
今天为大家分享的是《贝朗时间》第七十一期,由中国医科大学附属盛京医院神经外科杨涌杰副教授带来的:脑室-囊肿造瘘-三脑室底造瘘术(VCC),欢迎阅读、分享!
![]()
杨涌杰,中国医科大学附属盛京医院神经外科副教授,副主任医师,医学博士。从事神经外科27年。擅长颅内椎管内肿瘤切除、颅内动脉瘤夹闭、脑血管畸形切除、重症颅脑外伤抢救。尤其在应用神经内镜微创手术治疗方面,有着丰富经验。较早开展了内镜下脑出血的微创手术,内镜下脑积水的三脑室底造瘘,颅内蛛网膜囊肿的内镜下造瘘,经鼻蝶的内镜下垂体瘤、颅咽管瘤切除,导航辅助内镜下丘脑肿瘤切除,脑脊液鼻漏的内镜下修补等微创手术。
患儿,女,6岁,以“无热抽搐2次”为主诉入院。
神经科查体:一般状态差,意识模糊,Glasgow评分7分,肌张力增高,余神经科查体无明显异常。
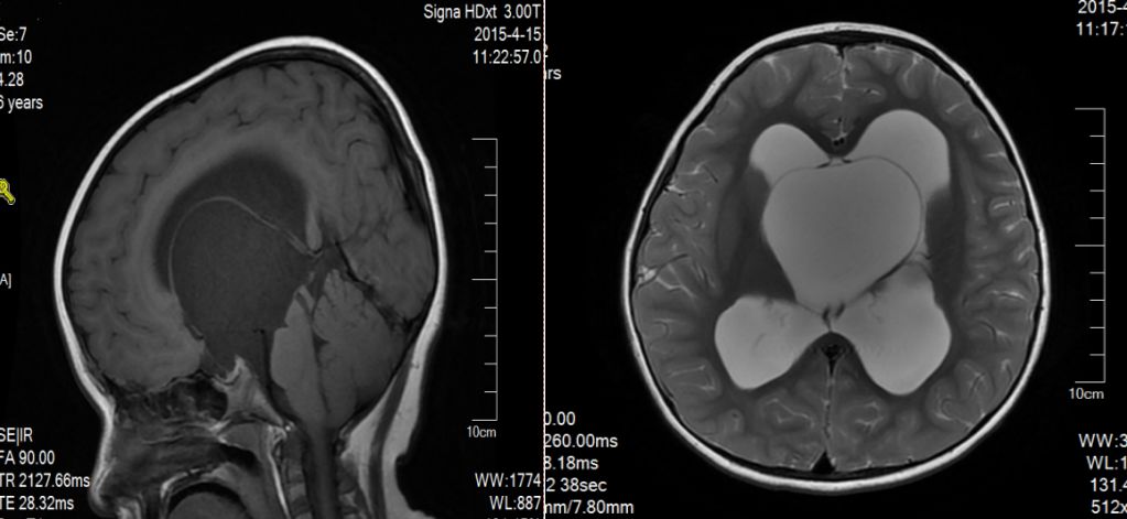
术前影像:透明隔腔明显增宽,双侧脑室、三脑室、脚间池明显扩张、积水,周围脑实质受压,胼胝体受压变薄。弥散加权图像未见异常。中线结构居中。增强扫描未见异常强化。
![]()
术前诊断:三脑室内囊肿,幕上脑积水。
手术方式:脑室-囊肿造瘘-三脑室底造瘘术(VCC)。
取右侧脑室额角常规入路,进入侧脑室后,拔除,导入内镜。确认室间孔及三脑室内囊肿。电凝囊肿壁及其上血管,并使其皱缩,并切除部分囊肿壁造瘘,经瘘口探查三脑室底,见囊肿底部疝入桥前池水平,明确可见漏斗、鞍背、动眼神经、基底动脉及分支、桥脑等结构。于鞍背与桥脑之间分离囊壁及粘连的蛛网膜与liliquist膜造瘘6mm大小。见脑脊液搏动良好。
