
今天为大家分享的是《贝朗时间》第七十三期,由河北医科大学第三医院神经外科张品元副教授带来的:切开动脉取栓治疗大脑中动脉瘤载瘤动脉急性闭塞1例,欢迎阅读、分享!

张品元,主任医师,副教授,外科学硕士,硕士研究生导师。法国巴黎大学Beaujon医院访问学者,师从于国际著名神经介入放射学三位鼻祖之一的Pr .MORET 教授。
行政及学会任职:河北医科大学第三医院神经外科(脑血管病区)主任,国家卫生计生委脑卒中防治专家委员会外科委员,中华医学会河北省神经外科分会委员,中华医学会河北省神经外科分会神经介入学组副组长,中国医师协会河北省神经外科分会委员。
业务能力:
自2003年始从事神经外科脑血管病专业临床工作,擅长出血及缺血性脑血管病的神经介入及显微外科综合治疗。已开展相关业务16年,熟练掌握和应用脑血管疾病治疗的核心技术。
十四年来完累计完成全脑血管造影术、脊髓造影术、脑动脉瘤栓塞术、脑血管畸形栓塞术、硬脑膜动静瘘栓塞术、颈内动脉-海绵窦瘘栓塞术、急性脑梗塞取栓术、颅内动脉狭窄球囊扩张及支架植入术、静脉窦溶栓取栓术、椎动脉再通术、基底动脉再通术、大脑中动脉再通术、颈内动脉再通术、锁骨下动脉再通术等相关手术例数超过4700例。
其中,急性脑梗塞的“超选动脉动脉内取拴术”这项技术是目前最前沿的缺血性卒中治疗核心技术,本团队在河北省最早独立开展该项技术,手术病种最全。
科研及论文:完成及在研国家卫健委、科技厅、卫生厅、省政府支撑项目等相关课题8项,发表论文18篇,其中SCI 2篇,出版著作3部。


入院CT
急诊行DSA发现:右侧大脑中动脉M1分叉部动脉瘤,瘤体大小:4.6*2.4mm,瘤颈宽约1.8mm,中动脉分叉下干成锐角自瘤体颈部发出。右侧大脑前动脉A1段动脉瘤,瘤体大小:3.0*2.5mm,瘤颈宽约1.5mm。

结合CT影像,考虑为中动脉动脉瘤破裂。但大脑前动脉瘤瘤体不规则,破裂风险也较高。
拟行治疗方案:1. 开颅夹闭治疗;2. 介入栓塞治疗。向家属中性交代治疗方案后,经商议后决定行栓塞治疗。为保留中动脉下干,大脑中动脉M1分叉动脉瘤行姑息性栓塞,保留瘤颈,二期植入支架;大脑前动脉动脉瘤进行常规栓塞。

大脑中动脉瘤栓塞后即刻影像
栓塞6min及10min后再次造影,大脑中动脉下干前向血流仍然存在。

栓塞大脑中动脉瘤后6min造影

栓塞大脑中动脉瘤后10min造影
这是栓塞完大脑前动脉瘤之后的造影。在栓塞完大脑前动脉瘤的时候,我们手推造影剂发现中动脉下干前向血流消失,为防止中动脉下干急性闭塞,拟行支架植入术,但由于下干与中动脉主干呈锐角,超选失败。但在超选过程中发现微导管顶住瘤颈部弹簧圈后,下干前向血流恢复。

在撤掉微导管后,换角度进行造影,显示大脑中动脉下干闭塞。
造影显示大脑中动脉下干闭塞(栓塞大脑中动脉瘤后63min)
对比栓塞前及栓塞后进行的同角度造影,显示中动脉下干闭塞。后循环造影显示未见代偿。


此时面对的情况是,该患者为上干优势型大脑中动脉,中动脉下干发出颞极动脉,颞前、中、后动脉,后循环未见代偿,该病人下干急性闭塞会导致颞叶梗塞,进而影响听觉,嗅觉,记忆,情绪,精神活动,偏瘫等一系列并发症,且梗塞后导致脑肿胀,叠加侧裂血肿会引起的严重的占位效应,诱发脑疝的可能性大增。综合评判,决定立即行开颅取出弹簧圈,动脉瘤夹闭、侧裂血肿清除术。
分离侧裂后暴露大脑中动脉全程,充分显露动脉瘤瘤颈、中动脉M1段、上干、下干,术中发现中动脉下干无搏动,管壁张力不足。

在分离瘤颈的过程中,发现瘤颈菲薄,为了防止瘤颈撕裂,造成无法夹闭动脉的情况,术中进行瘤顶切开,分次取出弹簧圈。在取出两枚弹簧圈后,第三枚弹簧圈位置接近瘤颈处,所以再次将切口扩大,取出最后一枚弹簧圈。

第一次夹闭动脉瘤后,经反复确认,毗邻动脉得以保留,但动脉瘤瘤颈有少量残余,撤掉临时阻断夹后,可见瘤体少量的渗血,经电灼后出血止住。考虑瘤颈夹闭不全,故再次临时阻断,进行动脉瘤夹调整并成功实施,操作结束后观察瘤颈夹闭完全,毗邻动脉正常保留,但撤掉临时阻断夹后,中动脉下干血流仍未恢复,管腔无搏动,管腔张力不足。



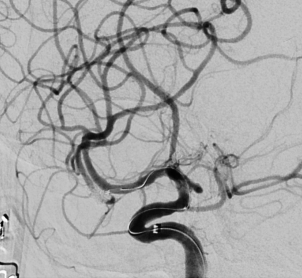
术后再次进行造影,此时显示动脉瘤瘤颈夹闭完全,大脑中动脉下干管腔无狭窄,前向血流满意。
术后造影
在术后给予患者给予抗血管痉挛、抗癫痫、脱水降颅压等药物治疗。术后第一天复查头颅CT,显示环池受压有改善,脑沟消失,侧裂仍有血肿,较术前减少(为减少侧裂血管骚扰,侧裂血肿的清除没有追求彻底的影像学完美)。术后行腰大池引流术引流血性脑脊液。






