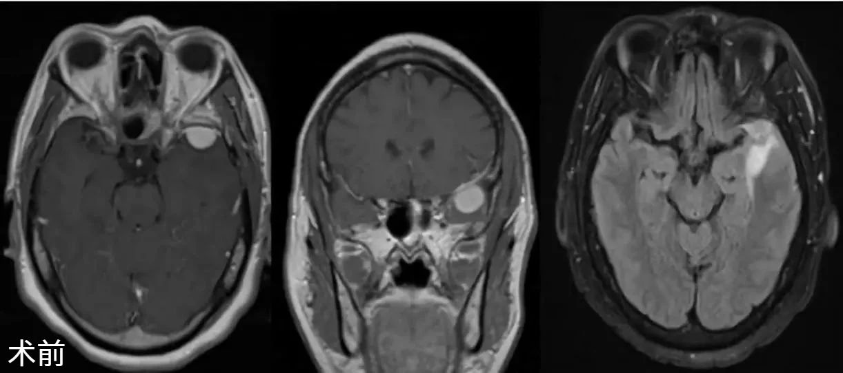
1例以癫痫起病的56岁男性患者,MRI提示左蝶骨嵴内侧1/3脑膜瘤。采用改良眉弓切口扩大眶上入路,Simpson II级切除肿瘤。创伤小,兼具较好的美容效果(图2、3、4)。

图2. a.显微镜下眶上外侧开颅后术野;打开颈内动脉视神经池释放脑脊液减轻脑牵拉。b.进入侧裂区,显露深部结构、对侧视神经和大脑前动脉。c.抬起部分中颅底硬膜显露中颅底外侧结构。d.内镜下视野。


图3. MRI显示蝶骨嵴内侧脑膜瘤,术前、术后成像。

图4. 术后面部伤口愈合情况。
结论
作者认为,改良眉弓切口的扩大眶上入路适用于显微镜下或内镜下或者两者联合处理前中颅窝底病变;进一步扩大切口时,应在面神经监测下进行。