![]()
![]()
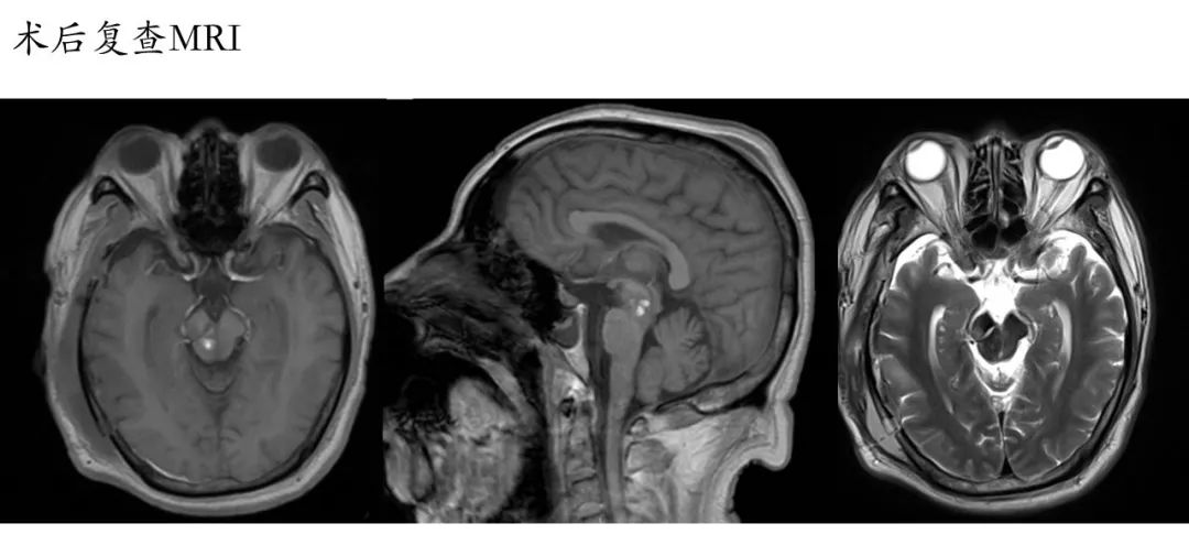
术后患儿情况:
目前患者恢复良好,偶有头痛,无颅内感染,无再发抽搐,出院后未服用抗癫痫药物。
脑室内蛛网膜囊肿多位于侧脑室和第三脑室内;CT值10HU以下或MRI信号等同CSF;囊肿圆形或椭圆形,边缘光滑,壁薄,无结节;脑室扩大变形,周围无水肿。侧脑室囊肿多位于侧脑室三角区,蒂部位于室间孔周围。第三脑室囊肿常位于第三脑室前上方,室间孔开口处,一旦阻塞可引起一系列的临床症状,如头痛、头晕和呕吐等。
脑室内蛛网膜囊肿既往有多种不同的治疗方法,包括立体定向囊肿穿刺抽吸、显微外科切除以及囊肿腹腔分流、内镜下囊肿造瘘等。近年神经内镜的手术治疗显示了明显优势。内镜下抵近观察,更清楚地看到囊肿表面和脑室内解剖结构;腔道内操作,使副损伤更小。脑室内蛛网膜囊肿的内镜下造瘘术包括脑室-囊肿造瘘(VC)和脑室-囊肿-脑池造瘘(VCC)。三脑室内蛛网膜囊肿我们采用VCC。
我们认为:①内镜下囊肿造瘘术的目的,主要是解除脑脊液循环障碍,囊肿壁不强求全切,使囊肿液参与脑脊液循环即可。②造瘘口周围囊壁电凝可以预防术后瘘口再愈合。同时第三脑室底部造瘘,更接近脑脊液循环的生理状态。③确切打开liliquist膜,让动脉搏动动力传递充分。④操作动作幅度小,轻柔,避免或减少付损伤和出血。⑤对于术中小渗血,可采用冲洗止血和电凝止血,止血不十分满意可置脑室外引流管。⑥术中既要保持适当的持续冲洗,又要防止颅内压升高和对重要结构的过强刺激或损伤。




